从速冻犬胰腺组织中分离的粗粒体保留了其共翻译易位功能。

IF 1.3 Q3 BIOCHEMICAL RESEARCH METHODS
Biology Methods and Protocols Pub Date : 2025-06-02 eCollection Date: 2025-01-01 DOI:10.1093/biomethods/bpaf044
Marianne Croonenborghs, Marijke Verhaegen, Eva Pauwels, Becky Provinciael, Kurt Vermeire
{"title":"从速冻犬胰腺组织中分离的粗粒体保留了其共翻译易位功能。","authors":"Marianne Croonenborghs, Marijke Verhaegen, Eva Pauwels, Becky Provinciael, Kurt Vermeire","doi":"10.1093/biomethods/bpaf044","DOIUrl":null,"url":null,"abstract":"<p><p>Proteins are essential for life in all organisms: they mediate cell signaling and cell division and provide structure/motility to cells and tissues. All proteins are synthesized on cytoplasmic ribosomes as unfolded precursors that need to find their correct location in the compartmentalized cell. In eukaryotes, ∼30% of the proteome is translocated across or integrated into the endoplasmic reticulum (ER) membrane, a process mostly mediated by the heterotrimeric Sec61 complex that spans the ER membrane. There is significant interest in identifying small-molecule inhibitors of the Sec61 translocon channel that hold great promise as putative anticancer, immunosuppressive, or antiviral drugs. Hence, representative models are needed to study Sec61-dependent protein import into the ER. Microsomal membranes (or microsomes) isolated from dog pancreatic tissue are the primary source of mammalian ER for cell-free <i>in vitro</i> protein translocation research. Here, we demonstrate that for the isolation of microsomal membranes, snap-frozen canine pancreatic tissue can serve as a valuable alternative to freshly isolated organ tissue from euthanized animals. For 17 out of 20 animals, a sufficient yield of microsomes was extracted from defrosted pancreatic tissue. The isolated microsomes contained the essential proteins of the translocation machinery, and proved to be intact as verified by the detection of ER lumenal chaperones. Importantly, 13 out of the 17 microsome samples retained their translocation competence, as reflected by successful <i>in vitro</i> co-translational translocation of wild-type bovine preprolactin. The microsomes supported post-translational modifications of the tested substrates such as signal peptide cleavage and N-linked glycosylation. Furthermore, the tested microsome samples responded well to the translocation inhibitor cyclotriazadisulfonamide in suppressing human CD4 protein translocation into the ER. In conclusion, microsomes isolated from frozen canine pancreatic tissue proved to retain their co-translational translocation functionality that can contribute to our research of Sec61-dependent protein translocation and selective inhibition thereof.</p>","PeriodicalId":36528,"journal":{"name":"Biology Methods and Protocols","volume":"10 1","pages":"bpaf044"},"PeriodicalIF":1.3000,"publicationDate":"2025-06-02","publicationTypes":"Journal Article","fieldsOfStudy":null,"isOpenAccess":false,"openAccessPdf":"https://www.ncbi.nlm.nih.gov/pmc/articles/PMC12203168/pdf/","citationCount":"0","resultStr":"{\"title\":\"Rough microsomes isolated from snap-frozen canine pancreatic tissue retain their co-translational translocation functionality.\",\"authors\":\"Marianne Croonenborghs, Marijke Verhaegen, Eva Pauwels, Becky Provinciael, Kurt Vermeire\",\"doi\":\"10.1093/biomethods/bpaf044\",\"DOIUrl\":null,\"url\":null,\"abstract\":\"<p><p>Proteins are essential for life in all organisms: they mediate cell signaling and cell division and provide structure/motility to cells and tissues. All proteins are synthesized on cytoplasmic ribosomes as unfolded precursors that need to find their correct location in the compartmentalized cell. In eukaryotes, ∼30% of the proteome is translocated across or integrated into the endoplasmic reticulum (ER) membrane, a process mostly mediated by the heterotrimeric Sec61 complex that spans the ER membrane. There is significant interest in identifying small-molecule inhibitors of the Sec61 translocon channel that hold great promise as putative anticancer, immunosuppressive, or antiviral drugs. Hence, representative models are needed to study Sec61-dependent protein import into the ER. Microsomal membranes (or microsomes) isolated from dog pancreatic tissue are the primary source of mammalian ER for cell-free <i>in vitro</i> protein translocation research. Here, we demonstrate that for the isolation of microsomal membranes, snap-frozen canine pancreatic tissue can serve as a valuable alternative to freshly isolated organ tissue from euthanized animals. For 17 out of 20 animals, a sufficient yield of microsomes was extracted from defrosted pancreatic tissue. The isolated microsomes contained the essential proteins of the translocation machinery, and proved to be intact as verified by the detection of ER lumenal chaperones. Importantly, 13 out of the 17 microsome samples retained their translocation competence, as reflected by successful <i>in vitro</i> co-translational translocation of wild-type bovine preprolactin. The microsomes supported post-translational modifications of the tested substrates such as signal peptide cleavage and N-linked glycosylation. Furthermore, the tested microsome samples responded well to the translocation inhibitor cyclotriazadisulfonamide in suppressing human CD4 protein translocation into the ER. In conclusion, microsomes isolated from frozen canine pancreatic tissue proved to retain their co-translational translocation functionality that can contribute to our research of Sec61-dependent protein translocation and selective inhibition thereof.</p>\",\"PeriodicalId\":36528,\"journal\":{\"name\":\"Biology Methods and Protocols\",\"volume\":\"10 1\",\"pages\":\"bpaf044\"},\"PeriodicalIF\":1.3000,\"publicationDate\":\"2025-06-02\",\"publicationTypes\":\"Journal Article\",\"fieldsOfStudy\":null,\"isOpenAccess\":false,\"openAccessPdf\":\"https://www.ncbi.nlm.nih.gov/pmc/articles/PMC12203168/pdf/\",\"citationCount\":\"0\",\"resultStr\":null,\"platform\":\"Semanticscholar\",\"paperid\":null,\"PeriodicalName\":\"Biology Methods and Protocols\",\"FirstCategoryId\":\"1085\",\"ListUrlMain\":\"https://doi.org/10.1093/biomethods/bpaf044\",\"RegionNum\":0,\"RegionCategory\":null,\"ArticlePicture\":[],\"TitleCN\":null,\"AbstractTextCN\":null,\"PMCID\":null,\"EPubDate\":\"2025/1/1 0:00:00\",\"PubModel\":\"eCollection\",\"JCR\":\"Q3\",\"JCRName\":\"BIOCHEMICAL RESEARCH METHODS\",\"Score\":null,\"Total\":0}","platform":"Semanticscholar","paperid":null,"PeriodicalName":"Biology Methods and Protocols","FirstCategoryId":"1085","ListUrlMain":"https://doi.org/10.1093/biomethods/bpaf044","RegionNum":0,"RegionCategory":null,"ArticlePicture":[],"TitleCN":null,"AbstractTextCN":null,"PMCID":null,"EPubDate":"2025/1/1 0:00:00","PubModel":"eCollection","JCR":"Q3","JCRName":"BIOCHEMICAL RESEARCH METHODS","Score":null,"Total":0}
引用次数: 0

摘要

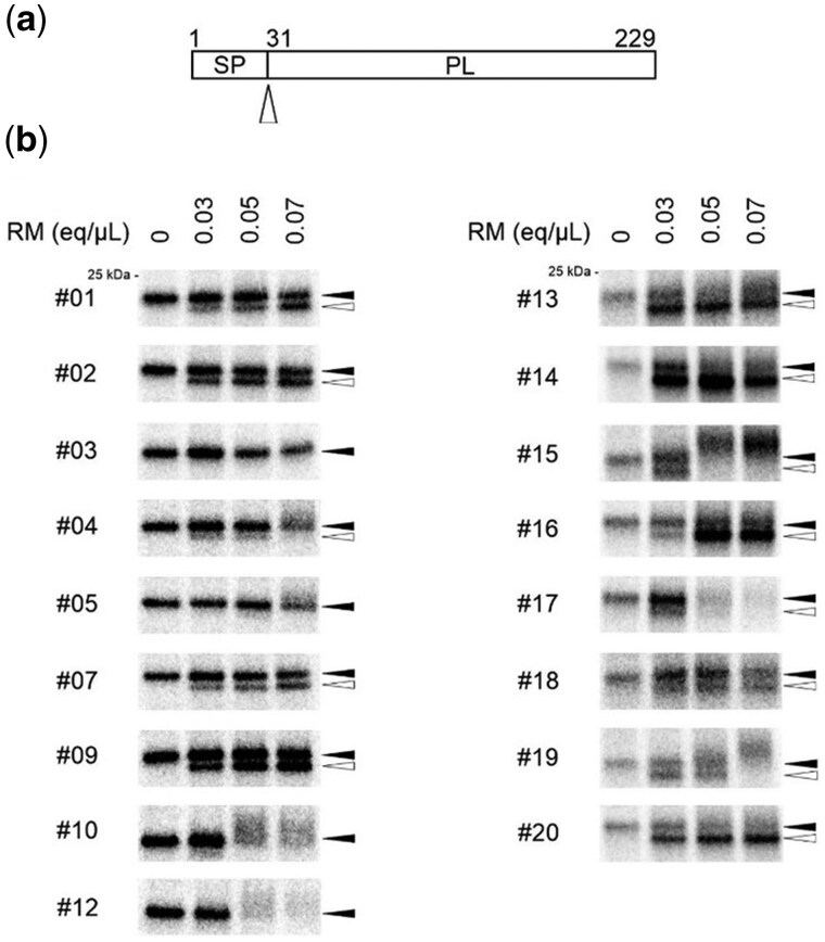
蛋白质对所有生物体的生命都至关重要:它们介导细胞信号传导和细胞分裂,并为细胞和组织提供结构/运动性。所有蛋白质都是作为未折叠的前体在细胞质核糖体上合成的,这些前体需要在区隔化的细胞中找到正确的位置。在真核生物中,约30%的蛋白质组易位或整合到内质网(ER)膜上,这一过程主要由跨越内质网膜的异三聚体Sec61复合物介导。人们对鉴定Sec61易位通道的小分子抑制剂非常感兴趣,这些小分子抑制剂有望成为潜在的抗癌、免疫抑制或抗病毒药物。因此,需要有代表性的模型来研究sec61依赖性蛋白进入内质网的情况。从狗胰腺组织中分离的微粒体膜(或微粒体)是哺乳动物内质网的主要来源,用于体外无细胞蛋白易位研究。在这里,我们证明了对于微粒体膜的分离,快速冷冻的犬胰腺组织可以作为一种有价值的替代从安乐死动物身上新鲜分离的器官组织。对于20只动物中的17只,从解冻的胰腺组织中提取了足够产量的微粒体。分离的微粒体含有易位机制的必需蛋白质,并且通过内质网腔伴侣的检测证明是完整的。重要的是,17个微粒体样本中有13个保留了其易位能力,这反映在野生型牛泌乳素的体外共翻译易位中。这些微粒体支持被测底物的翻译后修饰,如信号肽切割和n链糖基化。此外,所测试的微粒体样品对易位抑制剂环三氮二磺酰胺在抑制人CD4蛋白易位到内质网方面反应良好。总之,从冷冻犬胰腺组织中分离的微粒体被证明保留了它们的共翻译易位功能,这有助于我们对sec61依赖性蛋白易位及其选择性抑制的研究。
本文章由计算机程序翻译,如有差异,请以英文原文为准。

Rough microsomes isolated from snap-frozen canine pancreatic tissue retain their co-translational translocation functionality.

Rough microsomes isolated from snap-frozen canine pancreatic tissue retain their co-translational translocation functionality.

Rough microsomes isolated from snap-frozen canine pancreatic tissue retain their co-translational translocation functionality.

Rough microsomes isolated from snap-frozen canine pancreatic tissue retain their co-translational translocation functionality.

Proteins are essential for life in all organisms: they mediate cell signaling and cell division and provide structure/motility to cells and tissues. All proteins are synthesized on cytoplasmic ribosomes as unfolded precursors that need to find their correct location in the compartmentalized cell. In eukaryotes, ∼30% of the proteome is translocated across or integrated into the endoplasmic reticulum (ER) membrane, a process mostly mediated by the heterotrimeric Sec61 complex that spans the ER membrane. There is significant interest in identifying small-molecule inhibitors of the Sec61 translocon channel that hold great promise as putative anticancer, immunosuppressive, or antiviral drugs. Hence, representative models are needed to study Sec61-dependent protein import into the ER. Microsomal membranes (or microsomes) isolated from dog pancreatic tissue are the primary source of mammalian ER for cell-free in vitro protein translocation research. Here, we demonstrate that for the isolation of microsomal membranes, snap-frozen canine pancreatic tissue can serve as a valuable alternative to freshly isolated organ tissue from euthanized animals. For 17 out of 20 animals, a sufficient yield of microsomes was extracted from defrosted pancreatic tissue. The isolated microsomes contained the essential proteins of the translocation machinery, and proved to be intact as verified by the detection of ER lumenal chaperones. Importantly, 13 out of the 17 microsome samples retained their translocation competence, as reflected by successful in vitro co-translational translocation of wild-type bovine preprolactin. The microsomes supported post-translational modifications of the tested substrates such as signal peptide cleavage and N-linked glycosylation. Furthermore, the tested microsome samples responded well to the translocation inhibitor cyclotriazadisulfonamide in suppressing human CD4 protein translocation into the ER. In conclusion, microsomes isolated from frozen canine pancreatic tissue proved to retain their co-translational translocation functionality that can contribute to our research of Sec61-dependent protein translocation and selective inhibition thereof.

求助全文
通过发布文献求助,成功后即可免费获取论文全文。 去求助
来源期刊
Biology Methods and Protocols
Biology Methods and Protocols Agricultural and Biological Sciences-Agricultural and Biological Sciences (all)
CiteScore
3.80
自引率
2.80%
发文量
28
审稿时长
19 weeks
×
引用
GB/T 7714-2015
复制
MLA
复制
APA
复制
导出至
BibTeX EndNote RefMan NoteFirst NoteExpress
×
提示
您的信息不完整,为了账户安全,请先补充。
现在去补充
×
提示
您因"违规操作"
具体请查看互助需知
我知道了
×
提示
确定
请完成安全验证×
copy
已复制链接
快去分享给好友吧!
我知道了
右上角分享
点击右上角分享
0
联系我们:info@booksci.cn Book学术提供免费学术资源搜索服务,方便国内外学者检索中英文文献。致力于提供最便捷和优质的服务体验。 Copyright © 2023 布克学术 All rights reserved.
京ICP备2023020795号-1
ghs 京公网安备 11010802042870号
Book学术文献互助
Book学术文献互助群
群 号:604180095
Book学术官方微信