脾动脉瘤血管内治疗的安全性和有效性:单中心经验。

IF 1.8 3区 医学 Q2 SURGERY
Laura Lech, Annette Thurner, Dominik Peter, Christoph-Thomas Germer, Sven Flemming, Ralph Kickuth
{"title":"脾动脉瘤血管内治疗的安全性和有效性:单中心经验。","authors":"Laura Lech, Annette Thurner, Dominik Peter, Christoph-Thomas Germer, Sven Flemming, Ralph Kickuth","doi":"10.1007/s00423-025-03791-9","DOIUrl":null,"url":null,"abstract":"","PeriodicalId":17983,"journal":{"name":"Langenbeck's Archives of Surgery","volume":"410 1","pages":"205"},"PeriodicalIF":1.8000,"publicationDate":"2025-07-01","publicationTypes":"Journal Article","fieldsOfStudy":null,"isOpenAccess":false,"openAccessPdf":"https://www.ncbi.nlm.nih.gov/pmc/articles/PMC12213887/pdf/","citationCount":"0","resultStr":"{\"title\":\"Safety and effectiveness of endovascular treatment of splenic artery aneurysms: a single centre experience.\",\"authors\":\"Laura Lech, Annette Thurner, Dominik Peter, Christoph-Thomas Germer, Sven Flemming, Ralph Kickuth\",\"doi\":\"10.1007/s00423-025-03791-9\",\"DOIUrl\":null,\"url\":null,\"abstract\":\"\",\"PeriodicalId\":17983,\"journal\":{\"name\":\"Langenbeck's Archives of Surgery\",\"volume\":\"410 1\",\"pages\":\"205\"},\"PeriodicalIF\":1.8000,\"publicationDate\":\"2025-07-01\",\"publicationTypes\":\"Journal Article\",\"fieldsOfStudy\":null,\"isOpenAccess\":false,\"openAccessPdf\":\"https://www.ncbi.nlm.nih.gov/pmc/articles/PMC12213887/pdf/\",\"citationCount\":\"0\",\"resultStr\":null,\"platform\":\"Semanticscholar\",\"paperid\":null,\"PeriodicalName\":\"Langenbeck's Archives of Surgery\",\"FirstCategoryId\":\"3\",\"ListUrlMain\":\"https://doi.org/10.1007/s00423-025-03791-9\",\"RegionNum\":3,\"RegionCategory\":\"医学\",\"ArticlePicture\":[],\"TitleCN\":null,\"AbstractTextCN\":null,\"PMCID\":null,\"EPubDate\":\"\",\"PubModel\":\"\",\"JCR\":\"Q2\",\"JCRName\":\"SURGERY\",\"Score\":null,\"Total\":0}","platform":"Semanticscholar","paperid":null,"PeriodicalName":"Langenbeck's Archives of Surgery","FirstCategoryId":"3","ListUrlMain":"https://doi.org/10.1007/s00423-025-03791-9","RegionNum":3,"RegionCategory":"医学","ArticlePicture":[],"TitleCN":null,"AbstractTextCN":null,"PMCID":null,"EPubDate":"","PubModel":"","JCR":"Q2","JCRName":"SURGERY","Score":null,"Total":0}
引用次数: 0

摘要

本文章由计算机程序翻译,如有差异,请以英文原文为准。

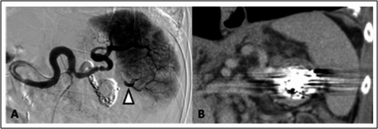
Safety and effectiveness of endovascular treatment of splenic artery aneurysms: a single centre experience.

Safety and effectiveness of endovascular treatment of splenic artery aneurysms: a single centre experience.

Safety and effectiveness of endovascular treatment of splenic artery aneurysms: a single centre experience.
求助全文
通过发布文献求助,成功后即可免费获取论文全文。 去求助
来源期刊
CiteScore
3.30
自引率
8.70%
发文量
342
审稿时长
4-8 weeks
期刊介绍: Langenbeck''s Archives of Surgery aims to publish the best results in the field of clinical surgery and basic surgical research. The main focus is on providing the highest level of clinical research and clinically relevant basic research. The journal, published exclusively in English, will provide an international discussion forum for the controlled results of clinical surgery. The majority of published contributions will be original articles reporting on clinical data from general and visceral surgery, while endocrine surgery will also be covered. Papers on basic surgical principles from the fields of traumatology, vascular and thoracic surgery are also welcome. Evidence-based medicine is an important criterion for the acceptance of papers.
×
引用
GB/T 7714-2015
复制
MLA
复制
APA
复制
导出至
BibTeX EndNote RefMan NoteFirst NoteExpress
×
提示
您的信息不完整,为了账户安全,请先补充。
现在去补充
×
提示
您因"违规操作"
具体请查看互助需知
我知道了
×
提示
确定
请完成安全验证×
copy
已复制链接
快去分享给好友吧!
我知道了
右上角分享
点击右上角分享
0
联系我们:info@booksci.cn Book学术提供免费学术资源搜索服务,方便国内外学者检索中英文文献。致力于提供最便捷和优质的服务体验。 Copyright © 2023 布克学术 All rights reserved.
京ICP备2023020795号-1
ghs 京公网安备 11010802042870号
Book学术文献互助
Book学术文献互助群
群 号:604180095
Book学术官方微信