鳞状细胞癌:南非三级皮肤科的临床和组织病理学回顾。

IF 2 Q3 DERMATOLOGY
Journal of Skin Cancer Pub Date : 2025-06-20 eCollection Date: 2025-01-01 DOI:10.1155/jskc/8884436
Ahmed Dadoo, Bianca Tod, Johann Schneider, Willem Visser
{"title":"鳞状细胞癌:南非三级皮肤科的临床和组织病理学回顾。","authors":"Ahmed Dadoo, Bianca Tod, Johann Schneider, Willem Visser","doi":"10.1155/jskc/8884436","DOIUrl":null,"url":null,"abstract":"<p><p><b>Background:</b> Cutaneous squamous cell carcinoma (CSCC) is the second most prevalent form of skin cancer globally. However, its incidence is rising relative to basal cell carcinoma (BCC) in countries such as Australia and the United States. In South Africa, where the population is exposed to numerous CSCC risk factors, including high ultraviolet radiation levels and a high burden of immunosuppression, there remains a notable paucity of scientific literature characterising the disease within this context. <b>Aims:</b> To describe the clinical, histopathological and risk profile characteristics of CSCC in a South African cohort to identify patterns that can inform local clinical practice and guide future research priorities. <b>Methods:</b> A retrospective data analysis of patients seen at Tygerberg Academic Hospital between 1 September 2019 and 31 August 2020 was conducted. Demographic and clinical data were extracted from medical records. Two study evaluators used predetermined criteria to review the histopathological features in skin biopsies. Risk stratification of lesions followed the guidelines of the National Comprehensive Cancer Network. <b>Results:</b> Over one year, 113 CSCCs were diagnosed in 83 patients. Participants were primarily Fitzpatrick skin phototype I (65.1%) and male (60.2%), with a median age of 73 years and a male-to-female ratio of 1.51:1. The BCC-to-CSCC incidence ratio was 1.71:1. Most lesions had been present for over 6 months (87.6%) and were located on the head and neck (59.3%). Punch biopsies diagnosed 62.8% of lesions. Histologically, 63.7% were well differentiated, and 40.7% were invasive. Conventional CSCCs comprised 75.2% of lesions; 5.3% were the high-risk acantholytic subtype. A high recurrence risk was found in 77.0% of lesions. <b>Conclusion:</b> This study highlights the heterogeneous nature of CSCC in South Africa and underscores the need for prospective, context-specific research to enhance prevention, early detection and management efforts nationwide.</p>","PeriodicalId":17172,"journal":{"name":"Journal of Skin Cancer","volume":"2025 ","pages":"8884436"},"PeriodicalIF":2.0000,"publicationDate":"2025-06-20","publicationTypes":"Journal Article","fieldsOfStudy":null,"isOpenAccess":false,"openAccessPdf":"https://www.ncbi.nlm.nih.gov/pmc/articles/PMC12204746/pdf/","citationCount":"0","resultStr":"{\"title\":\"Squamous Cell Carcinoma: A Clinical and Histopathological Review of a South African Tertiary Dermatology Unit.\",\"authors\":\"Ahmed Dadoo, Bianca Tod, Johann Schneider, Willem Visser\",\"doi\":\"10.1155/jskc/8884436\",\"DOIUrl\":null,\"url\":null,\"abstract\":\"<p><p><b>Background:</b> Cutaneous squamous cell carcinoma (CSCC) is the second most prevalent form of skin cancer globally. However, its incidence is rising relative to basal cell carcinoma (BCC) in countries such as Australia and the United States. In South Africa, where the population is exposed to numerous CSCC risk factors, including high ultraviolet radiation levels and a high burden of immunosuppression, there remains a notable paucity of scientific literature characterising the disease within this context. <b>Aims:</b> To describe the clinical, histopathological and risk profile characteristics of CSCC in a South African cohort to identify patterns that can inform local clinical practice and guide future research priorities. <b>Methods:</b> A retrospective data analysis of patients seen at Tygerberg Academic Hospital between 1 September 2019 and 31 August 2020 was conducted. Demographic and clinical data were extracted from medical records. Two study evaluators used predetermined criteria to review the histopathological features in skin biopsies. Risk stratification of lesions followed the guidelines of the National Comprehensive Cancer Network. <b>Results:</b> Over one year, 113 CSCCs were diagnosed in 83 patients. Participants were primarily Fitzpatrick skin phototype I (65.1%) and male (60.2%), with a median age of 73 years and a male-to-female ratio of 1.51:1. The BCC-to-CSCC incidence ratio was 1.71:1. Most lesions had been present for over 6 months (87.6%) and were located on the head and neck (59.3%). Punch biopsies diagnosed 62.8% of lesions. Histologically, 63.7% were well differentiated, and 40.7% were invasive. Conventional CSCCs comprised 75.2% of lesions; 5.3% were the high-risk acantholytic subtype. A high recurrence risk was found in 77.0% of lesions. <b>Conclusion:</b> This study highlights the heterogeneous nature of CSCC in South Africa and underscores the need for prospective, context-specific research to enhance prevention, early detection and management efforts nationwide.</p>\",\"PeriodicalId\":17172,\"journal\":{\"name\":\"Journal of Skin Cancer\",\"volume\":\"2025 \",\"pages\":\"8884436\"},\"PeriodicalIF\":2.0000,\"publicationDate\":\"2025-06-20\",\"publicationTypes\":\"Journal Article\",\"fieldsOfStudy\":null,\"isOpenAccess\":false,\"openAccessPdf\":\"https://www.ncbi.nlm.nih.gov/pmc/articles/PMC12204746/pdf/\",\"citationCount\":\"0\",\"resultStr\":null,\"platform\":\"Semanticscholar\",\"paperid\":null,\"PeriodicalName\":\"Journal of Skin Cancer\",\"FirstCategoryId\":\"1085\",\"ListUrlMain\":\"https://doi.org/10.1155/jskc/8884436\",\"RegionNum\":0,\"RegionCategory\":null,\"ArticlePicture\":[],\"TitleCN\":null,\"AbstractTextCN\":null,\"PMCID\":null,\"EPubDate\":\"2025/1/1 0:00:00\",\"PubModel\":\"eCollection\",\"JCR\":\"Q3\",\"JCRName\":\"DERMATOLOGY\",\"Score\":null,\"Total\":0}","platform":"Semanticscholar","paperid":null,"PeriodicalName":"Journal of Skin Cancer","FirstCategoryId":"1085","ListUrlMain":"https://doi.org/10.1155/jskc/8884436","RegionNum":0,"RegionCategory":null,"ArticlePicture":[],"TitleCN":null,"AbstractTextCN":null,"PMCID":null,"EPubDate":"2025/1/1 0:00:00","PubModel":"eCollection","JCR":"Q3","JCRName":"DERMATOLOGY","Score":null,"Total":0}
引用次数: 0

摘要

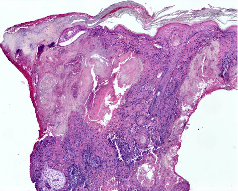
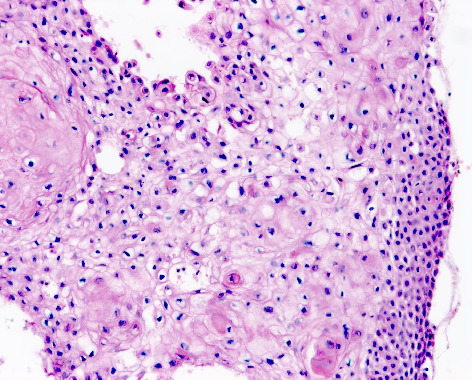
背景:皮肤鳞状细胞癌(CSCC)是全球第二常见的皮肤癌。然而,在澳大利亚和美国等国家,其发病率相对于基底细胞癌(BCC)正在上升。在南非,人口暴露于许多CSCC风险因素,包括高紫外线辐射水平和免疫抑制的高负担,在这方面描述该疾病特征的科学文献仍然明显缺乏。目的:描述南非队列中CSCC的临床、组织病理学和风险特征,以确定可以为当地临床实践提供信息的模式,并指导未来的研究重点。方法:对2019年9月1日至2020年8月31日在Tygerberg学术医院就诊的患者进行回顾性数据分析。从医疗记录中提取人口统计学和临床数据。两名研究评估人员使用预先确定的标准来审查皮肤活检的组织病理学特征。病变的风险分层遵循国家综合癌症网络的指导方针。结果:在一年多的时间里,83例患者诊断出113例CSCCs。参与者主要为Fitzpatrick皮肤光型I(65.1%)和男性(60.2%),中位年龄为73岁,男女比例为1.51:1。bcc与cscc的发病率比为1.71:1。大多数病变存在超过6个月(87.6%),位于头颈部(59.3%)。穿刺活检诊断出62.8%的病变。组织学上63.7%为高分化,40.7%为浸润性。常规CSCCs占病变的75.2%;5.3%为棘溶性高危亚型。77.0%的病变有高复发风险。结论:本研究突出了南非CSCC的异质性,强调了前瞻性、具体情况研究的必要性,以加强全国范围内的预防、早期发现和管理工作。
本文章由计算机程序翻译,如有差异,请以英文原文为准。

Squamous Cell Carcinoma: A Clinical and Histopathological Review of a South African Tertiary Dermatology Unit.

Squamous Cell Carcinoma: A Clinical and Histopathological Review of a South African Tertiary Dermatology Unit.

Squamous Cell Carcinoma: A Clinical and Histopathological Review of a South African Tertiary Dermatology Unit.

Squamous Cell Carcinoma: A Clinical and Histopathological Review of a South African Tertiary Dermatology Unit.

Background: Cutaneous squamous cell carcinoma (CSCC) is the second most prevalent form of skin cancer globally. However, its incidence is rising relative to basal cell carcinoma (BCC) in countries such as Australia and the United States. In South Africa, where the population is exposed to numerous CSCC risk factors, including high ultraviolet radiation levels and a high burden of immunosuppression, there remains a notable paucity of scientific literature characterising the disease within this context. Aims: To describe the clinical, histopathological and risk profile characteristics of CSCC in a South African cohort to identify patterns that can inform local clinical practice and guide future research priorities. Methods: A retrospective data analysis of patients seen at Tygerberg Academic Hospital between 1 September 2019 and 31 August 2020 was conducted. Demographic and clinical data were extracted from medical records. Two study evaluators used predetermined criteria to review the histopathological features in skin biopsies. Risk stratification of lesions followed the guidelines of the National Comprehensive Cancer Network. Results: Over one year, 113 CSCCs were diagnosed in 83 patients. Participants were primarily Fitzpatrick skin phototype I (65.1%) and male (60.2%), with a median age of 73 years and a male-to-female ratio of 1.51:1. The BCC-to-CSCC incidence ratio was 1.71:1. Most lesions had been present for over 6 months (87.6%) and were located on the head and neck (59.3%). Punch biopsies diagnosed 62.8% of lesions. Histologically, 63.7% were well differentiated, and 40.7% were invasive. Conventional CSCCs comprised 75.2% of lesions; 5.3% were the high-risk acantholytic subtype. A high recurrence risk was found in 77.0% of lesions. Conclusion: This study highlights the heterogeneous nature of CSCC in South Africa and underscores the need for prospective, context-specific research to enhance prevention, early detection and management efforts nationwide.

求助全文
通过发布文献求助,成功后即可免费获取论文全文。 去求助
来源期刊
Journal of Skin Cancer
Journal of Skin Cancer DERMATOLOGY-
CiteScore
2.30
自引率
18.20%
发文量
12
审稿时长
21 weeks
期刊介绍: Journal of Skin Cancer is a peer-reviewed, Open Access journal that publishes clinical and translational research on the detection, diagnosis, prevention, and treatment of skin malignancies. The journal encourages the submission of original research articles, review articles, and clinical studies related to pathology, prognostic indicators and biomarkers, novel therapies, as well as drug sensitivity and resistance.
×
引用
GB/T 7714-2015
复制
MLA
复制
APA
复制
导出至
BibTeX EndNote RefMan NoteFirst NoteExpress
×
提示
您的信息不完整,为了账户安全,请先补充。
现在去补充
×
提示
您因"违规操作"
具体请查看互助需知
我知道了
×
提示
确定
请完成安全验证×
copy
已复制链接
快去分享给好友吧!
我知道了
右上角分享
点击右上角分享
0
联系我们:info@booksci.cn Book学术提供免费学术资源搜索服务,方便国内外学者检索中英文文献。致力于提供最便捷和优质的服务体验。 Copyright © 2023 布克学术 All rights reserved.
京ICP备2023020795号-1
ghs 京公网安备 11010802042870号
Book学术文献互助
Book学术文献互助群
群 号:604180095
Book学术官方微信