短足石竹毒液毒性成分的鉴定与表征:对箱形水母(刺胞纲:绒虫纲)中毒的认识。

IF 6.9 2区 医学 Q1 TOXICOLOGY
Du Hyeon Hwang, Ramachandran Loganathan Mohan Prakash, Ravi Deva Asirvatham, Changkeun Kang, Euikyung Kim
{"title":"短足石竹毒液毒性成分的鉴定与表征:对箱形水母(刺胞纲:绒虫纲)中毒的认识。","authors":"Du Hyeon Hwang,&nbsp;Ramachandran Loganathan Mohan Prakash,&nbsp;Ravi Deva Asirvatham,&nbsp;Changkeun Kang,&nbsp;Euikyung Kim","doi":"10.1007/s00204-025-04117-w","DOIUrl":null,"url":null,"abstract":"<div><p>Jellyfish stings, particularly from cubozoans, pose a significant threat to human health worldwide. However, the major toxins responsible for the clinical symptoms following envenomation by box jellyfish (class Cubozoa) are not well understood. In this study, we investigated the major toxic components of <i>Carybdea brevipedalia</i> venom (CbV) as a representative model of box jellyfish venoms. We identified the key lethal toxin components (CbVLT) from crude CbV. For this, we isolated the toxic components using anion exchange chromatography and fast protein liquid chromatography (FPLC) methods, accompanied by toxicity evaluations. In vitro toxicity assays confirmed the strong cytotoxicity and hemolytic activity of CbVLT. Furthermore, CbVLT exhibited strong lethality in zebrafish, inducing notable hemorrhage and swelling, significant lactate dehydrogenase (LDH) activity, and fatal histopathological changes in vital organs (brain, gills, and heart). These results indicated that CbVLT contains the key lethal toxins in the venom. Subsequently, LC–MS/MS analysis identified 8 toxin homologs in CbVLT, including potassium channel toxins, cytolysins, hemolysins, proteases, and hydrolases. These toxins are responsible for the severe local and systemic reactions and even death caused by <i>C. brevipedalia</i> stings. These findings uncover and characterize the key lethal toxins in CbV, which will help reveal the molecular mechanisms of the venom’s lethality and significantly aid in developing therapeutic strategies to treat stings from the cubozoa jellyfish in the future.</p></div>","PeriodicalId":8329,"journal":{"name":"Archives of Toxicology","volume":"99 10","pages":"4263 - 4279"},"PeriodicalIF":6.9000,"publicationDate":"2025-07-07","publicationTypes":"Journal Article","fieldsOfStudy":null,"isOpenAccess":false,"openAccessPdf":"","citationCount":"0","resultStr":"{\"title\":\"Identification and characterization of toxic components of Carybdea brevipedalia venom: implications for understanding box jellyfish (Cnidaria: Cubozoa) envenomation\",\"authors\":\"Du Hyeon Hwang,&nbsp;Ramachandran Loganathan Mohan Prakash,&nbsp;Ravi Deva Asirvatham,&nbsp;Changkeun Kang,&nbsp;Euikyung Kim\",\"doi\":\"10.1007/s00204-025-04117-w\",\"DOIUrl\":null,\"url\":null,\"abstract\":\"<div><p>Jellyfish stings, particularly from cubozoans, pose a significant threat to human health worldwide. However, the major toxins responsible for the clinical symptoms following envenomation by box jellyfish (class Cubozoa) are not well understood. In this study, we investigated the major toxic components of <i>Carybdea brevipedalia</i> venom (CbV) as a representative model of box jellyfish venoms. We identified the key lethal toxin components (CbVLT) from crude CbV. For this, we isolated the toxic components using anion exchange chromatography and fast protein liquid chromatography (FPLC) methods, accompanied by toxicity evaluations. In vitro toxicity assays confirmed the strong cytotoxicity and hemolytic activity of CbVLT. Furthermore, CbVLT exhibited strong lethality in zebrafish, inducing notable hemorrhage and swelling, significant lactate dehydrogenase (LDH) activity, and fatal histopathological changes in vital organs (brain, gills, and heart). These results indicated that CbVLT contains the key lethal toxins in the venom. Subsequently, LC–MS/MS analysis identified 8 toxin homologs in CbVLT, including potassium channel toxins, cytolysins, hemolysins, proteases, and hydrolases. These toxins are responsible for the severe local and systemic reactions and even death caused by <i>C. brevipedalia</i> stings. These findings uncover and characterize the key lethal toxins in CbV, which will help reveal the molecular mechanisms of the venom’s lethality and significantly aid in developing therapeutic strategies to treat stings from the cubozoa jellyfish in the future.</p></div>\",\"PeriodicalId\":8329,\"journal\":{\"name\":\"Archives of Toxicology\",\"volume\":\"99 10\",\"pages\":\"4263 - 4279\"},\"PeriodicalIF\":6.9000,\"publicationDate\":\"2025-07-07\",\"publicationTypes\":\"Journal Article\",\"fieldsOfStudy\":null,\"isOpenAccess\":false,\"openAccessPdf\":\"\",\"citationCount\":\"0\",\"resultStr\":null,\"platform\":\"Semanticscholar\",\"paperid\":null,\"PeriodicalName\":\"Archives of Toxicology\",\"FirstCategoryId\":\"3\",\"ListUrlMain\":\"https://link.springer.com/article/10.1007/s00204-025-04117-w\",\"RegionNum\":2,\"RegionCategory\":\"医学\",\"ArticlePicture\":[],\"TitleCN\":null,\"AbstractTextCN\":null,\"PMCID\":null,\"EPubDate\":\"\",\"PubModel\":\"\",\"JCR\":\"Q1\",\"JCRName\":\"TOXICOLOGY\",\"Score\":null,\"Total\":0}","platform":"Semanticscholar","paperid":null,"PeriodicalName":"Archives of Toxicology","FirstCategoryId":"3","ListUrlMain":"https://link.springer.com/article/10.1007/s00204-025-04117-w","RegionNum":2,"RegionCategory":"医学","ArticlePicture":[],"TitleCN":null,"AbstractTextCN":null,"PMCID":null,"EPubDate":"","PubModel":"","JCR":"Q1","JCRName":"TOXICOLOGY","Score":null,"Total":0}
引用次数: 0

摘要

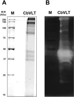
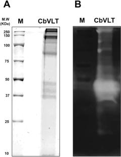
水母蜇伤,特别是来自毛绒动物的蜇伤,对全世界人类健康构成重大威胁。然而,被箱形水母(长毛纲)中毒后引起临床症状的主要毒素尚不清楚。本研究以箱水母毒液为代表模型,对其主要毒性成分进行了研究。我们从粗CbV中鉴定出关键致死毒素成分(CbVLT)。为此,我们采用阴离子交换色谱和快速蛋白液相色谱(FPLC)方法分离了有毒成分,并进行了毒性评价。体外毒性实验证实CbVLT具有较强的细胞毒性和溶血活性。此外,CbVLT在斑马鱼中表现出很强的致死率,引起明显的出血和肿胀,显著的乳酸脱氢酶(LDH)活性,以及重要器官(脑、鳃和心脏)致命的组织病理学改变。这些结果表明CbVLT含有毒液中关键的致死毒素。随后,LC-MS/MS分析在CbVLT中鉴定出8种毒素同源物,包括钾通道毒素、细胞溶素、溶血素、蛋白酶和水解酶。这些毒素是造成严重的局部和全身反应,甚至死亡的短叶蝉蜇伤。这些发现揭示并表征了CbV中关键的致命毒素,这将有助于揭示毒液致命的分子机制,并在未来制定治疗长毛水母蜇伤的治疗策略方面提供重要帮助。
本文章由计算机程序翻译,如有差异,请以英文原文为准。

Identification and characterization of toxic components of Carybdea brevipedalia venom: implications for understanding box jellyfish (Cnidaria: Cubozoa) envenomation

Identification and characterization of toxic components of Carybdea brevipedalia venom: implications for understanding box jellyfish (Cnidaria: Cubozoa) envenomation

Identification and characterization of toxic components of Carybdea brevipedalia venom: implications for understanding box jellyfish (Cnidaria: Cubozoa) envenomation

Jellyfish stings, particularly from cubozoans, pose a significant threat to human health worldwide. However, the major toxins responsible for the clinical symptoms following envenomation by box jellyfish (class Cubozoa) are not well understood. In this study, we investigated the major toxic components of Carybdea brevipedalia venom (CbV) as a representative model of box jellyfish venoms. We identified the key lethal toxin components (CbVLT) from crude CbV. For this, we isolated the toxic components using anion exchange chromatography and fast protein liquid chromatography (FPLC) methods, accompanied by toxicity evaluations. In vitro toxicity assays confirmed the strong cytotoxicity and hemolytic activity of CbVLT. Furthermore, CbVLT exhibited strong lethality in zebrafish, inducing notable hemorrhage and swelling, significant lactate dehydrogenase (LDH) activity, and fatal histopathological changes in vital organs (brain, gills, and heart). These results indicated that CbVLT contains the key lethal toxins in the venom. Subsequently, LC–MS/MS analysis identified 8 toxin homologs in CbVLT, including potassium channel toxins, cytolysins, hemolysins, proteases, and hydrolases. These toxins are responsible for the severe local and systemic reactions and even death caused by C. brevipedalia stings. These findings uncover and characterize the key lethal toxins in CbV, which will help reveal the molecular mechanisms of the venom’s lethality and significantly aid in developing therapeutic strategies to treat stings from the cubozoa jellyfish in the future.

求助全文
通过发布文献求助,成功后即可免费获取论文全文。 去求助
来源期刊
Archives of Toxicology
Archives of Toxicology 医学-毒理学
CiteScore
11.60
自引率
4.90%
发文量
218
审稿时长
1.5 months
期刊介绍: Archives of Toxicology provides up-to-date information on the latest advances in toxicology. The journal places particular emphasis on studies relating to defined effects of chemicals and mechanisms of toxicity, including toxic activities at the molecular level, in humans and experimental animals. Coverage includes new insights into analysis and toxicokinetics and into forensic toxicology. Review articles of general interest to toxicologists are an additional important feature of the journal.
×
引用
GB/T 7714-2015
复制
MLA
复制
APA
复制
导出至
BibTeX EndNote RefMan NoteFirst NoteExpress
×
提示
您的信息不完整,为了账户安全,请先补充。
现在去补充
×
提示
您因"违规操作"
具体请查看互助需知
我知道了
×
提示
确定
请完成安全验证×
copy
已复制链接
快去分享给好友吧!
我知道了
右上角分享
点击右上角分享
0
联系我们:info@booksci.cn Book学术提供免费学术资源搜索服务,方便国内外学者检索中英文文献。致力于提供最便捷和优质的服务体验。 Copyright © 2023 布克学术 All rights reserved.
京ICP备2023020795号-1
ghs 京公网安备 11010802042870号
Book学术文献互助
Book学术文献互助群
群 号:604180095
Book学术官方微信