血浆乙醇酸水平对卢马西兰治疗原发性1型高草酸尿引起的终末期肾病透析患者是否决定进行离体肾移植有影响

IF 0.9 Q4 UROLOGY & NEPHROLOGY
Case Reports in Nephrology and Dialysis Pub Date : 2025-05-23 eCollection Date: 2025-01-01 DOI:10.1159/000546144
Maria Ilaria Moretti, Marta Leporati, Roberta Mazzucchelli, Marina Di Luca, Giorgia Mandrile, Daniela Francesca Giachino, Sara Belcastro, Mauro Martello, Fabiana Brigante, Mauro Valente, Michele Petrarulo, Alessandra Calcinari, Marco Moretti, Emilio Balestra, Domenica Taruscia, Andrea Ranghino
{"title":"血浆乙醇酸水平对卢马西兰治疗原发性1型高草酸尿引起的终末期肾病透析患者是否决定进行离体肾移植有影响","authors":"Maria Ilaria Moretti, Marta Leporati, Roberta Mazzucchelli, Marina Di Luca, Giorgia Mandrile, Daniela Francesca Giachino, Sara Belcastro, Mauro Martello, Fabiana Brigante, Mauro Valente, Michele Petrarulo, Alessandra Calcinari, Marco Moretti, Emilio Balestra, Domenica Taruscia, Andrea Ranghino","doi":"10.1159/000546144","DOIUrl":null,"url":null,"abstract":"<p><strong>Introduction: </strong>Primary hyperoxaluria type 1 (PH1) is an inherited disease due to deficient activity of the liver enzyme AGT due to a mutation of the AGXT gene, leading to impairment in the glyoxylate metabolism with excessive oxalate urinary excretion (uOx) causing nephrolithiasis, renal failure, and systemic oxalosis. The historical treatment for renal failure was combined liver-kidney transplantation (CLKT) to restore normal function of AGT enzyme, but in mutations fully responsive to pyridoxine, an isolated kidney transplant (IKT) is feasible. Recently, RNA-interference (RNAi) agents such as lumasiran that reduce the oxalate synthesis in PH1 patients open new therapeutic challenges such as IKT irrespective of the type of <i>AGXT</i> gene mutation. Nevertheless, to decide for IKT instead of CLKT, clinicians must be aware of lumasiran efficacy. At present, the biomarker used to evaluate the lumasiran efficacy is the plasma oxalate (pOx). However, in dialyzed patients, pOx might be influenced by the release of oxalate from the deposits to the blood.</p><p><strong>Case presentation: </strong>We report the case of a PH1 36-year-old male patient who underwent IKT combined with lumasiran. Two years after transplantation, graft function is good without lithiasis or nephrocalcinosis. 24-h uOx varies from 0.55 to 1.2 mmol/day and pOx remains stable at 12 μmol/L. Allograft biopsies at 1, 6, 12, and 22 months show negligible oxalate crystals deposits.</p><p><strong>Conclusion: </strong>The novelty of our case lies in the methods we adopted to evaluate the lumasiran efficacy during dialysis prior listing for IKT. Specifically, we decided to list the patient for IKT according to the high plasma levels of glycolate reached after lumasiran treatment together with the significant reduction of the pOx.</p>","PeriodicalId":9599,"journal":{"name":"Case Reports in Nephrology and Dialysis","volume":"15 1","pages":"141-149"},"PeriodicalIF":0.9000,"publicationDate":"2025-05-23","publicationTypes":"Journal Article","fieldsOfStudy":null,"isOpenAccess":false,"openAccessPdf":"https://www.ncbi.nlm.nih.gov/pmc/articles/PMC12185063/pdf/","citationCount":"0","resultStr":"{\"title\":\"Plasma Glycolate Levels Contribute to Drive the Decision of Isolated Kidney Transplantation in Dialyzed Patients with End-Stage Kidney Disease due to Primary Hyperoxaluria Type 1 Treated with Lumasiran: A Case Report.\",\"authors\":\"Maria Ilaria Moretti, Marta Leporati, Roberta Mazzucchelli, Marina Di Luca, Giorgia Mandrile, Daniela Francesca Giachino, Sara Belcastro, Mauro Martello, Fabiana Brigante, Mauro Valente, Michele Petrarulo, Alessandra Calcinari, Marco Moretti, Emilio Balestra, Domenica Taruscia, Andrea Ranghino\",\"doi\":\"10.1159/000546144\",\"DOIUrl\":null,\"url\":null,\"abstract\":\"<p><strong>Introduction: </strong>Primary hyperoxaluria type 1 (PH1) is an inherited disease due to deficient activity of the liver enzyme AGT due to a mutation of the AGXT gene, leading to impairment in the glyoxylate metabolism with excessive oxalate urinary excretion (uOx) causing nephrolithiasis, renal failure, and systemic oxalosis. The historical treatment for renal failure was combined liver-kidney transplantation (CLKT) to restore normal function of AGT enzyme, but in mutations fully responsive to pyridoxine, an isolated kidney transplant (IKT) is feasible. Recently, RNA-interference (RNAi) agents such as lumasiran that reduce the oxalate synthesis in PH1 patients open new therapeutic challenges such as IKT irrespective of the type of <i>AGXT</i> gene mutation. Nevertheless, to decide for IKT instead of CLKT, clinicians must be aware of lumasiran efficacy. At present, the biomarker used to evaluate the lumasiran efficacy is the plasma oxalate (pOx). However, in dialyzed patients, pOx might be influenced by the release of oxalate from the deposits to the blood.</p><p><strong>Case presentation: </strong>We report the case of a PH1 36-year-old male patient who underwent IKT combined with lumasiran. Two years after transplantation, graft function is good without lithiasis or nephrocalcinosis. 24-h uOx varies from 0.55 to 1.2 mmol/day and pOx remains stable at 12 μmol/L. Allograft biopsies at 1, 6, 12, and 22 months show negligible oxalate crystals deposits.</p><p><strong>Conclusion: </strong>The novelty of our case lies in the methods we adopted to evaluate the lumasiran efficacy during dialysis prior listing for IKT. Specifically, we decided to list the patient for IKT according to the high plasma levels of glycolate reached after lumasiran treatment together with the significant reduction of the pOx.</p>\",\"PeriodicalId\":9599,\"journal\":{\"name\":\"Case Reports in Nephrology and Dialysis\",\"volume\":\"15 1\",\"pages\":\"141-149\"},\"PeriodicalIF\":0.9000,\"publicationDate\":\"2025-05-23\",\"publicationTypes\":\"Journal Article\",\"fieldsOfStudy\":null,\"isOpenAccess\":false,\"openAccessPdf\":\"https://www.ncbi.nlm.nih.gov/pmc/articles/PMC12185063/pdf/\",\"citationCount\":\"0\",\"resultStr\":null,\"platform\":\"Semanticscholar\",\"paperid\":null,\"PeriodicalName\":\"Case Reports in Nephrology and Dialysis\",\"FirstCategoryId\":\"1085\",\"ListUrlMain\":\"https://doi.org/10.1159/000546144\",\"RegionNum\":0,\"RegionCategory\":null,\"ArticlePicture\":[],\"TitleCN\":null,\"AbstractTextCN\":null,\"PMCID\":null,\"EPubDate\":\"2025/1/1 0:00:00\",\"PubModel\":\"eCollection\",\"JCR\":\"Q4\",\"JCRName\":\"UROLOGY & NEPHROLOGY\",\"Score\":null,\"Total\":0}","platform":"Semanticscholar","paperid":null,"PeriodicalName":"Case Reports in Nephrology and Dialysis","FirstCategoryId":"1085","ListUrlMain":"https://doi.org/10.1159/000546144","RegionNum":0,"RegionCategory":null,"ArticlePicture":[],"TitleCN":null,"AbstractTextCN":null,"PMCID":null,"EPubDate":"2025/1/1 0:00:00","PubModel":"eCollection","JCR":"Q4","JCRName":"UROLOGY & NEPHROLOGY","Score":null,"Total":0}
引用次数: 0

摘要

原发性高草酸尿1型(PH1)是一种遗传性疾病,由于AGXT基因突变导致肝酶AGT活性不足,导致乙醛酸盐代谢受损,草酸盐尿排泄过多(uOx),导致肾结石、肾功能衰竭和全身性草酸中毒。历史上治疗肾衰竭的方法是肝肾联合移植(CLKT)来恢复AGT酶的正常功能,但在对吡哆醇完全反应的突变中,孤立肾移植(IKT)是可行的。最近,rna干扰(RNAi)药物,如lumasiran,可以减少PH1患者的草酸盐合成,无论AGXT基因突变的类型如何,都为IKT等新的治疗挑战带来了新的挑战。然而,在决定使用IKT而不是CLKT时,临床医生必须了解lumasiran的疗效。目前,用于评价lumasiran疗效的生物标志物是血浆草酸(pOx)。然而,在透析患者中,水痘可能受到草酸盐从沉积物释放到血液的影响。病例介绍:我们报告一例PH1 36岁男性患者,接受IKT联合lumasiran。术后2年移植物功能良好,无结石、肾钙化。24 h uOx变化范围为0.55 ~ 1.2 mmol/d, pOx稳定在12 μmol/L。同种异体移植物1、6、12和22个月活检显示草酸盐晶体沉积可忽略不计。结论:本病例的新颖之处在于我们采用了在IKT上市前透析期间评估lumasiran疗效的方法。具体而言,我们决定将患者列入IKT名单,根据lumasiran治疗后达到的高血浆乙醇酸水平以及pOx的显着降低。
本文章由计算机程序翻译,如有差异,请以英文原文为准。

Plasma Glycolate Levels Contribute to Drive the Decision of Isolated Kidney Transplantation in Dialyzed Patients with End-Stage Kidney Disease due to Primary Hyperoxaluria Type 1 Treated with Lumasiran: A Case Report.

Plasma Glycolate Levels Contribute to Drive the Decision of Isolated Kidney Transplantation in Dialyzed Patients with End-Stage Kidney Disease due to Primary Hyperoxaluria Type 1 Treated with Lumasiran: A Case Report.

Plasma Glycolate Levels Contribute to Drive the Decision of Isolated Kidney Transplantation in Dialyzed Patients with End-Stage Kidney Disease due to Primary Hyperoxaluria Type 1 Treated with Lumasiran: A Case Report.

Plasma Glycolate Levels Contribute to Drive the Decision of Isolated Kidney Transplantation in Dialyzed Patients with End-Stage Kidney Disease due to Primary Hyperoxaluria Type 1 Treated with Lumasiran: A Case Report.

Introduction: Primary hyperoxaluria type 1 (PH1) is an inherited disease due to deficient activity of the liver enzyme AGT due to a mutation of the AGXT gene, leading to impairment in the glyoxylate metabolism with excessive oxalate urinary excretion (uOx) causing nephrolithiasis, renal failure, and systemic oxalosis. The historical treatment for renal failure was combined liver-kidney transplantation (CLKT) to restore normal function of AGT enzyme, but in mutations fully responsive to pyridoxine, an isolated kidney transplant (IKT) is feasible. Recently, RNA-interference (RNAi) agents such as lumasiran that reduce the oxalate synthesis in PH1 patients open new therapeutic challenges such as IKT irrespective of the type of AGXT gene mutation. Nevertheless, to decide for IKT instead of CLKT, clinicians must be aware of lumasiran efficacy. At present, the biomarker used to evaluate the lumasiran efficacy is the plasma oxalate (pOx). However, in dialyzed patients, pOx might be influenced by the release of oxalate from the deposits to the blood.

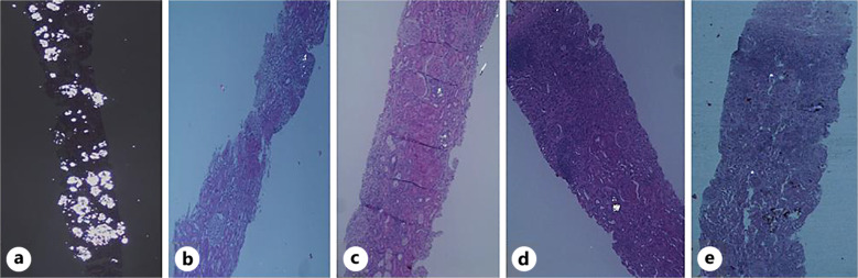
Case presentation: We report the case of a PH1 36-year-old male patient who underwent IKT combined with lumasiran. Two years after transplantation, graft function is good without lithiasis or nephrocalcinosis. 24-h uOx varies from 0.55 to 1.2 mmol/day and pOx remains stable at 12 μmol/L. Allograft biopsies at 1, 6, 12, and 22 months show negligible oxalate crystals deposits.

Conclusion: The novelty of our case lies in the methods we adopted to evaluate the lumasiran efficacy during dialysis prior listing for IKT. Specifically, we decided to list the patient for IKT according to the high plasma levels of glycolate reached after lumasiran treatment together with the significant reduction of the pOx.

求助全文
通过发布文献求助,成功后即可免费获取论文全文。 去求助
来源期刊
CiteScore
1.20
自引率
0.00%
发文量
36
审稿时长
10 weeks
期刊介绍: This peer-reviewed online-only journal publishes original case reports covering the entire spectrum of nephrology and dialysis, including genetic susceptibility, clinical presentation, diagnosis, treatment or prevention, toxicities of therapy, critical care, supportive care, quality-of-life and survival issues. The journal will also accept case reports dealing with the use of novel technologies, both in the arena of diagnosis and treatment. Supplementary material is welcomed.
×
引用
GB/T 7714-2015
复制
MLA
复制
APA
复制
导出至
BibTeX EndNote RefMan NoteFirst NoteExpress
×
提示
您的信息不完整,为了账户安全,请先补充。
现在去补充
×
提示
您因"违规操作"
具体请查看互助需知
我知道了
×
提示
确定
请完成安全验证×
copy
已复制链接
快去分享给好友吧!
我知道了
右上角分享
点击右上角分享
0
联系我们:info@booksci.cn Book学术提供免费学术资源搜索服务,方便国内外学者检索中英文文献。致力于提供最便捷和优质的服务体验。 Copyright © 2023 布克学术 All rights reserved.
京ICP备2023020795号-1
ghs 京公网安备 11010802042870号
Book学术文献互助
Book学术文献互助群
群 号:604180095
Book学术官方微信