丰臀填充物引起严重的长期并发症1例。

IF 1.5 Q4 SURGERY
Indian Journal of Plastic Surgery Pub Date : 2025-01-17 eCollection Date: 2025-06-01 DOI:10.1055/s-0045-1801866
Camilla Soendergaard Kristiansen, Christian Lyngsaa Lang, Ann Haerskjold, Claus Zachariae, Anders Klit
{"title":"丰臀填充物引起严重的长期并发症1例。","authors":"Camilla Soendergaard Kristiansen, Christian Lyngsaa Lang, Ann Haerskjold, Claus Zachariae, Anders Klit","doi":"10.1055/s-0045-1801866","DOIUrl":null,"url":null,"abstract":"<p><p>Filler injections for buttock augmentation are becoming more popular as a cosmetic procedure, which leads to an expected increase in the number of complications emphasizing the importance of reporting cases with both well-known, severe, and previously undiscovered complications, as well as their possible treatment strategies. We present an 18-year-old woman who suffered severe long-term complications following Aquafilling injections for buttock augmentation, including filler migration, infection leading to septic shock, and nonparathyroid hypercalcemia, which has the potential to cause renal insufficiency. To date, we have not found any reports describing the association between nonparathyroid hypercalcemia and Aquafilling. Additionally, we outline a treatment regimen involving a minimally invasive approach, which includes daily irrigation, manual compression, and passive evacuation. At follow-up, the patient returned to her everyday life with no lasting sequelae, except for a solid mass medially on the right thigh.</p>","PeriodicalId":47204,"journal":{"name":"Indian Journal of Plastic Surgery","volume":"58 3","pages":"222-225"},"PeriodicalIF":1.5000,"publicationDate":"2025-01-17","publicationTypes":"Journal Article","fieldsOfStudy":null,"isOpenAccess":false,"openAccessPdf":"https://www.ncbi.nlm.nih.gov/pmc/articles/PMC12213018/pdf/","citationCount":"0","resultStr":"{\"title\":\"Aquafilling Filler for Buttock Augmentation Cause Severe Long-Term Complications: A Case Report.\",\"authors\":\"Camilla Soendergaard Kristiansen, Christian Lyngsaa Lang, Ann Haerskjold, Claus Zachariae, Anders Klit\",\"doi\":\"10.1055/s-0045-1801866\",\"DOIUrl\":null,\"url\":null,\"abstract\":\"<p><p>Filler injections for buttock augmentation are becoming more popular as a cosmetic procedure, which leads to an expected increase in the number of complications emphasizing the importance of reporting cases with both well-known, severe, and previously undiscovered complications, as well as their possible treatment strategies. We present an 18-year-old woman who suffered severe long-term complications following Aquafilling injections for buttock augmentation, including filler migration, infection leading to septic shock, and nonparathyroid hypercalcemia, which has the potential to cause renal insufficiency. To date, we have not found any reports describing the association between nonparathyroid hypercalcemia and Aquafilling. Additionally, we outline a treatment regimen involving a minimally invasive approach, which includes daily irrigation, manual compression, and passive evacuation. At follow-up, the patient returned to her everyday life with no lasting sequelae, except for a solid mass medially on the right thigh.</p>\",\"PeriodicalId\":47204,\"journal\":{\"name\":\"Indian Journal of Plastic Surgery\",\"volume\":\"58 3\",\"pages\":\"222-225\"},\"PeriodicalIF\":1.5000,\"publicationDate\":\"2025-01-17\",\"publicationTypes\":\"Journal Article\",\"fieldsOfStudy\":null,\"isOpenAccess\":false,\"openAccessPdf\":\"https://www.ncbi.nlm.nih.gov/pmc/articles/PMC12213018/pdf/\",\"citationCount\":\"0\",\"resultStr\":null,\"platform\":\"Semanticscholar\",\"paperid\":null,\"PeriodicalName\":\"Indian Journal of Plastic Surgery\",\"FirstCategoryId\":\"1085\",\"ListUrlMain\":\"https://doi.org/10.1055/s-0045-1801866\",\"RegionNum\":0,\"RegionCategory\":null,\"ArticlePicture\":[],\"TitleCN\":null,\"AbstractTextCN\":null,\"PMCID\":null,\"EPubDate\":\"2025/6/1 0:00:00\",\"PubModel\":\"eCollection\",\"JCR\":\"Q4\",\"JCRName\":\"SURGERY\",\"Score\":null,\"Total\":0}","platform":"Semanticscholar","paperid":null,"PeriodicalName":"Indian Journal of Plastic Surgery","FirstCategoryId":"1085","ListUrlMain":"https://doi.org/10.1055/s-0045-1801866","RegionNum":0,"RegionCategory":null,"ArticlePicture":[],"TitleCN":null,"AbstractTextCN":null,"PMCID":null,"EPubDate":"2025/6/1 0:00:00","PubModel":"eCollection","JCR":"Q4","JCRName":"SURGERY","Score":null,"Total":0}
引用次数: 0

摘要

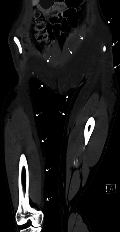
臀部填充注射作为一种整容手术正变得越来越流行,这导致了预期并发症数量的增加,强调了报告已知的、严重的和以前未发现的并发症的重要性,以及它们可能的治疗策略。我们报告了一位18岁的女性,她在注射填充剂进行丰臀手术后出现了严重的长期并发症,包括填充剂移位、感染导致感染性休克和非甲状旁腺高钙血症,这可能导致肾功能不全。到目前为止,我们还没有发现任何描述非甲状旁腺高钙血症与充水之间关系的报告。此外,我们概述了一种涉及微创方法的治疗方案,包括每日冲洗,手动按压和被动抽吸。在随访中,患者恢复了日常生活,除了右大腿内侧有一个实性肿块外,没有持久的后遗症。
本文章由计算机程序翻译,如有差异,请以英文原文为准。

Aquafilling Filler for Buttock Augmentation Cause Severe Long-Term Complications: A Case Report.

Aquafilling Filler for Buttock Augmentation Cause Severe Long-Term Complications: A Case Report.

Aquafilling Filler for Buttock Augmentation Cause Severe Long-Term Complications: A Case Report.

Aquafilling Filler for Buttock Augmentation Cause Severe Long-Term Complications: A Case Report.

Filler injections for buttock augmentation are becoming more popular as a cosmetic procedure, which leads to an expected increase in the number of complications emphasizing the importance of reporting cases with both well-known, severe, and previously undiscovered complications, as well as their possible treatment strategies. We present an 18-year-old woman who suffered severe long-term complications following Aquafilling injections for buttock augmentation, including filler migration, infection leading to septic shock, and nonparathyroid hypercalcemia, which has the potential to cause renal insufficiency. To date, we have not found any reports describing the association between nonparathyroid hypercalcemia and Aquafilling. Additionally, we outline a treatment regimen involving a minimally invasive approach, which includes daily irrigation, manual compression, and passive evacuation. At follow-up, the patient returned to her everyday life with no lasting sequelae, except for a solid mass medially on the right thigh.

求助全文
通过发布文献求助,成功后即可免费获取论文全文。 去求助
来源期刊
CiteScore
0.80
自引率
12.50%
发文量
64
审稿时长
27 weeks
期刊介绍: Indian Journal of Plastic Surgery (ISSN : 0970-0358) is biannual publication of the Association of Plastic Surgeons of India. Bibliographic listings: The journal is indexed with Bioline International, Caspur, DOAJ, EBSCO Publishing’s Electronic Databases, Expanded Academic ASAP, Genamics JournalSeek, Google Scholar, Health & Wellness Research Center, Health Reference Center Academic, Hinari, Index Copernicus, IndMed, OpenJGate, PubMed, Pubmed Central, Scimago Journal Ranking, SCOLOAR, SCOPUS, SIIC databases, SNEMB, Ulrich’s International Periodical Directory
×
引用
GB/T 7714-2015
复制
MLA
复制
APA
复制
导出至
BibTeX EndNote RefMan NoteFirst NoteExpress
×
提示
您的信息不完整,为了账户安全,请先补充。
现在去补充
×
提示
您因"违规操作"
具体请查看互助需知
我知道了
×
提示
确定
请完成安全验证×
copy
已复制链接
快去分享给好友吧!
我知道了
右上角分享
点击右上角分享
0
联系我们:info@booksci.cn Book学术提供免费学术资源搜索服务,方便国内外学者检索中英文文献。致力于提供最便捷和优质的服务体验。 Copyright © 2023 布克学术 All rights reserved.
京ICP备2023020795号-1
ghs 京公网安备 11010802042870号
Book学术文献互助
Book学术文献互助群
群 号:604180095
Book学术官方微信