HER2/EGFRvIII/CD44和Claudin 18.2/CD109共同表达作为胃腺癌新的预后指标

IF 2.2 Q3 ONCOLOGY
World Journal of Oncology Pub Date : 2025-06-01 Epub Date: 2025-04-04 DOI:10.14740/wjon2552
Tina Al Janaby, Said Khelwatty, Izhar Bagwan, Nima Abbassi-Ghadi, Helmout Modjtahedi
{"title":"HER2/EGFRvIII/CD44和Claudin 18.2/CD109共同表达作为胃腺癌新的预后指标","authors":"Tina Al Janaby, Said Khelwatty, Izhar Bagwan, Nima Abbassi-Ghadi, Helmout Modjtahedi","doi":"10.14740/wjon2552","DOIUrl":null,"url":null,"abstract":"<p><strong>Background: </strong>The heterogenous expression of human epidermal growth factor receptor (HER) family members may contribute to poor response to current therapies with HER inhibitors in cancer. This study aimed to explore the co-expression and prognostic significance of HER family members with epidermal growth factor receptor variant III (EGFRvIII), cluster of differentiation 44 (CD44), cluster of differentiation 109 (CD109), and claudin 18.2 (CLDN18.2) in patients with stomach cancer.</p><p><strong>Methods: </strong>The relative expression and prognostic significance of these biomarkers at different cut-off values were determined in 78 patients with stomach adenocarcinoma by immunohistochemistry.</p><p><strong>Results: </strong>Of the 78 cases, positive tumor staining was present for wild-type EGFR (13%), HER2 (82%), HER3 (9%), HER4 (33%), EGFRvIII (33%), CD44 (41%), CD109 (60%), and CLDN18.2 (40%). Furthermore, the expression of HER2 was accompanied with the co-expression of EGFR (9%), HER3 (8%), HER4 (27%), EGFRvIII (28%), CD44 (33%), CD109 (49%), and CLDN18.2 (32%). Interestingly, at the cut-off value ≥ 5% of tumor cells with positive staining, the co-expressions of HER2/EGFRvIII, EGFRvIII/CD44, and HER2/EGFRvIII/CD44 were associated with poor overall survival. Moreover, CLDN18.2 immunostaining of intensity of 3+, membranous expression of CD109, the co-expression of CD109/CLDN18.2 and CD109/EGFRvIII/CD44 were also associated with poorer overall survival and a higher risk of poor overall survival. All these remained as independent prognostic factors for survival in multivariate analysis.</p><p><strong>Conclusion: </strong>This study provides first comprehensive analysis of the novel biomarker combinations that are significantly associated with overall survival. Co-expression of HER2 with EGFRvIII, CD44, and CD109, plus membranous CD109 and high-intensity CLDN18.2, independently predicted poor survival in stomach adenocarcinoma, highlighting their potential as prognostic biomarkers. These biomarker combinations may represent potential therapeutic targets for novel combination therapies, and future studies should investigate their predictive value for the response to therapy.</p>","PeriodicalId":46797,"journal":{"name":"World Journal of Oncology","volume":"16 3","pages":"254-268"},"PeriodicalIF":2.2000,"publicationDate":"2025-06-01","publicationTypes":"Journal Article","fieldsOfStudy":null,"isOpenAccess":false,"openAccessPdf":"https://www.ncbi.nlm.nih.gov/pmc/articles/PMC12185126/pdf/","citationCount":"0","resultStr":"{\"title\":\"Co-expression of HER2/EGFRvIII/CD44 and Claudin 18.2/CD109 as Novel Prognostic Indicators in Stomach Adenocarcinoma.\",\"authors\":\"Tina Al Janaby, Said Khelwatty, Izhar Bagwan, Nima Abbassi-Ghadi, Helmout Modjtahedi\",\"doi\":\"10.14740/wjon2552\",\"DOIUrl\":null,\"url\":null,\"abstract\":\"<p><strong>Background: </strong>The heterogenous expression of human epidermal growth factor receptor (HER) family members may contribute to poor response to current therapies with HER inhibitors in cancer. This study aimed to explore the co-expression and prognostic significance of HER family members with epidermal growth factor receptor variant III (EGFRvIII), cluster of differentiation 44 (CD44), cluster of differentiation 109 (CD109), and claudin 18.2 (CLDN18.2) in patients with stomach cancer.</p><p><strong>Methods: </strong>The relative expression and prognostic significance of these biomarkers at different cut-off values were determined in 78 patients with stomach adenocarcinoma by immunohistochemistry.</p><p><strong>Results: </strong>Of the 78 cases, positive tumor staining was present for wild-type EGFR (13%), HER2 (82%), HER3 (9%), HER4 (33%), EGFRvIII (33%), CD44 (41%), CD109 (60%), and CLDN18.2 (40%). Furthermore, the expression of HER2 was accompanied with the co-expression of EGFR (9%), HER3 (8%), HER4 (27%), EGFRvIII (28%), CD44 (33%), CD109 (49%), and CLDN18.2 (32%). Interestingly, at the cut-off value ≥ 5% of tumor cells with positive staining, the co-expressions of HER2/EGFRvIII, EGFRvIII/CD44, and HER2/EGFRvIII/CD44 were associated with poor overall survival. Moreover, CLDN18.2 immunostaining of intensity of 3+, membranous expression of CD109, the co-expression of CD109/CLDN18.2 and CD109/EGFRvIII/CD44 were also associated with poorer overall survival and a higher risk of poor overall survival. All these remained as independent prognostic factors for survival in multivariate analysis.</p><p><strong>Conclusion: </strong>This study provides first comprehensive analysis of the novel biomarker combinations that are significantly associated with overall survival. Co-expression of HER2 with EGFRvIII, CD44, and CD109, plus membranous CD109 and high-intensity CLDN18.2, independently predicted poor survival in stomach adenocarcinoma, highlighting their potential as prognostic biomarkers. These biomarker combinations may represent potential therapeutic targets for novel combination therapies, and future studies should investigate their predictive value for the response to therapy.</p>\",\"PeriodicalId\":46797,\"journal\":{\"name\":\"World Journal of Oncology\",\"volume\":\"16 3\",\"pages\":\"254-268\"},\"PeriodicalIF\":2.2000,\"publicationDate\":\"2025-06-01\",\"publicationTypes\":\"Journal Article\",\"fieldsOfStudy\":null,\"isOpenAccess\":false,\"openAccessPdf\":\"https://www.ncbi.nlm.nih.gov/pmc/articles/PMC12185126/pdf/\",\"citationCount\":\"0\",\"resultStr\":null,\"platform\":\"Semanticscholar\",\"paperid\":null,\"PeriodicalName\":\"World Journal of Oncology\",\"FirstCategoryId\":\"1085\",\"ListUrlMain\":\"https://doi.org/10.14740/wjon2552\",\"RegionNum\":0,\"RegionCategory\":null,\"ArticlePicture\":[],\"TitleCN\":null,\"AbstractTextCN\":null,\"PMCID\":null,\"EPubDate\":\"2025/4/4 0:00:00\",\"PubModel\":\"Epub\",\"JCR\":\"Q3\",\"JCRName\":\"ONCOLOGY\",\"Score\":null,\"Total\":0}","platform":"Semanticscholar","paperid":null,"PeriodicalName":"World Journal of Oncology","FirstCategoryId":"1085","ListUrlMain":"https://doi.org/10.14740/wjon2552","RegionNum":0,"RegionCategory":null,"ArticlePicture":[],"TitleCN":null,"AbstractTextCN":null,"PMCID":null,"EPubDate":"2025/4/4 0:00:00","PubModel":"Epub","JCR":"Q3","JCRName":"ONCOLOGY","Score":null,"Total":0}
引用次数: 0

摘要

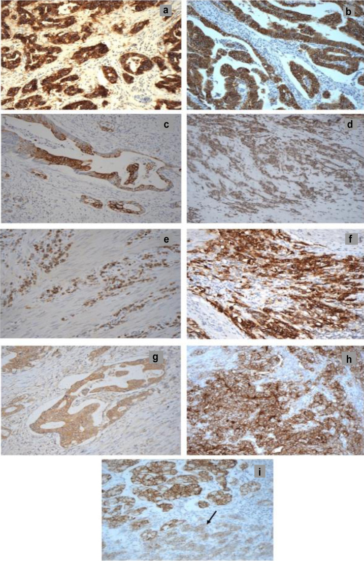
背景:人类表皮生长因子受体(HER)家族成员的异质性表达可能导致目前使用HER抑制剂治疗癌症的反应不佳。本研究旨在探讨HER家族成员表皮生长因子受体变异III (EGFRvIII)、分化簇44 (CD44)、分化簇109 (CD109)和claudin 18.2 (CLDN18.2)在胃癌患者中的共表达及其预后意义。方法:采用免疫组化方法检测78例胃腺癌患者中这些生物标志物在不同临界值下的相对表达及预后意义。结果:78例患者中,野生型EGFR(13%)、HER2(82%)、HER3(9%)、HER4(33%)、EGFRvIII(33%)、CD44(41%)、CD109(60%)和CLDN18.2(40%)的肿瘤染色呈阳性。此外,HER2的表达还伴有EGFR(9%)、HER3(8%)、HER4(27%)、EGFRvIII(28%)、CD44(33%)、CD109(49%)和CLDN18.2(32%)的共表达。有趣的是,在临界值≥5%的肿瘤细胞染色阳性时,HER2/EGFRvIII、EGFRvIII/CD44和HER2/EGFRvIII/CD44的共表达与较差的总生存率相关。此外,CLDN18.2免疫染色强度为3+、CD109的膜性表达、CD109/CLDN18.2和CD109/EGFRvIII/CD44的共表达也与较差的总生存期和较高的总生存期不良风险相关。在多变量分析中,所有这些仍然是独立的预后因素。结论:本研究首次对与总生存率显著相关的新型生物标志物组合进行了全面分析。HER2与EGFRvIII、CD44和CD109,以及膜性CD109和高强度CLDN18.2的共表达,独立预测胃腺癌患者的生存不良,突出了它们作为预后生物标志物的潜力。这些生物标志物组合可能代表了新型联合治疗的潜在治疗靶点,未来的研究应该调查它们对治疗反应的预测价值。
本文章由计算机程序翻译,如有差异,请以英文原文为准。

Co-expression of HER2/EGFRvIII/CD44 and Claudin 18.2/CD109 as Novel Prognostic Indicators in Stomach Adenocarcinoma.

Co-expression of HER2/EGFRvIII/CD44 and Claudin 18.2/CD109 as Novel Prognostic Indicators in Stomach Adenocarcinoma.

Co-expression of HER2/EGFRvIII/CD44 and Claudin 18.2/CD109 as Novel Prognostic Indicators in Stomach Adenocarcinoma.

Co-expression of HER2/EGFRvIII/CD44 and Claudin 18.2/CD109 as Novel Prognostic Indicators in Stomach Adenocarcinoma.

Background: The heterogenous expression of human epidermal growth factor receptor (HER) family members may contribute to poor response to current therapies with HER inhibitors in cancer. This study aimed to explore the co-expression and prognostic significance of HER family members with epidermal growth factor receptor variant III (EGFRvIII), cluster of differentiation 44 (CD44), cluster of differentiation 109 (CD109), and claudin 18.2 (CLDN18.2) in patients with stomach cancer.

Methods: The relative expression and prognostic significance of these biomarkers at different cut-off values were determined in 78 patients with stomach adenocarcinoma by immunohistochemistry.

Results: Of the 78 cases, positive tumor staining was present for wild-type EGFR (13%), HER2 (82%), HER3 (9%), HER4 (33%), EGFRvIII (33%), CD44 (41%), CD109 (60%), and CLDN18.2 (40%). Furthermore, the expression of HER2 was accompanied with the co-expression of EGFR (9%), HER3 (8%), HER4 (27%), EGFRvIII (28%), CD44 (33%), CD109 (49%), and CLDN18.2 (32%). Interestingly, at the cut-off value ≥ 5% of tumor cells with positive staining, the co-expressions of HER2/EGFRvIII, EGFRvIII/CD44, and HER2/EGFRvIII/CD44 were associated with poor overall survival. Moreover, CLDN18.2 immunostaining of intensity of 3+, membranous expression of CD109, the co-expression of CD109/CLDN18.2 and CD109/EGFRvIII/CD44 were also associated with poorer overall survival and a higher risk of poor overall survival. All these remained as independent prognostic factors for survival in multivariate analysis.

Conclusion: This study provides first comprehensive analysis of the novel biomarker combinations that are significantly associated with overall survival. Co-expression of HER2 with EGFRvIII, CD44, and CD109, plus membranous CD109 and high-intensity CLDN18.2, independently predicted poor survival in stomach adenocarcinoma, highlighting their potential as prognostic biomarkers. These biomarker combinations may represent potential therapeutic targets for novel combination therapies, and future studies should investigate their predictive value for the response to therapy.

求助全文
通过发布文献求助,成功后即可免费获取论文全文。 去求助
来源期刊
CiteScore
6.10
自引率
15.40%
发文量
37
期刊介绍: World Journal of Oncology, bimonthly, publishes original contributions describing basic research and clinical investigation of cancer, on the cellular, molecular, prevention, diagnosis, therapy and prognosis aspects. The submissions can be basic research or clinical investigation oriented. This journal welcomes those submissions focused on the clinical trials of new treatment modalities for cancer, and those submissions focused on molecular or cellular research of the oncology pathogenesis. Case reports submitted for consideration of publication should explore either a novel genomic event/description or a new safety signal from an oncolytic agent. The areas of interested manuscripts are these disciplines: tumor immunology and immunotherapy; cancer molecular pharmacology and chemotherapy; drug sensitivity and resistance; cancer epidemiology; clinical trials; cancer pathology; radiobiology and radiation oncology; solid tumor oncology; hematological malignancies; surgical oncology; pediatric oncology; molecular oncology and cancer genes; gene therapy; cancer endocrinology; cancer metastasis; prevention and diagnosis of cancer; other cancer related subjects. The types of manuscripts accepted are original article, review, editorial, short communication, case report, letter to the editor, book review.
×
引用
GB/T 7714-2015
复制
MLA
复制
APA
复制
导出至
BibTeX EndNote RefMan NoteFirst NoteExpress
×
提示
您的信息不完整,为了账户安全,请先补充。
现在去补充
×
提示
您因"违规操作"
具体请查看互助需知
我知道了
×
提示
确定
请完成安全验证×
copy
已复制链接
快去分享给好友吧!
我知道了
右上角分享
点击右上角分享
0
联系我们:info@booksci.cn Book学术提供免费学术资源搜索服务,方便国内外学者检索中英文文献。致力于提供最便捷和优质的服务体验。 Copyright © 2023 布克学术 All rights reserved.
京ICP备2023020795号-1
ghs 京公网安备 11010802042870号
Book学术文献互助
Book学术文献互助群
群 号:604180095
Book学术官方微信