锥形束CT三维重建在下颌阻生第三磨牙手术规划中的应用。

National journal of maxillofacial surgery Pub Date : 2025-01-01 Epub Date: 2025-04-28 DOI:10.4103/njms.njms_135_22
Luigi Tagliatesta, Matteo Arcari, Federico Guerri, Marco Lorenzoni, Jason M Jones
{"title":"锥形束CT三维重建在下颌阻生第三磨牙手术规划中的应用。","authors":"Luigi Tagliatesta, Matteo Arcari, Federico Guerri, Marco Lorenzoni, Jason M Jones","doi":"10.4103/njms.njms_135_22","DOIUrl":null,"url":null,"abstract":"<p><strong>Objectives: </strong>The aim of this work is to evaluate the possibility that the three-dimensional (3D) reconstruction of a cone beam computed tomography (CBCT) scan may facilitate the technical planning of the surgical extraction of third molars, whose roots are located in proximity of or in contact with the inferior alveolar nerve.</p><p><strong>Materials and methods: </strong>This article describes the planning process and the extraction of a lower third molar with the inferior alveolar nerve (IAN) entrapped through its roots using the 3D reconstruction of a CBCT scan.</p><p><strong>Results: </strong>After-surgery clinical examinations showed normal healing of the surgical wound and no neurological symptoms.</p><p><strong>Conclusions: </strong>The 3D reprocessing of a CBCT allows the construction of a computer-aided design model to investigate the spatial relationships between the wisdom tooth and the IAN. This method makes it possible to reconstruct a virtual model to preview the tooth and its spatial relationships, simplifying the mental processes of reworking and analyzing the existing relationships in the area, an important aid, especially in cases that are difficult to diagnose with a first-level examination. Indeed, it helps in reducing the risk of intra-operative injury to the nerve during extraction procedures.</p>","PeriodicalId":101444,"journal":{"name":"National journal of maxillofacial surgery","volume":"16 1","pages":"33-38"},"PeriodicalIF":0.0000,"publicationDate":"2025-01-01","publicationTypes":"Journal Article","fieldsOfStudy":null,"isOpenAccess":false,"openAccessPdf":"https://www.ncbi.nlm.nih.gov/pmc/articles/PMC12156845/pdf/","citationCount":"0","resultStr":"{\"title\":\"Three-dimensional reconstruction of cone beam CT scan in the planning of the surgery of mandibular impacted third molars.\",\"authors\":\"Luigi Tagliatesta, Matteo Arcari, Federico Guerri, Marco Lorenzoni, Jason M Jones\",\"doi\":\"10.4103/njms.njms_135_22\",\"DOIUrl\":null,\"url\":null,\"abstract\":\"<p><strong>Objectives: </strong>The aim of this work is to evaluate the possibility that the three-dimensional (3D) reconstruction of a cone beam computed tomography (CBCT) scan may facilitate the technical planning of the surgical extraction of third molars, whose roots are located in proximity of or in contact with the inferior alveolar nerve.</p><p><strong>Materials and methods: </strong>This article describes the planning process and the extraction of a lower third molar with the inferior alveolar nerve (IAN) entrapped through its roots using the 3D reconstruction of a CBCT scan.</p><p><strong>Results: </strong>After-surgery clinical examinations showed normal healing of the surgical wound and no neurological symptoms.</p><p><strong>Conclusions: </strong>The 3D reprocessing of a CBCT allows the construction of a computer-aided design model to investigate the spatial relationships between the wisdom tooth and the IAN. This method makes it possible to reconstruct a virtual model to preview the tooth and its spatial relationships, simplifying the mental processes of reworking and analyzing the existing relationships in the area, an important aid, especially in cases that are difficult to diagnose with a first-level examination. Indeed, it helps in reducing the risk of intra-operative injury to the nerve during extraction procedures.</p>\",\"PeriodicalId\":101444,\"journal\":{\"name\":\"National journal of maxillofacial surgery\",\"volume\":\"16 1\",\"pages\":\"33-38\"},\"PeriodicalIF\":0.0000,\"publicationDate\":\"2025-01-01\",\"publicationTypes\":\"Journal Article\",\"fieldsOfStudy\":null,\"isOpenAccess\":false,\"openAccessPdf\":\"https://www.ncbi.nlm.nih.gov/pmc/articles/PMC12156845/pdf/\",\"citationCount\":\"0\",\"resultStr\":null,\"platform\":\"Semanticscholar\",\"paperid\":null,\"PeriodicalName\":\"National journal of maxillofacial surgery\",\"FirstCategoryId\":\"1085\",\"ListUrlMain\":\"https://doi.org/10.4103/njms.njms_135_22\",\"RegionNum\":0,\"RegionCategory\":null,\"ArticlePicture\":[],\"TitleCN\":null,\"AbstractTextCN\":null,\"PMCID\":null,\"EPubDate\":\"2025/4/28 0:00:00\",\"PubModel\":\"Epub\",\"JCR\":\"\",\"JCRName\":\"\",\"Score\":null,\"Total\":0}","platform":"Semanticscholar","paperid":null,"PeriodicalName":"National journal of maxillofacial surgery","FirstCategoryId":"1085","ListUrlMain":"https://doi.org/10.4103/njms.njms_135_22","RegionNum":0,"RegionCategory":null,"ArticlePicture":[],"TitleCN":null,"AbstractTextCN":null,"PMCID":null,"EPubDate":"2025/4/28 0:00:00","PubModel":"Epub","JCR":"","JCRName":"","Score":null,"Total":0}
引用次数: 0

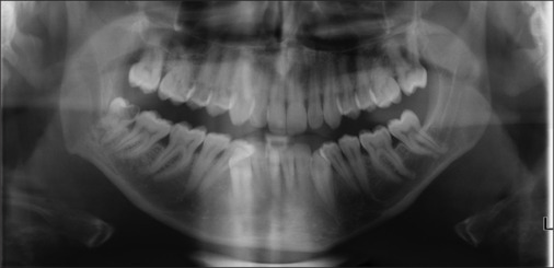
摘要

目的:本研究的目的是评估锥形束计算机断层扫描(CBCT)三维重建的可能性,以促进第三磨牙手术拔牙的技术规划,第三磨牙的牙根位于靠近或接触下牙槽神经。材料和方法:本文描述了计划过程和拔出下第三磨牙,下牙槽神经(IAN)通过其根被CBCT扫描三维重建。结果:术后临床检查显示手术创面愈合正常,无神经系统症状。结论:CBCT的三维再处理可以构建计算机辅助设计模型来研究智齿与IAN之间的空间关系。该方法可以重建一个虚拟模型来预览牙齿及其空间关系,简化了重新加工和分析现有区域关系的心理过程,特别是在一级检查难以诊断的情况下,这是一种重要的辅助手段。事实上,它有助于降低拔牙过程中术中神经损伤的风险。
本文章由计算机程序翻译,如有差异,请以英文原文为准。

Three-dimensional reconstruction of cone beam CT scan in the planning of the surgery of mandibular impacted third molars.

Three-dimensional reconstruction of cone beam CT scan in the planning of the surgery of mandibular impacted third molars.

Three-dimensional reconstruction of cone beam CT scan in the planning of the surgery of mandibular impacted third molars.

Three-dimensional reconstruction of cone beam CT scan in the planning of the surgery of mandibular impacted third molars.

Objectives: The aim of this work is to evaluate the possibility that the three-dimensional (3D) reconstruction of a cone beam computed tomography (CBCT) scan may facilitate the technical planning of the surgical extraction of third molars, whose roots are located in proximity of or in contact with the inferior alveolar nerve.

Materials and methods: This article describes the planning process and the extraction of a lower third molar with the inferior alveolar nerve (IAN) entrapped through its roots using the 3D reconstruction of a CBCT scan.

Results: After-surgery clinical examinations showed normal healing of the surgical wound and no neurological symptoms.

Conclusions: The 3D reprocessing of a CBCT allows the construction of a computer-aided design model to investigate the spatial relationships between the wisdom tooth and the IAN. This method makes it possible to reconstruct a virtual model to preview the tooth and its spatial relationships, simplifying the mental processes of reworking and analyzing the existing relationships in the area, an important aid, especially in cases that are difficult to diagnose with a first-level examination. Indeed, it helps in reducing the risk of intra-operative injury to the nerve during extraction procedures.

求助全文
通过发布文献求助,成功后即可免费获取论文全文。 去求助
来源期刊
CiteScore
1.20
自引率
0.00%
发文量
0
×
引用
GB/T 7714-2015
复制
MLA
复制
APA
复制
导出至
BibTeX EndNote RefMan NoteFirst NoteExpress
×
提示
您的信息不完整,为了账户安全,请先补充。
现在去补充
×
提示
您因"违规操作"
具体请查看互助需知
我知道了
×
提示
确定
请完成安全验证×
copy
已复制链接
快去分享给好友吧!
我知道了
右上角分享
点击右上角分享
0
联系我们:info@booksci.cn Book学术提供免费学术资源搜索服务,方便国内外学者检索中英文文献。致力于提供最便捷和优质的服务体验。 Copyright © 2023 布克学术 All rights reserved.
京ICP备2023020795号-1
ghs 京公网安备 11010802042870号
Book学术文献互助
Book学术文献互助群
群 号:604180095
Book学术官方微信