甲状旁腺功能亢进-下颌肿瘤综合征与CDC73基因致病变异和下颌骨非骨化性纤维组织瘤相关。

IF 0.9 Q4 ENDOCRINOLOGY & METABOLISM
Case Reports in Endocrinology Pub Date : 2025-06-18 eCollection Date: 2025-01-01 DOI:10.1155/crie/4340464
Castellano Elena, Craparo Andrea, Fabrizia Di Giovanni, Linari Alessandra, Fortunato Mirella, Maffè Antonella
{"title":"甲状旁腺功能亢进-下颌肿瘤综合征与CDC73基因致病变异和下颌骨非骨化性纤维组织瘤相关。","authors":"Castellano Elena, Craparo Andrea, Fabrizia Di Giovanni, Linari Alessandra, Fortunato Mirella, Maffè Antonella","doi":"10.1155/crie/4340464","DOIUrl":null,"url":null,"abstract":"<p><p>Most cases of primary hyperparathyroidism (PHPT) are sporadic and are caused by parathyroid adenomas. Hereditary forms may occur in up to 10% of PHPT patients and are more frequent in younger patients. The hyperparathyroidism-jaw tumor (HPT-JT) syndrome is characterized by PHPT in up to 95% of patients and ossifying fibromas in the jaw in 25%-50%. We describe the case of a 35-year-old male from Bangladesh referred to our hospital due to a voluminous right mandibular swelling: a rare nonossifying fibroma of the mandible was diagnosed. Due to functional impotence, a left shoulder magnetic resonance imaging (MRI) was performed with evidence of a pluri-lobulated cyst-like lesion in the proximal humeral area diagnosed as a brown tumor (BT). Subsequent tests highlighted hypercalcemia and hypophosphatemia with high PTH levels. A heterozygous CDC73 pathogenic variant c.96>A p.Trp32Ter was identified. To the best of our knowledge, this is the first reported case of HPT-JT syndrome related to a CDC73 pathogenic variant, associated to a BT of the arm and a rare nonossifying fibroma of the mandible.</p>","PeriodicalId":9621,"journal":{"name":"Case Reports in Endocrinology","volume":"2025 ","pages":"4340464"},"PeriodicalIF":0.9000,"publicationDate":"2025-06-18","publicationTypes":"Journal Article","fieldsOfStudy":null,"isOpenAccess":false,"openAccessPdf":"https://www.ncbi.nlm.nih.gov/pmc/articles/PMC12197466/pdf/","citationCount":"0","resultStr":"{\"title\":\"Hyperparathyroidism-Jaw Tumor Syndrome Associated to a CDC73 Gene Pathogenic VARIANT and a Nonossifying Desmoplastic Fibroma of the Mandible.\",\"authors\":\"Castellano Elena, Craparo Andrea, Fabrizia Di Giovanni, Linari Alessandra, Fortunato Mirella, Maffè Antonella\",\"doi\":\"10.1155/crie/4340464\",\"DOIUrl\":null,\"url\":null,\"abstract\":\"<p><p>Most cases of primary hyperparathyroidism (PHPT) are sporadic and are caused by parathyroid adenomas. Hereditary forms may occur in up to 10% of PHPT patients and are more frequent in younger patients. The hyperparathyroidism-jaw tumor (HPT-JT) syndrome is characterized by PHPT in up to 95% of patients and ossifying fibromas in the jaw in 25%-50%. We describe the case of a 35-year-old male from Bangladesh referred to our hospital due to a voluminous right mandibular swelling: a rare nonossifying fibroma of the mandible was diagnosed. Due to functional impotence, a left shoulder magnetic resonance imaging (MRI) was performed with evidence of a pluri-lobulated cyst-like lesion in the proximal humeral area diagnosed as a brown tumor (BT). Subsequent tests highlighted hypercalcemia and hypophosphatemia with high PTH levels. A heterozygous CDC73 pathogenic variant c.96>A p.Trp32Ter was identified. To the best of our knowledge, this is the first reported case of HPT-JT syndrome related to a CDC73 pathogenic variant, associated to a BT of the arm and a rare nonossifying fibroma of the mandible.</p>\",\"PeriodicalId\":9621,\"journal\":{\"name\":\"Case Reports in Endocrinology\",\"volume\":\"2025 \",\"pages\":\"4340464\"},\"PeriodicalIF\":0.9000,\"publicationDate\":\"2025-06-18\",\"publicationTypes\":\"Journal Article\",\"fieldsOfStudy\":null,\"isOpenAccess\":false,\"openAccessPdf\":\"https://www.ncbi.nlm.nih.gov/pmc/articles/PMC12197466/pdf/\",\"citationCount\":\"0\",\"resultStr\":null,\"platform\":\"Semanticscholar\",\"paperid\":null,\"PeriodicalName\":\"Case Reports in Endocrinology\",\"FirstCategoryId\":\"1085\",\"ListUrlMain\":\"https://doi.org/10.1155/crie/4340464\",\"RegionNum\":0,\"RegionCategory\":null,\"ArticlePicture\":[],\"TitleCN\":null,\"AbstractTextCN\":null,\"PMCID\":null,\"EPubDate\":\"2025/1/1 0:00:00\",\"PubModel\":\"eCollection\",\"JCR\":\"Q4\",\"JCRName\":\"ENDOCRINOLOGY & METABOLISM\",\"Score\":null,\"Total\":0}","platform":"Semanticscholar","paperid":null,"PeriodicalName":"Case Reports in Endocrinology","FirstCategoryId":"1085","ListUrlMain":"https://doi.org/10.1155/crie/4340464","RegionNum":0,"RegionCategory":null,"ArticlePicture":[],"TitleCN":null,"AbstractTextCN":null,"PMCID":null,"EPubDate":"2025/1/1 0:00:00","PubModel":"eCollection","JCR":"Q4","JCRName":"ENDOCRINOLOGY & METABOLISM","Score":null,"Total":0}
引用次数: 0

摘要

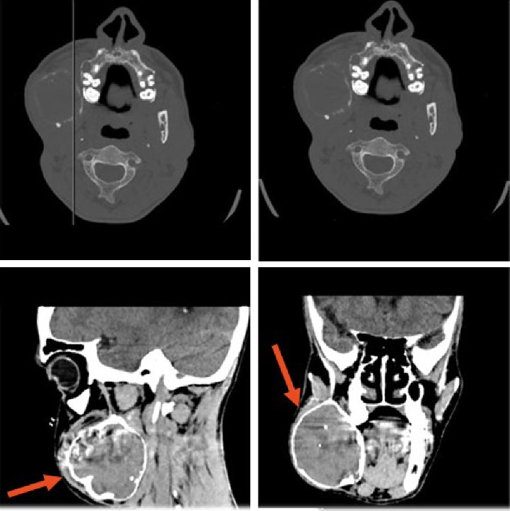
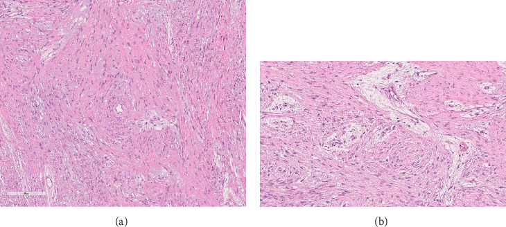
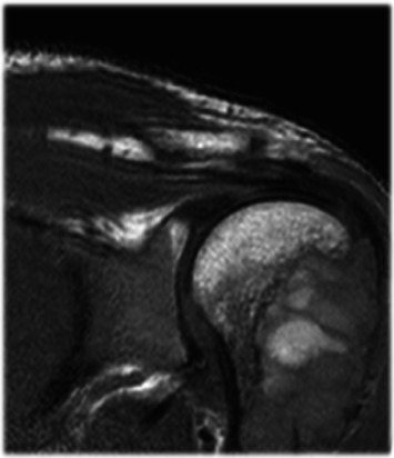
大多数原发性甲状旁腺功能亢进(PHPT)是散发性的,由甲状旁腺瘤引起。遗传性形式可能发生在高达10%的PHPT患者中,更常见于年轻患者。甲状旁腺功能亢进-下颌肿瘤(HPT-JT)综合征的特征是高达95%的患者有PHPT, 25%-50%的患者有颌骨骨化纤维瘤。我们描述的情况下,35岁的男性从孟加拉国转介到我们医院,由于一个巨大的右下颌骨肿胀:一个罕见的非骨化纤维瘤下颌骨被诊断。由于功能性阳痿,左肩磁共振成像(MRI)显示肱骨近端多分叶囊肿样病变,诊断为棕色肿瘤(BT)。随后的测试突出高钙血症和低磷血症与高甲状旁腺激素水平。鉴定出CDC73的杂合致病变异c96 >a p.Trp32Ter。据我们所知,这是第一例与CDC73致病变异相关的HPT-JT综合征,与手臂的BT和罕见的下颌骨非骨化纤维瘤相关。
本文章由计算机程序翻译,如有差异,请以英文原文为准。

Hyperparathyroidism-Jaw Tumor Syndrome Associated to a CDC73 Gene Pathogenic VARIANT and a Nonossifying Desmoplastic Fibroma of the Mandible.

Hyperparathyroidism-Jaw Tumor Syndrome Associated to a CDC73 Gene Pathogenic VARIANT and a Nonossifying Desmoplastic Fibroma of the Mandible.

Hyperparathyroidism-Jaw Tumor Syndrome Associated to a CDC73 Gene Pathogenic VARIANT and a Nonossifying Desmoplastic Fibroma of the Mandible.

Hyperparathyroidism-Jaw Tumor Syndrome Associated to a CDC73 Gene Pathogenic VARIANT and a Nonossifying Desmoplastic Fibroma of the Mandible.

Most cases of primary hyperparathyroidism (PHPT) are sporadic and are caused by parathyroid adenomas. Hereditary forms may occur in up to 10% of PHPT patients and are more frequent in younger patients. The hyperparathyroidism-jaw tumor (HPT-JT) syndrome is characterized by PHPT in up to 95% of patients and ossifying fibromas in the jaw in 25%-50%. We describe the case of a 35-year-old male from Bangladesh referred to our hospital due to a voluminous right mandibular swelling: a rare nonossifying fibroma of the mandible was diagnosed. Due to functional impotence, a left shoulder magnetic resonance imaging (MRI) was performed with evidence of a pluri-lobulated cyst-like lesion in the proximal humeral area diagnosed as a brown tumor (BT). Subsequent tests highlighted hypercalcemia and hypophosphatemia with high PTH levels. A heterozygous CDC73 pathogenic variant c.96>A p.Trp32Ter was identified. To the best of our knowledge, this is the first reported case of HPT-JT syndrome related to a CDC73 pathogenic variant, associated to a BT of the arm and a rare nonossifying fibroma of the mandible.

求助全文
通过发布文献求助,成功后即可免费获取论文全文。 去求助
来源期刊
Case Reports in Endocrinology
Case Reports in Endocrinology ENDOCRINOLOGY & METABOLISM-
CiteScore
2.10
自引率
0.00%
发文量
45
审稿时长
13 weeks
×
引用
GB/T 7714-2015
复制
MLA
复制
APA
复制
导出至
BibTeX EndNote RefMan NoteFirst NoteExpress
×
提示
您的信息不完整,为了账户安全,请先补充。
现在去补充
×
提示
您因"违规操作"
具体请查看互助需知
我知道了
×
提示
确定
请完成安全验证×
copy
已复制链接
快去分享给好友吧!
我知道了
右上角分享
点击右上角分享
0
联系我们:info@booksci.cn Book学术提供免费学术资源搜索服务,方便国内外学者检索中英文文献。致力于提供最便捷和优质的服务体验。 Copyright © 2023 布克学术 All rights reserved.
京ICP备2023020795号-1
ghs 京公网安备 11010802042870号
Book学术文献互助
Book学术文献互助群
群 号:604180095
Book学术官方微信