低剂量增强CT胸腔成像方案:低电压、低对比度的迭代重建技术与标准方案的比较。

IF 1.5 Q3 HEALTH CARE SCIENCES & SERVICES
Cauvery Sirdeshpande, Karthikeya D Hebbar, Saikiran Pendem
{"title":"低剂量增强CT胸腔成像方案:低电压、低对比度的迭代重建技术与标准方案的比较。","authors":"Cauvery Sirdeshpande, Karthikeya D Hebbar, Saikiran Pendem","doi":"10.4314/ejhs.v35i2.2","DOIUrl":null,"url":null,"abstract":"<p><strong>Background: </strong>Computed enhanced computed tomography (CECT) of the thorax is an effective imaging technique for diagnosing lung diseases. However, the increased use of CECT thorax scans has raised concerns regarding cancer risk and contrast-induced nephropathy (CIN). The iterative reconstruction (IR) method, specifically iDose4, enhances image quality (IQ) and reduces artifacts at low doses (LD). This study aimed to evaluate the image quality (IQ) and radiation dose (RD) of low-dose, low-volume (LD-LV) CECT thorax with iDose4, compared to standard dose (SD) CECT thorax (iDose4).</p><p><strong>Methods: </strong>Group A consisted of 40 patients who underwent SD CECT thorax (120 kVp, 60 ml), while Group B included 40 patients who underwent LD-LV CECT thorax (80 kVp, 40 ml). All CECT thorax scans were performed using a 128-slice Incisive CT (Philips Healthcare Systems). A qualitative analysis of thoracic structures in both the lung and mediastinal windows was performed. Quantitative parameters, including Hounsfield units (HU) for the pulmonary artery (CTPA) and infraspinatus muscle (CTISM), noise (SD), and contrast-to-noise ratio (CNR), were also assessed. The Mann-Whitney U test and independent t-test were used to compare IQ and radiation dose between the two groups.</p><p><strong>Results: </strong>Qualitative analysis of thoracic structures in the lung and mediastinal windows revealed no significant difference (p > 0.001) between the two groups. Quantitative parameters, such as CTPA, CTISM, and CNR, showed statistically significant differences (p < 0.001), with higher values observed in the LD-LV group compared to the SD group. The effective dose (ED) was reduced by 65.2% in the LD-LV group.</p><p><strong>Conclusion: </strong>Our LD-LV CECT thorax protocol using iDose4 demonstrated a significant reduction in effective dose and iodine contrast volume, while maintaining image quality and enhancing diagnostic confidence.</p>","PeriodicalId":12003,"journal":{"name":"Ethiopian Journal of Health Sciences","volume":"35 2","pages":"74-82"},"PeriodicalIF":1.5000,"publicationDate":"2025-03-01","publicationTypes":"Journal Article","fieldsOfStudy":null,"isOpenAccess":false,"openAccessPdf":"https://www.ncbi.nlm.nih.gov/pmc/articles/PMC12153069/pdf/","citationCount":"0","resultStr":"{\"title\":\"Low Dose Contrast Enhanced CT Thorax Protocol: Comparison of Low Kilovoltage, Low Contrast Volume Using Iterative Reconstruction Technique with Standard Protocol.\",\"authors\":\"Cauvery Sirdeshpande, Karthikeya D Hebbar, Saikiran Pendem\",\"doi\":\"10.4314/ejhs.v35i2.2\",\"DOIUrl\":null,\"url\":null,\"abstract\":\"<p><strong>Background: </strong>Computed enhanced computed tomography (CECT) of the thorax is an effective imaging technique for diagnosing lung diseases. However, the increased use of CECT thorax scans has raised concerns regarding cancer risk and contrast-induced nephropathy (CIN). The iterative reconstruction (IR) method, specifically iDose4, enhances image quality (IQ) and reduces artifacts at low doses (LD). This study aimed to evaluate the image quality (IQ) and radiation dose (RD) of low-dose, low-volume (LD-LV) CECT thorax with iDose4, compared to standard dose (SD) CECT thorax (iDose4).</p><p><strong>Methods: </strong>Group A consisted of 40 patients who underwent SD CECT thorax (120 kVp, 60 ml), while Group B included 40 patients who underwent LD-LV CECT thorax (80 kVp, 40 ml). All CECT thorax scans were performed using a 128-slice Incisive CT (Philips Healthcare Systems). A qualitative analysis of thoracic structures in both the lung and mediastinal windows was performed. Quantitative parameters, including Hounsfield units (HU) for the pulmonary artery (CTPA) and infraspinatus muscle (CTISM), noise (SD), and contrast-to-noise ratio (CNR), were also assessed. The Mann-Whitney U test and independent t-test were used to compare IQ and radiation dose between the two groups.</p><p><strong>Results: </strong>Qualitative analysis of thoracic structures in the lung and mediastinal windows revealed no significant difference (p > 0.001) between the two groups. Quantitative parameters, such as CTPA, CTISM, and CNR, showed statistically significant differences (p < 0.001), with higher values observed in the LD-LV group compared to the SD group. The effective dose (ED) was reduced by 65.2% in the LD-LV group.</p><p><strong>Conclusion: </strong>Our LD-LV CECT thorax protocol using iDose4 demonstrated a significant reduction in effective dose and iodine contrast volume, while maintaining image quality and enhancing diagnostic confidence.</p>\",\"PeriodicalId\":12003,\"journal\":{\"name\":\"Ethiopian Journal of Health Sciences\",\"volume\":\"35 2\",\"pages\":\"74-82\"},\"PeriodicalIF\":1.5000,\"publicationDate\":\"2025-03-01\",\"publicationTypes\":\"Journal Article\",\"fieldsOfStudy\":null,\"isOpenAccess\":false,\"openAccessPdf\":\"https://www.ncbi.nlm.nih.gov/pmc/articles/PMC12153069/pdf/\",\"citationCount\":\"0\",\"resultStr\":null,\"platform\":\"Semanticscholar\",\"paperid\":null,\"PeriodicalName\":\"Ethiopian Journal of Health Sciences\",\"FirstCategoryId\":\"1085\",\"ListUrlMain\":\"https://doi.org/10.4314/ejhs.v35i2.2\",\"RegionNum\":0,\"RegionCategory\":null,\"ArticlePicture\":[],\"TitleCN\":null,\"AbstractTextCN\":null,\"PMCID\":null,\"EPubDate\":\"\",\"PubModel\":\"\",\"JCR\":\"Q3\",\"JCRName\":\"HEALTH CARE SCIENCES & SERVICES\",\"Score\":null,\"Total\":0}","platform":"Semanticscholar","paperid":null,"PeriodicalName":"Ethiopian Journal of Health Sciences","FirstCategoryId":"1085","ListUrlMain":"https://doi.org/10.4314/ejhs.v35i2.2","RegionNum":0,"RegionCategory":null,"ArticlePicture":[],"TitleCN":null,"AbstractTextCN":null,"PMCID":null,"EPubDate":"","PubModel":"","JCR":"Q3","JCRName":"HEALTH CARE SCIENCES & SERVICES","Score":null,"Total":0}
引用次数: 0

摘要

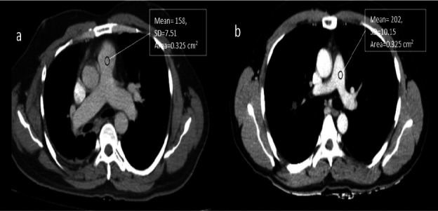
背景:胸部计算机增强计算机断层扫描(CECT)是诊断肺部疾病的有效成像技术。然而,CECT胸腔扫描使用的增加引起了对癌症风险和造影剂肾病(CIN)的担忧。迭代重建(IR)方法,特别是iDose4,提高了图像质量(IQ)并减少了低剂量(LD)下的伪影。本研究旨在评价iDose4低剂量、低容量(LD-LV) CECT胸与标准剂量(SD) CECT胸(iDose4)的影像质量(IQ)和辐射剂量(RD)。方法:A组40例行SD CECT胸(120 kVp, 60 ml), B组40例行低-低压CECT胸(80 kVp, 40 ml)。所有CECT胸部扫描均使用128层切开CT (Philips Healthcare Systems)进行。对肺和纵隔窗的胸廓结构进行定性分析。还评估了定量参数,包括肺动脉(CTPA)和冈下肌(CTISM)的Hounsfield单位(HU)、噪声(SD)和噪声对比比(CNR)。采用Mann-Whitney U检验和独立t检验比较两组的智商和辐射剂量。结果:两组肺和纵隔窗胸廓结构定性分析无显著差异(p < 0.001)。定量参数CTPA、CTISM、CNR差异有统计学意义(p < 0.001),且LD-LV组高于SD组。低剂量-低剂量组有效剂量(ED)降低65.2%。结论:我们使用iDose4的LD-LV CECT胸腔方案显示有效剂量和碘造影剂体积显著降低,同时保持图像质量并提高诊断信心。
本文章由计算机程序翻译,如有差异,请以英文原文为准。

Low Dose Contrast Enhanced CT Thorax Protocol: Comparison of Low Kilovoltage, Low Contrast Volume Using Iterative Reconstruction Technique with Standard Protocol.

Low Dose Contrast Enhanced CT Thorax Protocol: Comparison of Low Kilovoltage, Low Contrast Volume Using Iterative Reconstruction Technique with Standard Protocol.

Background: Computed enhanced computed tomography (CECT) of the thorax is an effective imaging technique for diagnosing lung diseases. However, the increased use of CECT thorax scans has raised concerns regarding cancer risk and contrast-induced nephropathy (CIN). The iterative reconstruction (IR) method, specifically iDose4, enhances image quality (IQ) and reduces artifacts at low doses (LD). This study aimed to evaluate the image quality (IQ) and radiation dose (RD) of low-dose, low-volume (LD-LV) CECT thorax with iDose4, compared to standard dose (SD) CECT thorax (iDose4).

Methods: Group A consisted of 40 patients who underwent SD CECT thorax (120 kVp, 60 ml), while Group B included 40 patients who underwent LD-LV CECT thorax (80 kVp, 40 ml). All CECT thorax scans were performed using a 128-slice Incisive CT (Philips Healthcare Systems). A qualitative analysis of thoracic structures in both the lung and mediastinal windows was performed. Quantitative parameters, including Hounsfield units (HU) for the pulmonary artery (CTPA) and infraspinatus muscle (CTISM), noise (SD), and contrast-to-noise ratio (CNR), were also assessed. The Mann-Whitney U test and independent t-test were used to compare IQ and radiation dose between the two groups.

Results: Qualitative analysis of thoracic structures in the lung and mediastinal windows revealed no significant difference (p > 0.001) between the two groups. Quantitative parameters, such as CTPA, CTISM, and CNR, showed statistically significant differences (p < 0.001), with higher values observed in the LD-LV group compared to the SD group. The effective dose (ED) was reduced by 65.2% in the LD-LV group.

Conclusion: Our LD-LV CECT thorax protocol using iDose4 demonstrated a significant reduction in effective dose and iodine contrast volume, while maintaining image quality and enhancing diagnostic confidence.

求助全文
通过发布文献求助,成功后即可免费获取论文全文。 去求助
来源期刊
Ethiopian Journal of Health Sciences
Ethiopian Journal of Health Sciences HEALTH CARE SCIENCES & SERVICES-
CiteScore
2.10
自引率
8.30%
发文量
137
审稿时长
12 weeks
期刊介绍: Ethiopian Journal of Health Sciences is a general health science journal addressing clinical medicine, public health and biomedical sciences. Rarely, it covers veterinary medicine
×
引用
GB/T 7714-2015
复制
MLA
复制
APA
复制
导出至
BibTeX EndNote RefMan NoteFirst NoteExpress
×
提示
您的信息不完整,为了账户安全,请先补充。
现在去补充
×
提示
您因"违规操作"
具体请查看互助需知
我知道了
×
提示
确定
请完成安全验证×
copy
已复制链接
快去分享给好友吧!
我知道了
右上角分享
点击右上角分享
0
联系我们:info@booksci.cn Book学术提供免费学术资源搜索服务,方便国内外学者检索中英文文献。致力于提供最便捷和优质的服务体验。 Copyright © 2023 布克学术 All rights reserved.
京ICP备2023020795号-1
ghs 京公网安备 11010802042870号
Book学术文献互助
Book学术文献互助群
群 号:604180095
Book学术官方微信