特发性肩关节粘连性囊炎手术中肱二头肌腱长头肌腱切断术改善早期康复效果。

IF 2.1 2区 医学 Q2 ORTHOPEDICS
Orthopaedic Surgery Pub Date : 2025-08-01 Epub Date: 2025-06-27 DOI:10.1111/os.70104
Jia-Long Luo, Ye-Bin Huang, Xing-Hao Deng, Jing-Song Wang, Yu-Heng Li, Wei-Ping Li, Chuan Jiang, Zheng-Zheng Zhang, Zhong Chen
{"title":"特发性肩关节粘连性囊炎手术中肱二头肌腱长头肌腱切断术改善早期康复效果。","authors":"Jia-Long Luo, Ye-Bin Huang, Xing-Hao Deng, Jing-Song Wang, Yu-Heng Li, Wei-Ping Li, Chuan Jiang, Zheng-Zheng Zhang, Zhong Chen","doi":"10.1111/os.70104","DOIUrl":null,"url":null,"abstract":"<p><strong>Objective: </strong>Idiopathic glenohumeral adhesive capsulitis, known as idiopathic frozen shoulder (IFS) and characterized by pain and limited motion of the shoulder, is often treated by arthroscopic capsule release surgery, though residual symptoms may remain postoperatively. Due to overlapping symptoms and shared anatomical involvement, it is hard to distinguish the source of shoulder pain between concurrent long head of the biceps tendon (LHBT) inflammation and IFS. The study aimed to verify that LHBT tenotomy, compared with leaving it in situ, could provide better pain reduction and shoulder mobility in early rehabilitation of post-arthroscopic IFS capsule release surgery.</p><p><strong>Methods: </strong>From January 2020 to January 2022, 73 patients with idiopathic adhesive capsulitis were divided into two groups based on the preoperative LHBT lesions and treatment received for LHBT: tenotomy or left in situ. All patients underwent arthroscopic capsular release, coracohumeral ligament release, and subacromial decompression. Outcomes were measured before surgery and at 1, 3, 6, 12, and 24 months and final follow-up postoperatively, including shoulder functional scores, joint range of motion, visual analog scale (VAS) score for pain, and complications. T-test, Chi-square test, and Fisher's test were performed to analyze the data.</p><p><strong>Results: </strong>This study found that while functional scores and joint range of motion of both groups improved significantly in the final follow-up, the LHBT tenotomy group showed lower VAS scores for pain at 1 (2.2 ± 0.8) and 3 months (2.1 ± 0.6) postoperatively (p < 0.001). Additionally, there was better shoulder mobility in external rotation compared to the LHBT left in situ group at 1-12 months postoperatively (p < 0.001). There was no significant difference in postoperative complications between the two groups.</p><p><strong>Conclusion: </strong>In idiopathic adhesive capsulitis patients undergoing arthroscopic release, LHBT tenotomy led to significant improvements in joint mobility and pain reduction in early rehabilitation stages compared with leaving LHBT in situ, despite two groups showing no significant difference at the final follow-up postoperatively.</p>","PeriodicalId":19566,"journal":{"name":"Orthopaedic Surgery","volume":" ","pages":"2331-2341"},"PeriodicalIF":2.1000,"publicationDate":"2025-08-01","publicationTypes":"Journal Article","fieldsOfStudy":null,"isOpenAccess":false,"openAccessPdf":"https://www.ncbi.nlm.nih.gov/pmc/articles/PMC12318667/pdf/","citationCount":"0","resultStr":"{\"title\":\"The Long Head of Biceps Tendon Tenotomy in Idiopathic Glenohumeral Adhesive Capsulitis Surgery Improves Early Rehabilitation Outcomes.\",\"authors\":\"Jia-Long Luo, Ye-Bin Huang, Xing-Hao Deng, Jing-Song Wang, Yu-Heng Li, Wei-Ping Li, Chuan Jiang, Zheng-Zheng Zhang, Zhong Chen\",\"doi\":\"10.1111/os.70104\",\"DOIUrl\":null,\"url\":null,\"abstract\":\"<p><strong>Objective: </strong>Idiopathic glenohumeral adhesive capsulitis, known as idiopathic frozen shoulder (IFS) and characterized by pain and limited motion of the shoulder, is often treated by arthroscopic capsule release surgery, though residual symptoms may remain postoperatively. Due to overlapping symptoms and shared anatomical involvement, it is hard to distinguish the source of shoulder pain between concurrent long head of the biceps tendon (LHBT) inflammation and IFS. The study aimed to verify that LHBT tenotomy, compared with leaving it in situ, could provide better pain reduction and shoulder mobility in early rehabilitation of post-arthroscopic IFS capsule release surgery.</p><p><strong>Methods: </strong>From January 2020 to January 2022, 73 patients with idiopathic adhesive capsulitis were divided into two groups based on the preoperative LHBT lesions and treatment received for LHBT: tenotomy or left in situ. All patients underwent arthroscopic capsular release, coracohumeral ligament release, and subacromial decompression. Outcomes were measured before surgery and at 1, 3, 6, 12, and 24 months and final follow-up postoperatively, including shoulder functional scores, joint range of motion, visual analog scale (VAS) score for pain, and complications. T-test, Chi-square test, and Fisher's test were performed to analyze the data.</p><p><strong>Results: </strong>This study found that while functional scores and joint range of motion of both groups improved significantly in the final follow-up, the LHBT tenotomy group showed lower VAS scores for pain at 1 (2.2 ± 0.8) and 3 months (2.1 ± 0.6) postoperatively (p < 0.001). Additionally, there was better shoulder mobility in external rotation compared to the LHBT left in situ group at 1-12 months postoperatively (p < 0.001). There was no significant difference in postoperative complications between the two groups.</p><p><strong>Conclusion: </strong>In idiopathic adhesive capsulitis patients undergoing arthroscopic release, LHBT tenotomy led to significant improvements in joint mobility and pain reduction in early rehabilitation stages compared with leaving LHBT in situ, despite two groups showing no significant difference at the final follow-up postoperatively.</p>\",\"PeriodicalId\":19566,\"journal\":{\"name\":\"Orthopaedic Surgery\",\"volume\":\" \",\"pages\":\"2331-2341\"},\"PeriodicalIF\":2.1000,\"publicationDate\":\"2025-08-01\",\"publicationTypes\":\"Journal Article\",\"fieldsOfStudy\":null,\"isOpenAccess\":false,\"openAccessPdf\":\"https://www.ncbi.nlm.nih.gov/pmc/articles/PMC12318667/pdf/\",\"citationCount\":\"0\",\"resultStr\":null,\"platform\":\"Semanticscholar\",\"paperid\":null,\"PeriodicalName\":\"Orthopaedic Surgery\",\"FirstCategoryId\":\"3\",\"ListUrlMain\":\"https://doi.org/10.1111/os.70104\",\"RegionNum\":2,\"RegionCategory\":\"医学\",\"ArticlePicture\":[],\"TitleCN\":null,\"AbstractTextCN\":null,\"PMCID\":null,\"EPubDate\":\"2025/6/27 0:00:00\",\"PubModel\":\"Epub\",\"JCR\":\"Q2\",\"JCRName\":\"ORTHOPEDICS\",\"Score\":null,\"Total\":0}","platform":"Semanticscholar","paperid":null,"PeriodicalName":"Orthopaedic Surgery","FirstCategoryId":"3","ListUrlMain":"https://doi.org/10.1111/os.70104","RegionNum":2,"RegionCategory":"医学","ArticlePicture":[],"TitleCN":null,"AbstractTextCN":null,"PMCID":null,"EPubDate":"2025/6/27 0:00:00","PubModel":"Epub","JCR":"Q2","JCRName":"ORTHOPEDICS","Score":null,"Total":0}
引用次数: 0

摘要

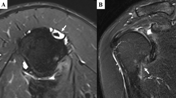
目的:特发性肩关节粘连性囊炎,也被称为特发性冻肩症(IFS),以疼痛和肩部活动受限为特征,通常通过关节镜下的囊释放手术治疗,尽管术后可能仍有残留症状。由于重叠的症状和共同的解剖受累,很难区分二头肌肌腱长头(LHBT)炎症和IFS肩关节疼痛的来源。本研究旨在验证LHBT肌腱切开术在关节镜后IFS囊释放手术的早期康复中,与原地不动相比,能更好地减轻疼痛和提高肩部活动能力。方法:从2020年1月至2022年1月,将73例特发性粘连性囊炎患者根据术前LHBT病变及LHBT治疗分为两组:肌腱切断术或原位保留。所有患者均行关节镜下关节囊松解、喙肱韧带松解和肩峰下减压。测量术前、术后1、3、6、12、24个月及最终随访的结果,包括肩关节功能评分、关节活动范围、疼痛的视觉模拟评分(VAS)评分和并发症。采用t检验、卡方检验和Fisher检验对数据进行分析。结果:本研究发现,虽然两组患者的功能评分和关节活动范围在最后随访中均有明显改善,但LHBT肌腱切断术组在术后1(2.2±0.8)个月和3个月(2.1±0.6)个月的疼痛VAS评分较低(p)。在接受关节镜释放的特发性粘连性囊炎患者中,与保留LHBT相比,LHBT肌腱切开术在早期康复阶段显著改善了关节活动度和疼痛减轻,尽管两组在术后最后随访时没有显着差异。
本文章由计算机程序翻译,如有差异,请以英文原文为准。

The Long Head of Biceps Tendon Tenotomy in Idiopathic Glenohumeral Adhesive Capsulitis Surgery Improves Early Rehabilitation Outcomes.

The Long Head of Biceps Tendon Tenotomy in Idiopathic Glenohumeral Adhesive Capsulitis Surgery Improves Early Rehabilitation Outcomes.

The Long Head of Biceps Tendon Tenotomy in Idiopathic Glenohumeral Adhesive Capsulitis Surgery Improves Early Rehabilitation Outcomes.

The Long Head of Biceps Tendon Tenotomy in Idiopathic Glenohumeral Adhesive Capsulitis Surgery Improves Early Rehabilitation Outcomes.

Objective: Idiopathic glenohumeral adhesive capsulitis, known as idiopathic frozen shoulder (IFS) and characterized by pain and limited motion of the shoulder, is often treated by arthroscopic capsule release surgery, though residual symptoms may remain postoperatively. Due to overlapping symptoms and shared anatomical involvement, it is hard to distinguish the source of shoulder pain between concurrent long head of the biceps tendon (LHBT) inflammation and IFS. The study aimed to verify that LHBT tenotomy, compared with leaving it in situ, could provide better pain reduction and shoulder mobility in early rehabilitation of post-arthroscopic IFS capsule release surgery.

Methods: From January 2020 to January 2022, 73 patients with idiopathic adhesive capsulitis were divided into two groups based on the preoperative LHBT lesions and treatment received for LHBT: tenotomy or left in situ. All patients underwent arthroscopic capsular release, coracohumeral ligament release, and subacromial decompression. Outcomes were measured before surgery and at 1, 3, 6, 12, and 24 months and final follow-up postoperatively, including shoulder functional scores, joint range of motion, visual analog scale (VAS) score for pain, and complications. T-test, Chi-square test, and Fisher's test were performed to analyze the data.

Results: This study found that while functional scores and joint range of motion of both groups improved significantly in the final follow-up, the LHBT tenotomy group showed lower VAS scores for pain at 1 (2.2 ± 0.8) and 3 months (2.1 ± 0.6) postoperatively (p < 0.001). Additionally, there was better shoulder mobility in external rotation compared to the LHBT left in situ group at 1-12 months postoperatively (p < 0.001). There was no significant difference in postoperative complications between the two groups.

Conclusion: In idiopathic adhesive capsulitis patients undergoing arthroscopic release, LHBT tenotomy led to significant improvements in joint mobility and pain reduction in early rehabilitation stages compared with leaving LHBT in situ, despite two groups showing no significant difference at the final follow-up postoperatively.

求助全文
通过发布文献求助,成功后即可免费获取论文全文。 去求助
来源期刊
Orthopaedic Surgery
Orthopaedic Surgery ORTHOPEDICS-
CiteScore
3.40
自引率
14.30%
发文量
374
审稿时长
20 weeks
期刊介绍: Orthopaedic Surgery (OS) is the official journal of the Chinese Orthopaedic Association, focusing on all aspects of orthopaedic technique and surgery. The journal publishes peer-reviewed articles in the following categories: Original Articles, Clinical Articles, Review Articles, Guidelines, Editorials, Commentaries, Surgical Techniques, Case Reports and Meeting Reports.
×
引用
GB/T 7714-2015
复制
MLA
复制
APA
复制
导出至
BibTeX EndNote RefMan NoteFirst NoteExpress
×
提示
您的信息不完整,为了账户安全,请先补充。
现在去补充
×
提示
您因"违规操作"
具体请查看互助需知
我知道了
×
提示
确定
请完成安全验证×
copy
已复制链接
快去分享给好友吧!
我知道了
右上角分享
点击右上角分享
0
联系我们:info@booksci.cn Book学术提供免费学术资源搜索服务,方便国内外学者检索中英文文献。致力于提供最便捷和优质的服务体验。 Copyright © 2023 布克学术 All rights reserved.
京ICP备2023020795号-1
ghs 京公网安备 11010802042870号
Book学术文献互助
Book学术文献互助群
群 号:604180095
Book学术官方微信