伪装成硬皮病的轻链(AL)淀粉样变:诊断挑战。

IF 1.3 Q4 HEMATOLOGY
Journal of hematology Pub Date : 2025-06-01 Epub Date: 2025-04-22 DOI:10.14740/jh2055
Kriti Dhamija, Rahim A Jiwani, Arjun Lakshaman, Santhosh Sadashiv, Prerna Mewawalla
{"title":"伪装成硬皮病的轻链(AL)淀粉样变:诊断挑战。","authors":"Kriti Dhamija, Rahim A Jiwani, Arjun Lakshaman, Santhosh Sadashiv, Prerna Mewawalla","doi":"10.14740/jh2055","DOIUrl":null,"url":null,"abstract":"<p><p>Systemic amyloidosis has diverse, often nonspecific, clinical manifestations that overlap or mimic other medical disorders, making amyloidosis a diagnostic challenge. We present a case of a middle-aged female who presented with skin thickening, fatigue, arthritis, and macroglossia, which were initially thought to be due to systemic sclerosis. With no response to immunosuppressive therapies, she was tested for plasma cell dyscrasias. Additional work-up and cardiac biopsy were positive for amyloid light chain (AL) amyloidosis. The diagnosis was delayed by 2 years because the protein electrophoresis ordered at the initial encounter was not accompanied by serum-free light chain testing. This case emphasizes the importance of considering amyloidosis in patients with unexplained systemic symptoms and highlights the role of a comprehensive diagnostic evaluation.</p>","PeriodicalId":15964,"journal":{"name":"Journal of hematology","volume":"14 3","pages":"152-157"},"PeriodicalIF":1.3000,"publicationDate":"2025-06-01","publicationTypes":"Journal Article","fieldsOfStudy":null,"isOpenAccess":false,"openAccessPdf":"https://www.ncbi.nlm.nih.gov/pmc/articles/PMC12151118/pdf/","citationCount":"0","resultStr":"{\"title\":\"Light Chain (AL) Amyloidosis Masquerading as Scleroderma: A Diagnostic Challenge.\",\"authors\":\"Kriti Dhamija, Rahim A Jiwani, Arjun Lakshaman, Santhosh Sadashiv, Prerna Mewawalla\",\"doi\":\"10.14740/jh2055\",\"DOIUrl\":null,\"url\":null,\"abstract\":\"<p><p>Systemic amyloidosis has diverse, often nonspecific, clinical manifestations that overlap or mimic other medical disorders, making amyloidosis a diagnostic challenge. We present a case of a middle-aged female who presented with skin thickening, fatigue, arthritis, and macroglossia, which were initially thought to be due to systemic sclerosis. With no response to immunosuppressive therapies, she was tested for plasma cell dyscrasias. Additional work-up and cardiac biopsy were positive for amyloid light chain (AL) amyloidosis. The diagnosis was delayed by 2 years because the protein electrophoresis ordered at the initial encounter was not accompanied by serum-free light chain testing. This case emphasizes the importance of considering amyloidosis in patients with unexplained systemic symptoms and highlights the role of a comprehensive diagnostic evaluation.</p>\",\"PeriodicalId\":15964,\"journal\":{\"name\":\"Journal of hematology\",\"volume\":\"14 3\",\"pages\":\"152-157\"},\"PeriodicalIF\":1.3000,\"publicationDate\":\"2025-06-01\",\"publicationTypes\":\"Journal Article\",\"fieldsOfStudy\":null,\"isOpenAccess\":false,\"openAccessPdf\":\"https://www.ncbi.nlm.nih.gov/pmc/articles/PMC12151118/pdf/\",\"citationCount\":\"0\",\"resultStr\":null,\"platform\":\"Semanticscholar\",\"paperid\":null,\"PeriodicalName\":\"Journal of hematology\",\"FirstCategoryId\":\"1085\",\"ListUrlMain\":\"https://doi.org/10.14740/jh2055\",\"RegionNum\":0,\"RegionCategory\":null,\"ArticlePicture\":[],\"TitleCN\":null,\"AbstractTextCN\":null,\"PMCID\":null,\"EPubDate\":\"2025/4/22 0:00:00\",\"PubModel\":\"Epub\",\"JCR\":\"Q4\",\"JCRName\":\"HEMATOLOGY\",\"Score\":null,\"Total\":0}","platform":"Semanticscholar","paperid":null,"PeriodicalName":"Journal of hematology","FirstCategoryId":"1085","ListUrlMain":"https://doi.org/10.14740/jh2055","RegionNum":0,"RegionCategory":null,"ArticlePicture":[],"TitleCN":null,"AbstractTextCN":null,"PMCID":null,"EPubDate":"2025/4/22 0:00:00","PubModel":"Epub","JCR":"Q4","JCRName":"HEMATOLOGY","Score":null,"Total":0}
引用次数: 0

摘要

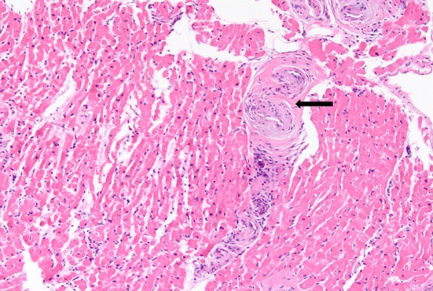
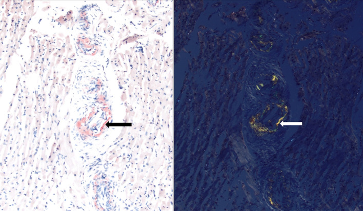
系统性淀粉样变性具有多种多样的临床表现,通常是非特异性的,这些临床表现与其他医学疾病重叠或相似,使淀粉样变性成为一种诊断挑战。我们提出一个中年女性的情况下,谁提出皮肤增厚,疲劳,关节炎和大舌,这最初被认为是由于系统性硬化症。由于对免疫抑制疗法无反应,她接受了浆细胞增生试验。额外的检查和心脏活检对淀粉样蛋白轻链(AL)淀粉样变性呈阳性。诊断延迟了2年,因为在初次接触时订购的蛋白质电泳没有伴随无血清轻链测试。本病例强调了考虑淀粉样变性患者无法解释的全身性症状的重要性,并强调了综合诊断评估的作用。
本文章由计算机程序翻译,如有差异,请以英文原文为准。

Light Chain (AL) Amyloidosis Masquerading as Scleroderma: A Diagnostic Challenge.

Light Chain (AL) Amyloidosis Masquerading as Scleroderma: A Diagnostic Challenge.

Light Chain (AL) Amyloidosis Masquerading as Scleroderma: A Diagnostic Challenge.

Systemic amyloidosis has diverse, often nonspecific, clinical manifestations that overlap or mimic other medical disorders, making amyloidosis a diagnostic challenge. We present a case of a middle-aged female who presented with skin thickening, fatigue, arthritis, and macroglossia, which were initially thought to be due to systemic sclerosis. With no response to immunosuppressive therapies, she was tested for plasma cell dyscrasias. Additional work-up and cardiac biopsy were positive for amyloid light chain (AL) amyloidosis. The diagnosis was delayed by 2 years because the protein electrophoresis ordered at the initial encounter was not accompanied by serum-free light chain testing. This case emphasizes the importance of considering amyloidosis in patients with unexplained systemic symptoms and highlights the role of a comprehensive diagnostic evaluation.

求助全文
通过发布文献求助,成功后即可免费获取论文全文。 去求助
来源期刊
Journal of hematology
Journal of hematology HEMATOLOGY-
自引率
0.00%
发文量
29
×
引用
GB/T 7714-2015
复制
MLA
复制
APA
复制
导出至
BibTeX EndNote RefMan NoteFirst NoteExpress
×
提示
您的信息不完整,为了账户安全,请先补充。
现在去补充
×
提示
您因"违规操作"
具体请查看互助需知
我知道了
×
提示
确定
请完成安全验证×
copy
已复制链接
快去分享给好友吧!
我知道了
右上角分享
点击右上角分享
0
联系我们:info@booksci.cn Book学术提供免费学术资源搜索服务,方便国内外学者检索中英文文献。致力于提供最便捷和优质的服务体验。 Copyright © 2023 布克学术 All rights reserved.
京ICP备2023020795号-1
ghs 京公网安备 11010802042870号
Book学术文献互助
Book学术文献互助群
群 号:604180095
Book学术官方微信