光动力联合多模式治疗的超低局部晚期直肠癌患者成功保存括约肌和长期生存:1例报告和文献复习

IF 4.2 2区 医学 Q2 ONCOLOGY
Therapeutic Advances in Medical Oncology Pub Date : 2025-06-19 eCollection Date: 2025-01-01 DOI:10.1177/17588359251345927
Dan Zou, Baohong Gu, Yifan Li, Ying Yan, Huanhuan Ma, Kai Wang, Weiyi Chen, Bofang Wang, Hao Chen
{"title":"光动力联合多模式治疗的超低局部晚期直肠癌患者成功保存括约肌和长期生存:1例报告和文献复习","authors":"Dan Zou, Baohong Gu, Yifan Li, Ying Yan, Huanhuan Ma, Kai Wang, Weiyi Chen, Bofang Wang, Hao Chen","doi":"10.1177/17588359251345927","DOIUrl":null,"url":null,"abstract":"<p><p>Ultra-low locally advanced rectal cancer presents significant challenges for sphincter-preserving surgery due to its anatomical constraints and limited response to conventional neoadjuvant therapies. This case report describes a patient diagnosed with stage IIIb (cT3N2M0) ultra-low rectal cancer who had a strong preference for sphincter preservation. Given the suboptimal efficacy of standard treatments in achieving sufficient tumor downstaging, a comprehensive 6-month neoadjuvant regimen was implemented, combining photodynamic therapy (PDT), chemotherapy, targeted therapy, and immunotherapy. PDT selectively induced tumor necrosis, disrupted the tumor vasculature, enhanced therapeutic agent penetration, and transformed the tumor microenvironment into an immune-responsive state. This multimodal approach resulted in significant tumor regression, facilitating sphincter-preserving radical resection. Postoperative pathological examination confirmed a pathological complete response, and the patient remains disease-free, with a progression-free survival exceeding 48 months. This case highlights the potential of a multimodal treatment approach, combining PDT with systemic therapies, to enhance tumor downstaging, potentiate the efficacy of immunotherapy, and improve sphincter preservation rates in ultra-low locally advanced rectal cancer. This integrated strategy offers a promising approach for optimizing clinical outcomes in these challenging cases.</p>","PeriodicalId":23053,"journal":{"name":"Therapeutic Advances in Medical Oncology","volume":"17 ","pages":"17588359251345927"},"PeriodicalIF":4.2000,"publicationDate":"2025-06-19","publicationTypes":"Journal Article","fieldsOfStudy":null,"isOpenAccess":false,"openAccessPdf":"https://www.ncbi.nlm.nih.gov/pmc/articles/PMC12179481/pdf/","citationCount":"0","resultStr":"{\"title\":\"Successful sphincter preservation and long-term survival in a patient with ultra-low locally advanced rectal cancer treated with photodynamic therapy combined with multimodal treatment: a case report and literature review.\",\"authors\":\"Dan Zou, Baohong Gu, Yifan Li, Ying Yan, Huanhuan Ma, Kai Wang, Weiyi Chen, Bofang Wang, Hao Chen\",\"doi\":\"10.1177/17588359251345927\",\"DOIUrl\":null,\"url\":null,\"abstract\":\"<p><p>Ultra-low locally advanced rectal cancer presents significant challenges for sphincter-preserving surgery due to its anatomical constraints and limited response to conventional neoadjuvant therapies. This case report describes a patient diagnosed with stage IIIb (cT3N2M0) ultra-low rectal cancer who had a strong preference for sphincter preservation. Given the suboptimal efficacy of standard treatments in achieving sufficient tumor downstaging, a comprehensive 6-month neoadjuvant regimen was implemented, combining photodynamic therapy (PDT), chemotherapy, targeted therapy, and immunotherapy. PDT selectively induced tumor necrosis, disrupted the tumor vasculature, enhanced therapeutic agent penetration, and transformed the tumor microenvironment into an immune-responsive state. This multimodal approach resulted in significant tumor regression, facilitating sphincter-preserving radical resection. Postoperative pathological examination confirmed a pathological complete response, and the patient remains disease-free, with a progression-free survival exceeding 48 months. This case highlights the potential of a multimodal treatment approach, combining PDT with systemic therapies, to enhance tumor downstaging, potentiate the efficacy of immunotherapy, and improve sphincter preservation rates in ultra-low locally advanced rectal cancer. This integrated strategy offers a promising approach for optimizing clinical outcomes in these challenging cases.</p>\",\"PeriodicalId\":23053,\"journal\":{\"name\":\"Therapeutic Advances in Medical Oncology\",\"volume\":\"17 \",\"pages\":\"17588359251345927\"},\"PeriodicalIF\":4.2000,\"publicationDate\":\"2025-06-19\",\"publicationTypes\":\"Journal Article\",\"fieldsOfStudy\":null,\"isOpenAccess\":false,\"openAccessPdf\":\"https://www.ncbi.nlm.nih.gov/pmc/articles/PMC12179481/pdf/\",\"citationCount\":\"0\",\"resultStr\":null,\"platform\":\"Semanticscholar\",\"paperid\":null,\"PeriodicalName\":\"Therapeutic Advances in Medical Oncology\",\"FirstCategoryId\":\"3\",\"ListUrlMain\":\"https://doi.org/10.1177/17588359251345927\",\"RegionNum\":2,\"RegionCategory\":\"医学\",\"ArticlePicture\":[],\"TitleCN\":null,\"AbstractTextCN\":null,\"PMCID\":null,\"EPubDate\":\"2025/1/1 0:00:00\",\"PubModel\":\"eCollection\",\"JCR\":\"Q2\",\"JCRName\":\"ONCOLOGY\",\"Score\":null,\"Total\":0}","platform":"Semanticscholar","paperid":null,"PeriodicalName":"Therapeutic Advances in Medical Oncology","FirstCategoryId":"3","ListUrlMain":"https://doi.org/10.1177/17588359251345927","RegionNum":2,"RegionCategory":"医学","ArticlePicture":[],"TitleCN":null,"AbstractTextCN":null,"PMCID":null,"EPubDate":"2025/1/1 0:00:00","PubModel":"eCollection","JCR":"Q2","JCRName":"ONCOLOGY","Score":null,"Total":0}
引用次数: 0

摘要

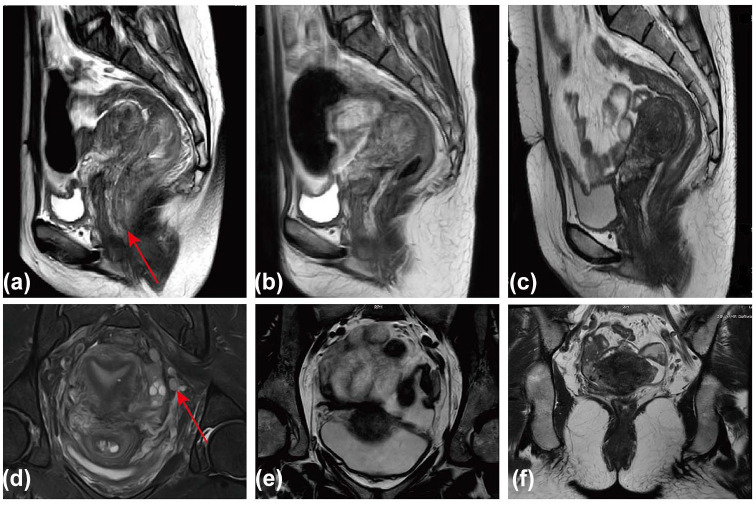
超低局部晚期直肠癌由于其解剖学上的限制和对传统新辅助治疗的有限反应,对保留括约肌手术提出了重大挑战。本病例报告描述了一位诊断为IIIb期(cT3N2M0)超低位直肠癌的患者,他强烈倾向于保留括约肌。考虑到标准治疗在实现肿瘤充分降期方面的效果欠佳,我们实施了一项为期6个月的综合新辅助治疗方案,包括光动力治疗(PDT)、化疗、靶向治疗和免疫治疗。PDT选择性诱导肿瘤坏死,破坏肿瘤血管,增强治疗剂渗透,将肿瘤微环境转化为免疫应答状态。这种多模式入路导致肿瘤明显消退,有利于保留括约肌的根治性切除。术后病理检查证实病理完全缓解,患者无疾病,无进展生存期超过48个月。该病例强调了多模式治疗方法的潜力,将PDT与全身治疗相结合,可以增强肿瘤分期,增强免疫治疗的疗效,并提高超低局部晚期直肠癌的括约肌保存率。这种综合策略为优化这些具有挑战性的病例的临床结果提供了一种有希望的方法。
本文章由计算机程序翻译,如有差异,请以英文原文为准。

Successful sphincter preservation and long-term survival in a patient with ultra-low locally advanced rectal cancer treated with photodynamic therapy combined with multimodal treatment: a case report and literature review.

Successful sphincter preservation and long-term survival in a patient with ultra-low locally advanced rectal cancer treated with photodynamic therapy combined with multimodal treatment: a case report and literature review.

Successful sphincter preservation and long-term survival in a patient with ultra-low locally advanced rectal cancer treated with photodynamic therapy combined with multimodal treatment: a case report and literature review.

Successful sphincter preservation and long-term survival in a patient with ultra-low locally advanced rectal cancer treated with photodynamic therapy combined with multimodal treatment: a case report and literature review.

Ultra-low locally advanced rectal cancer presents significant challenges for sphincter-preserving surgery due to its anatomical constraints and limited response to conventional neoadjuvant therapies. This case report describes a patient diagnosed with stage IIIb (cT3N2M0) ultra-low rectal cancer who had a strong preference for sphincter preservation. Given the suboptimal efficacy of standard treatments in achieving sufficient tumor downstaging, a comprehensive 6-month neoadjuvant regimen was implemented, combining photodynamic therapy (PDT), chemotherapy, targeted therapy, and immunotherapy. PDT selectively induced tumor necrosis, disrupted the tumor vasculature, enhanced therapeutic agent penetration, and transformed the tumor microenvironment into an immune-responsive state. This multimodal approach resulted in significant tumor regression, facilitating sphincter-preserving radical resection. Postoperative pathological examination confirmed a pathological complete response, and the patient remains disease-free, with a progression-free survival exceeding 48 months. This case highlights the potential of a multimodal treatment approach, combining PDT with systemic therapies, to enhance tumor downstaging, potentiate the efficacy of immunotherapy, and improve sphincter preservation rates in ultra-low locally advanced rectal cancer. This integrated strategy offers a promising approach for optimizing clinical outcomes in these challenging cases.

求助全文
通过发布文献求助,成功后即可免费获取论文全文。 去求助
来源期刊
CiteScore
8.20
自引率
2.00%
发文量
160
审稿时长
15 weeks
期刊介绍: Therapeutic Advances in Medical Oncology is an open access, peer-reviewed journal delivering the highest quality articles, reviews, and scholarly comment on pioneering efforts and innovative studies in the medical treatment of cancer. The journal has a strong clinical and pharmacological focus and is aimed at clinicians and researchers in medical oncology, providing a forum in print and online for publishing the highest quality articles in this area. This journal is a member of the Committee on Publication Ethics (COPE).
×
引用
GB/T 7714-2015
复制
MLA
复制
APA
复制
导出至
BibTeX EndNote RefMan NoteFirst NoteExpress
×
提示
您的信息不完整,为了账户安全,请先补充。
现在去补充
×
提示
您因"违规操作"
具体请查看互助需知
我知道了
×
提示
确定
请完成安全验证×
copy
已复制链接
快去分享给好友吧!
我知道了
右上角分享
点击右上角分享
0
联系我们:info@booksci.cn Book学术提供免费学术资源搜索服务,方便国内外学者检索中英文文献。致力于提供最便捷和优质的服务体验。 Copyright © 2023 布克学术 All rights reserved.
京ICP备2023020795号-1
ghs 京公网安备 11010802042870号
Book学术文献互助
Book学术文献互助群
群 号:604180095
Book学术官方微信