龟头复发性脓疱病变的难题。

IF 0.7 Q4 INFECTIOUS DISEASES
Febin Ashraf, Jayashankar Errukkambattu
{"title":"龟头复发性脓疱病变的难题。","authors":"Febin Ashraf, Jayashankar Errukkambattu","doi":"10.4103/ijstd.ijstd_41_25","DOIUrl":null,"url":null,"abstract":"<p><p>Genital psoriasis rarely presents as isolated pustular lesions confined to the glans penis, often leading to misdiagnosis as sexually transmitted infections such as herpes genitalis. We report a 36-year-old male with recurrent pruritic lesions on the glans over four months, with seasonal exacerbations over the past three years, particularly in winter and summer. The patient, with no systemic comorbidities or extragenital lesions, was initially misdiagnosed and treated with antivirals without relief. Clinical examination revealed multiple erythematous papules with collarette of scale and pustules that ruptured to form non-scarring erosions. Histopathological examination confirmed pustular psoriasis. The patient responded completely to topical 2% tofacitinib within four weeks. Isolated genital pustular psoriasis is exceedingly rare, with limited cases reported in the literature. Diagnostic delay is common due to its overlap with other genital dermatoses and lack of typical psoriatic plaques. This case highlights the importance of considering non-venereal causes in persistent genital lesions and the role of histopathology in achieving accurate diagnosis.</p>","PeriodicalId":44880,"journal":{"name":"Indian Journal of Sexually Transmitted Diseases and AIDS","volume":"46 1","pages":"71-73"},"PeriodicalIF":0.7000,"publicationDate":"2025-01-01","publicationTypes":"Journal Article","fieldsOfStudy":null,"isOpenAccess":false,"openAccessPdf":"https://www.ncbi.nlm.nih.gov/pmc/articles/PMC12180853/pdf/","citationCount":"0","resultStr":"{\"title\":\"A conundrum of recurrent pustular lesions of the glans.\",\"authors\":\"Febin Ashraf, Jayashankar Errukkambattu\",\"doi\":\"10.4103/ijstd.ijstd_41_25\",\"DOIUrl\":null,\"url\":null,\"abstract\":\"<p><p>Genital psoriasis rarely presents as isolated pustular lesions confined to the glans penis, often leading to misdiagnosis as sexually transmitted infections such as herpes genitalis. We report a 36-year-old male with recurrent pruritic lesions on the glans over four months, with seasonal exacerbations over the past three years, particularly in winter and summer. The patient, with no systemic comorbidities or extragenital lesions, was initially misdiagnosed and treated with antivirals without relief. Clinical examination revealed multiple erythematous papules with collarette of scale and pustules that ruptured to form non-scarring erosions. Histopathological examination confirmed pustular psoriasis. The patient responded completely to topical 2% tofacitinib within four weeks. Isolated genital pustular psoriasis is exceedingly rare, with limited cases reported in the literature. Diagnostic delay is common due to its overlap with other genital dermatoses and lack of typical psoriatic plaques. This case highlights the importance of considering non-venereal causes in persistent genital lesions and the role of histopathology in achieving accurate diagnosis.</p>\",\"PeriodicalId\":44880,\"journal\":{\"name\":\"Indian Journal of Sexually Transmitted Diseases and AIDS\",\"volume\":\"46 1\",\"pages\":\"71-73\"},\"PeriodicalIF\":0.7000,\"publicationDate\":\"2025-01-01\",\"publicationTypes\":\"Journal Article\",\"fieldsOfStudy\":null,\"isOpenAccess\":false,\"openAccessPdf\":\"https://www.ncbi.nlm.nih.gov/pmc/articles/PMC12180853/pdf/\",\"citationCount\":\"0\",\"resultStr\":null,\"platform\":\"Semanticscholar\",\"paperid\":null,\"PeriodicalName\":\"Indian Journal of Sexually Transmitted Diseases and AIDS\",\"FirstCategoryId\":\"1085\",\"ListUrlMain\":\"https://doi.org/10.4103/ijstd.ijstd_41_25\",\"RegionNum\":0,\"RegionCategory\":null,\"ArticlePicture\":[],\"TitleCN\":null,\"AbstractTextCN\":null,\"PMCID\":null,\"EPubDate\":\"2025/6/9 0:00:00\",\"PubModel\":\"Epub\",\"JCR\":\"Q4\",\"JCRName\":\"INFECTIOUS DISEASES\",\"Score\":null,\"Total\":0}","platform":"Semanticscholar","paperid":null,"PeriodicalName":"Indian Journal of Sexually Transmitted Diseases and AIDS","FirstCategoryId":"1085","ListUrlMain":"https://doi.org/10.4103/ijstd.ijstd_41_25","RegionNum":0,"RegionCategory":null,"ArticlePicture":[],"TitleCN":null,"AbstractTextCN":null,"PMCID":null,"EPubDate":"2025/6/9 0:00:00","PubModel":"Epub","JCR":"Q4","JCRName":"INFECTIOUS DISEASES","Score":null,"Total":0}
引用次数: 0

摘要

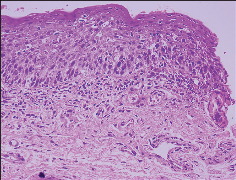
生殖器牛皮癣很少表现为局限于阴茎头的孤立脓疱病变,经常导致误诊为性传播感染,如生殖器疱疹。我们报告一个36岁的男性复发性瘙痒皮损在龟头超过四个月,季节性恶化在过去三年中,特别是在冬季和夏季。该患者无全身性合并症或外阴病变,最初被误诊并使用抗病毒药物治疗,但没有缓解。临床检查显示多发红斑丘疹,伴有鳞状结和脓疱破裂形成无瘢痕性糜烂。组织病理学检查证实为脓疱性牛皮癣。患者在四周内对2%的局部托法替尼完全有反应。孤立性生殖器脓疱性牛皮癣极为罕见,文献报道的病例有限。诊断延迟是常见的,因为它与其他生殖器皮肤病重叠和缺乏典型的银屑病斑块。本病例强调了在持续性生殖器病变中考虑非性病原因的重要性,以及组织病理学在实现准确诊断中的作用。
本文章由计算机程序翻译,如有差异,请以英文原文为准。

A conundrum of recurrent pustular lesions of the glans.

A conundrum of recurrent pustular lesions of the glans.

A conundrum of recurrent pustular lesions of the glans.

Genital psoriasis rarely presents as isolated pustular lesions confined to the glans penis, often leading to misdiagnosis as sexually transmitted infections such as herpes genitalis. We report a 36-year-old male with recurrent pruritic lesions on the glans over four months, with seasonal exacerbations over the past three years, particularly in winter and summer. The patient, with no systemic comorbidities or extragenital lesions, was initially misdiagnosed and treated with antivirals without relief. Clinical examination revealed multiple erythematous papules with collarette of scale and pustules that ruptured to form non-scarring erosions. Histopathological examination confirmed pustular psoriasis. The patient responded completely to topical 2% tofacitinib within four weeks. Isolated genital pustular psoriasis is exceedingly rare, with limited cases reported in the literature. Diagnostic delay is common due to its overlap with other genital dermatoses and lack of typical psoriatic plaques. This case highlights the importance of considering non-venereal causes in persistent genital lesions and the role of histopathology in achieving accurate diagnosis.

求助全文
通过发布文献求助,成功后即可免费获取论文全文。 去求助
来源期刊
CiteScore
0.60
自引率
25.00%
发文量
34
×
引用
GB/T 7714-2015
复制
MLA
复制
APA
复制
导出至
BibTeX EndNote RefMan NoteFirst NoteExpress
×
提示
您的信息不完整,为了账户安全,请先补充。
现在去补充
×
提示
您因"违规操作"
具体请查看互助需知
我知道了
×
提示
确定
请完成安全验证×
copy
已复制链接
快去分享给好友吧!
我知道了
右上角分享
点击右上角分享
0
联系我们:info@booksci.cn Book学术提供免费学术资源搜索服务,方便国内外学者检索中英文文献。致力于提供最便捷和优质的服务体验。 Copyright © 2023 布克学术 All rights reserved.
京ICP备2023020795号-1
ghs 京公网安备 11010802042870号
Book学术文献互助
Book学术文献互助群
群 号:604180095
Book学术官方微信