骨折缺损大小对股骨远端骨折治疗效果的影响:外侧锁定钢板与双钢板内固定的比较研究。

IF 2.1 2区 医学 Q2 ORTHOPEDICS
Orthopaedic Surgery Pub Date : 2025-08-01 Epub Date: 2025-06-26 DOI:10.1111/os.70103
Meng Li, Taoguang Wu, Zicheng Zhang, Xiaomeng Ren, Mengmeng Hu, Dong Zhang, Wei Zhang
{"title":"骨折缺损大小对股骨远端骨折治疗效果的影响:外侧锁定钢板与双钢板内固定的比较研究。","authors":"Meng Li, Taoguang Wu, Zicheng Zhang, Xiaomeng Ren, Mengmeng Hu, Dong Zhang, Wei Zhang","doi":"10.1111/os.70103","DOIUrl":null,"url":null,"abstract":"<p><strong>Objective: </strong>Double plate (DP) fixation does not significantly improve outcomes compared to lateral locking plate (LLP-only) fixation for distal femur fractures (DFFs). We hypothesize this is due to the absence of clear indications for the application of these two fixation methods. This study aims to clarify the impact of metaphyseal defect size on the outcomes of these two treatments, in order to optimize surgical efficacy and minimize complications.</p><p><strong>Methods: </strong>We screened patients with distal femoral fractures treated with lateral locking plate or dual plate fixation at our hospital between January 2018 and June 2023 retrospectively. Information such as demographic data, fracture classification, operation details, metaphyseal bone defect size, pre-nd post-operative imaging data, and other medical records were compiled. Additionally, patients' recovery status was follow-up, including evaluation of knee joint function (Lysholm score), range of motion (ROM), and EQ-5D-3L health score. We used diverse statistical methods for further analysis, such as t-test, chi-square test, Pearson correlation coefficients, and binary logistic regression analysis.</p><p><strong>Results: </strong>According to the specified criteria, 55 distal femur fracture cases were ultimately included, with 38 cases in the LLP-only group and 17 cases in the DP fixation group. In terms of surgical and follow-up information, there were no statistical differences in healing status, but there were statistically significant differences in average blood loss (p = 0.013), metaphyseal bone defect size (p < 0.001), Lysholm score (p = 0.003), and EQ-5D score (p = 0.010). Notably, compared to other parameters, the size of the fracture defect exhibited the highest correlation (0.69) with healing outcomes. In logistic regression analysis, the defect size (OR 1.052, 95% CI 1.008-1.098, p = 0.021) was independently associated with the healing outcome. Upon further analysis, non-healing cases in the LLP-only group were predominantly associated with A3, C2, and C3 type fractures, with 83.3% of these patients presenting metaphyseal defects exceeding 15 mm.</p><p><strong>Conclusions: </strong>We carried out a comparative evaluation of LLP-only versus DP fixation in addressing DFFs. Our research outcomes revealed that LLP-only fixation yielded notably suboptimal results compared to DP fixation, especially in intricate fractures accompanied by defects, such as those classified under types A3, C2, and C3. Furthermore, the more significant the defect, the less effective the fixation of LLP-only will be. This observation underscores the pivotal role of the scope of metaphysical damage in determining the most suitable internal fixation techniques for DFFs.</p>","PeriodicalId":19566,"journal":{"name":"Orthopaedic Surgery","volume":" ","pages":"2435-2444"},"PeriodicalIF":2.1000,"publicationDate":"2025-08-01","publicationTypes":"Journal Article","fieldsOfStudy":null,"isOpenAccess":false,"openAccessPdf":"https://www.ncbi.nlm.nih.gov/pmc/articles/PMC12318682/pdf/","citationCount":"0","resultStr":"{\"title\":\"The Influence of Fracture Defect Size on Treatment Outcomes in Distal Femur Fractures: A Comparative Study Between Lateral Locking Plate and Double Plate Fixation.\",\"authors\":\"Meng Li, Taoguang Wu, Zicheng Zhang, Xiaomeng Ren, Mengmeng Hu, Dong Zhang, Wei Zhang\",\"doi\":\"10.1111/os.70103\",\"DOIUrl\":null,\"url\":null,\"abstract\":\"<p><strong>Objective: </strong>Double plate (DP) fixation does not significantly improve outcomes compared to lateral locking plate (LLP-only) fixation for distal femur fractures (DFFs). We hypothesize this is due to the absence of clear indications for the application of these two fixation methods. This study aims to clarify the impact of metaphyseal defect size on the outcomes of these two treatments, in order to optimize surgical efficacy and minimize complications.</p><p><strong>Methods: </strong>We screened patients with distal femoral fractures treated with lateral locking plate or dual plate fixation at our hospital between January 2018 and June 2023 retrospectively. Information such as demographic data, fracture classification, operation details, metaphyseal bone defect size, pre-nd post-operative imaging data, and other medical records were compiled. Additionally, patients' recovery status was follow-up, including evaluation of knee joint function (Lysholm score), range of motion (ROM), and EQ-5D-3L health score. We used diverse statistical methods for further analysis, such as t-test, chi-square test, Pearson correlation coefficients, and binary logistic regression analysis.</p><p><strong>Results: </strong>According to the specified criteria, 55 distal femur fracture cases were ultimately included, with 38 cases in the LLP-only group and 17 cases in the DP fixation group. In terms of surgical and follow-up information, there were no statistical differences in healing status, but there were statistically significant differences in average blood loss (p = 0.013), metaphyseal bone defect size (p < 0.001), Lysholm score (p = 0.003), and EQ-5D score (p = 0.010). Notably, compared to other parameters, the size of the fracture defect exhibited the highest correlation (0.69) with healing outcomes. In logistic regression analysis, the defect size (OR 1.052, 95% CI 1.008-1.098, p = 0.021) was independently associated with the healing outcome. Upon further analysis, non-healing cases in the LLP-only group were predominantly associated with A3, C2, and C3 type fractures, with 83.3% of these patients presenting metaphyseal defects exceeding 15 mm.</p><p><strong>Conclusions: </strong>We carried out a comparative evaluation of LLP-only versus DP fixation in addressing DFFs. Our research outcomes revealed that LLP-only fixation yielded notably suboptimal results compared to DP fixation, especially in intricate fractures accompanied by defects, such as those classified under types A3, C2, and C3. Furthermore, the more significant the defect, the less effective the fixation of LLP-only will be. This observation underscores the pivotal role of the scope of metaphysical damage in determining the most suitable internal fixation techniques for DFFs.</p>\",\"PeriodicalId\":19566,\"journal\":{\"name\":\"Orthopaedic Surgery\",\"volume\":\" \",\"pages\":\"2435-2444\"},\"PeriodicalIF\":2.1000,\"publicationDate\":\"2025-08-01\",\"publicationTypes\":\"Journal Article\",\"fieldsOfStudy\":null,\"isOpenAccess\":false,\"openAccessPdf\":\"https://www.ncbi.nlm.nih.gov/pmc/articles/PMC12318682/pdf/\",\"citationCount\":\"0\",\"resultStr\":null,\"platform\":\"Semanticscholar\",\"paperid\":null,\"PeriodicalName\":\"Orthopaedic Surgery\",\"FirstCategoryId\":\"3\",\"ListUrlMain\":\"https://doi.org/10.1111/os.70103\",\"RegionNum\":2,\"RegionCategory\":\"医学\",\"ArticlePicture\":[],\"TitleCN\":null,\"AbstractTextCN\":null,\"PMCID\":null,\"EPubDate\":\"2025/6/26 0:00:00\",\"PubModel\":\"Epub\",\"JCR\":\"Q2\",\"JCRName\":\"ORTHOPEDICS\",\"Score\":null,\"Total\":0}","platform":"Semanticscholar","paperid":null,"PeriodicalName":"Orthopaedic Surgery","FirstCategoryId":"3","ListUrlMain":"https://doi.org/10.1111/os.70103","RegionNum":2,"RegionCategory":"医学","ArticlePicture":[],"TitleCN":null,"AbstractTextCN":null,"PMCID":null,"EPubDate":"2025/6/26 0:00:00","PubModel":"Epub","JCR":"Q2","JCRName":"ORTHOPEDICS","Score":null,"Total":0}
引用次数: 0

摘要

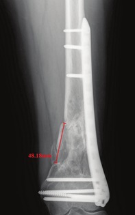
目的:与外侧锁定钢板(LLP-only)固定相比,双钢板(DP)固定对股骨远端骨折(dff)的治疗效果没有显著改善。我们推测这是由于这两种固定方法的应用缺乏明确的适应症。本研究旨在阐明干骺端缺损大小对这两种治疗结果的影响,以优化手术效果,减少并发症。方法:回顾性筛选2018年1月至2023年6月在我院接受外侧锁定钢板或双钢板固定治疗的股骨远端骨折患者。收集人口统计学资料、骨折分型、手术细节、干骺端骨缺损大小、术前和术后影像资料等医疗记录。随访患者的康复情况,包括膝关节功能(Lysholm评分)、活动范围(ROM)和EQ-5D-3L健康评分。我们使用不同的统计方法进行进一步分析,如t检验、卡方检验、Pearson相关系数和二元logistic回归分析。结果:按照规定标准,最终纳入55例股骨远端骨折,其中仅llp固定组38例,DP固定组17例。在手术和随访信息方面,愈合状况无统计学差异,但平均失血量(p = 0.013)、干骺端骨缺损大小(p)有统计学显著差异。结论:我们对仅llp与DP固定治疗dff进行了比较评估。我们的研究结果显示,与DP固定相比,llp固定的效果明显不理想,特别是在伴有缺陷的复杂骨折中,如A3、C2和C3型骨折。此外,缺陷越显著,仅llp固定的效果越差。这一观察结果强调了形而上损伤范围在确定dff最合适的内固定技术方面的关键作用。
本文章由计算机程序翻译,如有差异,请以英文原文为准。

The Influence of Fracture Defect Size on Treatment Outcomes in Distal Femur Fractures: A Comparative Study Between Lateral Locking Plate and Double Plate Fixation.

The Influence of Fracture Defect Size on Treatment Outcomes in Distal Femur Fractures: A Comparative Study Between Lateral Locking Plate and Double Plate Fixation.

The Influence of Fracture Defect Size on Treatment Outcomes in Distal Femur Fractures: A Comparative Study Between Lateral Locking Plate and Double Plate Fixation.

The Influence of Fracture Defect Size on Treatment Outcomes in Distal Femur Fractures: A Comparative Study Between Lateral Locking Plate and Double Plate Fixation.

Objective: Double plate (DP) fixation does not significantly improve outcomes compared to lateral locking plate (LLP-only) fixation for distal femur fractures (DFFs). We hypothesize this is due to the absence of clear indications for the application of these two fixation methods. This study aims to clarify the impact of metaphyseal defect size on the outcomes of these two treatments, in order to optimize surgical efficacy and minimize complications.

Methods: We screened patients with distal femoral fractures treated with lateral locking plate or dual plate fixation at our hospital between January 2018 and June 2023 retrospectively. Information such as demographic data, fracture classification, operation details, metaphyseal bone defect size, pre-nd post-operative imaging data, and other medical records were compiled. Additionally, patients' recovery status was follow-up, including evaluation of knee joint function (Lysholm score), range of motion (ROM), and EQ-5D-3L health score. We used diverse statistical methods for further analysis, such as t-test, chi-square test, Pearson correlation coefficients, and binary logistic regression analysis.

Results: According to the specified criteria, 55 distal femur fracture cases were ultimately included, with 38 cases in the LLP-only group and 17 cases in the DP fixation group. In terms of surgical and follow-up information, there were no statistical differences in healing status, but there were statistically significant differences in average blood loss (p = 0.013), metaphyseal bone defect size (p < 0.001), Lysholm score (p = 0.003), and EQ-5D score (p = 0.010). Notably, compared to other parameters, the size of the fracture defect exhibited the highest correlation (0.69) with healing outcomes. In logistic regression analysis, the defect size (OR 1.052, 95% CI 1.008-1.098, p = 0.021) was independently associated with the healing outcome. Upon further analysis, non-healing cases in the LLP-only group were predominantly associated with A3, C2, and C3 type fractures, with 83.3% of these patients presenting metaphyseal defects exceeding 15 mm.

Conclusions: We carried out a comparative evaluation of LLP-only versus DP fixation in addressing DFFs. Our research outcomes revealed that LLP-only fixation yielded notably suboptimal results compared to DP fixation, especially in intricate fractures accompanied by defects, such as those classified under types A3, C2, and C3. Furthermore, the more significant the defect, the less effective the fixation of LLP-only will be. This observation underscores the pivotal role of the scope of metaphysical damage in determining the most suitable internal fixation techniques for DFFs.

求助全文
通过发布文献求助,成功后即可免费获取论文全文。 去求助
来源期刊
Orthopaedic Surgery
Orthopaedic Surgery ORTHOPEDICS-
CiteScore
3.40
自引率
14.30%
发文量
374
审稿时长
20 weeks
期刊介绍: Orthopaedic Surgery (OS) is the official journal of the Chinese Orthopaedic Association, focusing on all aspects of orthopaedic technique and surgery. The journal publishes peer-reviewed articles in the following categories: Original Articles, Clinical Articles, Review Articles, Guidelines, Editorials, Commentaries, Surgical Techniques, Case Reports and Meeting Reports.
×
引用
GB/T 7714-2015
复制
MLA
复制
APA
复制
导出至
BibTeX EndNote RefMan NoteFirst NoteExpress
×
提示
您的信息不完整,为了账户安全,请先补充。
现在去补充
×
提示
您因"违规操作"
具体请查看互助需知
我知道了
×
提示
确定
请完成安全验证×
copy
已复制链接
快去分享给好友吧!
我知道了
右上角分享
点击右上角分享
0
联系我们:info@booksci.cn Book学术提供免费学术资源搜索服务,方便国内外学者检索中英文文献。致力于提供最便捷和优质的服务体验。 Copyright © 2023 布克学术 All rights reserved.
京ICP备2023020795号-1
ghs 京公网安备 11010802042870号
Book学术文献互助
Book学术文献互助群
群 号:604180095
Book学术官方微信