玫瑰精油对梗阻性黄疸实验模型肝损害的影响。

IF 1
Serdar Acar, Recep Cetin, Ismail Zihni, Ozlem Ozmen, Mehmet Zafer Sabuncuoglu, Isa Sozen, Girayhan Celik, Isa Karaca, Ece Ozkan Acar, Ceren Yaman
{"title":"玫瑰精油对梗阻性黄疸实验模型肝损害的影响。","authors":"Serdar Acar, Recep Cetin, Ismail Zihni, Ozlem Ozmen, Mehmet Zafer Sabuncuoglu, Isa Sozen, Girayhan Celik, Isa Karaca, Ece Ozkan Acar, Ceren Yaman","doi":"10.14744/tjtes.2025.96613","DOIUrl":null,"url":null,"abstract":"<p><strong>Background: </strong>This study investigates the effects of Turkish rose oil (Rosa damascena) on liver damage in rats with experimentally induced obstructive jaundice.</p><p><strong>Methods: </strong>A total of 40 Wistar-Albino rats were divided into three groups: Sham (control), Obstructive Jaundice (OJ), and Rose Oil treatment (RO). Obstructive jaundice was induced by bile duct ligation in the OJ and RO groups. The RO group received 100 mg/kg of oral Turkish rose oil daily for seven days.</p><p><strong>Results: </strong>Biochemical analysis showed significantly elevated levels of liver and biliary injury markers, including aspartate aminotransferase (AST), alanine aminotransferase (ALT), alkaline phosphatase (ALP), and gamma-glutamyl transferase (GGT), in the OJ group. These markers were significantly reduced in the RO group. Additionally, oxidative stress markers such as malondialdehyde (MDA) and myeloperoxidase (MPO) were lower in the RO group compared to the OJ group. Although levels of antioxidant enzymes, including glutathione peroxidase (GSH-Px) and superoxide dismutase (SOD), were higher in the RO group, the differences were not statistically significant. Interestingly, C-reactive protein (CRP) levels were unexpectedly higher in the RO group than in the OJ group, possibly due to the study duration or dosing protocol. Histopathological examination revealed significant portal inflammation, bile duct proliferation, polymorphonuclear leukocyte (PMNL) infiltration, necrosis, and fibrosis in the OJ group. Conversely, the RO group showed substantial reductions in these pathological features, including milder bile duct proliferation and necrosis (p<0.001). Additionally, connective tissue expansion and collagen deposition were significantly lower in the RO group compared to the OJ group.</p><p><strong>Conclusion: </strong>The anti-inflammatory and hepatoprotective effects of Turkish rose oil, previously reported in the literature, were demonstrated in this study for the first time through oral administration. The findings highlight its potential in mitigating acute liver damage caused by obstructive jaundice. However, some unexpected biochemical results (e.g., elevated CRP and MDA levels) may be attributed to the short study duration, limited sample size, and lack of dose variation. Overall, Turkish rose oil emerges as a promising natural agent with significant hepatoprotective and anti-inflammatory properties. These results suggest that it may serve as a potential therapeutic option for liver damage associated with obstructive jaundice. Further studies are warranted to investigate varying dosages, longer treatment durations, and larger sample sizes to better understand its therapeutic potential.</p>","PeriodicalId":94263,"journal":{"name":"Ulusal travma ve acil cerrahi dergisi = Turkish journal of trauma & emergency surgery : TJTES","volume":"31 6","pages":"495-504"},"PeriodicalIF":1.0000,"publicationDate":"2025-06-01","publicationTypes":"Journal Article","fieldsOfStudy":null,"isOpenAccess":false,"openAccessPdf":"https://www.ncbi.nlm.nih.gov/pmc/articles/PMC12183484/pdf/","citationCount":"0","resultStr":"{\"title\":\"The effects of rose oil on liver damage in an experimental model of obstructive jaundice.\",\"authors\":\"Serdar Acar, Recep Cetin, Ismail Zihni, Ozlem Ozmen, Mehmet Zafer Sabuncuoglu, Isa Sozen, Girayhan Celik, Isa Karaca, Ece Ozkan Acar, Ceren Yaman\",\"doi\":\"10.14744/tjtes.2025.96613\",\"DOIUrl\":null,\"url\":null,\"abstract\":\"<p><strong>Background: </strong>This study investigates the effects of Turkish rose oil (Rosa damascena) on liver damage in rats with experimentally induced obstructive jaundice.</p><p><strong>Methods: </strong>A total of 40 Wistar-Albino rats were divided into three groups: Sham (control), Obstructive Jaundice (OJ), and Rose Oil treatment (RO). Obstructive jaundice was induced by bile duct ligation in the OJ and RO groups. The RO group received 100 mg/kg of oral Turkish rose oil daily for seven days.</p><p><strong>Results: </strong>Biochemical analysis showed significantly elevated levels of liver and biliary injury markers, including aspartate aminotransferase (AST), alanine aminotransferase (ALT), alkaline phosphatase (ALP), and gamma-glutamyl transferase (GGT), in the OJ group. These markers were significantly reduced in the RO group. Additionally, oxidative stress markers such as malondialdehyde (MDA) and myeloperoxidase (MPO) were lower in the RO group compared to the OJ group. Although levels of antioxidant enzymes, including glutathione peroxidase (GSH-Px) and superoxide dismutase (SOD), were higher in the RO group, the differences were not statistically significant. Interestingly, C-reactive protein (CRP) levels were unexpectedly higher in the RO group than in the OJ group, possibly due to the study duration or dosing protocol. Histopathological examination revealed significant portal inflammation, bile duct proliferation, polymorphonuclear leukocyte (PMNL) infiltration, necrosis, and fibrosis in the OJ group. Conversely, the RO group showed substantial reductions in these pathological features, including milder bile duct proliferation and necrosis (p<0.001). Additionally, connective tissue expansion and collagen deposition were significantly lower in the RO group compared to the OJ group.</p><p><strong>Conclusion: </strong>The anti-inflammatory and hepatoprotective effects of Turkish rose oil, previously reported in the literature, were demonstrated in this study for the first time through oral administration. The findings highlight its potential in mitigating acute liver damage caused by obstructive jaundice. However, some unexpected biochemical results (e.g., elevated CRP and MDA levels) may be attributed to the short study duration, limited sample size, and lack of dose variation. Overall, Turkish rose oil emerges as a promising natural agent with significant hepatoprotective and anti-inflammatory properties. These results suggest that it may serve as a potential therapeutic option for liver damage associated with obstructive jaundice. Further studies are warranted to investigate varying dosages, longer treatment durations, and larger sample sizes to better understand its therapeutic potential.</p>\",\"PeriodicalId\":94263,\"journal\":{\"name\":\"Ulusal travma ve acil cerrahi dergisi = Turkish journal of trauma & emergency surgery : TJTES\",\"volume\":\"31 6\",\"pages\":\"495-504\"},\"PeriodicalIF\":1.0000,\"publicationDate\":\"2025-06-01\",\"publicationTypes\":\"Journal Article\",\"fieldsOfStudy\":null,\"isOpenAccess\":false,\"openAccessPdf\":\"https://www.ncbi.nlm.nih.gov/pmc/articles/PMC12183484/pdf/\",\"citationCount\":\"0\",\"resultStr\":null,\"platform\":\"Semanticscholar\",\"paperid\":null,\"PeriodicalName\":\"Ulusal travma ve acil cerrahi dergisi = Turkish journal of trauma & emergency surgery : TJTES\",\"FirstCategoryId\":\"1085\",\"ListUrlMain\":\"https://doi.org/10.14744/tjtes.2025.96613\",\"RegionNum\":0,\"RegionCategory\":null,\"ArticlePicture\":[],\"TitleCN\":null,\"AbstractTextCN\":null,\"PMCID\":null,\"EPubDate\":\"\",\"PubModel\":\"\",\"JCR\":\"\",\"JCRName\":\"\",\"Score\":null,\"Total\":0}","platform":"Semanticscholar","paperid":null,"PeriodicalName":"Ulusal travma ve acil cerrahi dergisi = Turkish journal of trauma & emergency surgery : TJTES","FirstCategoryId":"1085","ListUrlMain":"https://doi.org/10.14744/tjtes.2025.96613","RegionNum":0,"RegionCategory":null,"ArticlePicture":[],"TitleCN":null,"AbstractTextCN":null,"PMCID":null,"EPubDate":"","PubModel":"","JCR":"","JCRName":"","Score":null,"Total":0}
引用次数: 0

摘要

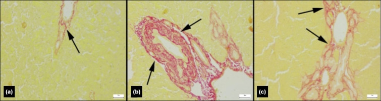
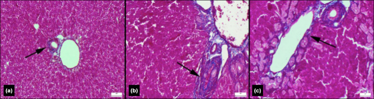
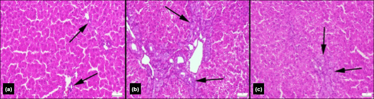
背景:本研究探讨土耳其玫瑰精油对实验性梗阻性黄疸大鼠肝损害的影响。方法:将40只Wistar-Albino大鼠分为假手术组(对照组)、梗阻性黄疸组(OJ组)和玫瑰精油组(RO组)。OJ组和RO组胆管结扎诱导梗阻性黄疸。菜籽油组每日口服土耳其玫瑰油100 mg/kg,连续7天。结果:生化分析显示,OJ组肝脏和胆道损伤标志物,包括天冬氨酸转氨酶(AST)、丙氨酸转氨酶(ALT)、碱性磷酸酶(ALP)和γ -谷氨酰转移酶(GGT)水平显著升高。这些标记物在RO组显著降低。此外,氧化应激标志物,如丙二醛(MDA)和髓过氧化物酶(MPO),在RO组比OJ组更低。虽然抗氧化酶,包括谷胱甘肽过氧化物酶(GSH-Px)和超氧化物歧化酶(SOD)水平在菜籽油组较高,但差异无统计学意义。有趣的是,RO组的c反应蛋白(CRP)水平出乎意料地高于OJ组,可能是由于研究时间或给药方案。组织病理学检查显示,OJ组有明显的门静脉炎症、胆管增生、多形核白细胞(PMNL)浸润、坏死和纤维化。相反,RO组在这些病理特征上表现出明显的减少,包括较轻的胆管增生和坏死(p结论:土耳其玫瑰精油的抗炎和肝保护作用,以前的文献报道,在本研究中首次通过口服给药得到证实。研究结果强调了它在减轻梗阻性黄疸引起的急性肝损伤方面的潜力。然而,一些意想不到的生化结果(如CRP和MDA水平升高)可能归因于研究时间短、样本量有限和剂量变化不足。总的来说,土耳其玫瑰精油是一种很有前途的天然药物,具有显著的肝保护和抗炎特性。这些结果表明,它可能作为一种潜在的治疗选择肝损伤与梗阻性黄疸。需要进一步研究不同的剂量、更长的治疗时间和更大的样本量,以更好地了解其治疗潜力。
本文章由计算机程序翻译,如有差异,请以英文原文为准。

The effects of rose oil on liver damage in an experimental model of obstructive jaundice.

The effects of rose oil on liver damage in an experimental model of obstructive jaundice.

The effects of rose oil on liver damage in an experimental model of obstructive jaundice.

The effects of rose oil on liver damage in an experimental model of obstructive jaundice.

Background: This study investigates the effects of Turkish rose oil (Rosa damascena) on liver damage in rats with experimentally induced obstructive jaundice.

Methods: A total of 40 Wistar-Albino rats were divided into three groups: Sham (control), Obstructive Jaundice (OJ), and Rose Oil treatment (RO). Obstructive jaundice was induced by bile duct ligation in the OJ and RO groups. The RO group received 100 mg/kg of oral Turkish rose oil daily for seven days.

Results: Biochemical analysis showed significantly elevated levels of liver and biliary injury markers, including aspartate aminotransferase (AST), alanine aminotransferase (ALT), alkaline phosphatase (ALP), and gamma-glutamyl transferase (GGT), in the OJ group. These markers were significantly reduced in the RO group. Additionally, oxidative stress markers such as malondialdehyde (MDA) and myeloperoxidase (MPO) were lower in the RO group compared to the OJ group. Although levels of antioxidant enzymes, including glutathione peroxidase (GSH-Px) and superoxide dismutase (SOD), were higher in the RO group, the differences were not statistically significant. Interestingly, C-reactive protein (CRP) levels were unexpectedly higher in the RO group than in the OJ group, possibly due to the study duration or dosing protocol. Histopathological examination revealed significant portal inflammation, bile duct proliferation, polymorphonuclear leukocyte (PMNL) infiltration, necrosis, and fibrosis in the OJ group. Conversely, the RO group showed substantial reductions in these pathological features, including milder bile duct proliferation and necrosis (p<0.001). Additionally, connective tissue expansion and collagen deposition were significantly lower in the RO group compared to the OJ group.

Conclusion: The anti-inflammatory and hepatoprotective effects of Turkish rose oil, previously reported in the literature, were demonstrated in this study for the first time through oral administration. The findings highlight its potential in mitigating acute liver damage caused by obstructive jaundice. However, some unexpected biochemical results (e.g., elevated CRP and MDA levels) may be attributed to the short study duration, limited sample size, and lack of dose variation. Overall, Turkish rose oil emerges as a promising natural agent with significant hepatoprotective and anti-inflammatory properties. These results suggest that it may serve as a potential therapeutic option for liver damage associated with obstructive jaundice. Further studies are warranted to investigate varying dosages, longer treatment durations, and larger sample sizes to better understand its therapeutic potential.

求助全文
通过发布文献求助,成功后即可免费获取论文全文。 去求助
来源期刊
自引率
0.00%
发文量
0
×
引用
GB/T 7714-2015
复制
MLA
复制
APA
复制
导出至
BibTeX EndNote RefMan NoteFirst NoteExpress
×
提示
您的信息不完整,为了账户安全,请先补充。
现在去补充
×
提示
您因"违规操作"
具体请查看互助需知
我知道了
×
提示
确定
请完成安全验证×
copy
已复制链接
快去分享给好友吧!
我知道了
右上角分享
点击右上角分享
0
联系我们:info@booksci.cn Book学术提供免费学术资源搜索服务,方便国内外学者检索中英文文献。致力于提供最便捷和优质的服务体验。 Copyright © 2023 布克学术 All rights reserved.
京ICP备2023020795号-1
ghs 京公网安备 11010802042870号
Book学术文献互助
Book学术文献互助群
群 号:604180095
Book学术官方微信