单侧产生皮质醇的腺瘤切除后双侧高醛固酮增多症的意外缓解:两例报告。

IF 0.9 Q4 ENDOCRINOLOGY & METABOLISM
Case Reports in Endocrinology Pub Date : 2025-06-18 eCollection Date: 2025-01-01 DOI:10.1155/crie/9941688
Kazunari Hara, Masanori Murakami, Kumiko Shiba, Kazutaka Tsujimoto, Chikara Komiya, Kenji Ikeda, Kurara Yamamoto, Towako Taguchi, Takumi Akashi, Soichiro Yoshida, Kenichi Ohashi, Yasuhisa Fujii, Tetsuya Yamada
{"title":"单侧产生皮质醇的腺瘤切除后双侧高醛固酮增多症的意外缓解:两例报告。","authors":"Kazunari Hara, Masanori Murakami, Kumiko Shiba, Kazutaka Tsujimoto, Chikara Komiya, Kenji Ikeda, Kurara Yamamoto, Towako Taguchi, Takumi Akashi, Soichiro Yoshida, Kenichi Ohashi, Yasuhisa Fujii, Tetsuya Yamada","doi":"10.1155/crie/9941688","DOIUrl":null,"url":null,"abstract":"<p><p>Primary aldosteronism (PA) is the most frequent cause of secondary hypertension. PA is primarily categorized into two subtypes: The unilateral subtype, which mainly consists of aldosterone-producing adenoma (APA) and the bilateral subtype, in which aldosterone is overproduced by both adrenal glands. Rarely, does the bilateral form of PA coexists with a cortisol-producing adenoma (CPA), as documented by previous reports. In this context, we present two cases wherein the preoperative diagnosis identified the bilateral form of PA accompanied by a unilateral CPA. However, postresection of the CPA, unexpected resolution of the bilateral form of PA was observed in both patients. Case 1:A 57-year-old female presented with overt Cushing's syndrome attributed to a left adrenal tumor and concomitant bilateral PA. Laparoscopic left adrenalectomy was performed for the treatment of Cushing's syndrome. Case 2:A 67-year-old female diagnosed with a left adrenal tumor with coexisting bilateral PA. The left adrenal tumor exhibited mild autonomous cortisol secretion (MACS) and given the increase in tumor size, laparoscopic left adrenalectomy was undertaken. After 1 year of surgery, we conducted a captopril challenge test (CCT) on both patients, revealing that neither satisfied the diagnostic criteria for PA. In patients where unilateral CPA coexisted with bilateral PA, unilateral adrenalectomy may provide remission of not only the autonomous cortisol secretion but also bilateral PA. Consequently, postoperative evaluation of PA assumes significance.</p>","PeriodicalId":9621,"journal":{"name":"Case Reports in Endocrinology","volume":"2025 ","pages":"9941688"},"PeriodicalIF":0.9000,"publicationDate":"2025-06-18","publicationTypes":"Journal Article","fieldsOfStudy":null,"isOpenAccess":false,"openAccessPdf":"https://www.ncbi.nlm.nih.gov/pmc/articles/PMC12197437/pdf/","citationCount":"0","resultStr":"{\"title\":\"Unexpected Remission of Bilateral Hyperaldosteronism After Unilateral Cortisol-Producing Adenoma Resection: A Report of Two Cases.\",\"authors\":\"Kazunari Hara, Masanori Murakami, Kumiko Shiba, Kazutaka Tsujimoto, Chikara Komiya, Kenji Ikeda, Kurara Yamamoto, Towako Taguchi, Takumi Akashi, Soichiro Yoshida, Kenichi Ohashi, Yasuhisa Fujii, Tetsuya Yamada\",\"doi\":\"10.1155/crie/9941688\",\"DOIUrl\":null,\"url\":null,\"abstract\":\"<p><p>Primary aldosteronism (PA) is the most frequent cause of secondary hypertension. PA is primarily categorized into two subtypes: The unilateral subtype, which mainly consists of aldosterone-producing adenoma (APA) and the bilateral subtype, in which aldosterone is overproduced by both adrenal glands. Rarely, does the bilateral form of PA coexists with a cortisol-producing adenoma (CPA), as documented by previous reports. In this context, we present two cases wherein the preoperative diagnosis identified the bilateral form of PA accompanied by a unilateral CPA. However, postresection of the CPA, unexpected resolution of the bilateral form of PA was observed in both patients. Case 1:A 57-year-old female presented with overt Cushing's syndrome attributed to a left adrenal tumor and concomitant bilateral PA. Laparoscopic left adrenalectomy was performed for the treatment of Cushing's syndrome. Case 2:A 67-year-old female diagnosed with a left adrenal tumor with coexisting bilateral PA. The left adrenal tumor exhibited mild autonomous cortisol secretion (MACS) and given the increase in tumor size, laparoscopic left adrenalectomy was undertaken. After 1 year of surgery, we conducted a captopril challenge test (CCT) on both patients, revealing that neither satisfied the diagnostic criteria for PA. In patients where unilateral CPA coexisted with bilateral PA, unilateral adrenalectomy may provide remission of not only the autonomous cortisol secretion but also bilateral PA. Consequently, postoperative evaluation of PA assumes significance.</p>\",\"PeriodicalId\":9621,\"journal\":{\"name\":\"Case Reports in Endocrinology\",\"volume\":\"2025 \",\"pages\":\"9941688\"},\"PeriodicalIF\":0.9000,\"publicationDate\":\"2025-06-18\",\"publicationTypes\":\"Journal Article\",\"fieldsOfStudy\":null,\"isOpenAccess\":false,\"openAccessPdf\":\"https://www.ncbi.nlm.nih.gov/pmc/articles/PMC12197437/pdf/\",\"citationCount\":\"0\",\"resultStr\":null,\"platform\":\"Semanticscholar\",\"paperid\":null,\"PeriodicalName\":\"Case Reports in Endocrinology\",\"FirstCategoryId\":\"1085\",\"ListUrlMain\":\"https://doi.org/10.1155/crie/9941688\",\"RegionNum\":0,\"RegionCategory\":null,\"ArticlePicture\":[],\"TitleCN\":null,\"AbstractTextCN\":null,\"PMCID\":null,\"EPubDate\":\"2025/1/1 0:00:00\",\"PubModel\":\"eCollection\",\"JCR\":\"Q4\",\"JCRName\":\"ENDOCRINOLOGY & METABOLISM\",\"Score\":null,\"Total\":0}","platform":"Semanticscholar","paperid":null,"PeriodicalName":"Case Reports in Endocrinology","FirstCategoryId":"1085","ListUrlMain":"https://doi.org/10.1155/crie/9941688","RegionNum":0,"RegionCategory":null,"ArticlePicture":[],"TitleCN":null,"AbstractTextCN":null,"PMCID":null,"EPubDate":"2025/1/1 0:00:00","PubModel":"eCollection","JCR":"Q4","JCRName":"ENDOCRINOLOGY & METABOLISM","Score":null,"Total":0}
引用次数: 0

摘要

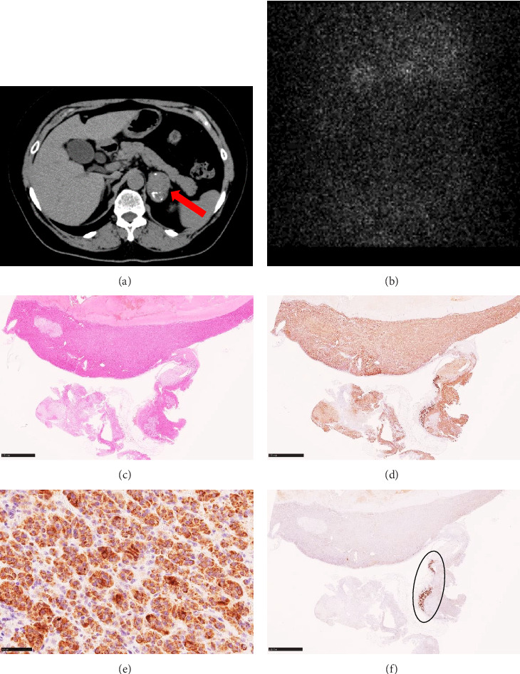
原发性醛固酮增多症(PA)是继发性高血压最常见的原因。PA主要分为两种亚型:单侧亚型,主要由醛固酮分泌腺瘤(APA)组成;双侧亚型,双侧肾上腺醛固酮分泌过多。很少有双侧PA与肾上腺皮质激素分泌腺瘤(CPA)共存,如以前的报道所记载的那样。在这种情况下,我们提出了两个病例,其中术前诊断确定了双侧形式的PA伴有单侧CPA。然而,在CPA切除后,在两例患者中均观察到双侧PA形式的意外消退。病例1:一名57岁女性表现为明显的库欣综合征,归因于左肾上腺肿瘤和伴发的双侧PA。采用腹腔镜左肾上腺切除术治疗库欣综合征。病例2:一名67岁女性,诊断为左肾上腺肿瘤并发双侧PA。左侧肾上腺肿瘤表现出轻度自主皮质醇分泌(MACS),鉴于肿瘤大小的增加,我们进行了腹腔镜左侧肾上腺切除术。手术1年后,我们对两例患者进行了卡托普利激发试验(CCT),结果显示两例患者均不符合PA的诊断标准。在单侧CPA与双侧PA共存的患者中,单侧肾上腺切除术不仅可以缓解自主皮质醇分泌,还可以缓解双侧PA。因此,术后PA评估具有重要意义。
本文章由计算机程序翻译,如有差异,请以英文原文为准。

Unexpected Remission of Bilateral Hyperaldosteronism After Unilateral Cortisol-Producing Adenoma Resection: A Report of Two Cases.

Unexpected Remission of Bilateral Hyperaldosteronism After Unilateral Cortisol-Producing Adenoma Resection: A Report of Two Cases.

Unexpected Remission of Bilateral Hyperaldosteronism After Unilateral Cortisol-Producing Adenoma Resection: A Report of Two Cases.

Unexpected Remission of Bilateral Hyperaldosteronism After Unilateral Cortisol-Producing Adenoma Resection: A Report of Two Cases.

Primary aldosteronism (PA) is the most frequent cause of secondary hypertension. PA is primarily categorized into two subtypes: The unilateral subtype, which mainly consists of aldosterone-producing adenoma (APA) and the bilateral subtype, in which aldosterone is overproduced by both adrenal glands. Rarely, does the bilateral form of PA coexists with a cortisol-producing adenoma (CPA), as documented by previous reports. In this context, we present two cases wherein the preoperative diagnosis identified the bilateral form of PA accompanied by a unilateral CPA. However, postresection of the CPA, unexpected resolution of the bilateral form of PA was observed in both patients. Case 1:A 57-year-old female presented with overt Cushing's syndrome attributed to a left adrenal tumor and concomitant bilateral PA. Laparoscopic left adrenalectomy was performed for the treatment of Cushing's syndrome. Case 2:A 67-year-old female diagnosed with a left adrenal tumor with coexisting bilateral PA. The left adrenal tumor exhibited mild autonomous cortisol secretion (MACS) and given the increase in tumor size, laparoscopic left adrenalectomy was undertaken. After 1 year of surgery, we conducted a captopril challenge test (CCT) on both patients, revealing that neither satisfied the diagnostic criteria for PA. In patients where unilateral CPA coexisted with bilateral PA, unilateral adrenalectomy may provide remission of not only the autonomous cortisol secretion but also bilateral PA. Consequently, postoperative evaluation of PA assumes significance.

求助全文
通过发布文献求助,成功后即可免费获取论文全文。 去求助
来源期刊
Case Reports in Endocrinology
Case Reports in Endocrinology ENDOCRINOLOGY & METABOLISM-
CiteScore
2.10
自引率
0.00%
发文量
45
审稿时长
13 weeks
×
引用
GB/T 7714-2015
复制
MLA
复制
APA
复制
导出至
BibTeX EndNote RefMan NoteFirst NoteExpress
×
提示
您的信息不完整,为了账户安全,请先补充。
现在去补充
×
提示
您因"违规操作"
具体请查看互助需知
我知道了
×
提示
确定
请完成安全验证×
copy
已复制链接
快去分享给好友吧!
我知道了
右上角分享
点击右上角分享
0
联系我们:info@booksci.cn Book学术提供免费学术资源搜索服务,方便国内外学者检索中英文文献。致力于提供最便捷和优质的服务体验。 Copyright © 2023 布克学术 All rights reserved.
京ICP备2023020795号-1
ghs 京公网安备 11010802042870号
Book学术文献互助
Book学术文献互助群
群 号:604180095
Book学术官方微信