超声引导下直肌鞘阻滞后的大血肿。

IF 1.9 Q3 ANESTHESIOLOGY
Local and Regional Anesthesia Pub Date : 2025-06-09 eCollection Date: 2025-01-01 DOI:10.2147/LRA.S511201
Toshie Shiraishi
{"title":"超声引导下直肌鞘阻滞后的大血肿。","authors":"Toshie Shiraishi","doi":"10.2147/LRA.S511201","DOIUrl":null,"url":null,"abstract":"<p><strong>Purpose: </strong>Rectus sheath block is a commonly used nerve block to reduce pain from abdominal surgery. Although hematoma complications due to vascular injury during nerve block is rare, it remains an important consideration, particularly in cases requiring the use of antithrombogenic agents. In rectus sheath block, anesthesiologists are aware that major vessels subject to needle puncture injury during the procedure include the inferior epigastric artery (IEA) and inferior epigastric vein (IEV). However, increasing use of ultrasound-guided block has resulted in a decrease in significant bleeding risk, including in patients taking antithrombogenic agents. We recently experienced a large subcutaneous hematoma (430 mL) after rectus sheath block. In this case report, we describe the clinical course of the hematoma and discuss its cause and the possible vessels involved, including the IEA and IEV, and branches such as the superior epigastric arteries and veins.</p><p><strong>Case presentation: </strong>A 40-year-old female underwent bilateral ultrasound-guided rectus sheath block and transversus abdominis block following laparoscopic cholecystectomy. After the operation, a large, painful hematoma was identified with a volume estimated at 430 mL. Investigation of the bleeding site by CT scan showed that the hematoma was subcutaneous and in an area with multiple venous and arterial branches. Identification of the responsible vessel appeared difficult; however, on discussion with the radiologist, bleeding from a cutaneous (or deeper) vessel from the block or surgical (trocar or needle) injury was included in the different diagnosis. The superficial epigastric artery was considered the most probable source because it was the closest to the hematoma.</p><p><strong>Conclusion: </strong>Although the IEA and IEV are the major candidates for vascular injury in rectus sheath block, clinicians should recognize that the SEA can also be injured during rectus sheath block procedures.</p>","PeriodicalId":18203,"journal":{"name":"Local and Regional Anesthesia","volume":"18 ","pages":"39-44"},"PeriodicalIF":1.9000,"publicationDate":"2025-06-09","publicationTypes":"Journal Article","fieldsOfStudy":null,"isOpenAccess":false,"openAccessPdf":"https://www.ncbi.nlm.nih.gov/pmc/articles/PMC12164880/pdf/","citationCount":"0","resultStr":"{\"title\":\"Large Hematoma Following Ultrasound-Guided Rectus Sheath Block.\",\"authors\":\"Toshie Shiraishi\",\"doi\":\"10.2147/LRA.S511201\",\"DOIUrl\":null,\"url\":null,\"abstract\":\"<p><strong>Purpose: </strong>Rectus sheath block is a commonly used nerve block to reduce pain from abdominal surgery. Although hematoma complications due to vascular injury during nerve block is rare, it remains an important consideration, particularly in cases requiring the use of antithrombogenic agents. In rectus sheath block, anesthesiologists are aware that major vessels subject to needle puncture injury during the procedure include the inferior epigastric artery (IEA) and inferior epigastric vein (IEV). However, increasing use of ultrasound-guided block has resulted in a decrease in significant bleeding risk, including in patients taking antithrombogenic agents. We recently experienced a large subcutaneous hematoma (430 mL) after rectus sheath block. In this case report, we describe the clinical course of the hematoma and discuss its cause and the possible vessels involved, including the IEA and IEV, and branches such as the superior epigastric arteries and veins.</p><p><strong>Case presentation: </strong>A 40-year-old female underwent bilateral ultrasound-guided rectus sheath block and transversus abdominis block following laparoscopic cholecystectomy. After the operation, a large, painful hematoma was identified with a volume estimated at 430 mL. Investigation of the bleeding site by CT scan showed that the hematoma was subcutaneous and in an area with multiple venous and arterial branches. Identification of the responsible vessel appeared difficult; however, on discussion with the radiologist, bleeding from a cutaneous (or deeper) vessel from the block or surgical (trocar or needle) injury was included in the different diagnosis. The superficial epigastric artery was considered the most probable source because it was the closest to the hematoma.</p><p><strong>Conclusion: </strong>Although the IEA and IEV are the major candidates for vascular injury in rectus sheath block, clinicians should recognize that the SEA can also be injured during rectus sheath block procedures.</p>\",\"PeriodicalId\":18203,\"journal\":{\"name\":\"Local and Regional Anesthesia\",\"volume\":\"18 \",\"pages\":\"39-44\"},\"PeriodicalIF\":1.9000,\"publicationDate\":\"2025-06-09\",\"publicationTypes\":\"Journal Article\",\"fieldsOfStudy\":null,\"isOpenAccess\":false,\"openAccessPdf\":\"https://www.ncbi.nlm.nih.gov/pmc/articles/PMC12164880/pdf/\",\"citationCount\":\"0\",\"resultStr\":null,\"platform\":\"Semanticscholar\",\"paperid\":null,\"PeriodicalName\":\"Local and Regional Anesthesia\",\"FirstCategoryId\":\"1085\",\"ListUrlMain\":\"https://doi.org/10.2147/LRA.S511201\",\"RegionNum\":0,\"RegionCategory\":null,\"ArticlePicture\":[],\"TitleCN\":null,\"AbstractTextCN\":null,\"PMCID\":null,\"EPubDate\":\"2025/1/1 0:00:00\",\"PubModel\":\"eCollection\",\"JCR\":\"Q3\",\"JCRName\":\"ANESTHESIOLOGY\",\"Score\":null,\"Total\":0}","platform":"Semanticscholar","paperid":null,"PeriodicalName":"Local and Regional Anesthesia","FirstCategoryId":"1085","ListUrlMain":"https://doi.org/10.2147/LRA.S511201","RegionNum":0,"RegionCategory":null,"ArticlePicture":[],"TitleCN":null,"AbstractTextCN":null,"PMCID":null,"EPubDate":"2025/1/1 0:00:00","PubModel":"eCollection","JCR":"Q3","JCRName":"ANESTHESIOLOGY","Score":null,"Total":0}
引用次数: 0

摘要

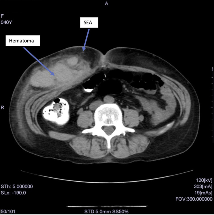
目的:直肌鞘阻滞是一种常用的减轻腹部手术疼痛的神经阻滞方法。虽然在神经阻滞过程中由于血管损伤引起的血肿并发症是罕见的,但它仍然是一个重要的考虑因素,特别是在需要使用抗血栓药物的情况下。在直肌鞘阻滞中,麻醉师知道在手术过程中受针刺伤的主要血管包括腹壁下动脉(IEA)和腹壁下静脉(IEV)。然而,越来越多地使用超声引导阻滞导致显著出血风险的降低,包括服用抗血栓形成药物的患者。我们最近经历了一个大的皮下血肿(430毫升)后,直肌鞘阻滞。在本病例报告中,我们描述了血肿的临床过程,并讨论了其原因和可能涉及的血管,包括IEA和IEV,以及分支,如腹壁上动脉和静脉。病例介绍:一位40岁女性在腹腔镜胆囊切除术后行双侧超声引导下的腹直肌鞘阻滞和腹横阻滞。术后发现血肿大,疼痛,体积约430 mL。CT检查出血部位显示血肿位于皮下,有多静脉和动脉分支。确定责任船似乎很困难;然而,在与放射科医生讨论后,由于阻塞或手术(套管针或针)损伤引起的皮肤(或更深)血管出血被包括在不同的诊断中。腹壁浅动脉被认为是最可能的来源,因为它是最接近血肿。结论:虽然在直肌鞘阻滞中,IEA和IEV是血管损伤的主要原因,但临床医生应该认识到SEA也可能在直肌鞘阻滞过程中受到损伤。
本文章由计算机程序翻译,如有差异,请以英文原文为准。

Large Hematoma Following Ultrasound-Guided Rectus Sheath Block.

Large Hematoma Following Ultrasound-Guided Rectus Sheath Block.

Large Hematoma Following Ultrasound-Guided Rectus Sheath Block.

Large Hematoma Following Ultrasound-Guided Rectus Sheath Block.

Purpose: Rectus sheath block is a commonly used nerve block to reduce pain from abdominal surgery. Although hematoma complications due to vascular injury during nerve block is rare, it remains an important consideration, particularly in cases requiring the use of antithrombogenic agents. In rectus sheath block, anesthesiologists are aware that major vessels subject to needle puncture injury during the procedure include the inferior epigastric artery (IEA) and inferior epigastric vein (IEV). However, increasing use of ultrasound-guided block has resulted in a decrease in significant bleeding risk, including in patients taking antithrombogenic agents. We recently experienced a large subcutaneous hematoma (430 mL) after rectus sheath block. In this case report, we describe the clinical course of the hematoma and discuss its cause and the possible vessels involved, including the IEA and IEV, and branches such as the superior epigastric arteries and veins.

Case presentation: A 40-year-old female underwent bilateral ultrasound-guided rectus sheath block and transversus abdominis block following laparoscopic cholecystectomy. After the operation, a large, painful hematoma was identified with a volume estimated at 430 mL. Investigation of the bleeding site by CT scan showed that the hematoma was subcutaneous and in an area with multiple venous and arterial branches. Identification of the responsible vessel appeared difficult; however, on discussion with the radiologist, bleeding from a cutaneous (or deeper) vessel from the block or surgical (trocar or needle) injury was included in the different diagnosis. The superficial epigastric artery was considered the most probable source because it was the closest to the hematoma.

Conclusion: Although the IEA and IEV are the major candidates for vascular injury in rectus sheath block, clinicians should recognize that the SEA can also be injured during rectus sheath block procedures.

求助全文
通过发布文献求助,成功后即可免费获取论文全文。 去求助
来源期刊
CiteScore
6.30
自引率
0.00%
发文量
12
审稿时长
16 weeks
×
引用
GB/T 7714-2015
复制
MLA
复制
APA
复制
导出至
BibTeX EndNote RefMan NoteFirst NoteExpress
×
提示
您的信息不完整,为了账户安全,请先补充。
现在去补充
×
提示
您因"违规操作"
具体请查看互助需知
我知道了
×
提示
确定
请完成安全验证×
copy
已复制链接
快去分享给好友吧!
我知道了
右上角分享
点击右上角分享
0
联系我们:info@booksci.cn Book学术提供免费学术资源搜索服务,方便国内外学者检索中英文文献。致力于提供最便捷和优质的服务体验。 Copyright © 2023 布克学术 All rights reserved.
京ICP备2023020795号-1
ghs 京公网安备 11010802042870号
Book学术文献互助
Book学术文献互助群
群 号:604180095
Book学术官方微信