小儿功能性多侧鼻孔鼻部重建:一例罕见病例。

National journal of maxillofacial surgery Pub Date : 2025-01-01 Epub Date: 2025-04-28 DOI:10.4103/njms.njms_168_23
Al Hafiz, Dolly Irfandy, Bestari Jaka Budiman
{"title":"小儿功能性多侧鼻孔鼻部重建:一例罕见病例。","authors":"Al Hafiz, Dolly Irfandy, Bestari Jaka Budiman","doi":"10.4103/njms.njms_168_23","DOIUrl":null,"url":null,"abstract":"<p><p>Supernumerary nostril is an extremely rare congenital nasal disorder, with additional nostrils of unknown etiology. The choice of supernumerary nostril reconstruction technique is adjusted to the patient's clinical manifestations. This study evaluated a case of 12-year-old male patient with an additional nostril on the right side of the normal nostril since birth. The patient was diagnosed with a functional supernumerary nostril and treated with nasal reconstruction. Functional supernumerary nostril reconstruction is considered to be functional, cosmetic, and psychosocial development. Internal approach reconstruction was performed using an endoscope to maintain the functional part of the nose, and an external approach reconstruction was performed to form a near-normal nasal morphology. Rhinoplasty outcome evaluation (ROE) can be used to evaluate the patient's psychosocial status after reconstruction procedures.</p>","PeriodicalId":101444,"journal":{"name":"National journal of maxillofacial surgery","volume":"16 1","pages":"160-164"},"PeriodicalIF":0.0000,"publicationDate":"2025-01-01","publicationTypes":"Journal Article","fieldsOfStudy":null,"isOpenAccess":false,"openAccessPdf":"https://www.ncbi.nlm.nih.gov/pmc/articles/PMC12156863/pdf/","citationCount":"0","resultStr":"{\"title\":\"Nasal reconstruction of functional supernumerary nostril in a pediatric patient: A rare case.\",\"authors\":\"Al Hafiz, Dolly Irfandy, Bestari Jaka Budiman\",\"doi\":\"10.4103/njms.njms_168_23\",\"DOIUrl\":null,\"url\":null,\"abstract\":\"<p><p>Supernumerary nostril is an extremely rare congenital nasal disorder, with additional nostrils of unknown etiology. The choice of supernumerary nostril reconstruction technique is adjusted to the patient's clinical manifestations. This study evaluated a case of 12-year-old male patient with an additional nostril on the right side of the normal nostril since birth. The patient was diagnosed with a functional supernumerary nostril and treated with nasal reconstruction. Functional supernumerary nostril reconstruction is considered to be functional, cosmetic, and psychosocial development. Internal approach reconstruction was performed using an endoscope to maintain the functional part of the nose, and an external approach reconstruction was performed to form a near-normal nasal morphology. Rhinoplasty outcome evaluation (ROE) can be used to evaluate the patient's psychosocial status after reconstruction procedures.</p>\",\"PeriodicalId\":101444,\"journal\":{\"name\":\"National journal of maxillofacial surgery\",\"volume\":\"16 1\",\"pages\":\"160-164\"},\"PeriodicalIF\":0.0000,\"publicationDate\":\"2025-01-01\",\"publicationTypes\":\"Journal Article\",\"fieldsOfStudy\":null,\"isOpenAccess\":false,\"openAccessPdf\":\"https://www.ncbi.nlm.nih.gov/pmc/articles/PMC12156863/pdf/\",\"citationCount\":\"0\",\"resultStr\":null,\"platform\":\"Semanticscholar\",\"paperid\":null,\"PeriodicalName\":\"National journal of maxillofacial surgery\",\"FirstCategoryId\":\"1085\",\"ListUrlMain\":\"https://doi.org/10.4103/njms.njms_168_23\",\"RegionNum\":0,\"RegionCategory\":null,\"ArticlePicture\":[],\"TitleCN\":null,\"AbstractTextCN\":null,\"PMCID\":null,\"EPubDate\":\"2025/4/28 0:00:00\",\"PubModel\":\"Epub\",\"JCR\":\"\",\"JCRName\":\"\",\"Score\":null,\"Total\":0}","platform":"Semanticscholar","paperid":null,"PeriodicalName":"National journal of maxillofacial surgery","FirstCategoryId":"1085","ListUrlMain":"https://doi.org/10.4103/njms.njms_168_23","RegionNum":0,"RegionCategory":null,"ArticlePicture":[],"TitleCN":null,"AbstractTextCN":null,"PMCID":null,"EPubDate":"2025/4/28 0:00:00","PubModel":"Epub","JCR":"","JCRName":"","Score":null,"Total":0}
引用次数: 0

摘要

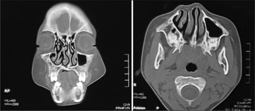
多鼻孔是一种极为罕见的先天性鼻部疾病,多鼻孔的病因不明。多鼻孔再造术的选择应根据患者的临床表现进行调整。本研究评估了一例12岁男性患者,自出生以来在正常鼻孔右侧增加了一个鼻孔。患者被诊断为功能性多余鼻孔,并接受鼻腔重建治疗。功能性多余鼻孔重建被认为是功能,美容和社会心理发展。使用内窥镜进行内入路重建以维持鼻的功能部分,并进行外入路重建以形成接近正常的鼻形态。鼻整形结果评估(ROE)可用于评估重建手术后患者的社会心理状态。
本文章由计算机程序翻译,如有差异,请以英文原文为准。

Nasal reconstruction of functional supernumerary nostril in a pediatric patient: A rare case.

Nasal reconstruction of functional supernumerary nostril in a pediatric patient: A rare case.

Nasal reconstruction of functional supernumerary nostril in a pediatric patient: A rare case.

Supernumerary nostril is an extremely rare congenital nasal disorder, with additional nostrils of unknown etiology. The choice of supernumerary nostril reconstruction technique is adjusted to the patient's clinical manifestations. This study evaluated a case of 12-year-old male patient with an additional nostril on the right side of the normal nostril since birth. The patient was diagnosed with a functional supernumerary nostril and treated with nasal reconstruction. Functional supernumerary nostril reconstruction is considered to be functional, cosmetic, and psychosocial development. Internal approach reconstruction was performed using an endoscope to maintain the functional part of the nose, and an external approach reconstruction was performed to form a near-normal nasal morphology. Rhinoplasty outcome evaluation (ROE) can be used to evaluate the patient's psychosocial status after reconstruction procedures.

求助全文
通过发布文献求助,成功后即可免费获取论文全文。 去求助
来源期刊
CiteScore
1.20
自引率
0.00%
发文量
0
×
引用
GB/T 7714-2015
复制
MLA
复制
APA
复制
导出至
BibTeX EndNote RefMan NoteFirst NoteExpress
×
提示
您的信息不完整,为了账户安全,请先补充。
现在去补充
×
提示
您因"违规操作"
具体请查看互助需知
我知道了
×
提示
确定
请完成安全验证×
copy
已复制链接
快去分享给好友吧!
我知道了
右上角分享
点击右上角分享
0
联系我们:info@booksci.cn Book学术提供免费学术资源搜索服务,方便国内外学者检索中英文文献。致力于提供最便捷和优质的服务体验。 Copyright © 2023 布克学术 All rights reserved.
京ICP备2023020795号-1
ghs 京公网安备 11010802042870号
Book学术文献互助
Book学术文献互助群
群 号:604180095
Book学术官方微信