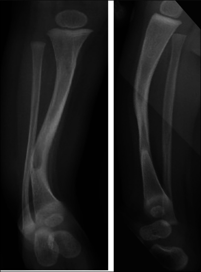
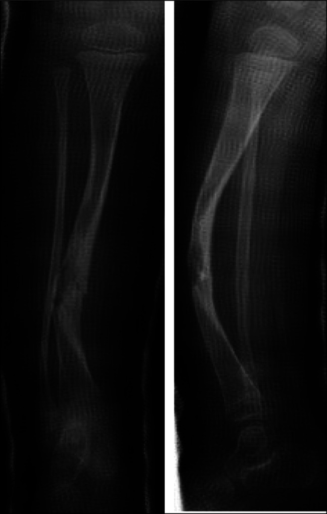
1型神经纤维瘤病患者先天性胫骨假关节和半肥厚的重合。

IF 2.1 Q2 ORTHOPEDICS
Fahad A Alshayhan, Reggie C Hamdy
{"title":"1型神经纤维瘤病患者先天性胫骨假关节和半肥厚的重合。","authors":"Fahad A Alshayhan, Reggie C Hamdy","doi":"10.5435/JAAOSGlobal-D-25-00030","DOIUrl":null,"url":null,"abstract":"<p><p>Neurofibromatosis type 1 (NF-1) leads to cutaneous, neurological, and musculoskeletal manifestations. Congenital pseudarthrosis of the tibia treatment is considered aggressive in achieving bone union. Most of those patients get a short limb at the end of treatment because of pathological bone resection and malalignment. One of the manifestations that can appear in patients is localized hemihypertrophy of the limb. In our case, we present the first time a coexistence of congenital pseudarthrosis of the tibia and hemihypertrophy in the same leg was reported.</p>","PeriodicalId":45062,"journal":{"name":"Journal of the American Academy of Orthopaedic Surgeons Global Research and Reviews","volume":"9 7","pages":""},"PeriodicalIF":2.1000,"publicationDate":"2025-07-02","publicationTypes":"Journal Article","fieldsOfStudy":null,"isOpenAccess":false,"openAccessPdf":"https://www.ncbi.nlm.nih.gov/pmc/articles/PMC12189972/pdf/","citationCount":"0","resultStr":"{\"title\":\"Coincidence of Congenital Pseudarthrosis of the Tibia and Hemihypertrophy in a Patient With Neurofibromatosis Type 1.\",\"authors\":\"Fahad A Alshayhan, Reggie C Hamdy\",\"doi\":\"10.5435/JAAOSGlobal-D-25-00030\",\"DOIUrl\":null,\"url\":null,\"abstract\":\"<p><p>Neurofibromatosis type 1 (NF-1) leads to cutaneous, neurological, and musculoskeletal manifestations. Congenital pseudarthrosis of the tibia treatment is considered aggressive in achieving bone union. Most of those patients get a short limb at the end of treatment because of pathological bone resection and malalignment. One of the manifestations that can appear in patients is localized hemihypertrophy of the limb. In our case, we present the first time a coexistence of congenital pseudarthrosis of the tibia and hemihypertrophy in the same leg was reported.</p>\",\"PeriodicalId\":45062,\"journal\":{\"name\":\"Journal of the American Academy of Orthopaedic Surgeons Global Research and Reviews\",\"volume\":\"9 7\",\"pages\":\"\"},\"PeriodicalIF\":2.1000,\"publicationDate\":\"2025-07-02\",\"publicationTypes\":\"Journal Article\",\"fieldsOfStudy\":null,\"isOpenAccess\":false,\"openAccessPdf\":\"https://www.ncbi.nlm.nih.gov/pmc/articles/PMC12189972/pdf/\",\"citationCount\":\"0\",\"resultStr\":null,\"platform\":\"Semanticscholar\",\"paperid\":null,\"PeriodicalName\":\"Journal of the American Academy of Orthopaedic Surgeons Global Research and Reviews\",\"FirstCategoryId\":\"1085\",\"ListUrlMain\":\"https://doi.org/10.5435/JAAOSGlobal-D-25-00030\",\"RegionNum\":0,\"RegionCategory\":null,\"ArticlePicture\":[],\"TitleCN\":null,\"AbstractTextCN\":null,\"PMCID\":null,\"EPubDate\":\"2025/7/1 0:00:00\",\"PubModel\":\"eCollection\",\"JCR\":\"Q2\",\"JCRName\":\"ORTHOPEDICS\",\"Score\":null,\"Total\":0}","platform":"Semanticscholar","paperid":null,"PeriodicalName":"Journal of the American Academy of Orthopaedic Surgeons Global Research and Reviews","FirstCategoryId":"1085","ListUrlMain":"https://doi.org/10.5435/JAAOSGlobal-D-25-00030","RegionNum":0,"RegionCategory":null,"ArticlePicture":[],"TitleCN":null,"AbstractTextCN":null,"PMCID":null,"EPubDate":"2025/7/1 0:00:00","PubModel":"eCollection","JCR":"Q2","JCRName":"ORTHOPEDICS","Score":null,"Total":0}
引用次数: 0

摘要

1型神经纤维瘤病(NF-1)导致皮肤、神经和肌肉骨骼表现。先天性胫骨假关节治疗被认为是实现骨愈合的积极手段。大多数患者在治疗结束时由于病理性骨切除和不对齐而导致肢体短。患者可能出现的表现之一是肢体局部半肥厚。在我们的病例中,我们首次报道了同一条腿先天性胫骨假关节和半肥厚并存的情况。
本文章由计算机程序翻译,如有差异,请以英文原文为准。

Coincidence of Congenital Pseudarthrosis of the Tibia and Hemihypertrophy in a Patient With Neurofibromatosis Type 1.

Coincidence of Congenital Pseudarthrosis of the Tibia and Hemihypertrophy in a Patient With Neurofibromatosis Type 1.

Coincidence of Congenital Pseudarthrosis of the Tibia and Hemihypertrophy in a Patient With Neurofibromatosis Type 1.

Coincidence of Congenital Pseudarthrosis of the Tibia and Hemihypertrophy in a Patient With Neurofibromatosis Type 1.

Neurofibromatosis type 1 (NF-1) leads to cutaneous, neurological, and musculoskeletal manifestations. Congenital pseudarthrosis of the tibia treatment is considered aggressive in achieving bone union. Most of those patients get a short limb at the end of treatment because of pathological bone resection and malalignment. One of the manifestations that can appear in patients is localized hemihypertrophy of the limb. In our case, we present the first time a coexistence of congenital pseudarthrosis of the tibia and hemihypertrophy in the same leg was reported.

求助全文
通过发布文献求助,成功后即可免费获取论文全文。 去求助
来源期刊
CiteScore
2.60
自引率
6.70%
发文量
282
审稿时长
8 weeks
×
引用
GB/T 7714-2015
复制
MLA
复制
APA
复制
导出至
BibTeX EndNote RefMan NoteFirst NoteExpress
×
提示
您的信息不完整,为了账户安全,请先补充。
现在去补充
×
提示
您因"违规操作"
具体请查看互助需知
我知道了
×
提示
确定
请完成安全验证×
copy
已复制链接
快去分享给好友吧!
我知道了
右上角分享
点击右上角分享
0
联系我们:info@booksci.cn Book学术提供免费学术资源搜索服务,方便国内外学者检索中英文文献。致力于提供最便捷和优质的服务体验。 Copyright © 2023 布克学术 All rights reserved.
京ICP备2023020795号-1
ghs 京公网安备 11010802042870号
Book学术文献互助
Book学术文献互助群
群 号:604180095
Book学术官方微信