免疫pet检测艰难梭菌体内感染的毒素选择性免疫示踪剂的研制。

IF 4.4 Q1 CHEMISTRY, INORGANIC & NUCLEAR
Mario González-Arjona, Lorena Cussó, Luis Alcalá, María Isabel González, Alexandra de Francisco, María Jesús Fernández-Aceñero, Dag Sehlin, Stina Syvänen, Emilio Bouza, Patricia Muñoz, Manuel Desco, Beatriz Salinas
{"title":"免疫pet检测艰难梭菌体内感染的毒素选择性免疫示踪剂的研制。","authors":"Mario González-Arjona,&nbsp;Lorena Cussó,&nbsp;Luis Alcalá,&nbsp;María Isabel González,&nbsp;Alexandra de Francisco,&nbsp;María Jesús Fernández-Aceñero,&nbsp;Dag Sehlin,&nbsp;Stina Syvänen,&nbsp;Emilio Bouza,&nbsp;Patricia Muñoz,&nbsp;Manuel Desco,&nbsp;Beatriz Salinas","doi":"10.1186/s41181-025-00350-x","DOIUrl":null,"url":null,"abstract":"<div><h3>Background</h3><p><i>Clostridioides difficile</i> infection (CDI) is a major healthcare challenge that is associated with high morbidity and mortality. Current diagnostic methods are limited in terms of specificity and invasiveness, necessitating novel, non-invasive imaging techniques. In this study, we develop and evaluate an immunoPET radiotracer targeting <i>C. difficile</i> toxin B for in vivo detection of CDI in a murine model.</p><h3>Results</h3><p>The monoclonal antibody bezlotoxumab, was radiolabeled with [<sup>125</sup>I]I for in vitro characterization and with [<sup>89</sup>Zr]Zr for in vivo PET imaging, resulting in high radiochemical yields (75.36 ± 4.11% for [<sup>125</sup>I]I and 71.58 ± 8.19% for [<sup>89</sup>Zr]Zr) and purities (&gt; 99.99% in both cases), with stable binding properties. PET/CT imaging 48 h post-infection in an animal model of CDI (C57BL/6 mice and ribotype 027 strain) demonstrated specific accumulation of [<sup>89</sup>Zr]Zr-DFO-Beztxab in the colon and cecum of infected mice, thus making it possible to distinguish CDI from dysbiosis without specific <i>C. difficile</i> infection and healthy controls. Findings were confirmed by PET-based quantification and ex vivo biodistribution.</p><h3>Conclusions</h3><p>We successfully developed an immunoPET radiotracer targeting toxin B for detection of CDI. Its application in an animal CDI model proved its capacity to detect the source of infection with high specificity, while avoiding confusion with non-specific inflammation.</p></div>","PeriodicalId":534,"journal":{"name":"EJNMMI Radiopharmacy and Chemistry","volume":"10 1","pages":""},"PeriodicalIF":4.4000,"publicationDate":"2025-06-13","publicationTypes":"Journal Article","fieldsOfStudy":null,"isOpenAccess":false,"openAccessPdf":"https://www.ncbi.nlm.nih.gov/pmc/articles/PMC12165932/pdf/","citationCount":"0","resultStr":"{\"title\":\"Development of a toxin-selective immunotracer for in vivo detection of Clostridioides difficile infection by immunoPET\",\"authors\":\"Mario González-Arjona,&nbsp;Lorena Cussó,&nbsp;Luis Alcalá,&nbsp;María Isabel González,&nbsp;Alexandra de Francisco,&nbsp;María Jesús Fernández-Aceñero,&nbsp;Dag Sehlin,&nbsp;Stina Syvänen,&nbsp;Emilio Bouza,&nbsp;Patricia Muñoz,&nbsp;Manuel Desco,&nbsp;Beatriz Salinas\",\"doi\":\"10.1186/s41181-025-00350-x\",\"DOIUrl\":null,\"url\":null,\"abstract\":\"<div><h3>Background</h3><p><i>Clostridioides difficile</i> infection (CDI) is a major healthcare challenge that is associated with high morbidity and mortality. Current diagnostic methods are limited in terms of specificity and invasiveness, necessitating novel, non-invasive imaging techniques. In this study, we develop and evaluate an immunoPET radiotracer targeting <i>C. difficile</i> toxin B for in vivo detection of CDI in a murine model.</p><h3>Results</h3><p>The monoclonal antibody bezlotoxumab, was radiolabeled with [<sup>125</sup>I]I for in vitro characterization and with [<sup>89</sup>Zr]Zr for in vivo PET imaging, resulting in high radiochemical yields (75.36 ± 4.11% for [<sup>125</sup>I]I and 71.58 ± 8.19% for [<sup>89</sup>Zr]Zr) and purities (&gt; 99.99% in both cases), with stable binding properties. PET/CT imaging 48 h post-infection in an animal model of CDI (C57BL/6 mice and ribotype 027 strain) demonstrated specific accumulation of [<sup>89</sup>Zr]Zr-DFO-Beztxab in the colon and cecum of infected mice, thus making it possible to distinguish CDI from dysbiosis without specific <i>C. difficile</i> infection and healthy controls. Findings were confirmed by PET-based quantification and ex vivo biodistribution.</p><h3>Conclusions</h3><p>We successfully developed an immunoPET radiotracer targeting toxin B for detection of CDI. Its application in an animal CDI model proved its capacity to detect the source of infection with high specificity, while avoiding confusion with non-specific inflammation.</p></div>\",\"PeriodicalId\":534,\"journal\":{\"name\":\"EJNMMI Radiopharmacy and Chemistry\",\"volume\":\"10 1\",\"pages\":\"\"},\"PeriodicalIF\":4.4000,\"publicationDate\":\"2025-06-13\",\"publicationTypes\":\"Journal Article\",\"fieldsOfStudy\":null,\"isOpenAccess\":false,\"openAccessPdf\":\"https://www.ncbi.nlm.nih.gov/pmc/articles/PMC12165932/pdf/\",\"citationCount\":\"0\",\"resultStr\":null,\"platform\":\"Semanticscholar\",\"paperid\":null,\"PeriodicalName\":\"EJNMMI Radiopharmacy and Chemistry\",\"FirstCategoryId\":\"1085\",\"ListUrlMain\":\"https://link.springer.com/article/10.1186/s41181-025-00350-x\",\"RegionNum\":0,\"RegionCategory\":null,\"ArticlePicture\":[],\"TitleCN\":null,\"AbstractTextCN\":null,\"PMCID\":null,\"EPubDate\":\"\",\"PubModel\":\"\",\"JCR\":\"Q1\",\"JCRName\":\"CHEMISTRY, INORGANIC & NUCLEAR\",\"Score\":null,\"Total\":0}","platform":"Semanticscholar","paperid":null,"PeriodicalName":"EJNMMI Radiopharmacy and Chemistry","FirstCategoryId":"1085","ListUrlMain":"https://link.springer.com/article/10.1186/s41181-025-00350-x","RegionNum":0,"RegionCategory":null,"ArticlePicture":[],"TitleCN":null,"AbstractTextCN":null,"PMCID":null,"EPubDate":"","PubModel":"","JCR":"Q1","JCRName":"CHEMISTRY, INORGANIC & NUCLEAR","Score":null,"Total":0}
引用次数: 0

摘要

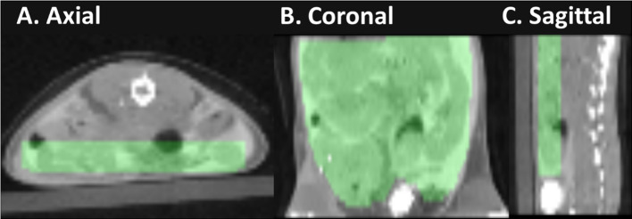
背景:艰难梭菌感染(CDI)是一个主要的卫生保健挑战,与高发病率和死亡率相关。目前的诊断方法在特异性和侵入性方面受到限制,需要新的非侵入性成像技术。在这项研究中,我们开发并评估了一种针对艰难梭菌毒素B的免疫pet放射性示踪剂,用于小鼠模型体内检测CDI。结果:单克隆抗体bezlotoxumab体外鉴定用[125I]I进行放射标记,体内PET成像用[89Zr]Zr进行放射标记,放射化学产率高([125I]I为75.36±4.11%,[89Zr]Zr为71.58±8.19%),纯度高(两种情况下均为> 99.99%),结合性能稳定。CDI动物模型(C57BL/6小鼠和027型核型菌株)感染48 h后的PET/CT成像显示,感染小鼠的结肠和盲肠中特异性积累了[89Zr]Zr-DFO-Beztxab,从而可以区分CDI与未特异性难辨梭菌感染和健康对照的生态不良。结果经pet定量和体外生物分布证实。结论:成功研制了一种靶向毒素B的CDI免疫pet示踪剂。其在动物CDI模型中的应用证明其具有高特异性检测感染源的能力,同时避免与非特异性炎症混淆。
本文章由计算机程序翻译,如有差异,请以英文原文为准。

Development of a toxin-selective immunotracer for in vivo detection of Clostridioides difficile infection by immunoPET

Development of a toxin-selective immunotracer for in vivo detection of Clostridioides difficile infection by immunoPET

Development of a toxin-selective immunotracer for in vivo detection of Clostridioides difficile infection by immunoPET

Development of a toxin-selective immunotracer for in vivo detection of Clostridioides difficile infection by immunoPET

Background

Clostridioides difficile infection (CDI) is a major healthcare challenge that is associated with high morbidity and mortality. Current diagnostic methods are limited in terms of specificity and invasiveness, necessitating novel, non-invasive imaging techniques. In this study, we develop and evaluate an immunoPET radiotracer targeting C. difficile toxin B for in vivo detection of CDI in a murine model.

Results

The monoclonal antibody bezlotoxumab, was radiolabeled with [125I]I for in vitro characterization and with [89Zr]Zr for in vivo PET imaging, resulting in high radiochemical yields (75.36 ± 4.11% for [125I]I and 71.58 ± 8.19% for [89Zr]Zr) and purities (> 99.99% in both cases), with stable binding properties. PET/CT imaging 48 h post-infection in an animal model of CDI (C57BL/6 mice and ribotype 027 strain) demonstrated specific accumulation of [89Zr]Zr-DFO-Beztxab in the colon and cecum of infected mice, thus making it possible to distinguish CDI from dysbiosis without specific C. difficile infection and healthy controls. Findings were confirmed by PET-based quantification and ex vivo biodistribution.

Conclusions

We successfully developed an immunoPET radiotracer targeting toxin B for detection of CDI. Its application in an animal CDI model proved its capacity to detect the source of infection with high specificity, while avoiding confusion with non-specific inflammation.

求助全文
通过发布文献求助,成功后即可免费获取论文全文。 去求助
来源期刊
CiteScore
7.20
自引率
8.70%
发文量
30
审稿时长
5 weeks
×
引用
GB/T 7714-2015
复制
MLA
复制
APA
复制
导出至
BibTeX EndNote RefMan NoteFirst NoteExpress
×
提示
您的信息不完整,为了账户安全,请先补充。
现在去补充
×
提示
您因"违规操作"
具体请查看互助需知
我知道了
×
提示
确定
请完成安全验证×
copy
已复制链接
快去分享给好友吧!
我知道了
右上角分享
点击右上角分享
0
联系我们:info@booksci.cn Book学术提供免费学术资源搜索服务,方便国内外学者检索中英文文献。致力于提供最便捷和优质的服务体验。 Copyright © 2023 布克学术 All rights reserved.
京ICP备2023020795号-1
ghs 京公网安备 11010802042870号
Book学术文献互助
Book学术文献互助群
群 号:604180095
Book学术官方微信