针刺精准定位:超声引导下治疗非特异性腰痛的试点和可行性研究方案。

IF 1.6 Q3 MEDICINE, RESEARCH & EXPERIMENTAL
Zihan Liu, Tianying Chang, Jili Fu, Hui Chi, Xiaodan Wang, Lisha Wang, Wenqi Cui, Yingzi Cui, Zhibin Cong
{"title":"针刺精准定位:超声引导下治疗非特异性腰痛的试点和可行性研究方案。","authors":"Zihan Liu, Tianying Chang, Jili Fu, Hui Chi, Xiaodan Wang, Lisha Wang, Wenqi Cui, Yingzi Cui, Zhibin Cong","doi":"10.1186/s40814-025-01673-x","DOIUrl":null,"url":null,"abstract":"<p><strong>Introduction: </strong>Non-specific low back pain (NLBP) is increasingly prevalent in the world due to changes in lifestyle and work habits. It is found that the symptom is usually associated with damage in the thoracolumbar fascia (TLF) and its surrounding muscles. This paper introduces a pioneering approach for treating NLBP, using the heterogeneous echo zones on ultrasound images as needling targets, presenting a novel treatment protocol.</p><p><strong>Methods: </strong>An open randomized controlled trial is designed and conducted, in which 48 patients with NLBP will be randomly allocated at a ratio of one to one to an ultrasound-guided acupuncture (UGA) group and a regular acupuncture treatment (RA) group. The trial involves a 3-week treatment along with a follow-up for 3 weeks. Its primary purpose is to evaluate the feasibility and safety of ultrasound-guided acupuncture in the TLF and its adjacent muscles as a treatment method for NLBP. As its secondary objective, the treatment effectiveness will be assessed by observing the changes in the patient's pain level and low back dysfunction before and after treatment. The ultrasound-related parameters and adverse events will also be collected.</p><p><strong>Discussion: </strong>It is a novel therapeutic approach to treat NLBP with ultrasound-guided acupuncture performed in the TLF and its adjacent muscles, which is characterized by integrating acupuncture with ultrasound. This study is a single-site, open, randomized controlled study designed and conducted to evaluate the effectiveness of the method. If this strategy turns out to be safe and feasible, future in-depth and extensive research will be planned.</p><p><strong>Trial registration: </strong>International Traditional Medicine Clinical Trial Registry, ITMCTR2025000046. Registered on January 9, 2025. http://itmctr.ccebtcm.org.cn/.</p>","PeriodicalId":20176,"journal":{"name":"Pilot and Feasibility Studies","volume":"11 1","pages":"89"},"PeriodicalIF":1.6000,"publicationDate":"2025-07-01","publicationTypes":"Journal Article","fieldsOfStudy":null,"isOpenAccess":false,"openAccessPdf":"https://www.ncbi.nlm.nih.gov/pmc/articles/PMC12210429/pdf/","citationCount":"0","resultStr":"{\"title\":\"Precision targeting in acupuncture: a pilot and feasibility study protocol of ultrasound-guided approach for non-specific low back pain.\",\"authors\":\"Zihan Liu, Tianying Chang, Jili Fu, Hui Chi, Xiaodan Wang, Lisha Wang, Wenqi Cui, Yingzi Cui, Zhibin Cong\",\"doi\":\"10.1186/s40814-025-01673-x\",\"DOIUrl\":null,\"url\":null,\"abstract\":\"<p><strong>Introduction: </strong>Non-specific low back pain (NLBP) is increasingly prevalent in the world due to changes in lifestyle and work habits. It is found that the symptom is usually associated with damage in the thoracolumbar fascia (TLF) and its surrounding muscles. This paper introduces a pioneering approach for treating NLBP, using the heterogeneous echo zones on ultrasound images as needling targets, presenting a novel treatment protocol.</p><p><strong>Methods: </strong>An open randomized controlled trial is designed and conducted, in which 48 patients with NLBP will be randomly allocated at a ratio of one to one to an ultrasound-guided acupuncture (UGA) group and a regular acupuncture treatment (RA) group. The trial involves a 3-week treatment along with a follow-up for 3 weeks. Its primary purpose is to evaluate the feasibility and safety of ultrasound-guided acupuncture in the TLF and its adjacent muscles as a treatment method for NLBP. As its secondary objective, the treatment effectiveness will be assessed by observing the changes in the patient's pain level and low back dysfunction before and after treatment. The ultrasound-related parameters and adverse events will also be collected.</p><p><strong>Discussion: </strong>It is a novel therapeutic approach to treat NLBP with ultrasound-guided acupuncture performed in the TLF and its adjacent muscles, which is characterized by integrating acupuncture with ultrasound. This study is a single-site, open, randomized controlled study designed and conducted to evaluate the effectiveness of the method. If this strategy turns out to be safe and feasible, future in-depth and extensive research will be planned.</p><p><strong>Trial registration: </strong>International Traditional Medicine Clinical Trial Registry, ITMCTR2025000046. Registered on January 9, 2025. http://itmctr.ccebtcm.org.cn/.</p>\",\"PeriodicalId\":20176,\"journal\":{\"name\":\"Pilot and Feasibility Studies\",\"volume\":\"11 1\",\"pages\":\"89\"},\"PeriodicalIF\":1.6000,\"publicationDate\":\"2025-07-01\",\"publicationTypes\":\"Journal Article\",\"fieldsOfStudy\":null,\"isOpenAccess\":false,\"openAccessPdf\":\"https://www.ncbi.nlm.nih.gov/pmc/articles/PMC12210429/pdf/\",\"citationCount\":\"0\",\"resultStr\":null,\"platform\":\"Semanticscholar\",\"paperid\":null,\"PeriodicalName\":\"Pilot and Feasibility Studies\",\"FirstCategoryId\":\"1085\",\"ListUrlMain\":\"https://doi.org/10.1186/s40814-025-01673-x\",\"RegionNum\":0,\"RegionCategory\":null,\"ArticlePicture\":[],\"TitleCN\":null,\"AbstractTextCN\":null,\"PMCID\":null,\"EPubDate\":\"\",\"PubModel\":\"\",\"JCR\":\"Q3\",\"JCRName\":\"MEDICINE, RESEARCH & EXPERIMENTAL\",\"Score\":null,\"Total\":0}","platform":"Semanticscholar","paperid":null,"PeriodicalName":"Pilot and Feasibility Studies","FirstCategoryId":"1085","ListUrlMain":"https://doi.org/10.1186/s40814-025-01673-x","RegionNum":0,"RegionCategory":null,"ArticlePicture":[],"TitleCN":null,"AbstractTextCN":null,"PMCID":null,"EPubDate":"","PubModel":"","JCR":"Q3","JCRName":"MEDICINE, RESEARCH & EXPERIMENTAL","Score":null,"Total":0}
引用次数: 0

摘要

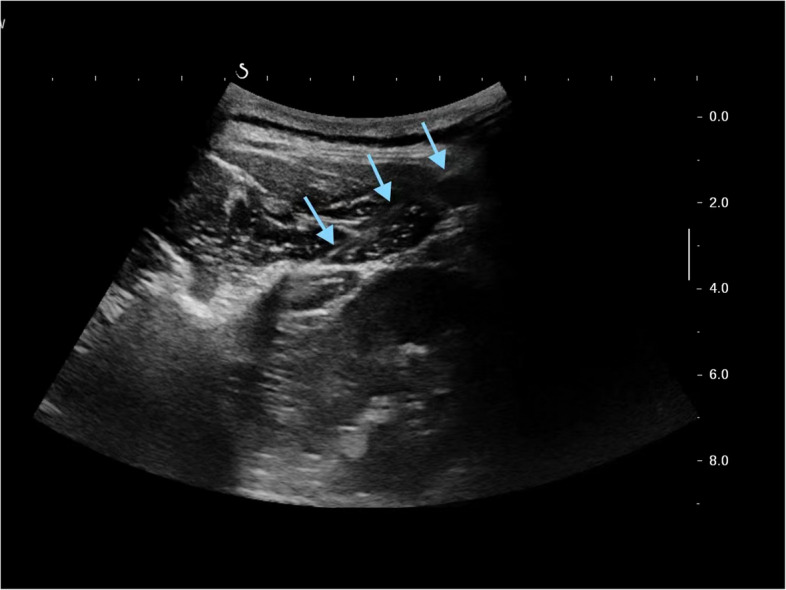
简介:由于生活方式和工作习惯的改变,非特异性腰痛(NLBP)在世界范围内越来越普遍。我们发现这种症状通常与胸腰筋膜及其周围肌肉的损伤有关。本文介绍了一种治疗NLBP的开创性方法,利用超声图像上的非均匀回声区作为针刺靶点,提出了一种新的治疗方案。方法:设计并进行开放随机对照试验,将48例NLBP患者按1比1的比例随机分为超声引导针灸(UGA)组和常规针灸治疗(RA)组。该试验包括3周的治疗和3周的随访。其主要目的是评估超声引导下TLF及其邻近肌肉针刺治疗NLBP的可行性和安全性。次要目的是通过观察治疗前后患者疼痛程度和腰背部功能障碍的变化来评估治疗效果。超声相关参数和不良事件也将被收集。讨论:超声引导下对TLF及其邻近肌肉进行针刺治疗NLBP是一种新的治疗方法,其特点是针刺与超声相结合。本研究是一项单点、开放、随机对照研究,旨在评估该方法的有效性。如果这一策略被证明是安全可行的,未来将计划进行深入和广泛的研究。试验注册:国际传统医学临床试验注册中心,ITMCTR2025000046。2025年1月9日注册。http://itmctr.ccebtcm.org.cn/。
本文章由计算机程序翻译,如有差异,请以英文原文为准。

Precision targeting in acupuncture: a pilot and feasibility study protocol of ultrasound-guided approach for non-specific low back pain.

Precision targeting in acupuncture: a pilot and feasibility study protocol of ultrasound-guided approach for non-specific low back pain.

Precision targeting in acupuncture: a pilot and feasibility study protocol of ultrasound-guided approach for non-specific low back pain.

Precision targeting in acupuncture: a pilot and feasibility study protocol of ultrasound-guided approach for non-specific low back pain.

Introduction: Non-specific low back pain (NLBP) is increasingly prevalent in the world due to changes in lifestyle and work habits. It is found that the symptom is usually associated with damage in the thoracolumbar fascia (TLF) and its surrounding muscles. This paper introduces a pioneering approach for treating NLBP, using the heterogeneous echo zones on ultrasound images as needling targets, presenting a novel treatment protocol.

Methods: An open randomized controlled trial is designed and conducted, in which 48 patients with NLBP will be randomly allocated at a ratio of one to one to an ultrasound-guided acupuncture (UGA) group and a regular acupuncture treatment (RA) group. The trial involves a 3-week treatment along with a follow-up for 3 weeks. Its primary purpose is to evaluate the feasibility and safety of ultrasound-guided acupuncture in the TLF and its adjacent muscles as a treatment method for NLBP. As its secondary objective, the treatment effectiveness will be assessed by observing the changes in the patient's pain level and low back dysfunction before and after treatment. The ultrasound-related parameters and adverse events will also be collected.

Discussion: It is a novel therapeutic approach to treat NLBP with ultrasound-guided acupuncture performed in the TLF and its adjacent muscles, which is characterized by integrating acupuncture with ultrasound. This study is a single-site, open, randomized controlled study designed and conducted to evaluate the effectiveness of the method. If this strategy turns out to be safe and feasible, future in-depth and extensive research will be planned.

Trial registration: International Traditional Medicine Clinical Trial Registry, ITMCTR2025000046. Registered on January 9, 2025. http://itmctr.ccebtcm.org.cn/.

求助全文
通过发布文献求助,成功后即可免费获取论文全文。 去求助
来源期刊
Pilot and Feasibility Studies
Pilot and Feasibility Studies Medicine-Medicine (miscellaneous)
CiteScore
2.70
自引率
5.90%
发文量
241
审稿时长
9 weeks
期刊介绍: Pilot and Feasibility Studies encompasses all aspects of the design, conduct and reporting of pilot and feasibility studies in biomedicine. The journal publishes research articles that are intended to directly influence future clinical trials or large scale observational studies, as well as protocols, commentaries and methodology articles. The journal also ensures that the results of all well-conducted, peer-reviewed, pilot and feasibility studies are published, regardless of outcome or significance of findings. Pilot and feasibility studies are increasingly conducted prior to a full randomized controlled trial. However, these studies often lack clear objectives, many remain unpublished, and there is confusion over the meanings of the words “pilot” and “feasibility”. Pilot and Feasibility Studies provides a forum for discussion around this key aspect of the scientific process, and seeks to ensure that these studies are published, so as to complete the publication thread for clinical research.
×
引用
GB/T 7714-2015
复制
MLA
复制
APA
复制
导出至
BibTeX EndNote RefMan NoteFirst NoteExpress
×
提示
您的信息不完整,为了账户安全,请先补充。
现在去补充
×
提示
您因"违规操作"
具体请查看互助需知
我知道了
×
提示
确定
请完成安全验证×
copy
已复制链接
快去分享给好友吧!
我知道了
右上角分享
点击右上角分享
0
联系我们:info@booksci.cn Book学术提供免费学术资源搜索服务,方便国内外学者检索中英文文献。致力于提供最便捷和优质的服务体验。 Copyright © 2023 布克学术 All rights reserved.
京ICP备2023020795号-1
ghs 京公网安备 11010802042870号
Book学术文献互助
Book学术文献互助群
群 号:604180095
Book学术官方微信