罕见的脑包虫病。

IF 1.3 4区 医学 Q4 RADIOLOGY, NUCLEAR MEDICINE & MEDICAL IMAGING
Journal of the Belgian Society of Radiology Pub Date : 2025-07-01 eCollection Date: 2025-01-01 DOI:10.5334/jbsr.3983
Kelly Di Dier, Sven Dekeyzer, Mania De Praeter
{"title":"罕见的脑包虫病。","authors":"Kelly Di Dier, Sven Dekeyzer, Mania De Praeter","doi":"10.5334/jbsr.3983","DOIUrl":null,"url":null,"abstract":"<p><p><i>Teaching point:</i> When hydatid disease in the brain is suspected, thoraco-abdominal imaging is warranted to detect extracranial lesions. When an uncomplicated intra-axial cyst is encountered, hydatid disease should be in differential diagnosis, especially in patients from or with travel history to endemic areas, or with known exposure to dogs, sheep or cattle. Thoraco-abdominal imaging may aid diagnosis as hydatid disease more commonly affects the liver and lungs and only rarely the brain.</p>","PeriodicalId":55987,"journal":{"name":"Journal of the Belgian Society of Radiology","volume":"109 1","pages":"24"},"PeriodicalIF":1.3000,"publicationDate":"2025-07-01","publicationTypes":"Journal Article","fieldsOfStudy":null,"isOpenAccess":false,"openAccessPdf":"https://www.ncbi.nlm.nih.gov/pmc/articles/PMC12227080/pdf/","citationCount":"0","resultStr":"{\"title\":\"A Rare Presentation of a Hydatid Cyst in the Brain.\",\"authors\":\"Kelly Di Dier, Sven Dekeyzer, Mania De Praeter\",\"doi\":\"10.5334/jbsr.3983\",\"DOIUrl\":null,\"url\":null,\"abstract\":\"<p><p><i>Teaching point:</i> When hydatid disease in the brain is suspected, thoraco-abdominal imaging is warranted to detect extracranial lesions. When an uncomplicated intra-axial cyst is encountered, hydatid disease should be in differential diagnosis, especially in patients from or with travel history to endemic areas, or with known exposure to dogs, sheep or cattle. Thoraco-abdominal imaging may aid diagnosis as hydatid disease more commonly affects the liver and lungs and only rarely the brain.</p>\",\"PeriodicalId\":55987,\"journal\":{\"name\":\"Journal of the Belgian Society of Radiology\",\"volume\":\"109 1\",\"pages\":\"24\"},\"PeriodicalIF\":1.3000,\"publicationDate\":\"2025-07-01\",\"publicationTypes\":\"Journal Article\",\"fieldsOfStudy\":null,\"isOpenAccess\":false,\"openAccessPdf\":\"https://www.ncbi.nlm.nih.gov/pmc/articles/PMC12227080/pdf/\",\"citationCount\":\"0\",\"resultStr\":null,\"platform\":\"Semanticscholar\",\"paperid\":null,\"PeriodicalName\":\"Journal of the Belgian Society of Radiology\",\"FirstCategoryId\":\"3\",\"ListUrlMain\":\"https://doi.org/10.5334/jbsr.3983\",\"RegionNum\":4,\"RegionCategory\":\"医学\",\"ArticlePicture\":[],\"TitleCN\":null,\"AbstractTextCN\":null,\"PMCID\":null,\"EPubDate\":\"2025/1/1 0:00:00\",\"PubModel\":\"eCollection\",\"JCR\":\"Q4\",\"JCRName\":\"RADIOLOGY, NUCLEAR MEDICINE & MEDICAL IMAGING\",\"Score\":null,\"Total\":0}","platform":"Semanticscholar","paperid":null,"PeriodicalName":"Journal of the Belgian Society of Radiology","FirstCategoryId":"3","ListUrlMain":"https://doi.org/10.5334/jbsr.3983","RegionNum":4,"RegionCategory":"医学","ArticlePicture":[],"TitleCN":null,"AbstractTextCN":null,"PMCID":null,"EPubDate":"2025/1/1 0:00:00","PubModel":"eCollection","JCR":"Q4","JCRName":"RADIOLOGY, NUCLEAR MEDICINE & MEDICAL IMAGING","Score":null,"Total":0}
引用次数: 0

摘要

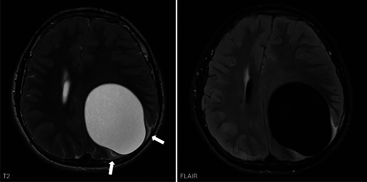
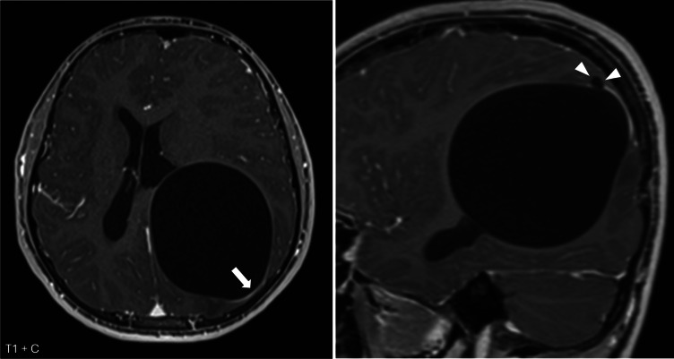
教学要点:当怀疑有脑包虫病时,需要胸腹影像学检查颅内外病变。当发现无并发症的轴内囊肿时,应鉴别诊断包虫病,特别是来自或有流行地区旅行史的患者,或已知接触过狗、羊或牛的患者。胸腹影像可能有助于诊断,因为包虫病更常累及肝脏和肺部,很少累及大脑。
本文章由计算机程序翻译,如有差异,请以英文原文为准。

A Rare Presentation of a Hydatid Cyst in the Brain.

A Rare Presentation of a Hydatid Cyst in the Brain.

A Rare Presentation of a Hydatid Cyst in the Brain.

A Rare Presentation of a Hydatid Cyst in the Brain.

Teaching point: When hydatid disease in the brain is suspected, thoraco-abdominal imaging is warranted to detect extracranial lesions. When an uncomplicated intra-axial cyst is encountered, hydatid disease should be in differential diagnosis, especially in patients from or with travel history to endemic areas, or with known exposure to dogs, sheep or cattle. Thoraco-abdominal imaging may aid diagnosis as hydatid disease more commonly affects the liver and lungs and only rarely the brain.

求助全文
通过发布文献求助,成功后即可免费获取论文全文。 去求助
来源期刊
Journal of the Belgian Society of Radiology
Journal of the Belgian Society of Radiology Medicine-Radiology, Nuclear Medicine and Imaging
CiteScore
0.70
自引率
5.00%
发文量
96
期刊介绍: The purpose of the Journal of the Belgian Society of Radiology is the publication of articles dealing with diagnostic and interventional radiology, related imaging techniques, allied sciences, and continuing education.
×
引用
GB/T 7714-2015
复制
MLA
复制
APA
复制
导出至
BibTeX EndNote RefMan NoteFirst NoteExpress
×
提示
您的信息不完整,为了账户安全,请先补充。
现在去补充
×
提示
您因"违规操作"
具体请查看互助需知
我知道了
×
提示
确定
请完成安全验证×
copy
已复制链接
快去分享给好友吧!
我知道了
右上角分享
点击右上角分享
0
联系我们:info@booksci.cn Book学术提供免费学术资源搜索服务,方便国内外学者检索中英文文献。致力于提供最便捷和优质的服务体验。 Copyright © 2023 布克学术 All rights reserved.
京ICP备2023020795号-1
ghs 京公网安备 11010802042870号
Book学术文献互助
Book学术文献互助群
群 号:604180095
Book学术官方微信