糖皮质激素受体受其靶ZBTB16以解离方式影响。

IF 3.9 3区 医学 Q2 ENDOCRINOLOGY & METABOLISM
Journal of Endocrinology Pub Date : 2025-07-04 Print Date: 2025-07-01 DOI:10.1530/JOE-24-0283
Sekar Galuh, Erin Faught, Ingeborg Klaassen, Lisa L Koorneef, Joost Brinks, Elon H C van Dijk, Dirk Elewaut, Reinier O Schlingemann, Marcel J M Schaaf, Camiel J F Boon, Onno C Meijer
{"title":"糖皮质激素受体受其靶ZBTB16以解离方式影响。","authors":"Sekar Galuh, Erin Faught, Ingeborg Klaassen, Lisa L Koorneef, Joost Brinks, Elon H C van Dijk, Dirk Elewaut, Reinier O Schlingemann, Marcel J M Schaaf, Camiel J F Boon, Onno C Meijer","doi":"10.1530/JOE-24-0283","DOIUrl":null,"url":null,"abstract":"<p><p>The glucocorticoid receptor (GR) mediates many activating and repressive effects of glucocorticoids in multiple contexts. Glucocorticoids can robustly induce the transcriptionally active protein Zinc finger and BTB domain containing 16 (ZBTB16). We evaluated how cortisol-induced ZBTB16, in turn, affects various GR-mediated actions in human cells and in zebrafish. We found that prevention of ZBTB16 induction led to potentiated GR-dependent effects on the human endothelial cell barrier and blood glucose levels in zebrafish larvae. In contrast, zbtb16 functional knockout abolished the GR-dependent effects on the inflammatory response in zebrafish larvae. At the mRNA level, zbtb16 knockdown potentiated transactivation and attenuated transrepression in a subset of GR target genes. Finally, ZBTB16 protein was strongly induced by dexamethasone in fibroblast-like synoviocytes derived from osteoarthritis patients. The data suggest that cortisol-induced ZBTB16 acts as an intracellular modulator of glucocorticoid action by limiting GR-mediated activating effects and enhancing repressive effects. This mechanism may facilitate a return to the initial cellular state after (proinflammatory) stimulation and enhance GR's anti-inflammatory effects. This mechanism is similar to that of 'dissociated' GR ligands and may guide drug development that aims to reduce side effects while retaining the clinical benefits of glucocorticoid treatment.</p>","PeriodicalId":15740,"journal":{"name":"Journal of Endocrinology","volume":" ","pages":""},"PeriodicalIF":3.9000,"publicationDate":"2025-07-04","publicationTypes":"Journal Article","fieldsOfStudy":null,"isOpenAccess":false,"openAccessPdf":"https://www.ncbi.nlm.nih.gov/pmc/articles/PMC12231182/pdf/","citationCount":"0","resultStr":"{\"title\":\"The glucocorticoid receptor is affected by its target ZBTB16 in a dissociated manner.\",\"authors\":\"Sekar Galuh, Erin Faught, Ingeborg Klaassen, Lisa L Koorneef, Joost Brinks, Elon H C van Dijk, Dirk Elewaut, Reinier O Schlingemann, Marcel J M Schaaf, Camiel J F Boon, Onno C Meijer\",\"doi\":\"10.1530/JOE-24-0283\",\"DOIUrl\":null,\"url\":null,\"abstract\":\"<p><p>The glucocorticoid receptor (GR) mediates many activating and repressive effects of glucocorticoids in multiple contexts. Glucocorticoids can robustly induce the transcriptionally active protein Zinc finger and BTB domain containing 16 (ZBTB16). We evaluated how cortisol-induced ZBTB16, in turn, affects various GR-mediated actions in human cells and in zebrafish. We found that prevention of ZBTB16 induction led to potentiated GR-dependent effects on the human endothelial cell barrier and blood glucose levels in zebrafish larvae. In contrast, zbtb16 functional knockout abolished the GR-dependent effects on the inflammatory response in zebrafish larvae. At the mRNA level, zbtb16 knockdown potentiated transactivation and attenuated transrepression in a subset of GR target genes. Finally, ZBTB16 protein was strongly induced by dexamethasone in fibroblast-like synoviocytes derived from osteoarthritis patients. The data suggest that cortisol-induced ZBTB16 acts as an intracellular modulator of glucocorticoid action by limiting GR-mediated activating effects and enhancing repressive effects. This mechanism may facilitate a return to the initial cellular state after (proinflammatory) stimulation and enhance GR's anti-inflammatory effects. This mechanism is similar to that of 'dissociated' GR ligands and may guide drug development that aims to reduce side effects while retaining the clinical benefits of glucocorticoid treatment.</p>\",\"PeriodicalId\":15740,\"journal\":{\"name\":\"Journal of Endocrinology\",\"volume\":\" \",\"pages\":\"\"},\"PeriodicalIF\":3.9000,\"publicationDate\":\"2025-07-04\",\"publicationTypes\":\"Journal Article\",\"fieldsOfStudy\":null,\"isOpenAccess\":false,\"openAccessPdf\":\"https://www.ncbi.nlm.nih.gov/pmc/articles/PMC12231182/pdf/\",\"citationCount\":\"0\",\"resultStr\":null,\"platform\":\"Semanticscholar\",\"paperid\":null,\"PeriodicalName\":\"Journal of Endocrinology\",\"FirstCategoryId\":\"3\",\"ListUrlMain\":\"https://doi.org/10.1530/JOE-24-0283\",\"RegionNum\":3,\"RegionCategory\":\"医学\",\"ArticlePicture\":[],\"TitleCN\":null,\"AbstractTextCN\":null,\"PMCID\":null,\"EPubDate\":\"2025/7/1 0:00:00\",\"PubModel\":\"Print\",\"JCR\":\"Q2\",\"JCRName\":\"ENDOCRINOLOGY & METABOLISM\",\"Score\":null,\"Total\":0}","platform":"Semanticscholar","paperid":null,"PeriodicalName":"Journal of Endocrinology","FirstCategoryId":"3","ListUrlMain":"https://doi.org/10.1530/JOE-24-0283","RegionNum":3,"RegionCategory":"医学","ArticlePicture":[],"TitleCN":null,"AbstractTextCN":null,"PMCID":null,"EPubDate":"2025/7/1 0:00:00","PubModel":"Print","JCR":"Q2","JCRName":"ENDOCRINOLOGY & METABOLISM","Score":null,"Total":0}
引用次数: 0

摘要

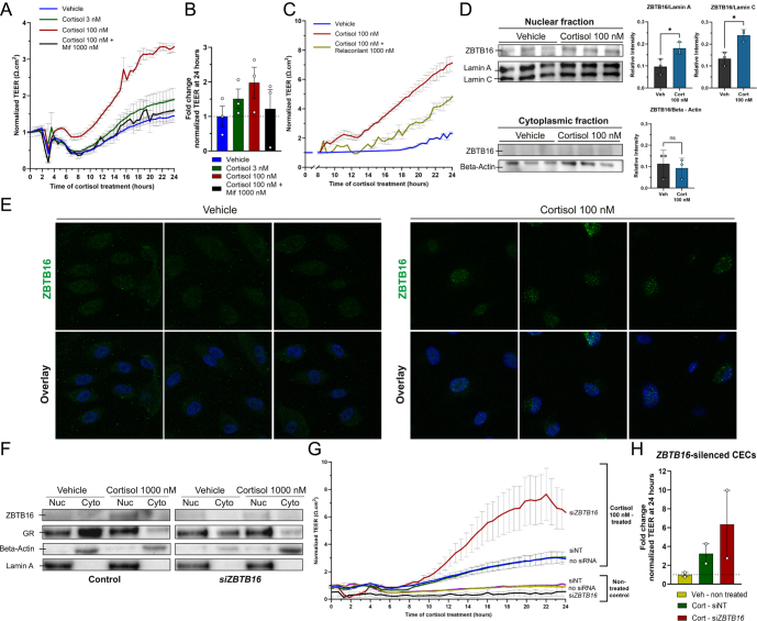
糖皮质激素受体(GR)在多种情况下介导许多糖皮质激素的激活和抑制作用。糖皮质激素可以诱导具有转录活性的蛋白锌指和BTB结构域16 (ZBTB16)。我们评估了皮质醇诱导的ZBTB16如何反过来影响人类细胞和斑马鱼中各种gr介导的行为。我们发现,预防ZBTB16诱导可增强gr依赖性对斑马鱼幼虫内皮细胞屏障和血糖水平的影响。相比之下,zbtb16功能敲除消除了斑马鱼幼虫对炎症反应的gr依赖性作用。在mRNA水平上,zbtb16敲低增强了GR靶基因亚群的转激活和减弱了转抑制。最后,地塞米松在骨关节炎患者的成纤维细胞样滑膜细胞(FLS)中强烈诱导ZBTB16蛋白。这些数据表明,皮质醇诱导的ZBTB16通过限制gr介导的激活作用和增强抑制作用,作为糖皮质激素作用的细胞内调节剂。这一机制可能促进促炎刺激后细胞恢复到初始状态,增强GR的抗炎作用。这种机制类似于“解离的”GR配体,可能指导旨在减少副作用的药物开发,同时保留糖皮质激素治疗的临床益处。
本文章由计算机程序翻译,如有差异,请以英文原文为准。

The glucocorticoid receptor is affected by its target ZBTB16 in a dissociated manner.

The glucocorticoid receptor is affected by its target ZBTB16 in a dissociated manner.

The glucocorticoid receptor is affected by its target ZBTB16 in a dissociated manner.

The glucocorticoid receptor is affected by its target ZBTB16 in a dissociated manner.

The glucocorticoid receptor (GR) mediates many activating and repressive effects of glucocorticoids in multiple contexts. Glucocorticoids can robustly induce the transcriptionally active protein Zinc finger and BTB domain containing 16 (ZBTB16). We evaluated how cortisol-induced ZBTB16, in turn, affects various GR-mediated actions in human cells and in zebrafish. We found that prevention of ZBTB16 induction led to potentiated GR-dependent effects on the human endothelial cell barrier and blood glucose levels in zebrafish larvae. In contrast, zbtb16 functional knockout abolished the GR-dependent effects on the inflammatory response in zebrafish larvae. At the mRNA level, zbtb16 knockdown potentiated transactivation and attenuated transrepression in a subset of GR target genes. Finally, ZBTB16 protein was strongly induced by dexamethasone in fibroblast-like synoviocytes derived from osteoarthritis patients. The data suggest that cortisol-induced ZBTB16 acts as an intracellular modulator of glucocorticoid action by limiting GR-mediated activating effects and enhancing repressive effects. This mechanism may facilitate a return to the initial cellular state after (proinflammatory) stimulation and enhance GR's anti-inflammatory effects. This mechanism is similar to that of 'dissociated' GR ligands and may guide drug development that aims to reduce side effects while retaining the clinical benefits of glucocorticoid treatment.

求助全文
通过发布文献求助,成功后即可免费获取论文全文。 去求助
来源期刊
Journal of Endocrinology
Journal of Endocrinology 医学-内分泌学与代谢
CiteScore
7.90
自引率
2.50%
发文量
113
审稿时长
4-8 weeks
期刊介绍: Journal of Endocrinology is a leading global journal that publishes original research articles, reviews and science guidelines. Its focus is on endocrine physiology and metabolism, including hormone secretion; hormone action; biological effects. The journal publishes basic and translational studies at the organ, tissue and whole organism level.
×
引用
GB/T 7714-2015
复制
MLA
复制
APA
复制
导出至
BibTeX EndNote RefMan NoteFirst NoteExpress
×
提示
您的信息不完整,为了账户安全,请先补充。
现在去补充
×
提示
您因"违规操作"
具体请查看互助需知
我知道了
×
提示
确定
请完成安全验证×
copy
已复制链接
快去分享给好友吧!
我知道了
右上角分享
点击右上角分享
0
联系我们:info@booksci.cn Book学术提供免费学术资源搜索服务,方便国内外学者检索中英文文献。致力于提供最便捷和优质的服务体验。 Copyright © 2023 布克学术 All rights reserved.
京ICP备2023020795号-1
ghs 京公网安备 11010802042870号
Book学术文献互助
Book学术文献互助群
群 号:604180095
Book学术官方微信