肺动脉高压和间质性肺疾病患者的治疗选择。

IF 3 3区 医学 Q2 RESPIRATORY SYSTEM
John W Swisher, Eric Weaver
{"title":"肺动脉高压和间质性肺疾病患者的治疗选择。","authors":"John W Swisher, Eric Weaver","doi":"10.1177/17534666251335815","DOIUrl":null,"url":null,"abstract":"<p><p>Pulmonary hypertensive diseases have been classified by the World Health Organization (WHO) into five groups based on the pathophysiology and characteristics of each disease state. Several targeted therapeutic agents have been developed that combat the vascular remodeling in WHO Group 1 pulmonary arterial hypertension, however, the search for treatment solutions in other WHO Groups has been less fruitful. In this review, we focus on therapeutic options for patients with pulmonary hypertension and interstitial lung disease (PH-ILD). Investigations of targeted WHO Group 1 PAH therapies have largely failed to improve functional capacity, hemodynamics, oxygenation, quality of life, or survival in PH-ILD. In contrast, inhaled treprostinil was shown effective in the INCREASE Trial, a placebo-controlled study in which patients with PH-ILD treated with inhaled treprostinil demonstrated a 31-meter placebo-corrected improvement in the primary endpoint, 6-minute walk distance. Treatment with inhaled treprostinil was also associated with improvement in time to clinical worsening, fewer exacerbations of underlying lung disease, decrease in N-terminal pro-B-type natriuretic protein (NT-proBNP) levels, and improvement in forced vital capacity compared to placebo. In this review, we also elaborate on the current understanding of the pathobiology leading to PH-ILD with emphasis on the role of newer signaling pathways and mediators of vascular biology that may expand treatment options. Strategy and innovations for early detection and diagnosis are highlighted while underscoring the importance of early detection and diagnosis. A holistic and collaborative approach to the treatment of PH-ILD is outlined including a variety of adjunctive measures and the consideration of patient-reported outcome data in order to improve disease management outcomes.</p>","PeriodicalId":22884,"journal":{"name":"Therapeutic Advances in Respiratory Disease","volume":"19 ","pages":"17534666251335815"},"PeriodicalIF":3.0000,"publicationDate":"2025-01-01","publicationTypes":"Journal Article","fieldsOfStudy":null,"isOpenAccess":false,"openAccessPdf":"https://www.ncbi.nlm.nih.gov/pmc/articles/PMC12182618/pdf/","citationCount":"0","resultStr":"{\"title\":\"Therapeutic options for patients with pulmonary hypertension and interstitial lung disease.\",\"authors\":\"John W Swisher, Eric Weaver\",\"doi\":\"10.1177/17534666251335815\",\"DOIUrl\":null,\"url\":null,\"abstract\":\"<p><p>Pulmonary hypertensive diseases have been classified by the World Health Organization (WHO) into five groups based on the pathophysiology and characteristics of each disease state. Several targeted therapeutic agents have been developed that combat the vascular remodeling in WHO Group 1 pulmonary arterial hypertension, however, the search for treatment solutions in other WHO Groups has been less fruitful. In this review, we focus on therapeutic options for patients with pulmonary hypertension and interstitial lung disease (PH-ILD). Investigations of targeted WHO Group 1 PAH therapies have largely failed to improve functional capacity, hemodynamics, oxygenation, quality of life, or survival in PH-ILD. In contrast, inhaled treprostinil was shown effective in the INCREASE Trial, a placebo-controlled study in which patients with PH-ILD treated with inhaled treprostinil demonstrated a 31-meter placebo-corrected improvement in the primary endpoint, 6-minute walk distance. Treatment with inhaled treprostinil was also associated with improvement in time to clinical worsening, fewer exacerbations of underlying lung disease, decrease in N-terminal pro-B-type natriuretic protein (NT-proBNP) levels, and improvement in forced vital capacity compared to placebo. In this review, we also elaborate on the current understanding of the pathobiology leading to PH-ILD with emphasis on the role of newer signaling pathways and mediators of vascular biology that may expand treatment options. Strategy and innovations for early detection and diagnosis are highlighted while underscoring the importance of early detection and diagnosis. A holistic and collaborative approach to the treatment of PH-ILD is outlined including a variety of adjunctive measures and the consideration of patient-reported outcome data in order to improve disease management outcomes.</p>\",\"PeriodicalId\":22884,\"journal\":{\"name\":\"Therapeutic Advances in Respiratory Disease\",\"volume\":\"19 \",\"pages\":\"17534666251335815\"},\"PeriodicalIF\":3.0000,\"publicationDate\":\"2025-01-01\",\"publicationTypes\":\"Journal Article\",\"fieldsOfStudy\":null,\"isOpenAccess\":false,\"openAccessPdf\":\"https://www.ncbi.nlm.nih.gov/pmc/articles/PMC12182618/pdf/\",\"citationCount\":\"0\",\"resultStr\":null,\"platform\":\"Semanticscholar\",\"paperid\":null,\"PeriodicalName\":\"Therapeutic Advances in Respiratory Disease\",\"FirstCategoryId\":\"3\",\"ListUrlMain\":\"https://doi.org/10.1177/17534666251335815\",\"RegionNum\":3,\"RegionCategory\":\"医学\",\"ArticlePicture\":[],\"TitleCN\":null,\"AbstractTextCN\":null,\"PMCID\":null,\"EPubDate\":\"2025/6/21 0:00:00\",\"PubModel\":\"Epub\",\"JCR\":\"Q2\",\"JCRName\":\"RESPIRATORY SYSTEM\",\"Score\":null,\"Total\":0}","platform":"Semanticscholar","paperid":null,"PeriodicalName":"Therapeutic Advances in Respiratory Disease","FirstCategoryId":"3","ListUrlMain":"https://doi.org/10.1177/17534666251335815","RegionNum":3,"RegionCategory":"医学","ArticlePicture":[],"TitleCN":null,"AbstractTextCN":null,"PMCID":null,"EPubDate":"2025/6/21 0:00:00","PubModel":"Epub","JCR":"Q2","JCRName":"RESPIRATORY SYSTEM","Score":null,"Total":0}
引用次数: 0

摘要

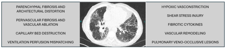
世界卫生组织(WHO)根据各疾病状态的病理生理和特点,将肺动脉高压疾病分为五类。已经开发了几种靶向治疗药物来对抗世卫组织第1组肺动脉高压的血管重塑,然而,在其他世卫组织组中寻找治疗方案的成果较少。在这篇综述中,我们关注肺动脉高压和间质性肺病(PH-ILD)患者的治疗选择。针对WHO第1组PAH治疗的研究在很大程度上未能改善PH-ILD患者的功能、血流动力学、氧合、生活质量或生存率。相比之下,在一项名为INCREASE的安慰剂对照研究中,吸入曲前列尼的PH-ILD患者在主要终点(6分钟步行距离)中显示出31米的安慰剂校正改善。与安慰剂相比,吸入曲前列替尼治疗还与临床恶化时间的改善、潜在肺部疾病的恶化减少、n端前b型利钠蛋白(NT-proBNP)水平的降低以及强迫肺活量的改善相关。在这篇综述中,我们还阐述了目前对导致PH-ILD的病理生物学的理解,重点是血管生物学中更新的信号通路和介质的作用,这可能会扩大治疗选择。在强调早期发现和诊断重要性的同时,强调了早期发现和诊断的战略和创新。概述了一种治疗PH-ILD的整体和协作方法,包括各种辅助措施和考虑患者报告的结果数据,以改善疾病管理结果。
本文章由计算机程序翻译,如有差异,请以英文原文为准。

Therapeutic options for patients with pulmonary hypertension and interstitial lung disease.

Therapeutic options for patients with pulmonary hypertension and interstitial lung disease.

Therapeutic options for patients with pulmonary hypertension and interstitial lung disease.

Therapeutic options for patients with pulmonary hypertension and interstitial lung disease.

Pulmonary hypertensive diseases have been classified by the World Health Organization (WHO) into five groups based on the pathophysiology and characteristics of each disease state. Several targeted therapeutic agents have been developed that combat the vascular remodeling in WHO Group 1 pulmonary arterial hypertension, however, the search for treatment solutions in other WHO Groups has been less fruitful. In this review, we focus on therapeutic options for patients with pulmonary hypertension and interstitial lung disease (PH-ILD). Investigations of targeted WHO Group 1 PAH therapies have largely failed to improve functional capacity, hemodynamics, oxygenation, quality of life, or survival in PH-ILD. In contrast, inhaled treprostinil was shown effective in the INCREASE Trial, a placebo-controlled study in which patients with PH-ILD treated with inhaled treprostinil demonstrated a 31-meter placebo-corrected improvement in the primary endpoint, 6-minute walk distance. Treatment with inhaled treprostinil was also associated with improvement in time to clinical worsening, fewer exacerbations of underlying lung disease, decrease in N-terminal pro-B-type natriuretic protein (NT-proBNP) levels, and improvement in forced vital capacity compared to placebo. In this review, we also elaborate on the current understanding of the pathobiology leading to PH-ILD with emphasis on the role of newer signaling pathways and mediators of vascular biology that may expand treatment options. Strategy and innovations for early detection and diagnosis are highlighted while underscoring the importance of early detection and diagnosis. A holistic and collaborative approach to the treatment of PH-ILD is outlined including a variety of adjunctive measures and the consideration of patient-reported outcome data in order to improve disease management outcomes.

求助全文
通过发布文献求助,成功后即可免费获取论文全文。 去求助
来源期刊
CiteScore
6.90
自引率
0.00%
发文量
57
审稿时长
15 weeks
期刊介绍: Therapeutic Advances in Respiratory Disease delivers the highest quality peer-reviewed articles, reviews, and scholarly comment on pioneering efforts and innovative studies across all areas of respiratory disease.
×
引用
GB/T 7714-2015
复制
MLA
复制
APA
复制
导出至
BibTeX EndNote RefMan NoteFirst NoteExpress
×
提示
您的信息不完整,为了账户安全,请先补充。
现在去补充
×
提示
您因"违规操作"
具体请查看互助需知
我知道了
×
提示
确定
请完成安全验证×
copy
已复制链接
快去分享给好友吧!
我知道了
右上角分享
点击右上角分享
0
联系我们:info@booksci.cn Book学术提供免费学术资源搜索服务,方便国内外学者检索中英文文献。致力于提供最便捷和优质的服务体验。 Copyright © 2023 布克学术 All rights reserved.
京ICP备2023020795号-1
ghs 京公网安备 11010802042870号
Book学术文献互助
Book学术文献互助群
群 号:604180095
Book学术官方微信