Kv7.4激活剂URO-K10在体内治疗对单苦参碱诱导的肺动脉舒张受损大鼠的影响

IF 2.2 4区 医学 Q3 PHARMACOLOGY & PHARMACY
Seung Beom Oh, Young Keul Jeon, Nari Choi, Hae Young Yoo, Sung Joon Kim
{"title":"Kv7.4激活剂URO-K10在体内治疗对单苦参碱诱导的肺动脉舒张受损大鼠的影响","authors":"Seung Beom Oh, Young Keul Jeon, Nari Choi, Hae Young Yoo, Sung Joon Kim","doi":"10.4196/kjpp.25.122","DOIUrl":null,"url":null,"abstract":"<p><p>Pulmonary arterial hypertension (PAH) is a fatal disease marked by increased pulmonary vascular resistance and right ventricular (RV) failure. Impaired vascular relaxation and vasoconstrictive signaling, including Rho-associated kinase (ROCK2) upregulation and myosin phosphatase target subunit 1 (MYPT1) downregulation, contribute to disease progression. We investigated the therapeutic effects of URO-K10, a novel K<sub>v</sub>7.4 channel activator, in a monocrotaline-induced rat model of PAH (PAH-MCT). In PAH-MCT rats, chronic URO-K10 administration improved body weight gain, and significantly reduced RV hypertrophy. Functional studies revealed enhanced pulmonary artery relaxation, while relaxation after high K+-induced contraction showed only partial recovery. Immunoblot analysis demonstrated that ROCK2 upregulation was reversed by URO-K10, but MYPT1 remained downregulated and MLC2 diphosphorylation persisted. Interestingly, treatment with 8-Br-cGMP restored delayed relaxation and reduced MLC2 phosphorylation in URO-K10-treated PAH-MCT while not in the untreated PAH-MCT rats, suggesting that cGMP supplementation can compensate for the recovery from impaired endogenous signaling by the URO-K10 application. These findings suggest that URO-K10 improves pulmonary hemodynamics and RV remodeling via K<sub>v</sub>7.4 activation and downregulation of ROCK2. However, incomplete recovery of MYPT1 and MLC2 phosphorylation highlights the complexity of contractile regulation in PAH. K<sub>v</sub>7.4 activation represents a promising therapeutic approach but may require combination strategies to fully restore vascular function in PAH.</p>","PeriodicalId":54746,"journal":{"name":"Korean Journal of Physiology & Pharmacology","volume":"29 4","pages":"475-485"},"PeriodicalIF":2.2000,"publicationDate":"2025-07-01","publicationTypes":"Journal Article","fieldsOfStudy":null,"isOpenAccess":false,"openAccessPdf":"https://www.ncbi.nlm.nih.gov/pmc/articles/PMC12198454/pdf/","citationCount":"0","resultStr":"{\"title\":\"Effects of <i>in vivo</i> treatment with K<sub>v</sub>7.4 activator, URO-K10, on the impaired relaxation of pulmonary arteries in the monocrotaline-induced pulmonary hypertensive rats.\",\"authors\":\"Seung Beom Oh, Young Keul Jeon, Nari Choi, Hae Young Yoo, Sung Joon Kim\",\"doi\":\"10.4196/kjpp.25.122\",\"DOIUrl\":null,\"url\":null,\"abstract\":\"<p><p>Pulmonary arterial hypertension (PAH) is a fatal disease marked by increased pulmonary vascular resistance and right ventricular (RV) failure. Impaired vascular relaxation and vasoconstrictive signaling, including Rho-associated kinase (ROCK2) upregulation and myosin phosphatase target subunit 1 (MYPT1) downregulation, contribute to disease progression. We investigated the therapeutic effects of URO-K10, a novel K<sub>v</sub>7.4 channel activator, in a monocrotaline-induced rat model of PAH (PAH-MCT). In PAH-MCT rats, chronic URO-K10 administration improved body weight gain, and significantly reduced RV hypertrophy. Functional studies revealed enhanced pulmonary artery relaxation, while relaxation after high K+-induced contraction showed only partial recovery. Immunoblot analysis demonstrated that ROCK2 upregulation was reversed by URO-K10, but MYPT1 remained downregulated and MLC2 diphosphorylation persisted. Interestingly, treatment with 8-Br-cGMP restored delayed relaxation and reduced MLC2 phosphorylation in URO-K10-treated PAH-MCT while not in the untreated PAH-MCT rats, suggesting that cGMP supplementation can compensate for the recovery from impaired endogenous signaling by the URO-K10 application. These findings suggest that URO-K10 improves pulmonary hemodynamics and RV remodeling via K<sub>v</sub>7.4 activation and downregulation of ROCK2. However, incomplete recovery of MYPT1 and MLC2 phosphorylation highlights the complexity of contractile regulation in PAH. K<sub>v</sub>7.4 activation represents a promising therapeutic approach but may require combination strategies to fully restore vascular function in PAH.</p>\",\"PeriodicalId\":54746,\"journal\":{\"name\":\"Korean Journal of Physiology & Pharmacology\",\"volume\":\"29 4\",\"pages\":\"475-485\"},\"PeriodicalIF\":2.2000,\"publicationDate\":\"2025-07-01\",\"publicationTypes\":\"Journal Article\",\"fieldsOfStudy\":null,\"isOpenAccess\":false,\"openAccessPdf\":\"https://www.ncbi.nlm.nih.gov/pmc/articles/PMC12198454/pdf/\",\"citationCount\":\"0\",\"resultStr\":null,\"platform\":\"Semanticscholar\",\"paperid\":null,\"PeriodicalName\":\"Korean Journal of Physiology & Pharmacology\",\"FirstCategoryId\":\"3\",\"ListUrlMain\":\"https://doi.org/10.4196/kjpp.25.122\",\"RegionNum\":4,\"RegionCategory\":\"医学\",\"ArticlePicture\":[],\"TitleCN\":null,\"AbstractTextCN\":null,\"PMCID\":null,\"EPubDate\":\"\",\"PubModel\":\"\",\"JCR\":\"Q3\",\"JCRName\":\"PHARMACOLOGY & PHARMACY\",\"Score\":null,\"Total\":0}","platform":"Semanticscholar","paperid":null,"PeriodicalName":"Korean Journal of Physiology & Pharmacology","FirstCategoryId":"3","ListUrlMain":"https://doi.org/10.4196/kjpp.25.122","RegionNum":4,"RegionCategory":"医学","ArticlePicture":[],"TitleCN":null,"AbstractTextCN":null,"PMCID":null,"EPubDate":"","PubModel":"","JCR":"Q3","JCRName":"PHARMACOLOGY & PHARMACY","Score":null,"Total":0}
引用次数: 0

摘要

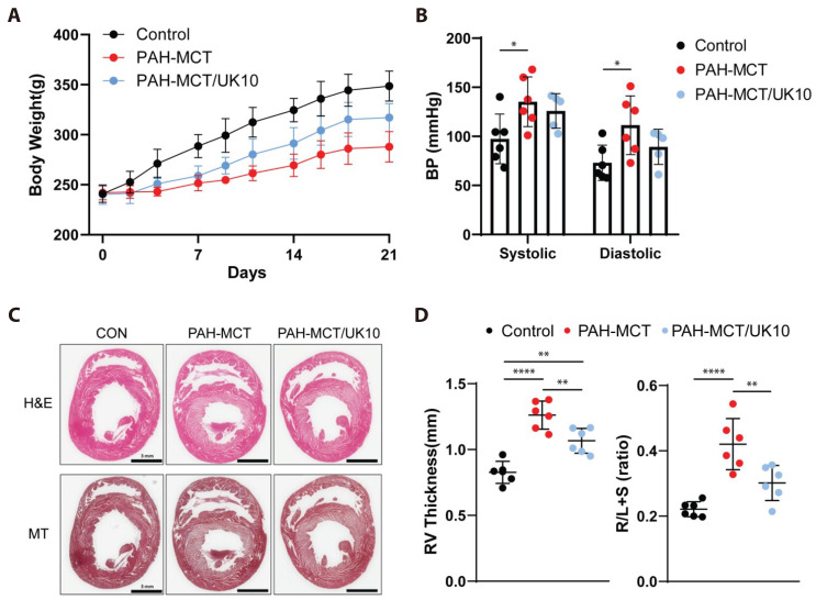
肺动脉高压(PAH)是一种以肺血管阻力增加和右心室(RV)衰竭为特征的致命疾病。受损的血管松弛和血管收缩信号,包括rho相关激酶(ROCK2)上调和肌球蛋白磷酸酶靶亚单位1 (MYPT1)下调,有助于疾病进展。我们研究了一种新型的Kv7.4通道激活剂uroo - k10在单罂粟碱诱导的多环芳烃大鼠模型(PAH- mct)中的治疗作用。在PAH-MCT大鼠中,慢性给药可改善体重增加,并显著减少右心室肥大。功能研究显示肺动脉舒张增强,而高K+诱导收缩后的舒张仅部分恢复。免疫印迹分析显示,ROCK2上调被uroo - k10逆转,但MYPT1仍下调,MLC2二磷酸化持续存在。有趣的是,用8-Br-cGMP治疗后,uroo - k10治疗的PAH-MCT恢复了延迟松弛,并降低了MLC2磷酸化,而在未治疗的PAH-MCT大鼠中则没有,这表明补充cGMP可以通过uroo - k10补偿内源性信号传导受损的恢复。这些结果表明,uroo - k10通过Kv7.4的激活和ROCK2的下调改善肺血流动力学和RV重构。然而,MYPT1和MLC2磷酸化的不完全恢复突出了PAH中收缩调节的复杂性。Kv7.4激活是一种很有前景的治疗方法,但可能需要联合策略才能完全恢复PAH的血管功能。
本文章由计算机程序翻译,如有差异,请以英文原文为准。

Effects of <i>in vivo</i> treatment with K<sub>v</sub>7.4 activator, URO-K10, on the impaired relaxation of pulmonary arteries in the monocrotaline-induced pulmonary hypertensive rats.

Effects of <i>in vivo</i> treatment with K<sub>v</sub>7.4 activator, URO-K10, on the impaired relaxation of pulmonary arteries in the monocrotaline-induced pulmonary hypertensive rats.

Effects of <i>in vivo</i> treatment with K<sub>v</sub>7.4 activator, URO-K10, on the impaired relaxation of pulmonary arteries in the monocrotaline-induced pulmonary hypertensive rats.

Effects of in vivo treatment with Kv7.4 activator, URO-K10, on the impaired relaxation of pulmonary arteries in the monocrotaline-induced pulmonary hypertensive rats.

Pulmonary arterial hypertension (PAH) is a fatal disease marked by increased pulmonary vascular resistance and right ventricular (RV) failure. Impaired vascular relaxation and vasoconstrictive signaling, including Rho-associated kinase (ROCK2) upregulation and myosin phosphatase target subunit 1 (MYPT1) downregulation, contribute to disease progression. We investigated the therapeutic effects of URO-K10, a novel Kv7.4 channel activator, in a monocrotaline-induced rat model of PAH (PAH-MCT). In PAH-MCT rats, chronic URO-K10 administration improved body weight gain, and significantly reduced RV hypertrophy. Functional studies revealed enhanced pulmonary artery relaxation, while relaxation after high K+-induced contraction showed only partial recovery. Immunoblot analysis demonstrated that ROCK2 upregulation was reversed by URO-K10, but MYPT1 remained downregulated and MLC2 diphosphorylation persisted. Interestingly, treatment with 8-Br-cGMP restored delayed relaxation and reduced MLC2 phosphorylation in URO-K10-treated PAH-MCT while not in the untreated PAH-MCT rats, suggesting that cGMP supplementation can compensate for the recovery from impaired endogenous signaling by the URO-K10 application. These findings suggest that URO-K10 improves pulmonary hemodynamics and RV remodeling via Kv7.4 activation and downregulation of ROCK2. However, incomplete recovery of MYPT1 and MLC2 phosphorylation highlights the complexity of contractile regulation in PAH. Kv7.4 activation represents a promising therapeutic approach but may require combination strategies to fully restore vascular function in PAH.

求助全文
通过发布文献求助,成功后即可免费获取论文全文。 去求助
来源期刊
Korean Journal of Physiology & Pharmacology
Korean Journal of Physiology & Pharmacology PHARMACOLOGY & PHARMACY-PHYSIOLOGY
CiteScore
3.20
自引率
5.00%
发文量
53
审稿时长
6-12 weeks
期刊介绍: The Korean Journal of Physiology & Pharmacology (Korean J. Physiol. Pharmacol., KJPP) is the official journal of both the Korean Physiological Society (KPS) and the Korean Society of Pharmacology (KSP). The journal launched in 1997 and is published bi-monthly in English. KJPP publishes original, peer-reviewed, scientific research-based articles that report successful advances in physiology and pharmacology. KJPP welcomes the submission of all original research articles in the field of physiology and pharmacology, especially the new and innovative findings. The scope of researches includes the action mechanism, pharmacological effect, utilization, and interaction of chemicals with biological system as well as the development of new drug targets. Theoretical articles that use computational models for further understanding of the physiological or pharmacological processes are also welcomed. Investigative translational research articles on human disease with an emphasis on physiology or pharmacology are also invited. KJPP does not publish work on the actions of crude biological extracts of either unknown chemical composition (e.g. unpurified and unvalidated) or unknown concentration. Reviews are normally commissioned, but consideration will be given to unsolicited contributions. All papers accepted for publication in KJPP will appear simultaneously in the printed Journal and online.
×
引用
GB/T 7714-2015
复制
MLA
复制
APA
复制
导出至
BibTeX EndNote RefMan NoteFirst NoteExpress
×
提示
您的信息不完整,为了账户安全,请先补充。
现在去补充
×
提示
您因"违规操作"
具体请查看互助需知
我知道了
×
提示
确定
请完成安全验证×
copy
已复制链接
快去分享给好友吧!
我知道了
右上角分享
点击右上角分享
0
联系我们:info@booksci.cn Book学术提供免费学术资源搜索服务,方便国内外学者检索中英文文献。致力于提供最便捷和优质的服务体验。 Copyright © 2023 布克学术 All rights reserved.
京ICP备2023020795号-1
ghs 京公网安备 11010802042870号
Book学术文献互助
Book学术文献互助群
群 号:604180095
Book学术官方微信