孤立的双侧小脑功能障碍作为HIV感染的初始表现:诊断挑战,病例报告和文献综述。

IF 2.4 3区 医学 Q3 NEUROSCIENCES
Ritwick Mondal, Shramana Deb, Ananya Sengupta, Subhadeep Banerjee, Nirmalya Ray, Mona Tiwari, Jayanta Roy, Julián Benito-León
{"title":"孤立的双侧小脑功能障碍作为HIV感染的初始表现:诊断挑战,病例报告和文献综述。","authors":"Ritwick Mondal, Shramana Deb, Ananya Sengupta, Subhadeep Banerjee, Nirmalya Ray, Mona Tiwari, Jayanta Roy, Julián Benito-León","doi":"10.1007/s12311-025-01861-8","DOIUrl":null,"url":null,"abstract":"","PeriodicalId":50706,"journal":{"name":"Cerebellum","volume":"24 4","pages":"117"},"PeriodicalIF":2.4000,"publicationDate":"2025-06-18","publicationTypes":"Journal Article","fieldsOfStudy":null,"isOpenAccess":false,"openAccessPdf":"https://www.ncbi.nlm.nih.gov/pmc/articles/PMC12177021/pdf/","citationCount":"0","resultStr":"{\"title\":\"Isolated Bilateral Cerebellar Dysfunction as the Initial Manifestation of HIV Infection: A Diagnostic Challenge, Case Report, and Literature Review.\",\"authors\":\"Ritwick Mondal, Shramana Deb, Ananya Sengupta, Subhadeep Banerjee, Nirmalya Ray, Mona Tiwari, Jayanta Roy, Julián Benito-León\",\"doi\":\"10.1007/s12311-025-01861-8\",\"DOIUrl\":null,\"url\":null,\"abstract\":\"\",\"PeriodicalId\":50706,\"journal\":{\"name\":\"Cerebellum\",\"volume\":\"24 4\",\"pages\":\"117\"},\"PeriodicalIF\":2.4000,\"publicationDate\":\"2025-06-18\",\"publicationTypes\":\"Journal Article\",\"fieldsOfStudy\":null,\"isOpenAccess\":false,\"openAccessPdf\":\"https://www.ncbi.nlm.nih.gov/pmc/articles/PMC12177021/pdf/\",\"citationCount\":\"0\",\"resultStr\":null,\"platform\":\"Semanticscholar\",\"paperid\":null,\"PeriodicalName\":\"Cerebellum\",\"FirstCategoryId\":\"3\",\"ListUrlMain\":\"https://doi.org/10.1007/s12311-025-01861-8\",\"RegionNum\":3,\"RegionCategory\":\"医学\",\"ArticlePicture\":[],\"TitleCN\":null,\"AbstractTextCN\":null,\"PMCID\":null,\"EPubDate\":\"\",\"PubModel\":\"\",\"JCR\":\"Q3\",\"JCRName\":\"NEUROSCIENCES\",\"Score\":null,\"Total\":0}","platform":"Semanticscholar","paperid":null,"PeriodicalName":"Cerebellum","FirstCategoryId":"3","ListUrlMain":"https://doi.org/10.1007/s12311-025-01861-8","RegionNum":3,"RegionCategory":"医学","ArticlePicture":[],"TitleCN":null,"AbstractTextCN":null,"PMCID":null,"EPubDate":"","PubModel":"","JCR":"Q3","JCRName":"NEUROSCIENCES","Score":null,"Total":0}
引用次数: 0

摘要

本文章由计算机程序翻译,如有差异,请以英文原文为准。

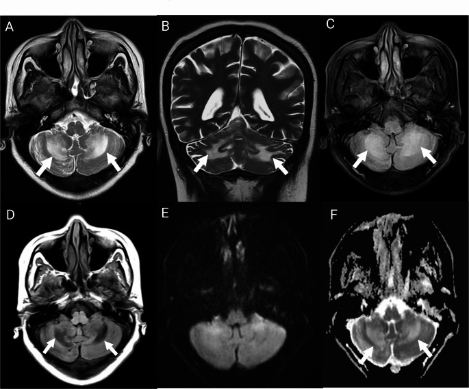
Isolated Bilateral Cerebellar Dysfunction as the Initial Manifestation of HIV Infection: A Diagnostic Challenge, Case Report, and Literature Review.

Isolated Bilateral Cerebellar Dysfunction as the Initial Manifestation of HIV Infection: A Diagnostic Challenge, Case Report, and Literature Review.
求助全文
通过发布文献求助,成功后即可免费获取论文全文。 去求助
来源期刊
Cerebellum
Cerebellum 医学-神经科学
CiteScore
6.40
自引率
14.30%
发文量
150
审稿时长
4-8 weeks
期刊介绍: Official publication of the Society for Research on the Cerebellum devoted to genetics of cerebellar ataxias, role of cerebellum in motor control and cognitive function, and amid an ageing population, diseases associated with cerebellar dysfunction. The Cerebellum is a central source for the latest developments in fundamental neurosciences including molecular and cellular biology; behavioural neurosciences and neurochemistry; genetics; fundamental and clinical neurophysiology; neurology and neuropathology; cognition and neuroimaging. The Cerebellum benefits neuroscientists in molecular and cellular biology; neurophysiologists; researchers in neurotransmission; neurologists; radiologists; paediatricians; neuropsychologists; students of neurology and psychiatry and others.
×
引用
GB/T 7714-2015
复制
MLA
复制
APA
复制
导出至
BibTeX EndNote RefMan NoteFirst NoteExpress
×
提示
您的信息不完整,为了账户安全,请先补充。
现在去补充
×
提示
您因"违规操作"
具体请查看互助需知
我知道了
×
提示
确定
请完成安全验证×
copy
已复制链接
快去分享给好友吧!
我知道了
右上角分享
点击右上角分享
0
联系我们:info@booksci.cn Book学术提供免费学术资源搜索服务,方便国内外学者检索中英文文献。致力于提供最便捷和优质的服务体验。 Copyright © 2023 布克学术 All rights reserved.
京ICP备2023020795号-1
ghs 京公网安备 11010802042870号
Book学术文献互助
Book学术文献互助群
群 号:604180095
Book学术官方微信