围术期膀胱壁纹身辅助机器人切除一例罕见膀胱肿瘤。

IF 1.9 4区 医学 Q2 SURGERY
Videosurgery and Other Miniinvasive Techniques Pub Date : 2025-03-24 eCollection Date: 2025-04-09 DOI:10.20452/wiitm.2025.17932
Michal Balík, Pavel Navráti, Lucie Šmejkalová, Miloš Broďák
{"title":"围术期膀胱壁纹身辅助机器人切除一例罕见膀胱肿瘤。","authors":"Michal Balík, Pavel Navráti, Lucie Šmejkalová, Miloš Broďák","doi":"10.20452/wiitm.2025.17932","DOIUrl":null,"url":null,"abstract":"<p><p>Inflammatory myofibroblastic tumors (IMTs) of the bladder are rare, with a limited number of cases reported in the literature. Complete resection with negative margins is essential to reduce the risk of recurrence, while bladder function preservation is also crucial for the patient. This study describes a 56‑year‑old patient with a bladder dome IMT managed using robot‑assisted partial cystectomy facili‑ tated by perioperative cystoscopic tattooing to precisely demarcate the tumor margins. The procedure began with cystoscopic tattooing of the lesion using Black Eye dye, followed by robotic resection with the da Vinci Xi system. Complete transmural resection and a 2‑layer bladder closure were performed, with preservation of the bladder capacity. The patient experienced minimal blood loss, no intraopera‑ tive complications, and was discharged 2 days after the procedure. Follow‑up examinations, including cystoscopy and computed tomography, confirmed no recurrence 12 months after surgery. Cystoscopic tattooing facilitated clear intraoperative tumor localization, enabling precise resection and minimal bladder wall loss. This approach addressed a key challenge of robotic bladder surgery-lack of tactile feedback-while maintaining functional outcomes. Robot‑assisted partial cystectomy with cystoscopic tattooing represents a promising alternative to maximal transurethral resection, especially in the context of bladder‑sparing trimodal therapy, for patients who are not eligible for or unwilling to undergo radical cystectomy. This technique is particularly relevant given the increasing focus on minimally invasive procedures and advancements in systemic therapy. In the future, this method could be adapted for ureteral robotic surgeries to enhance lesion localization.</p>","PeriodicalId":49361,"journal":{"name":"Videosurgery and Other Miniinvasive Techniques","volume":"20 1","pages":"114-117"},"PeriodicalIF":1.9000,"publicationDate":"2025-03-24","publicationTypes":"Journal Article","fieldsOfStudy":null,"isOpenAccess":false,"openAccessPdf":"https://www.ncbi.nlm.nih.gov/pmc/articles/PMC12177346/pdf/","citationCount":"0","resultStr":"{\"title\":\"Robot‑assisted resection of a rare bladder tumor facilitated by perioperative bladder wall tattooing.\",\"authors\":\"Michal Balík, Pavel Navráti, Lucie Šmejkalová, Miloš Broďák\",\"doi\":\"10.20452/wiitm.2025.17932\",\"DOIUrl\":null,\"url\":null,\"abstract\":\"<p><p>Inflammatory myofibroblastic tumors (IMTs) of the bladder are rare, with a limited number of cases reported in the literature. Complete resection with negative margins is essential to reduce the risk of recurrence, while bladder function preservation is also crucial for the patient. This study describes a 56‑year‑old patient with a bladder dome IMT managed using robot‑assisted partial cystectomy facili‑ tated by perioperative cystoscopic tattooing to precisely demarcate the tumor margins. The procedure began with cystoscopic tattooing of the lesion using Black Eye dye, followed by robotic resection with the da Vinci Xi system. Complete transmural resection and a 2‑layer bladder closure were performed, with preservation of the bladder capacity. The patient experienced minimal blood loss, no intraopera‑ tive complications, and was discharged 2 days after the procedure. Follow‑up examinations, including cystoscopy and computed tomography, confirmed no recurrence 12 months after surgery. Cystoscopic tattooing facilitated clear intraoperative tumor localization, enabling precise resection and minimal bladder wall loss. This approach addressed a key challenge of robotic bladder surgery-lack of tactile feedback-while maintaining functional outcomes. Robot‑assisted partial cystectomy with cystoscopic tattooing represents a promising alternative to maximal transurethral resection, especially in the context of bladder‑sparing trimodal therapy, for patients who are not eligible for or unwilling to undergo radical cystectomy. This technique is particularly relevant given the increasing focus on minimally invasive procedures and advancements in systemic therapy. In the future, this method could be adapted for ureteral robotic surgeries to enhance lesion localization.</p>\",\"PeriodicalId\":49361,\"journal\":{\"name\":\"Videosurgery and Other Miniinvasive Techniques\",\"volume\":\"20 1\",\"pages\":\"114-117\"},\"PeriodicalIF\":1.9000,\"publicationDate\":\"2025-03-24\",\"publicationTypes\":\"Journal Article\",\"fieldsOfStudy\":null,\"isOpenAccess\":false,\"openAccessPdf\":\"https://www.ncbi.nlm.nih.gov/pmc/articles/PMC12177346/pdf/\",\"citationCount\":\"0\",\"resultStr\":null,\"platform\":\"Semanticscholar\",\"paperid\":null,\"PeriodicalName\":\"Videosurgery and Other Miniinvasive Techniques\",\"FirstCategoryId\":\"3\",\"ListUrlMain\":\"https://doi.org/10.20452/wiitm.2025.17932\",\"RegionNum\":4,\"RegionCategory\":\"医学\",\"ArticlePicture\":[],\"TitleCN\":null,\"AbstractTextCN\":null,\"PMCID\":null,\"EPubDate\":\"2025/4/9 0:00:00\",\"PubModel\":\"eCollection\",\"JCR\":\"Q2\",\"JCRName\":\"SURGERY\",\"Score\":null,\"Total\":0}","platform":"Semanticscholar","paperid":null,"PeriodicalName":"Videosurgery and Other Miniinvasive Techniques","FirstCategoryId":"3","ListUrlMain":"https://doi.org/10.20452/wiitm.2025.17932","RegionNum":4,"RegionCategory":"医学","ArticlePicture":[],"TitleCN":null,"AbstractTextCN":null,"PMCID":null,"EPubDate":"2025/4/9 0:00:00","PubModel":"eCollection","JCR":"Q2","JCRName":"SURGERY","Score":null,"Total":0}
引用次数: 0

摘要

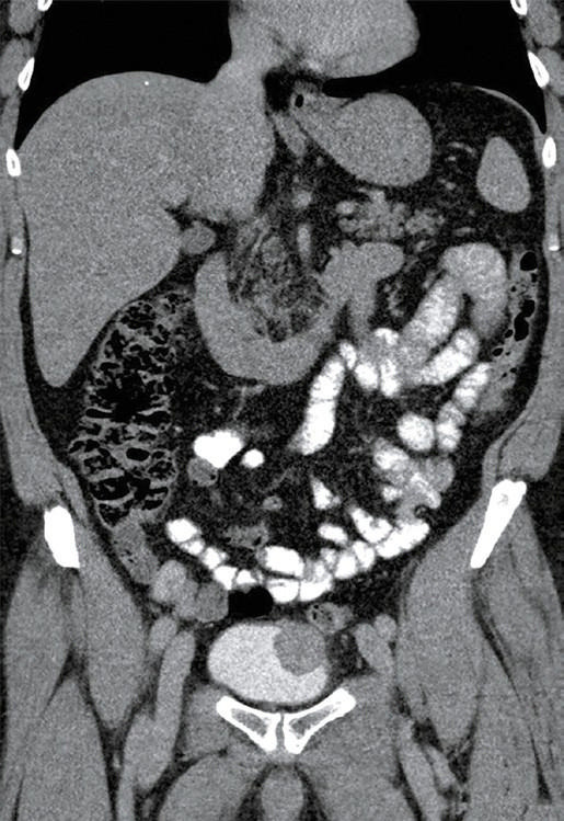
膀胱炎症性肌纤维母细胞瘤(IMTs)是罕见的,文献报道的病例数量有限。完全切除阴性切缘对于降低复发风险至关重要,同时保留膀胱功能对患者也至关重要。本研究描述了一名56岁的膀胱穹窿IMT患者,采用机器人辅助部分膀胱切除术,并辅以围手术期膀胱镜纹身来精确划定肿瘤边缘。手术首先使用黑眼染料在病变部位进行膀胱镜纹身,然后使用达芬奇Xi系统进行机器人切除。在保留膀胱容量的情况下,进行了完全的经壁切除和2层膀胱闭合。患者失血极少,术中无并发症,术后2天出院。随访检查,包括膀胱镜检查和计算机断层扫描,证实术后12个月无复发。膀胱镜纹身有助于术中肿瘤的明确定位,实现精确的切除和最小的膀胱壁损失。这种方法解决了机器人膀胱手术的一个关键挑战——在保持功能结果的同时缺乏触觉反馈。机器人辅助部分膀胱切除术与膀胱镜纹身是最大经尿道切除的一个有希望的替代方案,特别是在保留膀胱的三模治疗的背景下,对于那些不符合条件或不愿接受根治性膀胱切除术的患者。考虑到越来越多的人关注微创手术和全身治疗的进步,这项技术尤其重要。在未来,这种方法可以适用于输尿管机器人手术,以提高病灶定位。
本文章由计算机程序翻译,如有差异,请以英文原文为准。

Robot‑assisted resection of a rare bladder tumor facilitated by perioperative bladder wall tattooing.

Robot‑assisted resection of a rare bladder tumor facilitated by perioperative bladder wall tattooing.

Robot‑assisted resection of a rare bladder tumor facilitated by perioperative bladder wall tattooing.

Robot‑assisted resection of a rare bladder tumor facilitated by perioperative bladder wall tattooing.

Inflammatory myofibroblastic tumors (IMTs) of the bladder are rare, with a limited number of cases reported in the literature. Complete resection with negative margins is essential to reduce the risk of recurrence, while bladder function preservation is also crucial for the patient. This study describes a 56‑year‑old patient with a bladder dome IMT managed using robot‑assisted partial cystectomy facili‑ tated by perioperative cystoscopic tattooing to precisely demarcate the tumor margins. The procedure began with cystoscopic tattooing of the lesion using Black Eye dye, followed by robotic resection with the da Vinci Xi system. Complete transmural resection and a 2‑layer bladder closure were performed, with preservation of the bladder capacity. The patient experienced minimal blood loss, no intraopera‑ tive complications, and was discharged 2 days after the procedure. Follow‑up examinations, including cystoscopy and computed tomography, confirmed no recurrence 12 months after surgery. Cystoscopic tattooing facilitated clear intraoperative tumor localization, enabling precise resection and minimal bladder wall loss. This approach addressed a key challenge of robotic bladder surgery-lack of tactile feedback-while maintaining functional outcomes. Robot‑assisted partial cystectomy with cystoscopic tattooing represents a promising alternative to maximal transurethral resection, especially in the context of bladder‑sparing trimodal therapy, for patients who are not eligible for or unwilling to undergo radical cystectomy. This technique is particularly relevant given the increasing focus on minimally invasive procedures and advancements in systemic therapy. In the future, this method could be adapted for ureteral robotic surgeries to enhance lesion localization.

求助全文
通过发布文献求助,成功后即可免费获取论文全文。 去求助
来源期刊
CiteScore
2.80
自引率
23.50%
发文量
48
审稿时长
12 weeks
期刊介绍: Videosurgery and other miniinvasive techniques serves as a forum for exchange of multidisciplinary experiences in fields such as: surgery, gynaecology, urology, gastroenterology, neurosurgery, ENT surgery, cardiac surgery, anaesthesiology and radiology, as well as other branches of medicine dealing with miniinvasive techniques.
×
引用
GB/T 7714-2015
复制
MLA
复制
APA
复制
导出至
BibTeX EndNote RefMan NoteFirst NoteExpress
×
提示
您的信息不完整,为了账户安全,请先补充。
现在去补充
×
提示
您因"违规操作"
具体请查看互助需知
我知道了
×
提示
确定
请完成安全验证×
copy
已复制链接
快去分享给好友吧!
我知道了
右上角分享
点击右上角分享
0
联系我们:info@booksci.cn Book学术提供免费学术资源搜索服务,方便国内外学者检索中英文文献。致力于提供最便捷和优质的服务体验。 Copyright © 2023 布克学术 All rights reserved.
京ICP备2023020795号-1
ghs 京公网安备 11010802042870号
Book学术文献互助
Book学术文献互助群
群 号:604180095
Book学术官方微信