赞比亚胃癌上皮细胞钙粘蛋白表达缺失分析。

Medical journal of Zambia Pub Date : 2025-01-01 Epub Date: 2025-02-06
Vutisa Dokowe, Mupeta Songwe, Chibamba Mumba, Violet Kayamba
{"title":"赞比亚胃癌上皮细胞钙粘蛋白表达缺失分析。","authors":"Vutisa Dokowe, Mupeta Songwe, Chibamba Mumba, Violet Kayamba","doi":"","DOIUrl":null,"url":null,"abstract":"<p><strong>Background: </strong>Gastric cancer (GC) is the one of the most common cancers globally and can be classified as diffuse, intestinal or mixed. Epithelial-cadherin (E-cadherin) is a transmembrane glycoprotein which plays a role in maintaining cell shape and extracellular matrix and its loss or reduction has been observed in gastric carcinogenesis. The aim of the study was to determine the proportion of loss of E-cadherin expression in GC.</p><p><strong>Methods: </strong>Archival formalin fixed paraffin embedded GC tissues and their basic characteristics were retrieved from the histopathology laboratory at the University Teaching Hospital in Lusaka. Sections of the tissue were stained with haematoxylin and eosin to allow for typing of the GC and immunohistochemically stained with an antibody against E-cadherin. Data analysis was conducted using Stata version 15.</p><p><strong>Results: </strong>We successfully stained 31 archival GC tissues after excluding those not meeting quality checks. Among the samples included, 18 (58%) were from females. The median age was 51 years, IQR 40-68. Overall, 11 (36%) showed loss of E-cadherin expression. Young age was associated with E-cadherin loss (p=0.02). Histologically, 10 (32%) of the GC were of the diffuse type, 18 (58%) intestinal type and 3 (10%) mixed type. E-cadherin loss was significantly higher in diffuse type 7 (70%) than the Intestinal 2 (18%) or 2 (67%) the mixed types (p=0.003). In multivariable analysis, the difference remained significant (p=0.041). The proportion of E-cadherin loss was higher in tumours located in the cardia, 57%, when compared to those that were non-cardia in location, 29%, but the difference was not statistically significant [OR 3.2; 95% CI 0.4-27, p=0.21].</p><p><strong>Conclusions: </strong>Loss of E-cadherin expression is associated with a younger age at diagnosis and with diffuse type gastric cancer. Results from this study could contribute toward patient prognostication and possibly influence therapeutic choices for GC patients in Zambia.</p>","PeriodicalId":74149,"journal":{"name":"Medical journal of Zambia","volume":"52 3","pages":"290-297"},"PeriodicalIF":0.0000,"publicationDate":"2025-01-01","publicationTypes":"Journal Article","fieldsOfStudy":null,"isOpenAccess":false,"openAccessPdf":"https://www.ncbi.nlm.nih.gov/pmc/articles/PMC12165256/pdf/","citationCount":"0","resultStr":"{\"title\":\"Analysis of the loss of Epithelial Cadherin expression in gastric cancer in Zambia.\",\"authors\":\"Vutisa Dokowe, Mupeta Songwe, Chibamba Mumba, Violet Kayamba\",\"doi\":\"\",\"DOIUrl\":null,\"url\":null,\"abstract\":\"<p><strong>Background: </strong>Gastric cancer (GC) is the one of the most common cancers globally and can be classified as diffuse, intestinal or mixed. Epithelial-cadherin (E-cadherin) is a transmembrane glycoprotein which plays a role in maintaining cell shape and extracellular matrix and its loss or reduction has been observed in gastric carcinogenesis. The aim of the study was to determine the proportion of loss of E-cadherin expression in GC.</p><p><strong>Methods: </strong>Archival formalin fixed paraffin embedded GC tissues and their basic characteristics were retrieved from the histopathology laboratory at the University Teaching Hospital in Lusaka. Sections of the tissue were stained with haematoxylin and eosin to allow for typing of the GC and immunohistochemically stained with an antibody against E-cadherin. Data analysis was conducted using Stata version 15.</p><p><strong>Results: </strong>We successfully stained 31 archival GC tissues after excluding those not meeting quality checks. Among the samples included, 18 (58%) were from females. The median age was 51 years, IQR 40-68. Overall, 11 (36%) showed loss of E-cadherin expression. Young age was associated with E-cadherin loss (p=0.02). Histologically, 10 (32%) of the GC were of the diffuse type, 18 (58%) intestinal type and 3 (10%) mixed type. E-cadherin loss was significantly higher in diffuse type 7 (70%) than the Intestinal 2 (18%) or 2 (67%) the mixed types (p=0.003). In multivariable analysis, the difference remained significant (p=0.041). The proportion of E-cadherin loss was higher in tumours located in the cardia, 57%, when compared to those that were non-cardia in location, 29%, but the difference was not statistically significant [OR 3.2; 95% CI 0.4-27, p=0.21].</p><p><strong>Conclusions: </strong>Loss of E-cadherin expression is associated with a younger age at diagnosis and with diffuse type gastric cancer. Results from this study could contribute toward patient prognostication and possibly influence therapeutic choices for GC patients in Zambia.</p>\",\"PeriodicalId\":74149,\"journal\":{\"name\":\"Medical journal of Zambia\",\"volume\":\"52 3\",\"pages\":\"290-297\"},\"PeriodicalIF\":0.0000,\"publicationDate\":\"2025-01-01\",\"publicationTypes\":\"Journal Article\",\"fieldsOfStudy\":null,\"isOpenAccess\":false,\"openAccessPdf\":\"https://www.ncbi.nlm.nih.gov/pmc/articles/PMC12165256/pdf/\",\"citationCount\":\"0\",\"resultStr\":null,\"platform\":\"Semanticscholar\",\"paperid\":null,\"PeriodicalName\":\"Medical journal of Zambia\",\"FirstCategoryId\":\"1085\",\"ListUrlMain\":\"\",\"RegionNum\":0,\"RegionCategory\":null,\"ArticlePicture\":[],\"TitleCN\":null,\"AbstractTextCN\":null,\"PMCID\":null,\"EPubDate\":\"2025/2/6 0:00:00\",\"PubModel\":\"Epub\",\"JCR\":\"\",\"JCRName\":\"\",\"Score\":null,\"Total\":0}","platform":"Semanticscholar","paperid":null,"PeriodicalName":"Medical journal of Zambia","FirstCategoryId":"1085","ListUrlMain":"","RegionNum":0,"RegionCategory":null,"ArticlePicture":[],"TitleCN":null,"AbstractTextCN":null,"PMCID":null,"EPubDate":"2025/2/6 0:00:00","PubModel":"Epub","JCR":"","JCRName":"","Score":null,"Total":0}
引用次数: 0

摘要

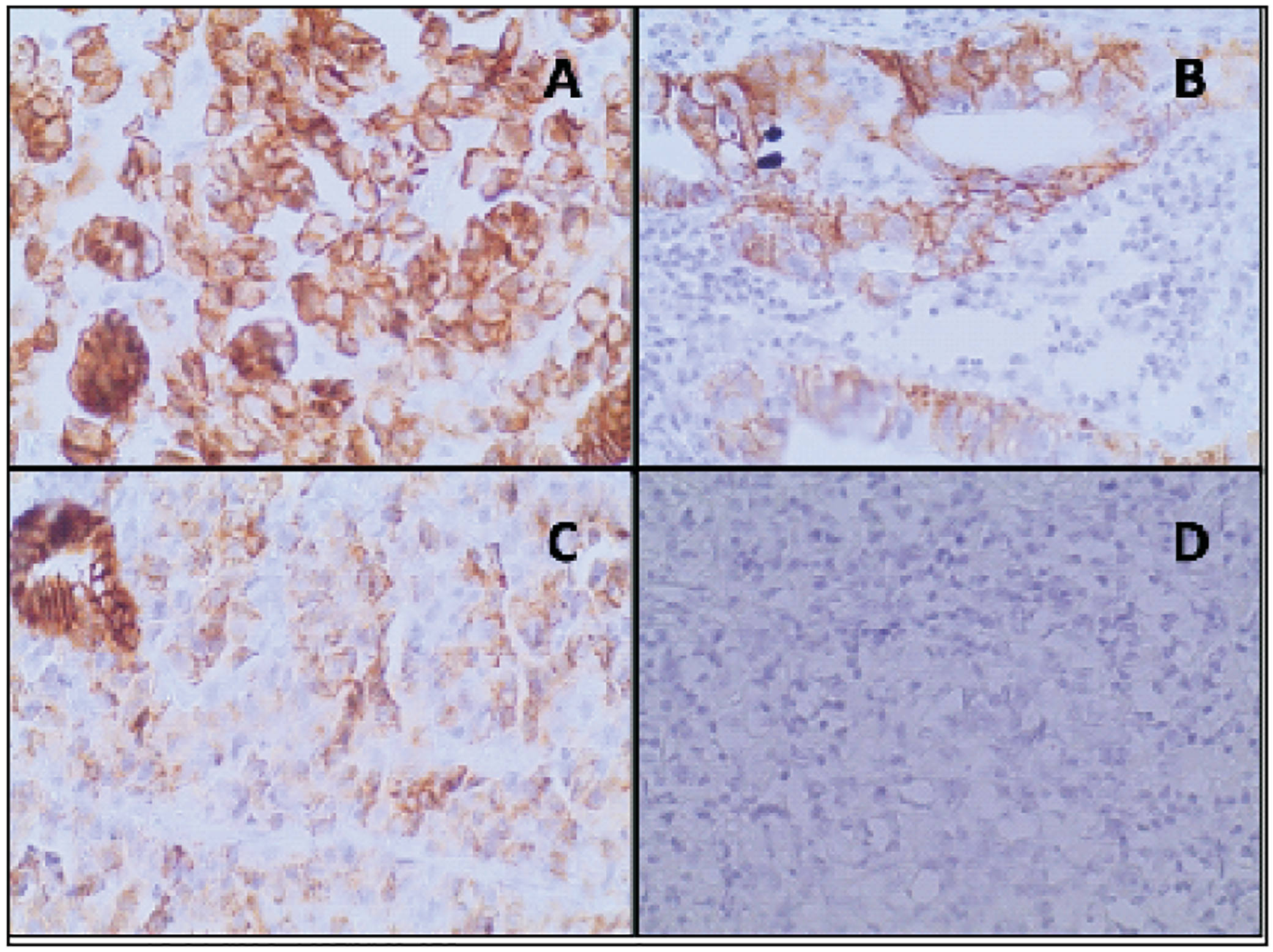
背景:胃癌(Gastric cancer, GC)是全球最常见的肿瘤之一,可分为弥漫性、肠性和混合性。上皮钙粘蛋白(E-cadherin)是一种跨膜糖蛋白,在维持细胞形状和细胞外基质中起作用,在胃癌发生过程中已观察到其丢失或减少。本研究的目的是确定E-cadherin在GC中表达缺失的比例。方法:从卢萨卡大学教学医院组织病理学实验室检索归档的福尔马林固定石蜡包埋GC组织及其基本特征。组织切片用血红素和伊红染色,以便对GC进行分型,并用E-cadherin抗体进行免疫组织化学染色。数据分析使用Stata version 15进行。结果:剔除质量不合格的组织,成功染色31份。在所包括的样本中,有18个(58%)来自女性。中位年龄51岁,IQR 40-68岁。总体而言,11例(36%)显示E-cadherin表达缺失。年龄小与e -钙粘蛋白丢失相关(p=0.02)。组织学上弥漫性胃癌10例(32%),肠型18例(58%),混合型3例(10%)。弥漫性7型E-cadherin损失(70%)明显高于肠型2(18%)和混合型2 (67%)(p=0.003)。在多变量分析中,差异仍然显著(p=0.041)。位于贲门的肿瘤e -钙粘蛋白丢失比例为57%,高于位于非贲门的肿瘤的29%,但差异无统计学意义[OR 3.2;95% CI 0.4 ~ 27, p=0.21]。结论:E-cadherin表达缺失与诊断年龄较轻和弥漫性胃癌相关。本研究的结果可能有助于患者预后,并可能影响赞比亚GC患者的治疗选择。
本文章由计算机程序翻译,如有差异,请以英文原文为准。

Analysis of the loss of Epithelial Cadherin expression in gastric cancer in Zambia.

Analysis of the loss of Epithelial Cadherin expression in gastric cancer in Zambia.

Analysis of the loss of Epithelial Cadherin expression in gastric cancer in Zambia.

Background: Gastric cancer (GC) is the one of the most common cancers globally and can be classified as diffuse, intestinal or mixed. Epithelial-cadherin (E-cadherin) is a transmembrane glycoprotein which plays a role in maintaining cell shape and extracellular matrix and its loss or reduction has been observed in gastric carcinogenesis. The aim of the study was to determine the proportion of loss of E-cadherin expression in GC.

Methods: Archival formalin fixed paraffin embedded GC tissues and their basic characteristics were retrieved from the histopathology laboratory at the University Teaching Hospital in Lusaka. Sections of the tissue were stained with haematoxylin and eosin to allow for typing of the GC and immunohistochemically stained with an antibody against E-cadherin. Data analysis was conducted using Stata version 15.

Results: We successfully stained 31 archival GC tissues after excluding those not meeting quality checks. Among the samples included, 18 (58%) were from females. The median age was 51 years, IQR 40-68. Overall, 11 (36%) showed loss of E-cadherin expression. Young age was associated with E-cadherin loss (p=0.02). Histologically, 10 (32%) of the GC were of the diffuse type, 18 (58%) intestinal type and 3 (10%) mixed type. E-cadherin loss was significantly higher in diffuse type 7 (70%) than the Intestinal 2 (18%) or 2 (67%) the mixed types (p=0.003). In multivariable analysis, the difference remained significant (p=0.041). The proportion of E-cadherin loss was higher in tumours located in the cardia, 57%, when compared to those that were non-cardia in location, 29%, but the difference was not statistically significant [OR 3.2; 95% CI 0.4-27, p=0.21].

Conclusions: Loss of E-cadherin expression is associated with a younger age at diagnosis and with diffuse type gastric cancer. Results from this study could contribute toward patient prognostication and possibly influence therapeutic choices for GC patients in Zambia.

求助全文
通过发布文献求助,成功后即可免费获取论文全文。 去求助
来源期刊
自引率
0.00%
发文量
0
×
引用
GB/T 7714-2015
复制
MLA
复制
APA
复制
导出至
BibTeX EndNote RefMan NoteFirst NoteExpress
×
提示
您的信息不完整,为了账户安全,请先补充。
现在去补充
×
提示
您因"违规操作"
具体请查看互助需知
我知道了
×
提示
确定
请完成安全验证×
copy
已复制链接
快去分享给好友吧!
我知道了
右上角分享
点击右上角分享
0
联系我们:info@booksci.cn Book学术提供免费学术资源搜索服务,方便国内外学者检索中英文文献。致力于提供最便捷和优质的服务体验。 Copyright © 2023 布克学术 All rights reserved.
京ICP备2023020795号-1
ghs 京公网安备 11010802042870号
Book学术文献互助
Book学术文献互助群
群 号:604180095
Book学术官方微信