急性a型主动脉夹层修复术后术中TEE检测进行性冠状动脉狭窄1例。

IF 1 Q3 ANESTHESIOLOGY
Asuka Komatsu, Hiroki Tateiwa, Kazumasa Orihashi, Takashi Kawano
{"title":"急性a型主动脉夹层修复术后术中TEE检测进行性冠状动脉狭窄1例。","authors":"Asuka Komatsu, Hiroki Tateiwa, Kazumasa Orihashi, Takashi Kawano","doi":"10.1186/s40981-025-00802-y","DOIUrl":null,"url":null,"abstract":"<p><strong>Background: </strong>Acute type-A aortic dissection is a life-threatening condition requiring urgent intervention. Among its complications, coronary malperfusion is particularly fatal. Although rare, coronary artery stenosis after surgical repair is critical yet underrecognized.</p><p><strong>Case presentation: </strong>A 77-year-old man underwent emergency aortic arch replacement for acute type-A aortic dissection. Intraoperative transesophageal echocardiography (TEE) initially showed no coronary involvement. However, ST-segment elevation and new hypokinesia appeared post-repair. TEE identified progressive left main coronary artery stenosis. Coronary angiography confirmed severe stenosis, leading to urgent coronary artery bypass grafting. The patient recovered well and was discharged on postoperative day 33.</p><p><strong>Conclusions: </strong>This case highlights the importance of intraoperative TEE for early detection of coronary complications following acute type-A aortic dissection repair. Dissection can progress even after aortic replacement surgery and requires vigilance. Careful monitoring and prompt intervention are crucial to optimize the outcome of these rare but life-threatening events.</p>","PeriodicalId":14635,"journal":{"name":"JA Clinical Reports","volume":"11 1","pages":"38"},"PeriodicalIF":1.0000,"publicationDate":"2025-07-01","publicationTypes":"Journal Article","fieldsOfStudy":null,"isOpenAccess":false,"openAccessPdf":"https://www.ncbi.nlm.nih.gov/pmc/articles/PMC12214222/pdf/","citationCount":"0","resultStr":"{\"title\":\"Progressive coronary stenosis detected by intraoperative TEE after acute type-A aortic dissection repair: a case report.\",\"authors\":\"Asuka Komatsu, Hiroki Tateiwa, Kazumasa Orihashi, Takashi Kawano\",\"doi\":\"10.1186/s40981-025-00802-y\",\"DOIUrl\":null,\"url\":null,\"abstract\":\"<p><strong>Background: </strong>Acute type-A aortic dissection is a life-threatening condition requiring urgent intervention. Among its complications, coronary malperfusion is particularly fatal. Although rare, coronary artery stenosis after surgical repair is critical yet underrecognized.</p><p><strong>Case presentation: </strong>A 77-year-old man underwent emergency aortic arch replacement for acute type-A aortic dissection. Intraoperative transesophageal echocardiography (TEE) initially showed no coronary involvement. However, ST-segment elevation and new hypokinesia appeared post-repair. TEE identified progressive left main coronary artery stenosis. Coronary angiography confirmed severe stenosis, leading to urgent coronary artery bypass grafting. The patient recovered well and was discharged on postoperative day 33.</p><p><strong>Conclusions: </strong>This case highlights the importance of intraoperative TEE for early detection of coronary complications following acute type-A aortic dissection repair. Dissection can progress even after aortic replacement surgery and requires vigilance. Careful monitoring and prompt intervention are crucial to optimize the outcome of these rare but life-threatening events.</p>\",\"PeriodicalId\":14635,\"journal\":{\"name\":\"JA Clinical Reports\",\"volume\":\"11 1\",\"pages\":\"38\"},\"PeriodicalIF\":1.0000,\"publicationDate\":\"2025-07-01\",\"publicationTypes\":\"Journal Article\",\"fieldsOfStudy\":null,\"isOpenAccess\":false,\"openAccessPdf\":\"https://www.ncbi.nlm.nih.gov/pmc/articles/PMC12214222/pdf/\",\"citationCount\":\"0\",\"resultStr\":null,\"platform\":\"Semanticscholar\",\"paperid\":null,\"PeriodicalName\":\"JA Clinical Reports\",\"FirstCategoryId\":\"1085\",\"ListUrlMain\":\"https://doi.org/10.1186/s40981-025-00802-y\",\"RegionNum\":0,\"RegionCategory\":null,\"ArticlePicture\":[],\"TitleCN\":null,\"AbstractTextCN\":null,\"PMCID\":null,\"EPubDate\":\"\",\"PubModel\":\"\",\"JCR\":\"Q3\",\"JCRName\":\"ANESTHESIOLOGY\",\"Score\":null,\"Total\":0}","platform":"Semanticscholar","paperid":null,"PeriodicalName":"JA Clinical Reports","FirstCategoryId":"1085","ListUrlMain":"https://doi.org/10.1186/s40981-025-00802-y","RegionNum":0,"RegionCategory":null,"ArticlePicture":[],"TitleCN":null,"AbstractTextCN":null,"PMCID":null,"EPubDate":"","PubModel":"","JCR":"Q3","JCRName":"ANESTHESIOLOGY","Score":null,"Total":0}
引用次数: 0

摘要

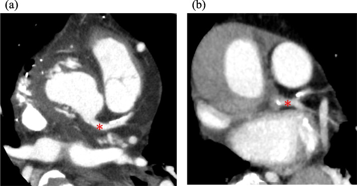
背景:急性a型主动脉夹层是一种危及生命的疾病,需要紧急干预。在其并发症中,冠状动脉灌注不良尤其致命。冠状动脉狭窄虽然罕见,但手术修复后的冠状动脉狭窄是至关重要的,但尚未得到充分认识。病例介绍:一名77岁男性因急性A型主动脉夹层接受紧急主动脉弓置换术。术中经食管超声心动图(TEE)最初未显示冠状动脉受累。然而,修复后出现st段抬高和新的运动功能减退。TEE诊断进行性左主干冠状动脉狭窄。冠状动脉造影证实严重狭窄,导致紧急冠状动脉旁路移植术。患者恢复良好,术后第33天出院。结论:本病例强调了术中TEE对急性a型主动脉夹层修复术后早期发现冠状动脉并发症的重要性。即使在主动脉置换手术后,夹层也可能继续发展,需要警惕。仔细监测和及时干预对于优化这些罕见但危及生命的事件的结果至关重要。
本文章由计算机程序翻译,如有差异,请以英文原文为准。

Progressive coronary stenosis detected by intraoperative TEE after acute type-A aortic dissection repair: a case report.

Progressive coronary stenosis detected by intraoperative TEE after acute type-A aortic dissection repair: a case report.

Progressive coronary stenosis detected by intraoperative TEE after acute type-A aortic dissection repair: a case report.

Progressive coronary stenosis detected by intraoperative TEE after acute type-A aortic dissection repair: a case report.

Background: Acute type-A aortic dissection is a life-threatening condition requiring urgent intervention. Among its complications, coronary malperfusion is particularly fatal. Although rare, coronary artery stenosis after surgical repair is critical yet underrecognized.

Case presentation: A 77-year-old man underwent emergency aortic arch replacement for acute type-A aortic dissection. Intraoperative transesophageal echocardiography (TEE) initially showed no coronary involvement. However, ST-segment elevation and new hypokinesia appeared post-repair. TEE identified progressive left main coronary artery stenosis. Coronary angiography confirmed severe stenosis, leading to urgent coronary artery bypass grafting. The patient recovered well and was discharged on postoperative day 33.

Conclusions: This case highlights the importance of intraoperative TEE for early detection of coronary complications following acute type-A aortic dissection repair. Dissection can progress even after aortic replacement surgery and requires vigilance. Careful monitoring and prompt intervention are crucial to optimize the outcome of these rare but life-threatening events.

求助全文
通过发布文献求助,成功后即可免费获取论文全文。 去求助
来源期刊
JA Clinical Reports
JA Clinical Reports ANESTHESIOLOGY-
CiteScore
1.30
自引率
0.00%
发文量
90
审稿时长
9 weeks
期刊介绍: JA Clinical Reports is a companion journal to the Journal of Anesthesia (JA), the official journal of the Japanese Society of Anesthesiologists (JSA). This journal is an open access, peer-reviewed, online journal related to clinical anesthesia practices such as anesthesia management, pain management and intensive care. Case reports are very important articles from the viewpoint of education and the cultivation of scientific thinking in the field of anesthesia. However, submissions of anesthesia research and clinical reports from Japan are notably decreasing in major anesthesia journals. Therefore, the JSA has decided to launch a new journal, JA Clinical Reports, to encourage JSA members, particularly junior Japanese anesthesiologists, to publish papers in English language.
×
引用
GB/T 7714-2015
复制
MLA
复制
APA
复制
导出至
BibTeX EndNote RefMan NoteFirst NoteExpress
×
提示
您的信息不完整,为了账户安全,请先补充。
现在去补充
×
提示
您因"违规操作"
具体请查看互助需知
我知道了
×
提示
确定
请完成安全验证×
copy
已复制链接
快去分享给好友吧!
我知道了
右上角分享
点击右上角分享
0
联系我们:info@booksci.cn Book学术提供免费学术资源搜索服务,方便国内外学者检索中英文文献。致力于提供最便捷和优质的服务体验。 Copyright © 2023 布克学术 All rights reserved.
京ICP备2023020795号-1
ghs 京公网安备 11010802042870号
Book学术文献互助
Book学术文献互助群
群 号:604180095
Book学术官方微信