女性骨盆MRI检查妇科恶性肿瘤的偶然发现。

IF 4.5 2区 医学 Q1 RADIOLOGY, NUCLEAR MEDICINE & MEDICAL IMAGING
Silvia Bottazzi, Roberta V Ninkova, Luca Russo, Andrea Ponsiglione, Benedetta Gui, Daniela Demundo, Massimo Imbriaco, Aradhana M Venkatesan, Evis Sala, Stephanie Nougaret, Lucia Manganaro, Stefania Rizzo
{"title":"女性骨盆MRI检查妇科恶性肿瘤的偶然发现。","authors":"Silvia Bottazzi, Roberta V Ninkova, Luca Russo, Andrea Ponsiglione, Benedetta Gui, Daniela Demundo, Massimo Imbriaco, Aradhana M Venkatesan, Evis Sala, Stephanie Nougaret, Lucia Manganaro, Stefania Rizzo","doi":"10.1186/s13244-025-02006-5","DOIUrl":null,"url":null,"abstract":"<p><p>Incidental findings on female pelvic MRI present diagnostic challenges and may have significant clinical implications. Defined as abnormalities unrelated to the primary imaging indication, these findings have become increasingly prevalent with the expanded use of MRI in gynaecological practice. Standard gynaecological MRI protocols, incorporating T1- and T2-weighted sequences, diffusion-weighted imaging, and contrast-enhanced sequences, facilitate the characterisation of numerous extra-gynaecological abnormalities, ranging from benign to critical lesions. This review proposes a compartment-based approach for identifying extra-gynaecological findings, discussing their imaging characteristics and differential diagnoses. This approach may help radiologists systematically assess incidental findings, potentially improving the recognition of clinically relevant abnormalities and supporting timely clinical decision-making. CRITICAL RELEVANCE STATEMENT: Incidental extra-gynaecological findings on pelvic MRI can present significant diagnostic challenges. Systematic evaluation of incidental extra-gynaecological findings on pelvic MRI can improve radiologists' awareness of clinically relevant abnormalities. KEY POINTS: Extra-gynaecological incidental findings on pelvic MRI are common and range from benign to malignant conditions. A compartment-based classification-dividing the female pelvis into anterior, lateral, posterior, musculoskeletal, and miscellaneous compartments-provides a systematic framework for interpretation. Thorough assessment of all MRI sequences, including large field-of-view images, may help identify clinically relevant incidental findings.</p>","PeriodicalId":13639,"journal":{"name":"Insights into Imaging","volume":"16 1","pages":"143"},"PeriodicalIF":4.5000,"publicationDate":"2025-06-27","publicationTypes":"Journal Article","fieldsOfStudy":null,"isOpenAccess":false,"openAccessPdf":"https://www.ncbi.nlm.nih.gov/pmc/articles/PMC12204973/pdf/","citationCount":"0","resultStr":"{\"title\":\"Incidental findings in female pelvis MRI performed for gynaecological malignancies.\",\"authors\":\"Silvia Bottazzi, Roberta V Ninkova, Luca Russo, Andrea Ponsiglione, Benedetta Gui, Daniela Demundo, Massimo Imbriaco, Aradhana M Venkatesan, Evis Sala, Stephanie Nougaret, Lucia Manganaro, Stefania Rizzo\",\"doi\":\"10.1186/s13244-025-02006-5\",\"DOIUrl\":null,\"url\":null,\"abstract\":\"<p><p>Incidental findings on female pelvic MRI present diagnostic challenges and may have significant clinical implications. Defined as abnormalities unrelated to the primary imaging indication, these findings have become increasingly prevalent with the expanded use of MRI in gynaecological practice. Standard gynaecological MRI protocols, incorporating T1- and T2-weighted sequences, diffusion-weighted imaging, and contrast-enhanced sequences, facilitate the characterisation of numerous extra-gynaecological abnormalities, ranging from benign to critical lesions. This review proposes a compartment-based approach for identifying extra-gynaecological findings, discussing their imaging characteristics and differential diagnoses. This approach may help radiologists systematically assess incidental findings, potentially improving the recognition of clinically relevant abnormalities and supporting timely clinical decision-making. CRITICAL RELEVANCE STATEMENT: Incidental extra-gynaecological findings on pelvic MRI can present significant diagnostic challenges. Systematic evaluation of incidental extra-gynaecological findings on pelvic MRI can improve radiologists' awareness of clinically relevant abnormalities. KEY POINTS: Extra-gynaecological incidental findings on pelvic MRI are common and range from benign to malignant conditions. A compartment-based classification-dividing the female pelvis into anterior, lateral, posterior, musculoskeletal, and miscellaneous compartments-provides a systematic framework for interpretation. Thorough assessment of all MRI sequences, including large field-of-view images, may help identify clinically relevant incidental findings.</p>\",\"PeriodicalId\":13639,\"journal\":{\"name\":\"Insights into Imaging\",\"volume\":\"16 1\",\"pages\":\"143\"},\"PeriodicalIF\":4.5000,\"publicationDate\":\"2025-06-27\",\"publicationTypes\":\"Journal Article\",\"fieldsOfStudy\":null,\"isOpenAccess\":false,\"openAccessPdf\":\"https://www.ncbi.nlm.nih.gov/pmc/articles/PMC12204973/pdf/\",\"citationCount\":\"0\",\"resultStr\":null,\"platform\":\"Semanticscholar\",\"paperid\":null,\"PeriodicalName\":\"Insights into Imaging\",\"FirstCategoryId\":\"3\",\"ListUrlMain\":\"https://doi.org/10.1186/s13244-025-02006-5\",\"RegionNum\":2,\"RegionCategory\":\"医学\",\"ArticlePicture\":[],\"TitleCN\":null,\"AbstractTextCN\":null,\"PMCID\":null,\"EPubDate\":\"\",\"PubModel\":\"\",\"JCR\":\"Q1\",\"JCRName\":\"RADIOLOGY, NUCLEAR MEDICINE & MEDICAL IMAGING\",\"Score\":null,\"Total\":0}","platform":"Semanticscholar","paperid":null,"PeriodicalName":"Insights into Imaging","FirstCategoryId":"3","ListUrlMain":"https://doi.org/10.1186/s13244-025-02006-5","RegionNum":2,"RegionCategory":"医学","ArticlePicture":[],"TitleCN":null,"AbstractTextCN":null,"PMCID":null,"EPubDate":"","PubModel":"","JCR":"Q1","JCRName":"RADIOLOGY, NUCLEAR MEDICINE & MEDICAL IMAGING","Score":null,"Total":0}
引用次数: 0

摘要

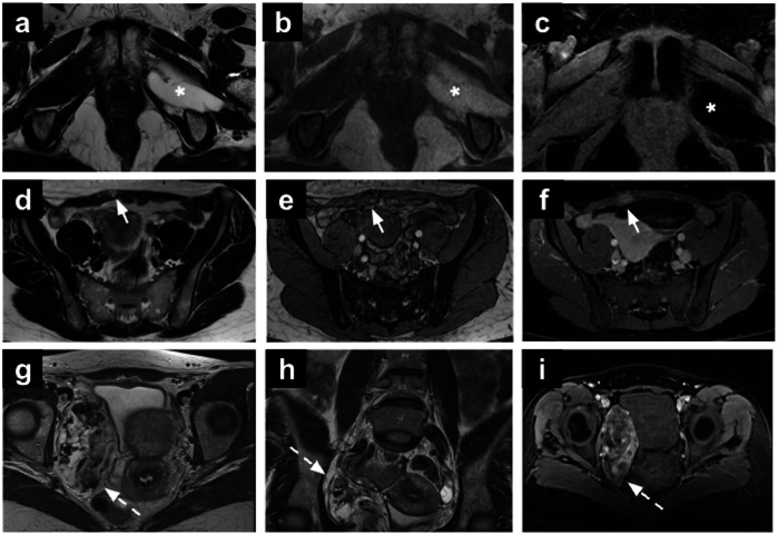
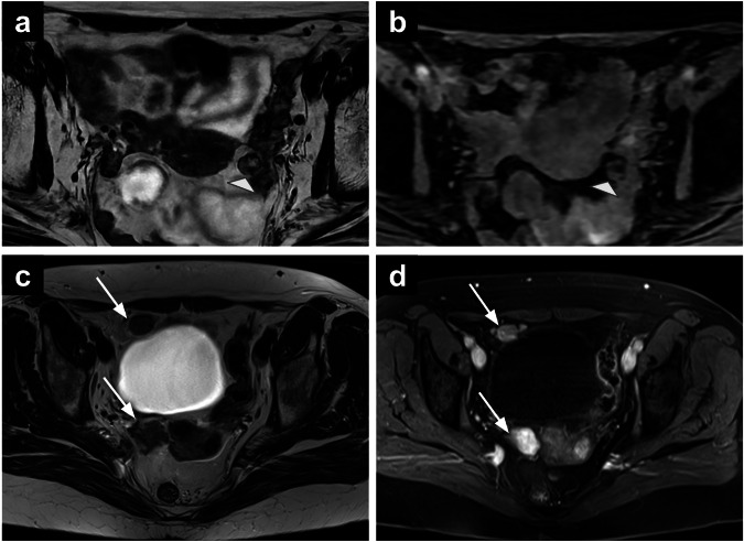
女性骨盆MRI的偶然发现给诊断带来了挑战,并可能具有重要的临床意义。定义为与主要影像学指征无关的异常,随着MRI在妇科实践中的广泛应用,这些发现变得越来越普遍。标准的妇科MRI方案,包括T1和t2加权序列,弥散加权成像和对比增强序列,促进了许多妇科外异常的特征,从良性到严重病变。这篇综述提出了一种基于区隔的方法来识别妇科外的发现,讨论他们的影像学特征和鉴别诊断。这种方法可以帮助放射科医生系统地评估偶然发现,潜在地提高对临床相关异常的认识,并支持及时的临床决策。关键相关性声明:骨盆MRI附带的妇科外发现可能会带来重大的诊断挑战。系统评估骨盆MRI附带的妇科外发现可以提高放射科医生对临床相关异常的认识。重点:骨盆MRI的妇科外偶然发现是常见的,范围从良性到恶性。基于腔室的分类——将女性骨盆分为前腔室、侧腔室、后腔室、肌肉骨骼腔室和其他腔室——为解释骨盆提供了一个系统的框架。全面评估所有MRI序列,包括大视场图像,可能有助于确定临床相关的偶然发现。
本文章由计算机程序翻译,如有差异,请以英文原文为准。

Incidental findings in female pelvis MRI performed for gynaecological malignancies.

Incidental findings in female pelvis MRI performed for gynaecological malignancies.

Incidental findings in female pelvis MRI performed for gynaecological malignancies.

Incidental findings in female pelvis MRI performed for gynaecological malignancies.

Incidental findings on female pelvic MRI present diagnostic challenges and may have significant clinical implications. Defined as abnormalities unrelated to the primary imaging indication, these findings have become increasingly prevalent with the expanded use of MRI in gynaecological practice. Standard gynaecological MRI protocols, incorporating T1- and T2-weighted sequences, diffusion-weighted imaging, and contrast-enhanced sequences, facilitate the characterisation of numerous extra-gynaecological abnormalities, ranging from benign to critical lesions. This review proposes a compartment-based approach for identifying extra-gynaecological findings, discussing their imaging characteristics and differential diagnoses. This approach may help radiologists systematically assess incidental findings, potentially improving the recognition of clinically relevant abnormalities and supporting timely clinical decision-making. CRITICAL RELEVANCE STATEMENT: Incidental extra-gynaecological findings on pelvic MRI can present significant diagnostic challenges. Systematic evaluation of incidental extra-gynaecological findings on pelvic MRI can improve radiologists' awareness of clinically relevant abnormalities. KEY POINTS: Extra-gynaecological incidental findings on pelvic MRI are common and range from benign to malignant conditions. A compartment-based classification-dividing the female pelvis into anterior, lateral, posterior, musculoskeletal, and miscellaneous compartments-provides a systematic framework for interpretation. Thorough assessment of all MRI sequences, including large field-of-view images, may help identify clinically relevant incidental findings.

求助全文
通过发布文献求助,成功后即可免费获取论文全文。 去求助
来源期刊
Insights into Imaging
Insights into Imaging Medicine-Radiology, Nuclear Medicine and Imaging
CiteScore
7.30
自引率
4.30%
发文量
182
审稿时长
13 weeks
期刊介绍: Insights into Imaging (I³) is a peer-reviewed open access journal published under the brand SpringerOpen. All content published in the journal is freely available online to anyone, anywhere! I³ continuously updates scientific knowledge and progress in best-practice standards in radiology through the publication of original articles and state-of-the-art reviews and opinions, along with recommendations and statements from the leading radiological societies in Europe. Founded by the European Society of Radiology (ESR), I³ creates a platform for educational material, guidelines and recommendations, and a forum for topics of controversy. A balanced combination of review articles, original papers, short communications from European radiological congresses and information on society matters makes I³ an indispensable source for current information in this field. I³ is owned by the ESR, however authors retain copyright to their article according to the Creative Commons Attribution License (see Copyright and License Agreement). All articles can be read, redistributed and reused for free, as long as the author of the original work is cited properly. The open access fees (article-processing charges) for this journal are kindly sponsored by ESR for all Members. The journal went open access in 2012, which means that all articles published since then are freely available online.
×
引用
GB/T 7714-2015
复制
MLA
复制
APA
复制
导出至
BibTeX EndNote RefMan NoteFirst NoteExpress
×
提示
您的信息不完整,为了账户安全,请先补充。
现在去补充
×
提示
您因"违规操作"
具体请查看互助需知
我知道了
×
提示
确定
请完成安全验证×
copy
已复制链接
快去分享给好友吧!
我知道了
右上角分享
点击右上角分享
0
联系我们:info@booksci.cn Book学术提供免费学术资源搜索服务,方便国内外学者检索中英文文献。致力于提供最便捷和优质的服务体验。 Copyright © 2023 布克学术 All rights reserved.
京ICP备2023020795号-1
ghs 京公网安备 11010802042870号
Book学术文献互助
Book学术文献互助群
群 号:604180095
Book学术官方微信