TP53和MDM4基因多态性作为埃及成年非霍奇金淋巴瘤的危险因素

IF 1.9 4区 医学 Q3 ONCOLOGY
Clinical Medicine Insights-Oncology Pub Date : 2025-07-03 eCollection Date: 2025-01-01 DOI:10.1177/11795549251352047
Eman A Helal, Naglaa M Hassan, Mahmoud M Kamel, Mahmoud A Amer, Roxan E Shafik
{"title":"TP53和MDM4基因多态性作为埃及成年非霍奇金淋巴瘤的危险因素","authors":"Eman A Helal, Naglaa M Hassan, Mahmoud M Kamel, Mahmoud A Amer, Roxan E Shafik","doi":"10.1177/11795549251352047","DOIUrl":null,"url":null,"abstract":"<p><strong>Background: </strong>Non-Hodgkin Lymphoma (NHL) is an increasingly prevalent hematological malignancy in Egypt, highlighting the need for a better understanding of its genetic risk factors. The TP53 and MDM4 genes play critical roles in cellular homeostasis and cancer development. This study aimed to assess the frequency of the TP53 (SNP rs1042522) Arg72Pro and MDM4 (SNP rs4245739) A > C polymorphisms as potential risk factors for NHL in adult Egyptian patients.</p><p><strong>Methods: </strong>A case-control study was conducted involving 80 adult NHL patients and 100 control age- and sex-matched healthy controls. Genotyping for the TP53 (rs1042522) Arg72Pro and MDM4 (rs4245739) A > C polymorphisms was performed using polymerase chain reaction-restriction fragment length polymorphism (PCR-RFLP) method.</p><p><strong>Results: </strong>A significant association was found between the homozygous TP53 Pro/Pro genotype and increased susceptibility to NHL (47.5% in patients vs 4.0% in controls; <i>P</i> < .001), as well as a higher frequency of the mutant C allele among NHL cases (63.8% vs 28.0%; <i>P</i> < .001). In contrast, no significant association was observed between MDM4 polymorphisms and NHL risk. In addition, analysis of treatment outcomes revealed no statistically significant differences in overall survival or progression-free survival based on TP53 or MDM4 genotypes.</p><p><strong>Conclusions: </strong>These findings suggest that the TP53 Arg72Pro polymorphism is a significant genetic marker for NHL susceptibility in the Egyptian population, while MDM4 polymorphisms do not appear to contribute to disease risk. Further studies are warranted to elucidate the genetic mechanisms underlying NHL and to explore their implications for risk stratification and therapeutic strategies.</p>","PeriodicalId":48591,"journal":{"name":"Clinical Medicine Insights-Oncology","volume":"19 ","pages":"11795549251352047"},"PeriodicalIF":1.9000,"publicationDate":"2025-07-03","publicationTypes":"Journal Article","fieldsOfStudy":null,"isOpenAccess":false,"openAccessPdf":"https://www.ncbi.nlm.nih.gov/pmc/articles/PMC12227885/pdf/","citationCount":"0","resultStr":"{\"title\":\"Contribution of TP53 and MDM4 Genetic Polymorphisms as a Risk Factor in Non-Hodgkin Lymphoma in Adult Egyptian Patients.\",\"authors\":\"Eman A Helal, Naglaa M Hassan, Mahmoud M Kamel, Mahmoud A Amer, Roxan E Shafik\",\"doi\":\"10.1177/11795549251352047\",\"DOIUrl\":null,\"url\":null,\"abstract\":\"<p><strong>Background: </strong>Non-Hodgkin Lymphoma (NHL) is an increasingly prevalent hematological malignancy in Egypt, highlighting the need for a better understanding of its genetic risk factors. The TP53 and MDM4 genes play critical roles in cellular homeostasis and cancer development. This study aimed to assess the frequency of the TP53 (SNP rs1042522) Arg72Pro and MDM4 (SNP rs4245739) A > C polymorphisms as potential risk factors for NHL in adult Egyptian patients.</p><p><strong>Methods: </strong>A case-control study was conducted involving 80 adult NHL patients and 100 control age- and sex-matched healthy controls. Genotyping for the TP53 (rs1042522) Arg72Pro and MDM4 (rs4245739) A > C polymorphisms was performed using polymerase chain reaction-restriction fragment length polymorphism (PCR-RFLP) method.</p><p><strong>Results: </strong>A significant association was found between the homozygous TP53 Pro/Pro genotype and increased susceptibility to NHL (47.5% in patients vs 4.0% in controls; <i>P</i> < .001), as well as a higher frequency of the mutant C allele among NHL cases (63.8% vs 28.0%; <i>P</i> < .001). In contrast, no significant association was observed between MDM4 polymorphisms and NHL risk. In addition, analysis of treatment outcomes revealed no statistically significant differences in overall survival or progression-free survival based on TP53 or MDM4 genotypes.</p><p><strong>Conclusions: </strong>These findings suggest that the TP53 Arg72Pro polymorphism is a significant genetic marker for NHL susceptibility in the Egyptian population, while MDM4 polymorphisms do not appear to contribute to disease risk. Further studies are warranted to elucidate the genetic mechanisms underlying NHL and to explore their implications for risk stratification and therapeutic strategies.</p>\",\"PeriodicalId\":48591,\"journal\":{\"name\":\"Clinical Medicine Insights-Oncology\",\"volume\":\"19 \",\"pages\":\"11795549251352047\"},\"PeriodicalIF\":1.9000,\"publicationDate\":\"2025-07-03\",\"publicationTypes\":\"Journal Article\",\"fieldsOfStudy\":null,\"isOpenAccess\":false,\"openAccessPdf\":\"https://www.ncbi.nlm.nih.gov/pmc/articles/PMC12227885/pdf/\",\"citationCount\":\"0\",\"resultStr\":null,\"platform\":\"Semanticscholar\",\"paperid\":null,\"PeriodicalName\":\"Clinical Medicine Insights-Oncology\",\"FirstCategoryId\":\"3\",\"ListUrlMain\":\"https://doi.org/10.1177/11795549251352047\",\"RegionNum\":4,\"RegionCategory\":\"医学\",\"ArticlePicture\":[],\"TitleCN\":null,\"AbstractTextCN\":null,\"PMCID\":null,\"EPubDate\":\"2025/1/1 0:00:00\",\"PubModel\":\"eCollection\",\"JCR\":\"Q3\",\"JCRName\":\"ONCOLOGY\",\"Score\":null,\"Total\":0}","platform":"Semanticscholar","paperid":null,"PeriodicalName":"Clinical Medicine Insights-Oncology","FirstCategoryId":"3","ListUrlMain":"https://doi.org/10.1177/11795549251352047","RegionNum":4,"RegionCategory":"医学","ArticlePicture":[],"TitleCN":null,"AbstractTextCN":null,"PMCID":null,"EPubDate":"2025/1/1 0:00:00","PubModel":"eCollection","JCR":"Q3","JCRName":"ONCOLOGY","Score":null,"Total":0}
引用次数: 0

摘要

背景:非霍奇金淋巴瘤(NHL)在埃及是一种日益普遍的血液系统恶性肿瘤,强调需要更好地了解其遗传风险因素。TP53和MDM4基因在细胞稳态和癌症发展中起着关键作用。本研究旨在评估TP53 (SNP rs1042522) Arg72Pro和MDM4 (SNP rs4245739) A > C多态性的频率作为埃及成年NHL患者的潜在危险因素。方法:采用病例对照研究,纳入80例成年NHL患者和100例年龄和性别匹配的健康对照。采用聚合酶链反应-限制性片段长度多态性(PCR-RFLP)方法对TP53 (rs1042522) Arg72Pro和MDM4 (rs4245739) A > C多态性进行基因分型。结果:纯合子TP53 Pro/Pro基因型与NHL易感性增加之间存在显著关联(患者为47.5%,对照组为4.0%;结论:这些发现表明,TP53 Arg72Pro多态性是埃及人群NHL易感性的重要遗传标记,而MDM4多态性似乎与疾病风险无关。需要进一步的研究来阐明NHL的遗传机制,并探讨其对风险分层和治疗策略的影响。
本文章由计算机程序翻译,如有差异,请以英文原文为准。

Contribution of TP53 and MDM4 Genetic Polymorphisms as a Risk Factor in Non-Hodgkin Lymphoma in Adult Egyptian Patients.

Contribution of TP53 and MDM4 Genetic Polymorphisms as a Risk Factor in Non-Hodgkin Lymphoma in Adult Egyptian Patients.

Contribution of TP53 and MDM4 Genetic Polymorphisms as a Risk Factor in Non-Hodgkin Lymphoma in Adult Egyptian Patients.

Contribution of TP53 and MDM4 Genetic Polymorphisms as a Risk Factor in Non-Hodgkin Lymphoma in Adult Egyptian Patients.

Background: Non-Hodgkin Lymphoma (NHL) is an increasingly prevalent hematological malignancy in Egypt, highlighting the need for a better understanding of its genetic risk factors. The TP53 and MDM4 genes play critical roles in cellular homeostasis and cancer development. This study aimed to assess the frequency of the TP53 (SNP rs1042522) Arg72Pro and MDM4 (SNP rs4245739) A > C polymorphisms as potential risk factors for NHL in adult Egyptian patients.

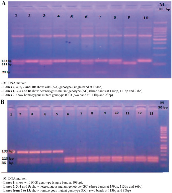
Methods: A case-control study was conducted involving 80 adult NHL patients and 100 control age- and sex-matched healthy controls. Genotyping for the TP53 (rs1042522) Arg72Pro and MDM4 (rs4245739) A > C polymorphisms was performed using polymerase chain reaction-restriction fragment length polymorphism (PCR-RFLP) method.

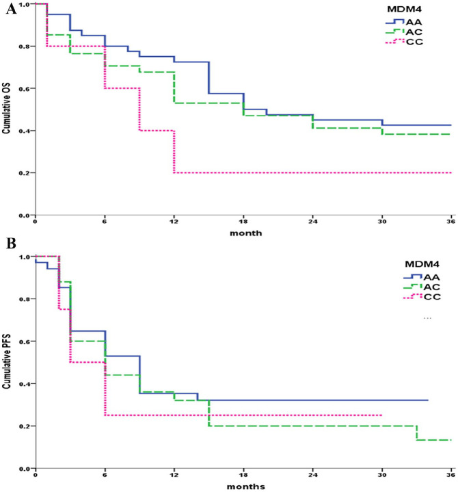
Results: A significant association was found between the homozygous TP53 Pro/Pro genotype and increased susceptibility to NHL (47.5% in patients vs 4.0% in controls; P < .001), as well as a higher frequency of the mutant C allele among NHL cases (63.8% vs 28.0%; P < .001). In contrast, no significant association was observed between MDM4 polymorphisms and NHL risk. In addition, analysis of treatment outcomes revealed no statistically significant differences in overall survival or progression-free survival based on TP53 or MDM4 genotypes.

Conclusions: These findings suggest that the TP53 Arg72Pro polymorphism is a significant genetic marker for NHL susceptibility in the Egyptian population, while MDM4 polymorphisms do not appear to contribute to disease risk. Further studies are warranted to elucidate the genetic mechanisms underlying NHL and to explore their implications for risk stratification and therapeutic strategies.

求助全文
通过发布文献求助,成功后即可免费获取论文全文。 去求助
来源期刊
CiteScore
2.40
自引率
4.50%
发文量
57
审稿时长
8 weeks
期刊介绍: Clinical Medicine Insights: Oncology is an international, peer-reviewed, open access journal that focuses on all aspects of cancer research and treatment, in addition to related genetic, pathophysiological and epidemiological topics. Of particular but not exclusive importance are molecular biology, clinical interventions, controlled trials, therapeutics, pharmacology and drug delivery, and techniques of cancer surgery. The journal welcomes unsolicited article proposals.
×
引用
GB/T 7714-2015
复制
MLA
复制
APA
复制
导出至
BibTeX EndNote RefMan NoteFirst NoteExpress
×
提示
您的信息不完整,为了账户安全,请先补充。
现在去补充
×
提示
您因"违规操作"
具体请查看互助需知
我知道了
×
提示
确定
请完成安全验证×
copy
已复制链接
快去分享给好友吧!
我知道了
右上角分享
点击右上角分享
0
联系我们:info@booksci.cn Book学术提供免费学术资源搜索服务,方便国内外学者检索中英文文献。致力于提供最便捷和优质的服务体验。 Copyright © 2023 布克学术 All rights reserved.
京ICP备2023020795号-1
ghs 京公网安备 11010802042870号
Book学术文献互助
Book学术文献互助群
群 号:604180095
Book学术官方微信