术前X/Y比值对经皮Zadek截骨治疗插入性跟腱病临床疗效的影响。

IF 2.2
Foot & ankle international Pub Date : 2025-08-01 Epub Date: 2025-06-26 DOI:10.1177/10711007251341890
Sarah Hall Kiriluk, Anne Holly Johnson, Jonathan R M Kaplan, Ettore Vulcano, Thomas Lewis, Peter Lam, Oliver Schipper, J Benjamin Jackson, Tyler A Gonzalez
{"title":"术前X/Y比值对经皮Zadek截骨治疗插入性跟腱病临床疗效的影响。","authors":"Sarah Hall Kiriluk, Anne Holly Johnson, Jonathan R M Kaplan, Ettore Vulcano, Thomas Lewis, Peter Lam, Oliver Schipper, J Benjamin Jackson, Tyler A Gonzalez","doi":"10.1177/10711007251341890","DOIUrl":null,"url":null,"abstract":"<p><strong>Background: </strong>The percutaneous dorsal closing wedge calcaneal Zadek osteotomy (ZO) is an effective treatment for patients with insertional Achilles tendinopathy (IAT), although consensus is lacking on ideal patient selection. Tourné et al proposed that a preoperative calcaneal X/Y ratio <2.5 defines surgical candidacy, but this criterion remains controversial. This study evaluated whether patients with IAT benefit from percutaneous ZO regardless of preoperative X/Y ratio.</p><p><strong>Methods: </strong>A retrospective comparative study of 27 patients undergoing percutaneous ZO was performed. Patients were stratified into 2 cohorts based on preoperative X/Y ratio (<2.5 vs ≥2.5). Primary outcomes were PROMIS scores for pain, function, and mobility at 3, 6, and 12 months. Secondary outcomes included complication rates and radiographic parameters. Minimal clinically important differences were used to assess clinical significance.</p><p><strong>Results: </strong>Between May 2022 and May 2024, 27 cases were included in the current analyses. Seventeen cases had an X/Y <2.5; 10 had an X/Y ≥2.5. Both cohorts demonstrated significant improvement in PROMIS pain, function, mobility scores (<i>P</i> < .05). Patients with X/Y ≥2.5 demonstrated statistically greater improvement in pain scores than patients with X/Y <2.5 (<i>P</i> = .049) at 1-year follow-up. Ninety-eight percent of patients were satisfied following ZO intervention.</p><p><strong>Conclusion: </strong>Percutaneous ZO demonstrated meaningful improvement in patients' function, pain, and mobility regardless of preoperative X/Y ratio. These findings challenge the use of the <2.5 X/Y threshold as a strict selection criterion. Percutaneous ZO may be a viable option for a broader population of IAT patients than previously considered.</p>","PeriodicalId":94011,"journal":{"name":"Foot & ankle international","volume":" ","pages":"887-894"},"PeriodicalIF":2.2000,"publicationDate":"2025-08-01","publicationTypes":"Journal Article","fieldsOfStudy":null,"isOpenAccess":false,"openAccessPdf":"https://www.ncbi.nlm.nih.gov/pmc/articles/PMC12329146/pdf/","citationCount":"0","resultStr":"{\"title\":\"The Effect of Preoperative X/Y Ratio on Clinical Outcomes following Percutaneous Zadek Osteotomy for Insertional Achilles Tendinopathy.\",\"authors\":\"Sarah Hall Kiriluk, Anne Holly Johnson, Jonathan R M Kaplan, Ettore Vulcano, Thomas Lewis, Peter Lam, Oliver Schipper, J Benjamin Jackson, Tyler A Gonzalez\",\"doi\":\"10.1177/10711007251341890\",\"DOIUrl\":null,\"url\":null,\"abstract\":\"<p><strong>Background: </strong>The percutaneous dorsal closing wedge calcaneal Zadek osteotomy (ZO) is an effective treatment for patients with insertional Achilles tendinopathy (IAT), although consensus is lacking on ideal patient selection. Tourné et al proposed that a preoperative calcaneal X/Y ratio <2.5 defines surgical candidacy, but this criterion remains controversial. This study evaluated whether patients with IAT benefit from percutaneous ZO regardless of preoperative X/Y ratio.</p><p><strong>Methods: </strong>A retrospective comparative study of 27 patients undergoing percutaneous ZO was performed. Patients were stratified into 2 cohorts based on preoperative X/Y ratio (<2.5 vs ≥2.5). Primary outcomes were PROMIS scores for pain, function, and mobility at 3, 6, and 12 months. Secondary outcomes included complication rates and radiographic parameters. Minimal clinically important differences were used to assess clinical significance.</p><p><strong>Results: </strong>Between May 2022 and May 2024, 27 cases were included in the current analyses. Seventeen cases had an X/Y <2.5; 10 had an X/Y ≥2.5. Both cohorts demonstrated significant improvement in PROMIS pain, function, mobility scores (<i>P</i> < .05). Patients with X/Y ≥2.5 demonstrated statistically greater improvement in pain scores than patients with X/Y <2.5 (<i>P</i> = .049) at 1-year follow-up. Ninety-eight percent of patients were satisfied following ZO intervention.</p><p><strong>Conclusion: </strong>Percutaneous ZO demonstrated meaningful improvement in patients' function, pain, and mobility regardless of preoperative X/Y ratio. These findings challenge the use of the <2.5 X/Y threshold as a strict selection criterion. Percutaneous ZO may be a viable option for a broader population of IAT patients than previously considered.</p>\",\"PeriodicalId\":94011,\"journal\":{\"name\":\"Foot & ankle international\",\"volume\":\" \",\"pages\":\"887-894\"},\"PeriodicalIF\":2.2000,\"publicationDate\":\"2025-08-01\",\"publicationTypes\":\"Journal Article\",\"fieldsOfStudy\":null,\"isOpenAccess\":false,\"openAccessPdf\":\"https://www.ncbi.nlm.nih.gov/pmc/articles/PMC12329146/pdf/\",\"citationCount\":\"0\",\"resultStr\":null,\"platform\":\"Semanticscholar\",\"paperid\":null,\"PeriodicalName\":\"Foot & ankle international\",\"FirstCategoryId\":\"1085\",\"ListUrlMain\":\"https://doi.org/10.1177/10711007251341890\",\"RegionNum\":0,\"RegionCategory\":null,\"ArticlePicture\":[],\"TitleCN\":null,\"AbstractTextCN\":null,\"PMCID\":null,\"EPubDate\":\"2025/6/26 0:00:00\",\"PubModel\":\"Epub\",\"JCR\":\"\",\"JCRName\":\"\",\"Score\":null,\"Total\":0}","platform":"Semanticscholar","paperid":null,"PeriodicalName":"Foot & ankle international","FirstCategoryId":"1085","ListUrlMain":"https://doi.org/10.1177/10711007251341890","RegionNum":0,"RegionCategory":null,"ArticlePicture":[],"TitleCN":null,"AbstractTextCN":null,"PMCID":null,"EPubDate":"2025/6/26 0:00:00","PubModel":"Epub","JCR":"","JCRName":"","Score":null,"Total":0}
引用次数: 0

摘要

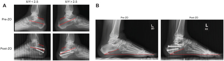
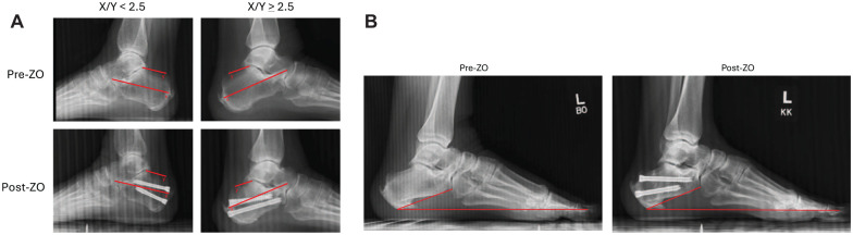
背景:经皮背侧闭合楔形跟骨Zadek截骨术(ZO)是治疗插入性跟腱病(IAT)的有效方法,但对于理想患者的选择仍缺乏共识。tourn等人提出术前跟骨X/Y比值方法:对27例经皮ZO患者进行回顾性比较研究。根据术前X/Y比值将患者分为2个队列(结果:2022年5月至2024年5月,27例患者纳入当前分析。17例随访1年,X/Y P P = 0.049)。98%的患者在ZO干预后感到满意。结论:无论术前X/Y比值如何,经皮ZO均能显著改善患者的功能、疼痛和活动能力。这些发现对使用
本文章由计算机程序翻译,如有差异,请以英文原文为准。

The Effect of Preoperative X/Y Ratio on Clinical Outcomes following Percutaneous Zadek Osteotomy for Insertional Achilles Tendinopathy.

The Effect of Preoperative X/Y Ratio on Clinical Outcomes following Percutaneous Zadek Osteotomy for Insertional Achilles Tendinopathy.

The Effect of Preoperative X/Y Ratio on Clinical Outcomes following Percutaneous Zadek Osteotomy for Insertional Achilles Tendinopathy.

The Effect of Preoperative X/Y Ratio on Clinical Outcomes following Percutaneous Zadek Osteotomy for Insertional Achilles Tendinopathy.

The Effect of Preoperative X/Y Ratio on Clinical Outcomes following Percutaneous Zadek Osteotomy for Insertional Achilles Tendinopathy.

The Effect of Preoperative X/Y Ratio on Clinical Outcomes following Percutaneous Zadek Osteotomy for Insertional Achilles Tendinopathy.

The Effect of Preoperative X/Y Ratio on Clinical Outcomes following Percutaneous Zadek Osteotomy for Insertional Achilles Tendinopathy.

Background: The percutaneous dorsal closing wedge calcaneal Zadek osteotomy (ZO) is an effective treatment for patients with insertional Achilles tendinopathy (IAT), although consensus is lacking on ideal patient selection. Tourné et al proposed that a preoperative calcaneal X/Y ratio <2.5 defines surgical candidacy, but this criterion remains controversial. This study evaluated whether patients with IAT benefit from percutaneous ZO regardless of preoperative X/Y ratio.

Methods: A retrospective comparative study of 27 patients undergoing percutaneous ZO was performed. Patients were stratified into 2 cohorts based on preoperative X/Y ratio (<2.5 vs ≥2.5). Primary outcomes were PROMIS scores for pain, function, and mobility at 3, 6, and 12 months. Secondary outcomes included complication rates and radiographic parameters. Minimal clinically important differences were used to assess clinical significance.

Results: Between May 2022 and May 2024, 27 cases were included in the current analyses. Seventeen cases had an X/Y <2.5; 10 had an X/Y ≥2.5. Both cohorts demonstrated significant improvement in PROMIS pain, function, mobility scores (P < .05). Patients with X/Y ≥2.5 demonstrated statistically greater improvement in pain scores than patients with X/Y <2.5 (P = .049) at 1-year follow-up. Ninety-eight percent of patients were satisfied following ZO intervention.

Conclusion: Percutaneous ZO demonstrated meaningful improvement in patients' function, pain, and mobility regardless of preoperative X/Y ratio. These findings challenge the use of the <2.5 X/Y threshold as a strict selection criterion. Percutaneous ZO may be a viable option for a broader population of IAT patients than previously considered.

求助全文
通过发布文献求助,成功后即可免费获取论文全文。 去求助
来源期刊
自引率
0.00%
发文量
0
×
引用
GB/T 7714-2015
复制
MLA
复制
APA
复制
导出至
BibTeX EndNote RefMan NoteFirst NoteExpress
×
提示
您的信息不完整,为了账户安全,请先补充。
现在去补充
×
提示
您因"违规操作"
具体请查看互助需知
我知道了
×
提示
确定
请完成安全验证×
copy
已复制链接
快去分享给好友吧!
我知道了
右上角分享
点击右上角分享
0
联系我们:info@booksci.cn Book学术提供免费学术资源搜索服务,方便国内外学者检索中英文文献。致力于提供最便捷和优质的服务体验。 Copyright © 2023 布克学术 All rights reserved.
京ICP备2023020795号-1
ghs 京公网安备 11010802042870号
Book学术文献互助
Book学术文献互助群
群 号:604180095
Book学术官方微信