潜在的非功能性甲状旁腺癌的高恶性:一个病例系列研究。

IF 1.6 3区 医学 Q3 SURGERY
Gland surgery Pub Date : 2025-05-30 Epub Date: 2025-05-27 DOI:10.21037/gs-2025-187
Zhiyong Yu, Jie Zhou, Xiaojun Xie, Xuan Li, Marie-Laure Matthey Gié, Michael Bouvet, Marti Manyalich-Blasi, Yijun Wu
{"title":"潜在的非功能性甲状旁腺癌的高恶性:一个病例系列研究。","authors":"Zhiyong Yu, Jie Zhou, Xiaojun Xie, Xuan Li, Marie-Laure Matthey Gié, Michael Bouvet, Marti Manyalich-Blasi, Yijun Wu","doi":"10.21037/gs-2025-187","DOIUrl":null,"url":null,"abstract":"<p><strong>Background: </strong>Parathyroid carcinoma is a rare endocrine malignancy. The majority of cases are functional parathyroid carcinoma, while a very small percentage are nonfunctional parathyroid carcinoma. The prognosis for patients with nonfunctional parathyroid carcinoma is generally poorer than that for those with functional parathyroid carcinoma. This is typically due to the insidious nature of nonfunctional parathyroid carcinoma, which often results in late detection and diagnosis.</p><p><strong>Case description: </strong>Between May 2011 and November 2022, the First Affiliated Hospital of Zhejiang University conducted surgical treatment on six patients diagnosed with parathyroid carcinoma. Of these, two were male and four were female, with ages spanning from 53 to 83 years. The tumors were situated on the right neck in two cases and on the left neck in four cases. The smallest tumor measured 2.5 cm in diameter, whereas the largest measured 11.4 cm. Two cases were exceptionally rare nonfunctional parathyroid carcinomas, and four were functional parathyroid carcinomas. All six patients underwent surgery. Pathological types comprised the chief-cell type in two cases, the mixed-cell type in two cases, the oxyphil-cell type in one case, and the clear-cell type in one case. The follow-up duration ranged from 1 to 151 months. Five patients remained alive, while one patient died. Both patients with nonfunctional parathyroid carcinoma experienced recurrence and metastasis, with Ki-67 levels of 30% and 20%, respectively. In contrast, none of the four patients with functional parathyroid carcinoma recurred, with one case having a Ki-67 level of 20% and three cases with a Ki-67 level of 5%.</p><p><strong>Conclusions: </strong>The poor prognosis of patients with nonfunctional parathyroid carcinoma may reflect biological behavior and a potentially higher malignant potential. The Ki-67 level is positively correlated with the malignant potential of parathyroid carcinoma. These speculations still need to be validated through large-scale clinical studies.</p>","PeriodicalId":12760,"journal":{"name":"Gland surgery","volume":"14 5","pages":"947-957"},"PeriodicalIF":1.6000,"publicationDate":"2025-05-30","publicationTypes":"Journal Article","fieldsOfStudy":null,"isOpenAccess":false,"openAccessPdf":"https://www.ncbi.nlm.nih.gov/pmc/articles/PMC12177534/pdf/","citationCount":"0","resultStr":"{\"title\":\"Potential higher malignancy of nonfunctional parathyroid carcinoma: a case series study.\",\"authors\":\"Zhiyong Yu, Jie Zhou, Xiaojun Xie, Xuan Li, Marie-Laure Matthey Gié, Michael Bouvet, Marti Manyalich-Blasi, Yijun Wu\",\"doi\":\"10.21037/gs-2025-187\",\"DOIUrl\":null,\"url\":null,\"abstract\":\"<p><strong>Background: </strong>Parathyroid carcinoma is a rare endocrine malignancy. The majority of cases are functional parathyroid carcinoma, while a very small percentage are nonfunctional parathyroid carcinoma. The prognosis for patients with nonfunctional parathyroid carcinoma is generally poorer than that for those with functional parathyroid carcinoma. This is typically due to the insidious nature of nonfunctional parathyroid carcinoma, which often results in late detection and diagnosis.</p><p><strong>Case description: </strong>Between May 2011 and November 2022, the First Affiliated Hospital of Zhejiang University conducted surgical treatment on six patients diagnosed with parathyroid carcinoma. Of these, two were male and four were female, with ages spanning from 53 to 83 years. The tumors were situated on the right neck in two cases and on the left neck in four cases. The smallest tumor measured 2.5 cm in diameter, whereas the largest measured 11.4 cm. Two cases were exceptionally rare nonfunctional parathyroid carcinomas, and four were functional parathyroid carcinomas. All six patients underwent surgery. Pathological types comprised the chief-cell type in two cases, the mixed-cell type in two cases, the oxyphil-cell type in one case, and the clear-cell type in one case. The follow-up duration ranged from 1 to 151 months. Five patients remained alive, while one patient died. Both patients with nonfunctional parathyroid carcinoma experienced recurrence and metastasis, with Ki-67 levels of 30% and 20%, respectively. In contrast, none of the four patients with functional parathyroid carcinoma recurred, with one case having a Ki-67 level of 20% and three cases with a Ki-67 level of 5%.</p><p><strong>Conclusions: </strong>The poor prognosis of patients with nonfunctional parathyroid carcinoma may reflect biological behavior and a potentially higher malignant potential. The Ki-67 level is positively correlated with the malignant potential of parathyroid carcinoma. These speculations still need to be validated through large-scale clinical studies.</p>\",\"PeriodicalId\":12760,\"journal\":{\"name\":\"Gland surgery\",\"volume\":\"14 5\",\"pages\":\"947-957\"},\"PeriodicalIF\":1.6000,\"publicationDate\":\"2025-05-30\",\"publicationTypes\":\"Journal Article\",\"fieldsOfStudy\":null,\"isOpenAccess\":false,\"openAccessPdf\":\"https://www.ncbi.nlm.nih.gov/pmc/articles/PMC12177534/pdf/\",\"citationCount\":\"0\",\"resultStr\":null,\"platform\":\"Semanticscholar\",\"paperid\":null,\"PeriodicalName\":\"Gland surgery\",\"FirstCategoryId\":\"3\",\"ListUrlMain\":\"https://doi.org/10.21037/gs-2025-187\",\"RegionNum\":3,\"RegionCategory\":\"医学\",\"ArticlePicture\":[],\"TitleCN\":null,\"AbstractTextCN\":null,\"PMCID\":null,\"EPubDate\":\"2025/5/27 0:00:00\",\"PubModel\":\"Epub\",\"JCR\":\"Q3\",\"JCRName\":\"SURGERY\",\"Score\":null,\"Total\":0}","platform":"Semanticscholar","paperid":null,"PeriodicalName":"Gland surgery","FirstCategoryId":"3","ListUrlMain":"https://doi.org/10.21037/gs-2025-187","RegionNum":3,"RegionCategory":"医学","ArticlePicture":[],"TitleCN":null,"AbstractTextCN":null,"PMCID":null,"EPubDate":"2025/5/27 0:00:00","PubModel":"Epub","JCR":"Q3","JCRName":"SURGERY","Score":null,"Total":0}
引用次数: 0

摘要

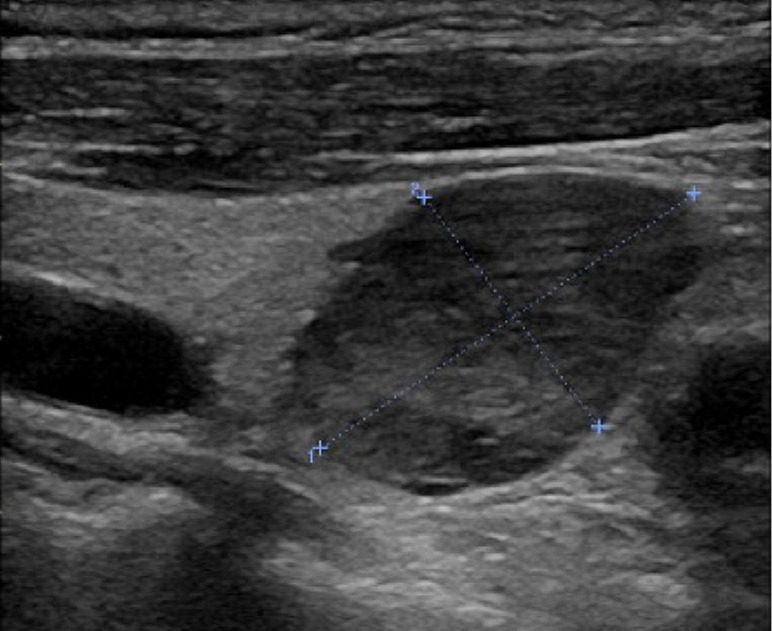
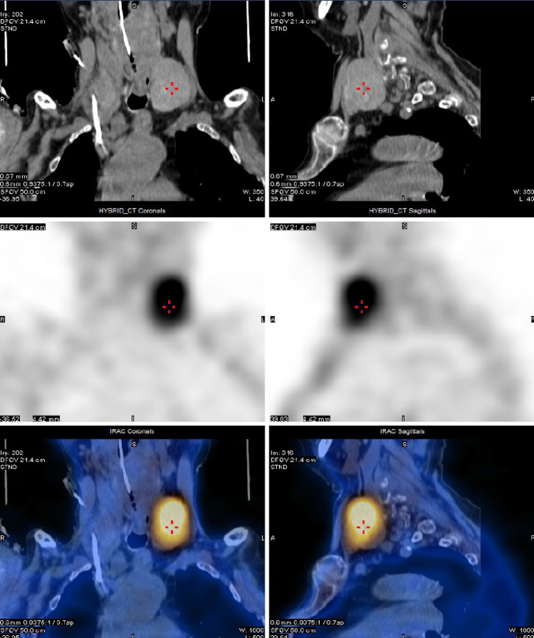
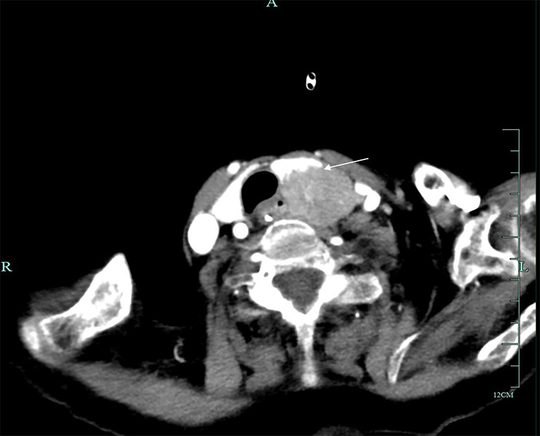
背景:甲状旁腺癌是一种罕见的内分泌恶性肿瘤。大多数病例为功能性甲状旁腺癌,而极少数为非功能性甲状旁腺癌。非功能性甲状旁腺癌患者的预后通常比功能性甲状旁腺癌患者差。这通常是由于非功能性甲状旁腺癌的隐匿性,通常导致较晚的发现和诊断。病例描述:2011年5月至2022年11月,浙江大学第一附属医院对6例诊断为甲状旁腺癌的患者进行了手术治疗。其中2名男性,4名女性,年龄从53岁到83岁不等。2例肿瘤位于右颈,4例肿瘤位于左颈。最小的肿瘤直径为2.5厘米,而最大的肿瘤直径为11.4厘米。2例为异常罕见的非功能性甲状旁腺癌,4例为功能性甲状旁腺癌。所有6名患者都接受了手术。病理类型包括主细胞型2例,混合细胞型2例,嗜氧细胞型1例,透明细胞型1例。随访时间为1 ~ 151个月。5名患者存活,1名患者死亡。无功能甲状旁腺癌患者均有复发和转移,Ki-67水平分别为30%和20%。相比之下,4例功能性甲状旁腺癌患者均无复发,1例Ki-67水平为20%,3例Ki-67水平为5%。结论:非功能性甲状旁腺癌患者预后不良可能反映了其生物学行为和较高的恶性潜能。Ki-67水平与甲状旁腺癌的恶性潜能呈正相关。这些推测仍然需要通过大规模的临床研究来验证。
本文章由计算机程序翻译,如有差异,请以英文原文为准。

Potential higher malignancy of nonfunctional parathyroid carcinoma: a case series study.

Potential higher malignancy of nonfunctional parathyroid carcinoma: a case series study.

Potential higher malignancy of nonfunctional parathyroid carcinoma: a case series study.

Potential higher malignancy of nonfunctional parathyroid carcinoma: a case series study.

Background: Parathyroid carcinoma is a rare endocrine malignancy. The majority of cases are functional parathyroid carcinoma, while a very small percentage are nonfunctional parathyroid carcinoma. The prognosis for patients with nonfunctional parathyroid carcinoma is generally poorer than that for those with functional parathyroid carcinoma. This is typically due to the insidious nature of nonfunctional parathyroid carcinoma, which often results in late detection and diagnosis.

Case description: Between May 2011 and November 2022, the First Affiliated Hospital of Zhejiang University conducted surgical treatment on six patients diagnosed with parathyroid carcinoma. Of these, two were male and four were female, with ages spanning from 53 to 83 years. The tumors were situated on the right neck in two cases and on the left neck in four cases. The smallest tumor measured 2.5 cm in diameter, whereas the largest measured 11.4 cm. Two cases were exceptionally rare nonfunctional parathyroid carcinomas, and four were functional parathyroid carcinomas. All six patients underwent surgery. Pathological types comprised the chief-cell type in two cases, the mixed-cell type in two cases, the oxyphil-cell type in one case, and the clear-cell type in one case. The follow-up duration ranged from 1 to 151 months. Five patients remained alive, while one patient died. Both patients with nonfunctional parathyroid carcinoma experienced recurrence and metastasis, with Ki-67 levels of 30% and 20%, respectively. In contrast, none of the four patients with functional parathyroid carcinoma recurred, with one case having a Ki-67 level of 20% and three cases with a Ki-67 level of 5%.

Conclusions: The poor prognosis of patients with nonfunctional parathyroid carcinoma may reflect biological behavior and a potentially higher malignant potential. The Ki-67 level is positively correlated with the malignant potential of parathyroid carcinoma. These speculations still need to be validated through large-scale clinical studies.

求助全文
通过发布文献求助,成功后即可免费获取论文全文。 去求助
来源期刊
Gland surgery
Gland surgery Medicine-Surgery
CiteScore
3.60
自引率
0.00%
发文量
113
期刊介绍: Gland Surgery (Gland Surg; GS, Print ISSN 2227-684X; Online ISSN 2227-8575) being indexed by PubMed/PubMed Central, is an open access, peer-review journal launched at May of 2012, published bio-monthly since February 2015.
×
引用
GB/T 7714-2015
复制
MLA
复制
APA
复制
导出至
BibTeX EndNote RefMan NoteFirst NoteExpress
×
提示
您的信息不完整,为了账户安全,请先补充。
现在去补充
×
提示
您因"违规操作"
具体请查看互助需知
我知道了
×
提示
确定
请完成安全验证×
copy
已复制链接
快去分享给好友吧!
我知道了
右上角分享
点击右上角分享
0
联系我们:info@booksci.cn Book学术提供免费学术资源搜索服务,方便国内外学者检索中英文文献。致力于提供最便捷和优质的服务体验。 Copyright © 2023 布克学术 All rights reserved.
京ICP备2023020795号-1
ghs 京公网安备 11010802042870号
Book学术文献互助
Book学术文献互助群
群 号:604180095
Book学术官方微信