饮食通过膜脂重塑控制外周脂肪储存能力

IF 20.8 1区 医学 Q1 ENDOCRINOLOGY & METABOLISM
Marcus J. Tol, Yuta Shimanaka, Alexander H. Bedard, Jennifer Sapia, Liujuan Cui, Mariana Colaço-Gaspar, Peter Hofer, Alessandra Ferrari, Kevin Qian, John P. Kennelly, Stephen D. Lee, Yajing Gao, Xu Xiao, Jie Gao, Julia J. Mack, Thomas A. Weston, Kevin J. Williams, Baolong Su, Calvin Pan, Aldons J. Lusis, Daniel P. Pike, Alex Reed, Natalia Milosevich, Benjamin F. Cravatt, Makoto Arita, Stephen G. Young, David A. Ford, Rudolf Zechner, Stefano Vanni, Peter Tontonoz
{"title":"饮食通过膜脂重塑控制外周脂肪储存能力","authors":"Marcus J. Tol, Yuta Shimanaka, Alexander H. Bedard, Jennifer Sapia, Liujuan Cui, Mariana Colaço-Gaspar, Peter Hofer, Alessandra Ferrari, Kevin Qian, John P. Kennelly, Stephen D. Lee, Yajing Gao, Xu Xiao, Jie Gao, Julia J. Mack, Thomas A. Weston, Kevin J. Williams, Baolong Su, Calvin Pan, Aldons J. Lusis, Daniel P. Pike, Alex Reed, Natalia Milosevich, Benjamin F. Cravatt, Makoto Arita, Stephen G. Young, David A. Ford, Rudolf Zechner, Stefano Vanni, Peter Tontonoz","doi":"10.1038/s42255-025-01320-y","DOIUrl":null,"url":null,"abstract":"Genetic and dietary cues are known drivers of obesity, yet how they converge at the molecular level is incompletely understood. Here we show that PPARγ supports hypertrophic expansion of adipose tissue via transcriptional control of LPCAT3, an endoplasmic reticulum (ER)-resident O-acyltransferase that selectively enriches diet-derived omega-6 polyunsaturated fatty acids (n-6 PUFAs) in the membrane lipidome. In mice fed a high-fat diet, lowering membrane n-6 PUFA levels through genetic or dietary interventions results in aberrant adipose triglyceride (TG) turnover, ectopic fat deposition and insulin resistance. Additionally, we detail a non-canonical adaptive response in ‘lipodystrophic’ Lpcat3–/– adipose tissues that engages a futile lipid cycle to increase metabolic rate and offset lipid overflow to ectopic sites. Live-cell imaging, lipidomics and molecular dynamics simulations reveal that adipocyte LPCAT3 activity enriches n-6 arachidonate in the phosphatidylethanolamine (PE)-dense ER–lipid droplet interface. Functionally, this localized PE remodelling optimizes TG storage by driving the formation of large droplets that exhibit greater resistance to adipose TG lipase activity. These findings highlight the PPARγ–LPCAT3 axis as a mechanistic link between dietary n-6 PUFA intake, adipose expandability and systemic energy balance. Dietary n-6 PUFAs enhance adipose tissue expandability through the PPARγ–LPCAT3 membrane remodelling axis.","PeriodicalId":19038,"journal":{"name":"Nature metabolism","volume":"7 7","pages":"1424-1442"},"PeriodicalIF":20.8000,"publicationDate":"2025-06-27","publicationTypes":"Journal Article","fieldsOfStudy":null,"isOpenAccess":false,"openAccessPdf":"","citationCount":"0","resultStr":"{\"title\":\"Dietary control of peripheral adipose storage capacity through membrane lipid remodelling\",\"authors\":\"Marcus J. Tol, Yuta Shimanaka, Alexander H. Bedard, Jennifer Sapia, Liujuan Cui, Mariana Colaço-Gaspar, Peter Hofer, Alessandra Ferrari, Kevin Qian, John P. Kennelly, Stephen D. Lee, Yajing Gao, Xu Xiao, Jie Gao, Julia J. Mack, Thomas A. Weston, Kevin J. Williams, Baolong Su, Calvin Pan, Aldons J. Lusis, Daniel P. Pike, Alex Reed, Natalia Milosevich, Benjamin F. Cravatt, Makoto Arita, Stephen G. Young, David A. Ford, Rudolf Zechner, Stefano Vanni, Peter Tontonoz\",\"doi\":\"10.1038/s42255-025-01320-y\",\"DOIUrl\":null,\"url\":null,\"abstract\":\"Genetic and dietary cues are known drivers of obesity, yet how they converge at the molecular level is incompletely understood. Here we show that PPARγ supports hypertrophic expansion of adipose tissue via transcriptional control of LPCAT3, an endoplasmic reticulum (ER)-resident O-acyltransferase that selectively enriches diet-derived omega-6 polyunsaturated fatty acids (n-6 PUFAs) in the membrane lipidome. In mice fed a high-fat diet, lowering membrane n-6 PUFA levels through genetic or dietary interventions results in aberrant adipose triglyceride (TG) turnover, ectopic fat deposition and insulin resistance. Additionally, we detail a non-canonical adaptive response in ‘lipodystrophic’ Lpcat3–/– adipose tissues that engages a futile lipid cycle to increase metabolic rate and offset lipid overflow to ectopic sites. Live-cell imaging, lipidomics and molecular dynamics simulations reveal that adipocyte LPCAT3 activity enriches n-6 arachidonate in the phosphatidylethanolamine (PE)-dense ER–lipid droplet interface. Functionally, this localized PE remodelling optimizes TG storage by driving the formation of large droplets that exhibit greater resistance to adipose TG lipase activity. These findings highlight the PPARγ–LPCAT3 axis as a mechanistic link between dietary n-6 PUFA intake, adipose expandability and systemic energy balance. Dietary n-6 PUFAs enhance adipose tissue expandability through the PPARγ–LPCAT3 membrane remodelling axis.\",\"PeriodicalId\":19038,\"journal\":{\"name\":\"Nature metabolism\",\"volume\":\"7 7\",\"pages\":\"1424-1442\"},\"PeriodicalIF\":20.8000,\"publicationDate\":\"2025-06-27\",\"publicationTypes\":\"Journal Article\",\"fieldsOfStudy\":null,\"isOpenAccess\":false,\"openAccessPdf\":\"\",\"citationCount\":\"0\",\"resultStr\":null,\"platform\":\"Semanticscholar\",\"paperid\":null,\"PeriodicalName\":\"Nature metabolism\",\"FirstCategoryId\":\"3\",\"ListUrlMain\":\"https://www.nature.com/articles/s42255-025-01320-y\",\"RegionNum\":1,\"RegionCategory\":\"医学\",\"ArticlePicture\":[],\"TitleCN\":null,\"AbstractTextCN\":null,\"PMCID\":null,\"EPubDate\":\"\",\"PubModel\":\"\",\"JCR\":\"Q1\",\"JCRName\":\"ENDOCRINOLOGY & METABOLISM\",\"Score\":null,\"Total\":0}","platform":"Semanticscholar","paperid":null,"PeriodicalName":"Nature metabolism","FirstCategoryId":"3","ListUrlMain":"https://www.nature.com/articles/s42255-025-01320-y","RegionNum":1,"RegionCategory":"医学","ArticlePicture":[],"TitleCN":null,"AbstractTextCN":null,"PMCID":null,"EPubDate":"","PubModel":"","JCR":"Q1","JCRName":"ENDOCRINOLOGY & METABOLISM","Score":null,"Total":0}
引用次数: 0

摘要

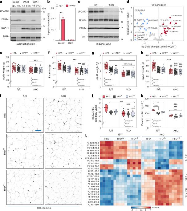
遗传和饮食线索是已知的肥胖驱动因素,但它们如何在分子水平上融合还不完全清楚。在这里,我们发现PPARγ通过转录控制LPCAT3支持脂肪组织的肥厚扩张,LPCAT3是一种内质网(ER)驻留的o -酰基转移酶,可选择性地丰富膜脂组中饮食来源的omega-6多不饱和脂肪酸(n-6 PUFAs)。在喂食高脂肪饮食的小鼠中,通过遗传或饮食干预降低膜n-6 PUFA水平会导致脂肪甘油三酯(TG)异常转化、异位脂肪沉积和胰岛素抵抗。此外,我们详细介绍了“脂肪营养不良”Lpcat3 - / -脂肪组织中的非规范适应性反应,该反应参与无用的脂质循环以增加代谢率并抵消脂质溢出到异位部位。活细胞成像、脂质组学和分子动力学模拟显示,脂肪细胞LPCAT3活性丰富了磷脂酰乙醇胺(PE)致密er脂滴界面的n-6花生四烯酸酯。在功能上,这种局部PE重塑通过驱动大液滴的形成来优化TG储存,这些液滴对脂肪TG脂肪酶活性表现出更大的抵抗力。这些发现强调PPARγ-LPCAT3轴是膳食n-6 PUFA摄入、脂肪可扩展性和全身能量平衡之间的机制联系。
本文章由计算机程序翻译,如有差异,请以英文原文为准。

Dietary control of peripheral adipose storage capacity through membrane lipid remodelling

Dietary control of peripheral adipose storage capacity through membrane lipid remodelling
Genetic and dietary cues are known drivers of obesity, yet how they converge at the molecular level is incompletely understood. Here we show that PPARγ supports hypertrophic expansion of adipose tissue via transcriptional control of LPCAT3, an endoplasmic reticulum (ER)-resident O-acyltransferase that selectively enriches diet-derived omega-6 polyunsaturated fatty acids (n-6 PUFAs) in the membrane lipidome. In mice fed a high-fat diet, lowering membrane n-6 PUFA levels through genetic or dietary interventions results in aberrant adipose triglyceride (TG) turnover, ectopic fat deposition and insulin resistance. Additionally, we detail a non-canonical adaptive response in ‘lipodystrophic’ Lpcat3–/– adipose tissues that engages a futile lipid cycle to increase metabolic rate and offset lipid overflow to ectopic sites. Live-cell imaging, lipidomics and molecular dynamics simulations reveal that adipocyte LPCAT3 activity enriches n-6 arachidonate in the phosphatidylethanolamine (PE)-dense ER–lipid droplet interface. Functionally, this localized PE remodelling optimizes TG storage by driving the formation of large droplets that exhibit greater resistance to adipose TG lipase activity. These findings highlight the PPARγ–LPCAT3 axis as a mechanistic link between dietary n-6 PUFA intake, adipose expandability and systemic energy balance. Dietary n-6 PUFAs enhance adipose tissue expandability through the PPARγ–LPCAT3 membrane remodelling axis.
求助全文
通过发布文献求助,成功后即可免费获取论文全文。 去求助
来源期刊
Nature metabolism
Nature metabolism ENDOCRINOLOGY & METABOLISM-
CiteScore
27.50
自引率
2.40%
发文量
170
期刊介绍: Nature Metabolism is a peer-reviewed scientific journal that covers a broad range of topics in metabolism research. It aims to advance the understanding of metabolic and homeostatic processes at a cellular and physiological level. The journal publishes research from various fields, including fundamental cell biology, basic biomedical and translational research, and integrative physiology. It focuses on how cellular metabolism affects cellular function, the physiology and homeostasis of organs and tissues, and the regulation of organismal energy homeostasis. It also investigates the molecular pathophysiology of metabolic diseases such as diabetes and obesity, as well as their treatment. Nature Metabolism follows the standards of other Nature-branded journals, with a dedicated team of professional editors, rigorous peer-review process, high standards of copy-editing and production, swift publication, and editorial independence. The journal has a high impact factor, has a certain influence in the international area, and is deeply concerned and cited by the majority of scholars.
×
引用
GB/T 7714-2015
复制
MLA
复制
APA
复制
导出至
BibTeX EndNote RefMan NoteFirst NoteExpress
×
提示
您的信息不完整,为了账户安全,请先补充。
现在去补充
×
提示
您因"违规操作"
具体请查看互助需知
我知道了
×
提示
确定
请完成安全验证×
copy
已复制链接
快去分享给好友吧!
我知道了
右上角分享
点击右上角分享
0
联系我们:info@booksci.cn Book学术提供免费学术资源搜索服务,方便国内外学者检索中英文文献。致力于提供最便捷和优质的服务体验。 Copyright © 2023 布克学术 All rights reserved.
京ICP备2023020795号-1
ghs 京公网安备 11010802042870号
Book学术文献互助
Book学术文献互助群
群 号:604180095
Book学术官方微信