通过卵圆孔未闭意外放置无铅微型起搏器左心室。

IF 0.9 4区 医学
Texas Heart Institute Journal Pub Date : 2025-06-24 eCollection Date: 2025-01-01 DOI:10.14503/THIJ-23-8303
Hamza Alkowatli, Mahmoud Kutmah, Adnan Shaik, Osama Hallak
{"title":"通过卵圆孔未闭意外放置无铅微型起搏器左心室。","authors":"Hamza Alkowatli, Mahmoud Kutmah, Adnan Shaik, Osama Hallak","doi":"10.14503/THIJ-23-8303","DOIUrl":null,"url":null,"abstract":"<p><p>The Micra device is a leadless pacemaker implanted in the right ventricle via a femoral vein transcatheter approach. There are several indications for and advantages to using a leadless pacemaker, and the device's role in the field of cardiology will probably continue to increase. This article presents the case of a rare complication probably due to inadvertent placement of the device in the left ventricle across an undiagnosed patent foramen ovale.</p>","PeriodicalId":48680,"journal":{"name":"Texas Heart Institute Journal","volume":"52 1","pages":"e238303"},"PeriodicalIF":0.9000,"publicationDate":"2025-06-24","publicationTypes":"Journal Article","fieldsOfStudy":null,"isOpenAccess":false,"openAccessPdf":"https://www.ncbi.nlm.nih.gov/pmc/articles/PMC12188124/pdf/","citationCount":"0","resultStr":"{\"title\":\"Accidental Left Ventricular Placement of a Leadless Micra Pacemaker Through a Patent Foramen Ovale.\",\"authors\":\"Hamza Alkowatli, Mahmoud Kutmah, Adnan Shaik, Osama Hallak\",\"doi\":\"10.14503/THIJ-23-8303\",\"DOIUrl\":null,\"url\":null,\"abstract\":\"<p><p>The Micra device is a leadless pacemaker implanted in the right ventricle via a femoral vein transcatheter approach. There are several indications for and advantages to using a leadless pacemaker, and the device's role in the field of cardiology will probably continue to increase. This article presents the case of a rare complication probably due to inadvertent placement of the device in the left ventricle across an undiagnosed patent foramen ovale.</p>\",\"PeriodicalId\":48680,\"journal\":{\"name\":\"Texas Heart Institute Journal\",\"volume\":\"52 1\",\"pages\":\"e238303\"},\"PeriodicalIF\":0.9000,\"publicationDate\":\"2025-06-24\",\"publicationTypes\":\"Journal Article\",\"fieldsOfStudy\":null,\"isOpenAccess\":false,\"openAccessPdf\":\"https://www.ncbi.nlm.nih.gov/pmc/articles/PMC12188124/pdf/\",\"citationCount\":\"0\",\"resultStr\":null,\"platform\":\"Semanticscholar\",\"paperid\":null,\"PeriodicalName\":\"Texas Heart Institute Journal\",\"FirstCategoryId\":\"3\",\"ListUrlMain\":\"https://doi.org/10.14503/THIJ-23-8303\",\"RegionNum\":4,\"RegionCategory\":\"医学\",\"ArticlePicture\":[],\"TitleCN\":null,\"AbstractTextCN\":null,\"PMCID\":null,\"EPubDate\":\"2025/1/1 0:00:00\",\"PubModel\":\"eCollection\",\"JCR\":\"\",\"JCRName\":\"\",\"Score\":null,\"Total\":0}","platform":"Semanticscholar","paperid":null,"PeriodicalName":"Texas Heart Institute Journal","FirstCategoryId":"3","ListUrlMain":"https://doi.org/10.14503/THIJ-23-8303","RegionNum":4,"RegionCategory":"医学","ArticlePicture":[],"TitleCN":null,"AbstractTextCN":null,"PMCID":null,"EPubDate":"2025/1/1 0:00:00","PubModel":"eCollection","JCR":"","JCRName":"","Score":null,"Total":0}
引用次数: 0

摘要

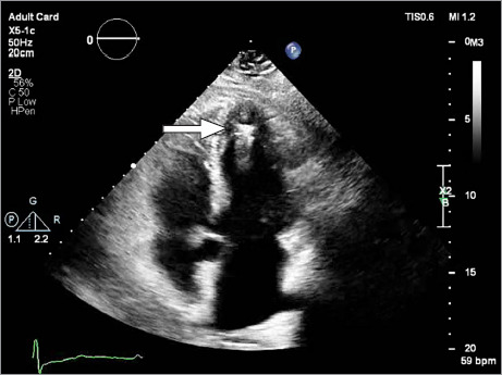
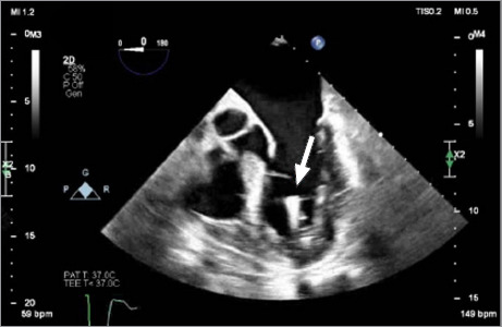
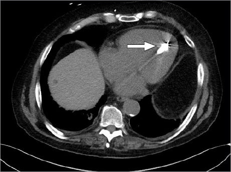
Micra装置是一种通过股静脉经导管入路植入右心室的无铅起搏器。使用无导线起搏器有几个适应症和优点,该设备在心脏病学领域的作用可能会继续增加。这篇文章提出了一个罕见的并发症的情况下,可能是由于无意中放置装置在左心室跨越一个未确诊的卵圆孔未闭。
本文章由计算机程序翻译,如有差异,请以英文原文为准。

Accidental Left Ventricular Placement of a Leadless Micra Pacemaker Through a Patent Foramen Ovale.

Accidental Left Ventricular Placement of a Leadless Micra Pacemaker Through a Patent Foramen Ovale.

Accidental Left Ventricular Placement of a Leadless Micra Pacemaker Through a Patent Foramen Ovale.

Accidental Left Ventricular Placement of a Leadless Micra Pacemaker Through a Patent Foramen Ovale.

The Micra device is a leadless pacemaker implanted in the right ventricle via a femoral vein transcatheter approach. There are several indications for and advantages to using a leadless pacemaker, and the device's role in the field of cardiology will probably continue to increase. This article presents the case of a rare complication probably due to inadvertent placement of the device in the left ventricle across an undiagnosed patent foramen ovale.

求助全文
通过发布文献求助,成功后即可免费获取论文全文。 去求助
来源期刊
Texas Heart Institute Journal
Texas Heart Institute Journal CARDIAC & CARDIOVASCULAR SYSTEMS-
自引率
11.10%
发文量
131
期刊介绍: For more than 45 years, the Texas Heart Institute Journal has been published by the Texas Heart Institute as part of its medical education program. Our bimonthly peer-reviewed journal enjoys a global audience of physicians, scientists, and healthcare professionals who are contributing to the prevention, diagnosis, and treatment of cardiovascular disease. The Journal was printed under the name of Cardiovascular Diseases from 1974 through 1981 (ISSN 0093-3546). The name was changed to Texas Heart Institute Journal in 1982 and was printed through 2013 (ISSN 0730-2347). In 2014, the Journal moved to online-only publication. It is indexed by Index Medicus/MEDLINE and by other indexing and abstracting services worldwide. Our full archive is available at PubMed Central. The Journal invites authors to submit these article types for review: -Clinical Investigations- Laboratory Investigations- Reviews- Techniques- Coronary Anomalies- History of Medicine- Case Reports/Case Series (Submission Fee: $70.00 USD)- Images in Cardiovascular Medicine (Submission Fee: $35.00 USD)- Guest Editorials- Peabody’s Corner- Letters to the Editor
×
引用
GB/T 7714-2015
复制
MLA
复制
APA
复制
导出至
BibTeX EndNote RefMan NoteFirst NoteExpress
×
提示
您的信息不完整,为了账户安全,请先补充。
现在去补充
×
提示
您因"违规操作"
具体请查看互助需知
我知道了
×
提示
确定
请完成安全验证×
copy
已复制链接
快去分享给好友吧!
我知道了
右上角分享
点击右上角分享
0
联系我们:info@booksci.cn Book学术提供免费学术资源搜索服务,方便国内外学者检索中英文文献。致力于提供最便捷和优质的服务体验。 Copyright © 2023 布克学术 All rights reserved.
京ICP备2023020795号-1
ghs 京公网安备 11010802042870号
Book学术文献互助
Book学术文献互助群
群 号:604180095
Book学术官方微信