法洛四联症胎儿CCM2L中的复合杂合功能缺失变异。

IF 1.6 4区 医学 Q4 GENETICS & HEREDITY
Dandan Ling, Wanqin Xie, Xiao Mao, Zhiyu Liu, Yabing Tang, Fanjuan Kong
{"title":"法洛四联症胎儿CCM2L中的复合杂合功能缺失变异。","authors":"Dandan Ling, Wanqin Xie, Xiao Mao, Zhiyu Liu, Yabing Tang, Fanjuan Kong","doi":"10.1002/mgg3.70117","DOIUrl":null,"url":null,"abstract":"<p><strong>Background: </strong>Tetralogy of Fallot (TOF) is the most common cyanotic congenital heart disease. However, our current understanding of the genetic etiology for TOF is limited.</p><p><strong>Methods: </strong>Whole exome sequencing (WES) and Sanger sequencing were applied to a family trio diagnosed with TOF by fetal prenatal ultrasound examination. A minigene assay was performed to confirm the splicing defects.</p><p><strong>Results: </strong>We identified compound heterozygous variants in the cerebral cavernous malformation 2-like (CCM2L) gene, namely the paternally inherited nonsense variant NM_001365692.1:c.741G>A p.(Trp247Ter) and the maternally inherited splice-site variant NM_001365692.1:c.1263+2T>A in a fetus with TOF featuring a ventricular septal defect associated with overriding aorta and pulmonary stenosis. Minigene assay showed that the c.1263+2T>A variant led to skipping of CCM2L exon8 during RNA splicing, which is thought to result in frameshift and premature termination of translation. Both variants were absent from the public population databases (Genome Aggregation Database [gnomAD], 1000 Genomes [1000G], Clinvar) and classified as likely pathogenic according to the ACMG guidelines (PVS1 + PM2 level evidence).</p><p><strong>Conclusion: </strong>To our knowledge, this is the first reported case of biallelic loss-of-function variants in human CCM2L. Our findings suggest a potential association of human CCM2L with TOF.</p>","PeriodicalId":18852,"journal":{"name":"Molecular Genetics & Genomic Medicine","volume":"13 6","pages":"e70117"},"PeriodicalIF":1.6000,"publicationDate":"2025-06-01","publicationTypes":"Journal Article","fieldsOfStudy":null,"isOpenAccess":false,"openAccessPdf":"https://www.ncbi.nlm.nih.gov/pmc/articles/PMC12168162/pdf/","citationCount":"0","resultStr":"{\"title\":\"Compound Heterozygous Loss-of-Function Variants in CCM2L in a Fetus With Tetralogy of Fallot.\",\"authors\":\"Dandan Ling, Wanqin Xie, Xiao Mao, Zhiyu Liu, Yabing Tang, Fanjuan Kong\",\"doi\":\"10.1002/mgg3.70117\",\"DOIUrl\":null,\"url\":null,\"abstract\":\"<p><strong>Background: </strong>Tetralogy of Fallot (TOF) is the most common cyanotic congenital heart disease. However, our current understanding of the genetic etiology for TOF is limited.</p><p><strong>Methods: </strong>Whole exome sequencing (WES) and Sanger sequencing were applied to a family trio diagnosed with TOF by fetal prenatal ultrasound examination. A minigene assay was performed to confirm the splicing defects.</p><p><strong>Results: </strong>We identified compound heterozygous variants in the cerebral cavernous malformation 2-like (CCM2L) gene, namely the paternally inherited nonsense variant NM_001365692.1:c.741G>A p.(Trp247Ter) and the maternally inherited splice-site variant NM_001365692.1:c.1263+2T>A in a fetus with TOF featuring a ventricular septal defect associated with overriding aorta and pulmonary stenosis. Minigene assay showed that the c.1263+2T>A variant led to skipping of CCM2L exon8 during RNA splicing, which is thought to result in frameshift and premature termination of translation. Both variants were absent from the public population databases (Genome Aggregation Database [gnomAD], 1000 Genomes [1000G], Clinvar) and classified as likely pathogenic according to the ACMG guidelines (PVS1 + PM2 level evidence).</p><p><strong>Conclusion: </strong>To our knowledge, this is the first reported case of biallelic loss-of-function variants in human CCM2L. Our findings suggest a potential association of human CCM2L with TOF.</p>\",\"PeriodicalId\":18852,\"journal\":{\"name\":\"Molecular Genetics & Genomic Medicine\",\"volume\":\"13 6\",\"pages\":\"e70117\"},\"PeriodicalIF\":1.6000,\"publicationDate\":\"2025-06-01\",\"publicationTypes\":\"Journal Article\",\"fieldsOfStudy\":null,\"isOpenAccess\":false,\"openAccessPdf\":\"https://www.ncbi.nlm.nih.gov/pmc/articles/PMC12168162/pdf/\",\"citationCount\":\"0\",\"resultStr\":null,\"platform\":\"Semanticscholar\",\"paperid\":null,\"PeriodicalName\":\"Molecular Genetics & Genomic Medicine\",\"FirstCategoryId\":\"3\",\"ListUrlMain\":\"https://doi.org/10.1002/mgg3.70117\",\"RegionNum\":4,\"RegionCategory\":\"医学\",\"ArticlePicture\":[],\"TitleCN\":null,\"AbstractTextCN\":null,\"PMCID\":null,\"EPubDate\":\"\",\"PubModel\":\"\",\"JCR\":\"Q4\",\"JCRName\":\"GENETICS & HEREDITY\",\"Score\":null,\"Total\":0}","platform":"Semanticscholar","paperid":null,"PeriodicalName":"Molecular Genetics & Genomic Medicine","FirstCategoryId":"3","ListUrlMain":"https://doi.org/10.1002/mgg3.70117","RegionNum":4,"RegionCategory":"医学","ArticlePicture":[],"TitleCN":null,"AbstractTextCN":null,"PMCID":null,"EPubDate":"","PubModel":"","JCR":"Q4","JCRName":"GENETICS & HEREDITY","Score":null,"Total":0}
引用次数: 0

摘要

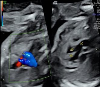
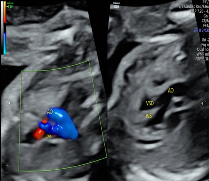
背景:法洛四联症(TOF)是最常见的紫绀型先天性心脏病。然而,我们目前对TOF的遗传病因的了解是有限的。方法:采用全外显子组测序(WES)和Sanger测序对经胎儿产前超声检查诊断为TOF的一家三口进行分析。通过基因分析来确认剪接缺陷。结果:在脑海绵状血管瘤2样(CCM2L)基因中发现了复合杂合变异体,即父本遗传无意义变异体NM_001365692.1:c。741G>A p.(Trp247Ter)和母系遗传剪接位点变异NM_001365692.1:c。1263+2T>A的TOF胎儿表现为室间隔缺损合并覆盖主动脉和肺动脉狭窄。Minigene分析显示,c.1263+2T>A变异导致CCM2L外显子8在RNA剪接过程中发生跳变,这被认为是导致移码和翻译过早终止的原因。这两种变异均未出现在公共人群数据库(Genome Aggregation Database [gnomAD]、1000 Genomes [1000G]、Clinvar)中,并根据ACMG指南(PVS1 + PM2水平证据)被归类为可能致病。结论:据我们所知,这是首次报道的人类CCM2L双等位基因功能丧失变异病例。我们的研究结果表明人类CCM2L与TOF可能存在关联。
本文章由计算机程序翻译,如有差异,请以英文原文为准。

Compound Heterozygous Loss-of-Function Variants in CCM2L in a Fetus With Tetralogy of Fallot.

Compound Heterozygous Loss-of-Function Variants in CCM2L in a Fetus With Tetralogy of Fallot.

Compound Heterozygous Loss-of-Function Variants in CCM2L in a Fetus With Tetralogy of Fallot.

Compound Heterozygous Loss-of-Function Variants in CCM2L in a Fetus With Tetralogy of Fallot.

Background: Tetralogy of Fallot (TOF) is the most common cyanotic congenital heart disease. However, our current understanding of the genetic etiology for TOF is limited.

Methods: Whole exome sequencing (WES) and Sanger sequencing were applied to a family trio diagnosed with TOF by fetal prenatal ultrasound examination. A minigene assay was performed to confirm the splicing defects.

Results: We identified compound heterozygous variants in the cerebral cavernous malformation 2-like (CCM2L) gene, namely the paternally inherited nonsense variant NM_001365692.1:c.741G>A p.(Trp247Ter) and the maternally inherited splice-site variant NM_001365692.1:c.1263+2T>A in a fetus with TOF featuring a ventricular septal defect associated with overriding aorta and pulmonary stenosis. Minigene assay showed that the c.1263+2T>A variant led to skipping of CCM2L exon8 during RNA splicing, which is thought to result in frameshift and premature termination of translation. Both variants were absent from the public population databases (Genome Aggregation Database [gnomAD], 1000 Genomes [1000G], Clinvar) and classified as likely pathogenic according to the ACMG guidelines (PVS1 + PM2 level evidence).

Conclusion: To our knowledge, this is the first reported case of biallelic loss-of-function variants in human CCM2L. Our findings suggest a potential association of human CCM2L with TOF.

求助全文
通过发布文献求助,成功后即可免费获取论文全文。 去求助
来源期刊
Molecular Genetics & Genomic Medicine
Molecular Genetics & Genomic Medicine Biochemistry, Genetics and Molecular Biology-Genetics
CiteScore
4.20
自引率
0.00%
发文量
241
审稿时长
14 weeks
期刊介绍: Molecular Genetics & Genomic Medicine is a peer-reviewed journal for rapid dissemination of quality research related to the dynamically developing areas of human, molecular and medical genetics. The journal publishes original research articles covering findings in phenotypic, molecular, biological, and genomic aspects of genomic variation, inherited disorders and birth defects. The broad publishing spectrum of Molecular Genetics & Genomic Medicine includes rare and common disorders from diagnosis to treatment. Examples of appropriate articles include reports of novel disease genes, functional studies of genetic variants, in-depth genotype-phenotype studies, genomic analysis of inherited disorders, molecular diagnostic methods, medical bioinformatics, ethical, legal, and social implications (ELSI), and approaches to clinical diagnosis. Molecular Genetics & Genomic Medicine provides a scientific home for next generation sequencing studies of rare and common disorders, which will make research in this fascinating area easily and rapidly accessible to the scientific community. This will serve as the basis for translating next generation sequencing studies into individualized diagnostics and therapeutics, for day-to-day medical care. Molecular Genetics & Genomic Medicine publishes original research articles, reviews, and research methods papers, along with invited editorials and commentaries. Original research papers must report well-conducted research with conclusions supported by the data presented.
×
引用
GB/T 7714-2015
复制
MLA
复制
APA
复制
导出至
BibTeX EndNote RefMan NoteFirst NoteExpress
×
提示
您的信息不完整,为了账户安全,请先补充。
现在去补充
×
提示
您因"违规操作"
具体请查看互助需知
我知道了
×
提示
确定
请完成安全验证×
copy
已复制链接
快去分享给好友吧!
我知道了
右上角分享
点击右上角分享
0
联系我们:info@booksci.cn Book学术提供免费学术资源搜索服务,方便国内外学者检索中英文文献。致力于提供最便捷和优质的服务体验。 Copyright © 2023 布克学术 All rights reserved.
京ICP备2023020795号-1
ghs 京公网安备 11010802042870号
Book学术文献互助
Book学术文献互助群
群 号:604180095
Book学术官方微信