经胸胸腔镜下肝切除术治疗布-恰里综合征肝细胞癌

IF 0.9 Q4 ORTHOPEDICS
Atsushi Takebe, Masaya Nakano, Katsuya Ami, Chihoko Nobori, Yuta Yoshida, Takaaki Murase, Keiko Kamei, Ippei Matsumoto
{"title":"经胸胸腔镜下肝切除术治疗布-恰里综合征肝细胞癌","authors":"Atsushi Takebe,&nbsp;Masaya Nakano,&nbsp;Katsuya Ami,&nbsp;Chihoko Nobori,&nbsp;Yuta Yoshida,&nbsp;Takaaki Murase,&nbsp;Keiko Kamei,&nbsp;Ippei Matsumoto","doi":"10.1111/ases.70101","DOIUrl":null,"url":null,"abstract":"<p>Budd-Chiari syndrome (BCS), caused by venous outflow obstruction, results in hepatic congestion and portal hypertension. BCS is also associated with a relatively high incidence of hepatocellular carcinoma (HCC). Selecting a minimally invasive approach based on hemodynamic assessment for the management of HCC arising from BCS is essential. A hepatic tumor located in liver segment 8 region was identified in an 88-year-old female patient with BCS. Following a detailed preoperative hemodynamic evaluation using angiography, a thoracoscopic transthoracic hepatectomy (TTH) was successfully performed. TTH may represent a feasible and effective surgical option for HCC in high-risk patients, including those with BCS.</p>","PeriodicalId":47019,"journal":{"name":"Asian Journal of Endoscopic Surgery","volume":"18 1","pages":""},"PeriodicalIF":0.9000,"publicationDate":"2025-06-16","publicationTypes":"Journal Article","fieldsOfStudy":null,"isOpenAccess":false,"openAccessPdf":"https://onlinelibrary.wiley.com/doi/epdf/10.1111/ases.70101","citationCount":"0","resultStr":"{\"title\":\"Thoracoscopic Transthoracic Hepatectomy for Hepatocellular Carcinoma in Budd-Chiari Syndrome\",\"authors\":\"Atsushi Takebe,&nbsp;Masaya Nakano,&nbsp;Katsuya Ami,&nbsp;Chihoko Nobori,&nbsp;Yuta Yoshida,&nbsp;Takaaki Murase,&nbsp;Keiko Kamei,&nbsp;Ippei Matsumoto\",\"doi\":\"10.1111/ases.70101\",\"DOIUrl\":null,\"url\":null,\"abstract\":\"<p>Budd-Chiari syndrome (BCS), caused by venous outflow obstruction, results in hepatic congestion and portal hypertension. BCS is also associated with a relatively high incidence of hepatocellular carcinoma (HCC). Selecting a minimally invasive approach based on hemodynamic assessment for the management of HCC arising from BCS is essential. A hepatic tumor located in liver segment 8 region was identified in an 88-year-old female patient with BCS. Following a detailed preoperative hemodynamic evaluation using angiography, a thoracoscopic transthoracic hepatectomy (TTH) was successfully performed. TTH may represent a feasible and effective surgical option for HCC in high-risk patients, including those with BCS.</p>\",\"PeriodicalId\":47019,\"journal\":{\"name\":\"Asian Journal of Endoscopic Surgery\",\"volume\":\"18 1\",\"pages\":\"\"},\"PeriodicalIF\":0.9000,\"publicationDate\":\"2025-06-16\",\"publicationTypes\":\"Journal Article\",\"fieldsOfStudy\":null,\"isOpenAccess\":false,\"openAccessPdf\":\"https://onlinelibrary.wiley.com/doi/epdf/10.1111/ases.70101\",\"citationCount\":\"0\",\"resultStr\":null,\"platform\":\"Semanticscholar\",\"paperid\":null,\"PeriodicalName\":\"Asian Journal of Endoscopic Surgery\",\"FirstCategoryId\":\"1085\",\"ListUrlMain\":\"https://onlinelibrary.wiley.com/doi/10.1111/ases.70101\",\"RegionNum\":0,\"RegionCategory\":null,\"ArticlePicture\":[],\"TitleCN\":null,\"AbstractTextCN\":null,\"PMCID\":null,\"EPubDate\":\"\",\"PubModel\":\"\",\"JCR\":\"Q4\",\"JCRName\":\"ORTHOPEDICS\",\"Score\":null,\"Total\":0}","platform":"Semanticscholar","paperid":null,"PeriodicalName":"Asian Journal of Endoscopic Surgery","FirstCategoryId":"1085","ListUrlMain":"https://onlinelibrary.wiley.com/doi/10.1111/ases.70101","RegionNum":0,"RegionCategory":null,"ArticlePicture":[],"TitleCN":null,"AbstractTextCN":null,"PMCID":null,"EPubDate":"","PubModel":"","JCR":"Q4","JCRName":"ORTHOPEDICS","Score":null,"Total":0}
引用次数: 0

摘要

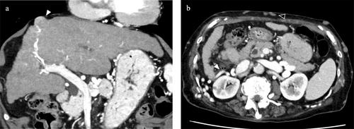
Budd-Chiari综合征(BCS)由静脉流出梗阻引起,可导致肝脏充血和门静脉高压症。BCS还与相对较高的肝细胞癌(HCC)发病率相关。选择一种基于血流动力学评估的微创方法来治疗BCS引起的HCC是至关重要的。一例88岁女性BCS患者发现肝脏肿瘤位于肝8节区。在详细的术前血管造影血流动力学评估后,成功实施了胸腔镜经胸肝切除术(TTH)。对于包括BCS患者在内的高危HCC患者,TTH可能是一种可行且有效的手术选择。
本文章由计算机程序翻译,如有差异,请以英文原文为准。

Thoracoscopic Transthoracic Hepatectomy for Hepatocellular Carcinoma in Budd-Chiari Syndrome

Thoracoscopic Transthoracic Hepatectomy for Hepatocellular Carcinoma in Budd-Chiari Syndrome

Budd-Chiari syndrome (BCS), caused by venous outflow obstruction, results in hepatic congestion and portal hypertension. BCS is also associated with a relatively high incidence of hepatocellular carcinoma (HCC). Selecting a minimally invasive approach based on hemodynamic assessment for the management of HCC arising from BCS is essential. A hepatic tumor located in liver segment 8 region was identified in an 88-year-old female patient with BCS. Following a detailed preoperative hemodynamic evaluation using angiography, a thoracoscopic transthoracic hepatectomy (TTH) was successfully performed. TTH may represent a feasible and effective surgical option for HCC in high-risk patients, including those with BCS.

求助全文
通过发布文献求助,成功后即可免费获取论文全文。 去求助
来源期刊
CiteScore
2.00
自引率
10.00%
发文量
129
×
引用
GB/T 7714-2015
复制
MLA
复制
APA
复制
导出至
BibTeX EndNote RefMan NoteFirst NoteExpress
×
提示
您的信息不完整,为了账户安全,请先补充。
现在去补充
×
提示
您因"违规操作"
具体请查看互助需知
我知道了
×
提示
确定
请完成安全验证×
copy
已复制链接
快去分享给好友吧!
我知道了
右上角分享
点击右上角分享
0
联系我们:info@booksci.cn Book学术提供免费学术资源搜索服务,方便国内外学者检索中英文文献。致力于提供最便捷和优质的服务体验。 Copyright © 2023 布克学术 All rights reserved.
京ICP备2023020795号-1
ghs 京公网安备 11010802042870号
Book学术文献互助
Book学术文献互助群
群 号:604180095
Book学术官方微信