马赛克躯体神经纤维瘤病患者下肢肥大与长骨生长迟缓的混杂关系1-A基因回顾和股骨延长治疗。

IF 2.1 Q2 ORTHOPEDICS
Edward Abraham, Nirav K Mungalpara, Apurva Choubey, John Alvarez
{"title":"马赛克躯体神经纤维瘤病患者下肢肥大与长骨生长迟缓的混杂关系1-A基因回顾和股骨延长治疗。","authors":"Edward Abraham, Nirav K Mungalpara, Apurva Choubey, John Alvarez","doi":"10.5435/JAAOSGlobal-D-25-00019","DOIUrl":null,"url":null,"abstract":"<p><p>This presentation describes a 15-year-old adolescent boy with neurofibromatosis type 1 with regional somatic mosaicism in the right half of his body. The unique clinical features are highlighted by generalized hemihypertrophy of the lower extremity in association with progressive growth retardation of long bones, which results in limb shortening. The patient successfully underwent limb lengthening. To our knowledge, this is the first neurofibromatosis type 1 article to report of a limb-lengthening procedure in a patient with two major and opposite growth phenomena on the same limb caused by a 36% gene deletion.</p>","PeriodicalId":45062,"journal":{"name":"Journal of the American Academy of Orthopaedic Surgeons Global Research and Reviews","volume":"9 6","pages":""},"PeriodicalIF":2.1000,"publicationDate":"2025-06-11","publicationTypes":"Journal Article","fieldsOfStudy":null,"isOpenAccess":false,"openAccessPdf":"https://www.ncbi.nlm.nih.gov/pmc/articles/PMC12168693/pdf/","citationCount":"0","resultStr":"{\"title\":\"Confounding Association of Lower Limb Hypertrophy With Retarded Long Bone Growth in Mosaic Somatic Neurofibromatosis 1-A Genetic Review and Femoral Lengthening Treatment.\",\"authors\":\"Edward Abraham, Nirav K Mungalpara, Apurva Choubey, John Alvarez\",\"doi\":\"10.5435/JAAOSGlobal-D-25-00019\",\"DOIUrl\":null,\"url\":null,\"abstract\":\"<p><p>This presentation describes a 15-year-old adolescent boy with neurofibromatosis type 1 with regional somatic mosaicism in the right half of his body. The unique clinical features are highlighted by generalized hemihypertrophy of the lower extremity in association with progressive growth retardation of long bones, which results in limb shortening. The patient successfully underwent limb lengthening. To our knowledge, this is the first neurofibromatosis type 1 article to report of a limb-lengthening procedure in a patient with two major and opposite growth phenomena on the same limb caused by a 36% gene deletion.</p>\",\"PeriodicalId\":45062,\"journal\":{\"name\":\"Journal of the American Academy of Orthopaedic Surgeons Global Research and Reviews\",\"volume\":\"9 6\",\"pages\":\"\"},\"PeriodicalIF\":2.1000,\"publicationDate\":\"2025-06-11\",\"publicationTypes\":\"Journal Article\",\"fieldsOfStudy\":null,\"isOpenAccess\":false,\"openAccessPdf\":\"https://www.ncbi.nlm.nih.gov/pmc/articles/PMC12168693/pdf/\",\"citationCount\":\"0\",\"resultStr\":null,\"platform\":\"Semanticscholar\",\"paperid\":null,\"PeriodicalName\":\"Journal of the American Academy of Orthopaedic Surgeons Global Research and Reviews\",\"FirstCategoryId\":\"1085\",\"ListUrlMain\":\"https://doi.org/10.5435/JAAOSGlobal-D-25-00019\",\"RegionNum\":0,\"RegionCategory\":null,\"ArticlePicture\":[],\"TitleCN\":null,\"AbstractTextCN\":null,\"PMCID\":null,\"EPubDate\":\"2025/6/1 0:00:00\",\"PubModel\":\"eCollection\",\"JCR\":\"Q2\",\"JCRName\":\"ORTHOPEDICS\",\"Score\":null,\"Total\":0}","platform":"Semanticscholar","paperid":null,"PeriodicalName":"Journal of the American Academy of Orthopaedic Surgeons Global Research and Reviews","FirstCategoryId":"1085","ListUrlMain":"https://doi.org/10.5435/JAAOSGlobal-D-25-00019","RegionNum":0,"RegionCategory":null,"ArticlePicture":[],"TitleCN":null,"AbstractTextCN":null,"PMCID":null,"EPubDate":"2025/6/1 0:00:00","PubModel":"eCollection","JCR":"Q2","JCRName":"ORTHOPEDICS","Score":null,"Total":0}
引用次数: 0

摘要

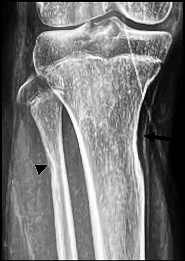
这个报告描述了一个15岁的青春期男孩患有1型神经纤维瘤病,在他的身体的右半部分有区域体细胞嵌合。其独特的临床特征是下肢广泛性半肥厚,伴长骨进行性生长迟缓,导致肢体缩短。患者成功地接受了肢体延长手术。据我们所知,这是第一篇报道1型神经纤维瘤病患者肢体延长手术的文章,该患者因36%的基因缺失而在同一肢体上出现两种主要的相反生长现象。
本文章由计算机程序翻译,如有差异,请以英文原文为准。

Confounding Association of Lower Limb Hypertrophy With Retarded Long Bone Growth in Mosaic Somatic Neurofibromatosis 1-A Genetic Review and Femoral Lengthening Treatment.

Confounding Association of Lower Limb Hypertrophy With Retarded Long Bone Growth in Mosaic Somatic Neurofibromatosis 1-A Genetic Review and Femoral Lengthening Treatment.

Confounding Association of Lower Limb Hypertrophy With Retarded Long Bone Growth in Mosaic Somatic Neurofibromatosis 1-A Genetic Review and Femoral Lengthening Treatment.

Confounding Association of Lower Limb Hypertrophy With Retarded Long Bone Growth in Mosaic Somatic Neurofibromatosis 1-A Genetic Review and Femoral Lengthening Treatment.

This presentation describes a 15-year-old adolescent boy with neurofibromatosis type 1 with regional somatic mosaicism in the right half of his body. The unique clinical features are highlighted by generalized hemihypertrophy of the lower extremity in association with progressive growth retardation of long bones, which results in limb shortening. The patient successfully underwent limb lengthening. To our knowledge, this is the first neurofibromatosis type 1 article to report of a limb-lengthening procedure in a patient with two major and opposite growth phenomena on the same limb caused by a 36% gene deletion.

求助全文
通过发布文献求助,成功后即可免费获取论文全文。 去求助
来源期刊
CiteScore
2.60
自引率
6.70%
发文量
282
审稿时长
8 weeks
×
引用
GB/T 7714-2015
复制
MLA
复制
APA
复制
导出至
BibTeX EndNote RefMan NoteFirst NoteExpress
×
提示
您的信息不完整,为了账户安全,请先补充。
现在去补充
×
提示
您因"违规操作"
具体请查看互助需知
我知道了
×
提示
确定
请完成安全验证×
copy
已复制链接
快去分享给好友吧!
我知道了
右上角分享
点击右上角分享
0
联系我们:info@booksci.cn Book学术提供免费学术资源搜索服务,方便国内外学者检索中英文文献。致力于提供最便捷和优质的服务体验。 Copyright © 2023 布克学术 All rights reserved.
京ICP备2023020795号-1
ghs 京公网安备 11010802042870号
Book学术文献互助
Book学术文献互助群
群 号:604180095
Book学术官方微信