单体AFX2与分体ALTO腔内系统修复狭窄主动脉分叉患者血管内动脉瘤的比较研究。

IF 0.6 Q4 PERIPHERAL VASCULAR DISEASE
Annals of vascular diseases Pub Date : 2025-01-01 Epub Date: 2025-06-14 DOI:10.3400/avd.oa.25-00027
Nikolaos Kontopodis, Michalis Pesmatzoglou, Ifigeneia Tzartzalou, Konstantinos Litinas, George Tzouliadakis, Nikolaos Galanakis, Elias Kehagias, Christos Ioannou
{"title":"单体AFX2与分体ALTO腔内系统修复狭窄主动脉分叉患者血管内动脉瘤的比较研究。","authors":"Nikolaos Kontopodis, Michalis Pesmatzoglou, Ifigeneia Tzartzalou, Konstantinos Litinas, George Tzouliadakis, Nikolaos Galanakis, Elias Kehagias, Christos Ioannou","doi":"10.3400/avd.oa.25-00027","DOIUrl":null,"url":null,"abstract":"<p><p><b>Objectives:</b> A narrow aortic bifurcation poses technical challenges during endovascular aneurysm repair (EVAR). We aim to compare the unibody AFX2 (Endologix, Irvine, CA, USA) vs the bifurcated ALTO (Endologix) system in EVAR patients with a narrow bifurcation. <b>Methods:</b> Retrospective single-center study, including patients undergoing standard EVAR over 3 years. Patients with a bifurcation diameter <20 mm were identified, and outcomes were compared between the AFX2 and ALTO groups. Primary endpoints were primary and overall technical success, primary and overall clinical success, rate of adverse limb events, rate of limb occlusion, and need for secondary interventions. The analysis was repeated using a diameter threshold of <18 mm. <b>Results:</b> Among 151 cases, 26 presented with bifurcations <20 mm and 12 with <18 mm. In the primary analysis, 15 patients were treated with the AFX2 and 11 with the ALTO endograft. Both groups achieved 100% technical and clinical success. No limb occlusions occurred, and no reinterventions were recorded. Preoperative anatomy was suitable for ALTO in all cases, while eligibility for AFX2 was 15 out of 26 cases. Secondary analysis displayed similar results. <b>Conclusions:</b> In patients with narrow aortic bifurcation, the AFX2 endograft can be safely used when appropriate anatomic conditions are met. If the AFX2 system is unsuitable due to other anatomic restrictions, the ALTO endograft is a viable alternative.</p>","PeriodicalId":7995,"journal":{"name":"Annals of vascular diseases","volume":"18 1","pages":""},"PeriodicalIF":0.6000,"publicationDate":"2025-01-01","publicationTypes":"Journal Article","fieldsOfStudy":null,"isOpenAccess":false,"openAccessPdf":"https://www.ncbi.nlm.nih.gov/pmc/articles/PMC12170096/pdf/","citationCount":"0","resultStr":"{\"title\":\"Comparative Study of Endovascular Aneurysm Repair in Patients with Narrow Aortic Bifurcation Using the Unibody AFX2 vs the Bifurcated ALTO Endoluminal System.\",\"authors\":\"Nikolaos Kontopodis, Michalis Pesmatzoglou, Ifigeneia Tzartzalou, Konstantinos Litinas, George Tzouliadakis, Nikolaos Galanakis, Elias Kehagias, Christos Ioannou\",\"doi\":\"10.3400/avd.oa.25-00027\",\"DOIUrl\":null,\"url\":null,\"abstract\":\"<p><p><b>Objectives:</b> A narrow aortic bifurcation poses technical challenges during endovascular aneurysm repair (EVAR). We aim to compare the unibody AFX2 (Endologix, Irvine, CA, USA) vs the bifurcated ALTO (Endologix) system in EVAR patients with a narrow bifurcation. <b>Methods:</b> Retrospective single-center study, including patients undergoing standard EVAR over 3 years. Patients with a bifurcation diameter <20 mm were identified, and outcomes were compared between the AFX2 and ALTO groups. Primary endpoints were primary and overall technical success, primary and overall clinical success, rate of adverse limb events, rate of limb occlusion, and need for secondary interventions. The analysis was repeated using a diameter threshold of <18 mm. <b>Results:</b> Among 151 cases, 26 presented with bifurcations <20 mm and 12 with <18 mm. In the primary analysis, 15 patients were treated with the AFX2 and 11 with the ALTO endograft. Both groups achieved 100% technical and clinical success. No limb occlusions occurred, and no reinterventions were recorded. Preoperative anatomy was suitable for ALTO in all cases, while eligibility for AFX2 was 15 out of 26 cases. Secondary analysis displayed similar results. <b>Conclusions:</b> In patients with narrow aortic bifurcation, the AFX2 endograft can be safely used when appropriate anatomic conditions are met. If the AFX2 system is unsuitable due to other anatomic restrictions, the ALTO endograft is a viable alternative.</p>\",\"PeriodicalId\":7995,\"journal\":{\"name\":\"Annals of vascular diseases\",\"volume\":\"18 1\",\"pages\":\"\"},\"PeriodicalIF\":0.6000,\"publicationDate\":\"2025-01-01\",\"publicationTypes\":\"Journal Article\",\"fieldsOfStudy\":null,\"isOpenAccess\":false,\"openAccessPdf\":\"https://www.ncbi.nlm.nih.gov/pmc/articles/PMC12170096/pdf/\",\"citationCount\":\"0\",\"resultStr\":null,\"platform\":\"Semanticscholar\",\"paperid\":null,\"PeriodicalName\":\"Annals of vascular diseases\",\"FirstCategoryId\":\"1085\",\"ListUrlMain\":\"https://doi.org/10.3400/avd.oa.25-00027\",\"RegionNum\":0,\"RegionCategory\":null,\"ArticlePicture\":[],\"TitleCN\":null,\"AbstractTextCN\":null,\"PMCID\":null,\"EPubDate\":\"2025/6/14 0:00:00\",\"PubModel\":\"Epub\",\"JCR\":\"Q4\",\"JCRName\":\"PERIPHERAL VASCULAR DISEASE\",\"Score\":null,\"Total\":0}","platform":"Semanticscholar","paperid":null,"PeriodicalName":"Annals of vascular diseases","FirstCategoryId":"1085","ListUrlMain":"https://doi.org/10.3400/avd.oa.25-00027","RegionNum":0,"RegionCategory":null,"ArticlePicture":[],"TitleCN":null,"AbstractTextCN":null,"PMCID":null,"EPubDate":"2025/6/14 0:00:00","PubModel":"Epub","JCR":"Q4","JCRName":"PERIPHERAL VASCULAR DISEASE","Score":null,"Total":0}
引用次数: 0

摘要

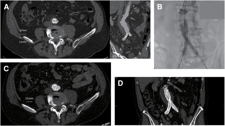
目的:狭窄的主动脉分叉对血管内动脉瘤修复(EVAR)提出了技术挑战。我们的目标是比较单体AFX2 (Endologix, Irvine, CA, USA)和分岔ALTO (Endologix)系统在狭窄分岔的EVAR患者中的应用。方法:回顾性单中心研究,纳入3年以上标准EVAR患者。结果:151例患者中有26例出现主动脉分叉。结论:对于主动脉分叉狭窄的患者,在满足解剖条件的情况下,可以安全使用AFX2内移植物。如果由于其他解剖限制,AFX2系统不适合,ALTO内移植物是一个可行的选择。
本文章由计算机程序翻译,如有差异,请以英文原文为准。

Comparative Study of Endovascular Aneurysm Repair in Patients with Narrow Aortic Bifurcation Using the Unibody AFX2 vs the Bifurcated ALTO Endoluminal System.

Comparative Study of Endovascular Aneurysm Repair in Patients with Narrow Aortic Bifurcation Using the Unibody AFX2 vs the Bifurcated ALTO Endoluminal System.

Objectives: A narrow aortic bifurcation poses technical challenges during endovascular aneurysm repair (EVAR). We aim to compare the unibody AFX2 (Endologix, Irvine, CA, USA) vs the bifurcated ALTO (Endologix) system in EVAR patients with a narrow bifurcation. Methods: Retrospective single-center study, including patients undergoing standard EVAR over 3 years. Patients with a bifurcation diameter <20 mm were identified, and outcomes were compared between the AFX2 and ALTO groups. Primary endpoints were primary and overall technical success, primary and overall clinical success, rate of adverse limb events, rate of limb occlusion, and need for secondary interventions. The analysis was repeated using a diameter threshold of <18 mm. Results: Among 151 cases, 26 presented with bifurcations <20 mm and 12 with <18 mm. In the primary analysis, 15 patients were treated with the AFX2 and 11 with the ALTO endograft. Both groups achieved 100% technical and clinical success. No limb occlusions occurred, and no reinterventions were recorded. Preoperative anatomy was suitable for ALTO in all cases, while eligibility for AFX2 was 15 out of 26 cases. Secondary analysis displayed similar results. Conclusions: In patients with narrow aortic bifurcation, the AFX2 endograft can be safely used when appropriate anatomic conditions are met. If the AFX2 system is unsuitable due to other anatomic restrictions, the ALTO endograft is a viable alternative.

求助全文
通过发布文献求助,成功后即可免费获取论文全文。 去求助
来源期刊
Annals of vascular diseases
Annals of vascular diseases PERIPHERAL VASCULAR DISEASE-
自引率
0.00%
发文量
41
×
引用
GB/T 7714-2015
复制
MLA
复制
APA
复制
导出至
BibTeX EndNote RefMan NoteFirst NoteExpress
×
提示
您的信息不完整,为了账户安全,请先补充。
现在去补充
×
提示
您因"违规操作"
具体请查看互助需知
我知道了
×
提示
确定
请完成安全验证×
copy
已复制链接
快去分享给好友吧!
我知道了
右上角分享
点击右上角分享
0
联系我们:info@booksci.cn Book学术提供免费学术资源搜索服务,方便国内外学者检索中英文文献。致力于提供最便捷和优质的服务体验。 Copyright © 2023 布克学术 All rights reserved.
京ICP备2023020795号-1
ghs 京公网安备 11010802042870号
Book学术文献互助
Book学术文献互助群
群 号:604180095
Book学术官方微信