lanreotide单次注射后即刻起效治疗促甲状腺激素产生的垂体瘤。

IF 0.7 Q4 ENDOCRINOLOGY & METABOLISM
Mayuko Sumitomo, Arina Miyoshi, Shuhei Baba, Hajime Sugawara, Shinji Obara, Norio Wada
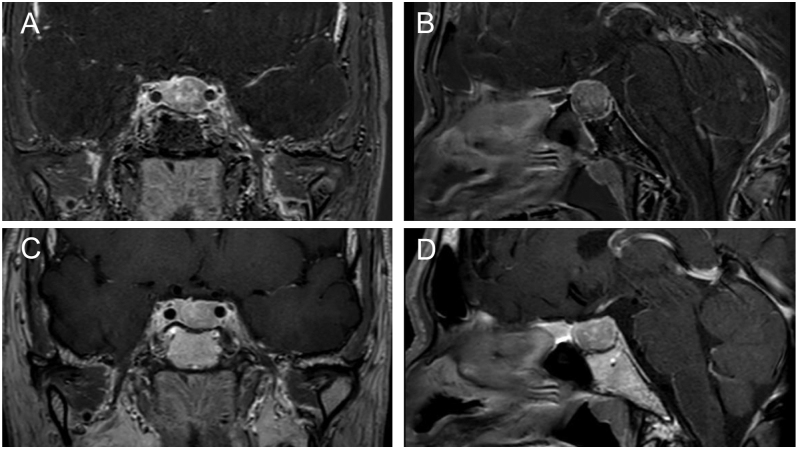
{"title":"lanreotide单次注射后即刻起效治疗促甲状腺激素产生的垂体瘤。","authors":"Mayuko Sumitomo, Arina Miyoshi, Shuhei Baba, Hajime Sugawara, Shinji Obara, Norio Wada","doi":"10.1530/EDM-25-0020","DOIUrl":null,"url":null,"abstract":"<p><strong>Summary: </strong>We present the case of a 51-year-old man who was referred to our hospital due to abnormal thyroid function tests. Laboratory evaluations showed elevated serum free (F) T3 and free (F) T4 levels (9.05 pg/mL and 4.21 ng/dL, respectively), with a normal serum thyroid-stimulating hormone (TSH) level of 1.49 μIU/mL, indicating central hyperthyroidism. An 18 × 17 × 14 mm T1-weighted hypointense tumor was found on the left side of the pituitary gland, with low contrast enhancement during a cranial MRI. The TRH stimulation test revealed no TSH response. The administration of a single dose of octreotide reduced TSH levels. Following these findings, the patient was clinically diagnosed with a TSH-producing pituitary tumor (TSHoma). The patient was directed to our hospital's neurosurgery department for pituitary surgery and began preoperative treatment with lanreotide autogel (90 mg, subcutaneous injection). Four days after administration, FT3 and FT4 levels returned to normal. Seven days after administration, an MRI revealed a 50% reduction in tumor volume. Endoscopic pituitary surgery was performed 15 days after the initial administration and resulted in complete tumor resection. A histopathological examination confirmed the presence of a TSH-producing pituitary neuroendocrine tumor. Postoperatively, FT3 and FT4 levels stayed within the normal ranges. This case demonstrates how a single dose of lanreotide autogel not only normalized thyroid hormone levels but also resulted in rapid shrinkage of the pituitary tumor in TSHoma.</p><p><strong>Learning points: </strong>Preoperative treatment with somatostatin analogs for TSH-producing pituitary adenomas (TSHomas) aims to control thyroid function, preventing thyroid storm during surgery, and to reduce tumor size. We report a case of a TSHoma treated preoperatively with a single subcutaneous injection of lanreotide autogel (LAN-ATG). In this patient, thyroid function normalized and significant tumor shrinkage was observed within 1 week of LAN-ATG administration. This case demonstrates that significant therapeutic effects can be achieved within days after a single injection of LAN-ATG. This approach could facilitate earlier surgical intervention, potentially improving patient outcomes and optimizing preoperative management strategies.</p>","PeriodicalId":37467,"journal":{"name":"Endocrinology, Diabetes and Metabolism Case Reports","volume":"2025 2","pages":""},"PeriodicalIF":0.7000,"publicationDate":"2025-06-26","publicationTypes":"Journal Article","fieldsOfStudy":null,"isOpenAccess":false,"openAccessPdf":"https://www.ncbi.nlm.nih.gov/pmc/articles/PMC12207597/pdf/","citationCount":"0","resultStr":"{\"title\":\"Effects of lanreotide autogel immediately after a single injection for thyrotropin-producing pituitary tumor.\",\"authors\":\"Mayuko Sumitomo, Arina Miyoshi, Shuhei Baba, Hajime Sugawara, Shinji Obara, Norio Wada\",\"doi\":\"10.1530/EDM-25-0020\",\"DOIUrl\":null,\"url\":null,\"abstract\":\"<p><strong>Summary: </strong>We present the case of a 51-year-old man who was referred to our hospital due to abnormal thyroid function tests. Laboratory evaluations showed elevated serum free (F) T3 and free (F) T4 levels (9.05 pg/mL and 4.21 ng/dL, respectively), with a normal serum thyroid-stimulating hormone (TSH) level of 1.49 μIU/mL, indicating central hyperthyroidism. An 18 × 17 × 14 mm T1-weighted hypointense tumor was found on the left side of the pituitary gland, with low contrast enhancement during a cranial MRI. The TRH stimulation test revealed no TSH response. The administration of a single dose of octreotide reduced TSH levels. Following these findings, the patient was clinically diagnosed with a TSH-producing pituitary tumor (TSHoma). The patient was directed to our hospital's neurosurgery department for pituitary surgery and began preoperative treatment with lanreotide autogel (90 mg, subcutaneous injection). Four days after administration, FT3 and FT4 levels returned to normal. Seven days after administration, an MRI revealed a 50% reduction in tumor volume. Endoscopic pituitary surgery was performed 15 days after the initial administration and resulted in complete tumor resection. A histopathological examination confirmed the presence of a TSH-producing pituitary neuroendocrine tumor. Postoperatively, FT3 and FT4 levels stayed within the normal ranges. This case demonstrates how a single dose of lanreotide autogel not only normalized thyroid hormone levels but also resulted in rapid shrinkage of the pituitary tumor in TSHoma.</p><p><strong>Learning points: </strong>Preoperative treatment with somatostatin analogs for TSH-producing pituitary adenomas (TSHomas) aims to control thyroid function, preventing thyroid storm during surgery, and to reduce tumor size. We report a case of a TSHoma treated preoperatively with a single subcutaneous injection of lanreotide autogel (LAN-ATG). In this patient, thyroid function normalized and significant tumor shrinkage was observed within 1 week of LAN-ATG administration. This case demonstrates that significant therapeutic effects can be achieved within days after a single injection of LAN-ATG. This approach could facilitate earlier surgical intervention, potentially improving patient outcomes and optimizing preoperative management strategies.</p>\",\"PeriodicalId\":37467,\"journal\":{\"name\":\"Endocrinology, Diabetes and Metabolism Case Reports\",\"volume\":\"2025 2\",\"pages\":\"\"},\"PeriodicalIF\":0.7000,\"publicationDate\":\"2025-06-26\",\"publicationTypes\":\"Journal Article\",\"fieldsOfStudy\":null,\"isOpenAccess\":false,\"openAccessPdf\":\"https://www.ncbi.nlm.nih.gov/pmc/articles/PMC12207597/pdf/\",\"citationCount\":\"0\",\"resultStr\":null,\"platform\":\"Semanticscholar\",\"paperid\":null,\"PeriodicalName\":\"Endocrinology, Diabetes and Metabolism Case Reports\",\"FirstCategoryId\":\"1085\",\"ListUrlMain\":\"https://doi.org/10.1530/EDM-25-0020\",\"RegionNum\":0,\"RegionCategory\":null,\"ArticlePicture\":[],\"TitleCN\":null,\"AbstractTextCN\":null,\"PMCID\":null,\"EPubDate\":\"2025/4/1 0:00:00\",\"PubModel\":\"Print\",\"JCR\":\"Q4\",\"JCRName\":\"ENDOCRINOLOGY & METABOLISM\",\"Score\":null,\"Total\":0}","platform":"Semanticscholar","paperid":null,"PeriodicalName":"Endocrinology, Diabetes and Metabolism Case Reports","FirstCategoryId":"1085","ListUrlMain":"https://doi.org/10.1530/EDM-25-0020","RegionNum":0,"RegionCategory":null,"ArticlePicture":[],"TitleCN":null,"AbstractTextCN":null,"PMCID":null,"EPubDate":"2025/4/1 0:00:00","PubModel":"Print","JCR":"Q4","JCRName":"ENDOCRINOLOGY & METABOLISM","Score":null,"Total":0}
引用次数: 0

摘要

摘要:我们报告一例51岁的男性,因甲状腺功能检查异常而转诊至我院。实验室检查显示血清游离(F) T3和游离(F) T4水平升高(分别为9.05 pg/mL和4.21 ng/dL),血清促甲状腺激素(TSH)水平正常为1.49 μIU/mL,提示中枢性甲状腺功能亢进。在脑垂体左侧发现一个18 × 17 × 14 mm t1加权的低信号肿瘤,颅脑MRI低对比度增强。TRH刺激试验未见TSH反应。单剂量奥曲肽可降低TSH水平。根据这些发现,患者被临床诊断为产生tsh的垂体瘤(TSHoma)。患者被引导至我院神经外科进行垂体手术,并开始术前使用lanreotide autol (90mg,皮下注射)治疗。给药4天后,FT3和FT4水平恢复正常。给药7天后,MRI显示肿瘤体积缩小50%。首次给药后15天进行垂体内镜手术,肿瘤完全切除。组织病理学检查证实存在一种产生tsh的垂体神经内分泌肿瘤。术后FT3、FT4水平维持在正常范围内。本病例表明单剂量lanreotide不仅能使甲状腺激素水平正常化,还能使TSHoma患者的垂体肿瘤迅速缩小。学习要点:在术前使用生长抑素类似物治疗产生tsh的垂体腺瘤(TSHomas),目的是控制甲状腺功能,防止术中甲状腺风暴,减小肿瘤大小。我们报告一例TSHoma术前单次皮下注射lanreotide autol (LAN-ATG)治疗。本例患者在给予LAN-ATG 1周内,甲状腺功能恢复正常,肿瘤明显缩小。该病例表明,单次注射LAN-ATG可在几天内取得显著的治疗效果。这种方法可以促进早期手术干预,潜在地改善患者的预后和优化术前管理策略。
本文章由计算机程序翻译,如有差异,请以英文原文为准。

Effects of lanreotide autogel immediately after a single injection for thyrotropin-producing pituitary tumor.

Effects of lanreotide autogel immediately after a single injection for thyrotropin-producing pituitary tumor.

Effects of lanreotide autogel immediately after a single injection for thyrotropin-producing pituitary tumor.

Effects of lanreotide autogel immediately after a single injection for thyrotropin-producing pituitary tumor.

Summary: We present the case of a 51-year-old man who was referred to our hospital due to abnormal thyroid function tests. Laboratory evaluations showed elevated serum free (F) T3 and free (F) T4 levels (9.05 pg/mL and 4.21 ng/dL, respectively), with a normal serum thyroid-stimulating hormone (TSH) level of 1.49 μIU/mL, indicating central hyperthyroidism. An 18 × 17 × 14 mm T1-weighted hypointense tumor was found on the left side of the pituitary gland, with low contrast enhancement during a cranial MRI. The TRH stimulation test revealed no TSH response. The administration of a single dose of octreotide reduced TSH levels. Following these findings, the patient was clinically diagnosed with a TSH-producing pituitary tumor (TSHoma). The patient was directed to our hospital's neurosurgery department for pituitary surgery and began preoperative treatment with lanreotide autogel (90 mg, subcutaneous injection). Four days after administration, FT3 and FT4 levels returned to normal. Seven days after administration, an MRI revealed a 50% reduction in tumor volume. Endoscopic pituitary surgery was performed 15 days after the initial administration and resulted in complete tumor resection. A histopathological examination confirmed the presence of a TSH-producing pituitary neuroendocrine tumor. Postoperatively, FT3 and FT4 levels stayed within the normal ranges. This case demonstrates how a single dose of lanreotide autogel not only normalized thyroid hormone levels but also resulted in rapid shrinkage of the pituitary tumor in TSHoma.

Learning points: Preoperative treatment with somatostatin analogs for TSH-producing pituitary adenomas (TSHomas) aims to control thyroid function, preventing thyroid storm during surgery, and to reduce tumor size. We report a case of a TSHoma treated preoperatively with a single subcutaneous injection of lanreotide autogel (LAN-ATG). In this patient, thyroid function normalized and significant tumor shrinkage was observed within 1 week of LAN-ATG administration. This case demonstrates that significant therapeutic effects can be achieved within days after a single injection of LAN-ATG. This approach could facilitate earlier surgical intervention, potentially improving patient outcomes and optimizing preoperative management strategies.

求助全文
通过发布文献求助,成功后即可免费获取论文全文。 去求助
来源期刊
CiteScore
1.50
自引率
0.00%
发文量
142
审稿时长
9 weeks
期刊介绍: Endocrinology, Diabetes & Metabolism Case Reports publishes case reports on common and rare conditions in all areas of clinical endocrinology, diabetes and metabolism. Articles should include clear learning points which readers can use to inform medical education or clinical practice. The types of cases of interest to Endocrinology, Diabetes & Metabolism Case Reports include: -Insight into disease pathogenesis or mechanism of therapy - Novel diagnostic procedure - Novel treatment - Unique/unexpected symptoms or presentations of a disease - New disease or syndrome: presentations/diagnosis/management - Unusual effects of medical treatment - Error in diagnosis/pitfalls and caveats
×
引用
GB/T 7714-2015
复制
MLA
复制
APA
复制
导出至
BibTeX EndNote RefMan NoteFirst NoteExpress
×
提示
您的信息不完整,为了账户安全,请先补充。
现在去补充
×
提示
您因"违规操作"
具体请查看互助需知
我知道了
×
提示
确定
请完成安全验证×
copy
已复制链接
快去分享给好友吧!
我知道了
右上角分享
点击右上角分享
0
联系我们:info@booksci.cn Book学术提供免费学术资源搜索服务,方便国内外学者检索中英文文献。致力于提供最便捷和优质的服务体验。 Copyright © 2023 布克学术 All rights reserved.
京ICP备2023020795号-1
ghs 京公网安备 11010802042870号
Book学术文献互助
Book学术文献互助群
群 号:604180095
Book学术官方微信