在一项大型动物转译试验中,分子筛选确定了MINOCA的不同炎症反应。

IF 8 1区 医学 Q1 CARDIAC & CARDIOVASCULAR SYSTEMS
Basic Research in Cardiology Pub Date : 2025-08-01 Epub Date: 2025-06-13 DOI:10.1007/s00395-025-01118-9
Jasper Iske, Joshua M Mesfin, Petra Wolint, Miriam Weisskopf, Christien Beez, Henriette Thau, Christian T Stoeck, January M Weiner, Melanie M Hierweger, Eva van Gelder, Thorald Stolte, Nuri Ünesen, Ross Straughan, Lucas S J Eckholt, Nina Trimmel, Dieter Beule, Heike Meyborg, Timo Z Nazari-Shafti, Volkmar Falk, Maximilian Y Emmert, Nikola Cesarovic
{"title":"在一项大型动物转译试验中,分子筛选确定了MINOCA的不同炎症反应。","authors":"Jasper Iske, Joshua M Mesfin, Petra Wolint, Miriam Weisskopf, Christien Beez, Henriette Thau, Christian T Stoeck, January M Weiner, Melanie M Hierweger, Eva van Gelder, Thorald Stolte, Nuri Ünesen, Ross Straughan, Lucas S J Eckholt, Nina Trimmel, Dieter Beule, Heike Meyborg, Timo Z Nazari-Shafti, Volkmar Falk, Maximilian Y Emmert, Nikola Cesarovic","doi":"10.1007/s00395-025-01118-9","DOIUrl":null,"url":null,"abstract":"<p><p>Myocardial infarction without obstructive coronary arteries (MINOCA) comprises up to 15% of all myocardial infarctions (MI) and could be caused by cardiac microembolization (CME) originating from plaque rupture and/or erosion. Early diagnosis remains a challenge due to limited early biomarkers, leading to high morbidity. Here, we have systematically characterized acute (up to 5 h) CME-induced MINOCA in comparison to MI using clinical markers, histology, multi-ELISAs, miRNA profiling, and proteomics in a translational porcine animal model. CME-induced MINOCA model was created by injecting autologous microthrombi, generated by carotid crush maneuver, into the coronary arteries, whereas MI was induced by LAD balloon occlusion/reperfusion. MINOCA animals exhibited low troponin (547.0 ± 489.2 ng/L) and creatine kinase (1827.8 ± 677.3 U/L) levels, as well as infarct size (2.3 ± 0.8%), necrosis (7.6 ± 3.2%), and interstitial hemorrhage (0.6 ± 0.4%). Immune cell infiltration surrounding MINOCA microthrombi sites was significantly higher (1532 ± 722 cells/mm<sup>2</sup>) in comparison to MI infarct zones (470 ± 320 cells/mm<sup>2</sup>). Furthermore, cytokine profiling showed elevated IL-1α and IL-1β in both groups, higher IL-10 in MINOCA, and higher IFN-y in MI. The MINOCA-specific pro-inflammatory miRNA, ssc-miR-802, was identified. Plasma proteomic analysis revealed leukotriene signaling as a MINOCA inflammatory pathway with augmented leukotriene-A4-hydrolase levels. Its product, leukotriene B4, was increased in MINOCA serum at 150 min (1031 ± 537.6 pg/mL) and 300 min (1309 ± 640.8 pg/mL) and in tissue (408.2 ± 92.12 pg/mL) vs. MI (428.9 ± 9.483 pg/mL in serum at 150 min, 308.76 ± 5.484 pg/mL in serum at 300 min, and 76.22 ± 31.12 pg/mL in tissue). In summary, CME-induced MINOCA elicits a distinct pro-inflammatory leukotriene response compared to MI, presenting a new acute MINOCA diagnostic and therapeutic target.</p>","PeriodicalId":8723,"journal":{"name":"Basic Research in Cardiology","volume":" ","pages":"657-675"},"PeriodicalIF":8.0000,"publicationDate":"2025-08-01","publicationTypes":"Journal Article","fieldsOfStudy":null,"isOpenAccess":false,"openAccessPdf":"https://www.ncbi.nlm.nih.gov/pmc/articles/PMC12325550/pdf/","citationCount":"0","resultStr":"{\"title\":\"Molecular screening in a translational large animal trial identifies a differential inflammatory response for MINOCA.\",\"authors\":\"Jasper Iske, Joshua M Mesfin, Petra Wolint, Miriam Weisskopf, Christien Beez, Henriette Thau, Christian T Stoeck, January M Weiner, Melanie M Hierweger, Eva van Gelder, Thorald Stolte, Nuri Ünesen, Ross Straughan, Lucas S J Eckholt, Nina Trimmel, Dieter Beule, Heike Meyborg, Timo Z Nazari-Shafti, Volkmar Falk, Maximilian Y Emmert, Nikola Cesarovic\",\"doi\":\"10.1007/s00395-025-01118-9\",\"DOIUrl\":null,\"url\":null,\"abstract\":\"<p><p>Myocardial infarction without obstructive coronary arteries (MINOCA) comprises up to 15% of all myocardial infarctions (MI) and could be caused by cardiac microembolization (CME) originating from plaque rupture and/or erosion. Early diagnosis remains a challenge due to limited early biomarkers, leading to high morbidity. Here, we have systematically characterized acute (up to 5 h) CME-induced MINOCA in comparison to MI using clinical markers, histology, multi-ELISAs, miRNA profiling, and proteomics in a translational porcine animal model. CME-induced MINOCA model was created by injecting autologous microthrombi, generated by carotid crush maneuver, into the coronary arteries, whereas MI was induced by LAD balloon occlusion/reperfusion. MINOCA animals exhibited low troponin (547.0 ± 489.2 ng/L) and creatine kinase (1827.8 ± 677.3 U/L) levels, as well as infarct size (2.3 ± 0.8%), necrosis (7.6 ± 3.2%), and interstitial hemorrhage (0.6 ± 0.4%). Immune cell infiltration surrounding MINOCA microthrombi sites was significantly higher (1532 ± 722 cells/mm<sup>2</sup>) in comparison to MI infarct zones (470 ± 320 cells/mm<sup>2</sup>). Furthermore, cytokine profiling showed elevated IL-1α and IL-1β in both groups, higher IL-10 in MINOCA, and higher IFN-y in MI. The MINOCA-specific pro-inflammatory miRNA, ssc-miR-802, was identified. Plasma proteomic analysis revealed leukotriene signaling as a MINOCA inflammatory pathway with augmented leukotriene-A4-hydrolase levels. Its product, leukotriene B4, was increased in MINOCA serum at 150 min (1031 ± 537.6 pg/mL) and 300 min (1309 ± 640.8 pg/mL) and in tissue (408.2 ± 92.12 pg/mL) vs. MI (428.9 ± 9.483 pg/mL in serum at 150 min, 308.76 ± 5.484 pg/mL in serum at 300 min, and 76.22 ± 31.12 pg/mL in tissue). In summary, CME-induced MINOCA elicits a distinct pro-inflammatory leukotriene response compared to MI, presenting a new acute MINOCA diagnostic and therapeutic target.</p>\",\"PeriodicalId\":8723,\"journal\":{\"name\":\"Basic Research in Cardiology\",\"volume\":\" \",\"pages\":\"657-675\"},\"PeriodicalIF\":8.0000,\"publicationDate\":\"2025-08-01\",\"publicationTypes\":\"Journal Article\",\"fieldsOfStudy\":null,\"isOpenAccess\":false,\"openAccessPdf\":\"https://www.ncbi.nlm.nih.gov/pmc/articles/PMC12325550/pdf/\",\"citationCount\":\"0\",\"resultStr\":null,\"platform\":\"Semanticscholar\",\"paperid\":null,\"PeriodicalName\":\"Basic Research in Cardiology\",\"FirstCategoryId\":\"3\",\"ListUrlMain\":\"https://doi.org/10.1007/s00395-025-01118-9\",\"RegionNum\":1,\"RegionCategory\":\"医学\",\"ArticlePicture\":[],\"TitleCN\":null,\"AbstractTextCN\":null,\"PMCID\":null,\"EPubDate\":\"2025/6/13 0:00:00\",\"PubModel\":\"Epub\",\"JCR\":\"Q1\",\"JCRName\":\"CARDIAC & CARDIOVASCULAR SYSTEMS\",\"Score\":null,\"Total\":0}","platform":"Semanticscholar","paperid":null,"PeriodicalName":"Basic Research in Cardiology","FirstCategoryId":"3","ListUrlMain":"https://doi.org/10.1007/s00395-025-01118-9","RegionNum":1,"RegionCategory":"医学","ArticlePicture":[],"TitleCN":null,"AbstractTextCN":null,"PMCID":null,"EPubDate":"2025/6/13 0:00:00","PubModel":"Epub","JCR":"Q1","JCRName":"CARDIAC & CARDIOVASCULAR SYSTEMS","Score":null,"Total":0}
引用次数: 0

摘要

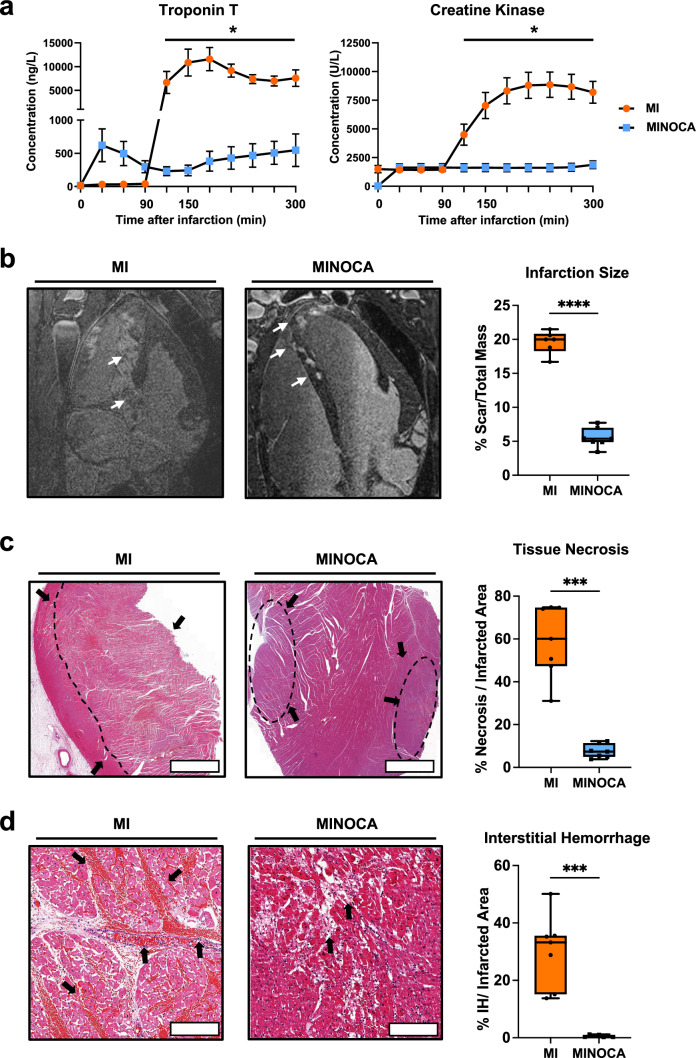
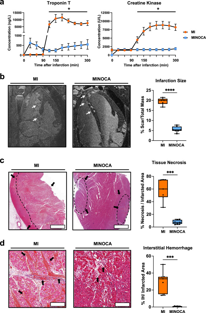
无阻塞性冠状动脉心肌梗死(MINOCA)占所有心肌梗死(MI)的15%,可由斑块破裂和/或侵蚀引起的心脏微栓塞(CME)引起。由于早期生物标志物有限,早期诊断仍然是一个挑战,导致高发病率。在这里,我们系统地描述了急性(长达5小时)cme诱导的MINOCA与心肌梗塞的比较,使用临床标记,组织学,多重elisa, miRNA分析和蛋白质组学在翻译猪动物模型中。cme诱导的MINOCA模型是通过将颈动脉挤压术产生的自体微血栓注射到冠状动脉中,而心肌梗死是通过LAD球囊闭塞/再灌注诱导的。MINOCA动物表现为低肌钙蛋白(547.0±489.2 ng/L)和肌酸激酶(1827.8±677.3 U/L)水平,梗死面积(2.3±0.8%),坏死(7.6±3.2%)和间质出血(0.6±0.4%)。MINOCA微血栓周围的免疫细胞浸润(1532±722个细胞/mm2)明显高于心肌梗死区(470±320个细胞/mm2)。此外,细胞因子分析显示,两组患者IL-1α和IL-1β水平均升高,MINOCA患者IL-10水平升高,MI患者IFN-y水平升高。血浆蛋白质组学分析显示白三烯信号作为MINOCA炎症途径,白三烯- a4水解酶水平升高。其产物白三烯B4在150分钟MINOCA血清(1031±537.6 pg/mL)和300分钟MINOCA血清(1309±640.8 pg/mL)和组织中(408.2±92.12 pg/mL)高于MI(150分钟血清428.9±9.483 pg/mL, 300分钟血清308.76±5.484 pg/mL,组织中76.22±31.12 pg/mL)。综上所述,与心肌梗死相比,cme诱导的MINOCA引发了明显的促炎白三烯反应,提出了一个新的急性MINOCA诊断和治疗靶点。
本文章由计算机程序翻译,如有差异,请以英文原文为准。

Molecular screening in a translational large animal trial identifies a differential inflammatory response for MINOCA.

Molecular screening in a translational large animal trial identifies a differential inflammatory response for MINOCA.

Molecular screening in a translational large animal trial identifies a differential inflammatory response for MINOCA.

Molecular screening in a translational large animal trial identifies a differential inflammatory response for MINOCA.

Molecular screening in a translational large animal trial identifies a differential inflammatory response for MINOCA.

Molecular screening in a translational large animal trial identifies a differential inflammatory response for MINOCA.

Molecular screening in a translational large animal trial identifies a differential inflammatory response for MINOCA.

Myocardial infarction without obstructive coronary arteries (MINOCA) comprises up to 15% of all myocardial infarctions (MI) and could be caused by cardiac microembolization (CME) originating from plaque rupture and/or erosion. Early diagnosis remains a challenge due to limited early biomarkers, leading to high morbidity. Here, we have systematically characterized acute (up to 5 h) CME-induced MINOCA in comparison to MI using clinical markers, histology, multi-ELISAs, miRNA profiling, and proteomics in a translational porcine animal model. CME-induced MINOCA model was created by injecting autologous microthrombi, generated by carotid crush maneuver, into the coronary arteries, whereas MI was induced by LAD balloon occlusion/reperfusion. MINOCA animals exhibited low troponin (547.0 ± 489.2 ng/L) and creatine kinase (1827.8 ± 677.3 U/L) levels, as well as infarct size (2.3 ± 0.8%), necrosis (7.6 ± 3.2%), and interstitial hemorrhage (0.6 ± 0.4%). Immune cell infiltration surrounding MINOCA microthrombi sites was significantly higher (1532 ± 722 cells/mm2) in comparison to MI infarct zones (470 ± 320 cells/mm2). Furthermore, cytokine profiling showed elevated IL-1α and IL-1β in both groups, higher IL-10 in MINOCA, and higher IFN-y in MI. The MINOCA-specific pro-inflammatory miRNA, ssc-miR-802, was identified. Plasma proteomic analysis revealed leukotriene signaling as a MINOCA inflammatory pathway with augmented leukotriene-A4-hydrolase levels. Its product, leukotriene B4, was increased in MINOCA serum at 150 min (1031 ± 537.6 pg/mL) and 300 min (1309 ± 640.8 pg/mL) and in tissue (408.2 ± 92.12 pg/mL) vs. MI (428.9 ± 9.483 pg/mL in serum at 150 min, 308.76 ± 5.484 pg/mL in serum at 300 min, and 76.22 ± 31.12 pg/mL in tissue). In summary, CME-induced MINOCA elicits a distinct pro-inflammatory leukotriene response compared to MI, presenting a new acute MINOCA diagnostic and therapeutic target.

求助全文
通过发布文献求助,成功后即可免费获取论文全文。 去求助
来源期刊
Basic Research in Cardiology
Basic Research in Cardiology 医学-心血管系统
CiteScore
16.30
自引率
5.30%
发文量
54
审稿时长
6-12 weeks
期刊介绍: Basic Research in Cardiology is an international journal for cardiovascular research. It provides a forum for original and review articles related to experimental cardiology that meet its stringent scientific standards. Basic Research in Cardiology regularly receives articles from the fields of - Molecular and Cellular Biology - Biochemistry - Biophysics - Pharmacology - Physiology and Pathology - Clinical Cardiology
×
引用
GB/T 7714-2015
复制
MLA
复制
APA
复制
导出至
BibTeX EndNote RefMan NoteFirst NoteExpress
×
提示
您的信息不完整,为了账户安全,请先补充。
现在去补充
×
提示
您因"违规操作"
具体请查看互助需知
我知道了
×
提示
确定
请完成安全验证×
copy
已复制链接
快去分享给好友吧!
我知道了
右上角分享
点击右上角分享
0
联系我们:info@booksci.cn Book学术提供免费学术资源搜索服务,方便国内外学者检索中英文文献。致力于提供最便捷和优质的服务体验。 Copyright © 2023 布克学术 All rights reserved.
京ICP备2023020795号-1
ghs 京公网安备 11010802042870号
Book学术文献互助
Book学术文献互助群
群 号:604180095
Book学术官方微信