1例her2阳性乳腺癌患者在抗her2治疗中出现anca阳性肺肉芽肿:病例报告及文献复习

Q3 Medicine
European journal of case reports in internal medicine Pub Date : 2025-05-09 eCollection Date: 2025-01-01 DOI:10.12890/2025_005349
Florian Collard Vanthournhout, Myriam Remmelink, Laura Polastro, Maxime Ilzkovitz
{"title":"1例her2阳性乳腺癌患者在抗her2治疗中出现anca阳性肺肉芽肿:病例报告及文献复习","authors":"Florian Collard Vanthournhout, Myriam Remmelink, Laura Polastro, Maxime Ilzkovitz","doi":"10.12890/2025_005349","DOIUrl":null,"url":null,"abstract":"<p><strong>Introduction: </strong>This case highlights the diagnostic complexity of pulmonary granulomatosis in oncology patients, especially when treated with targeted therapy.</p><p><strong>Case report: </strong>We report the case of a 46-year-old female with metastatic HER2-mutated breast cancer who had received multiple lines of HER2-targeted therapies. The patient presented with suspected lung and mediastinal lymph node progression, despite a good response at other affected sites. A lymph node biopsy revealed non-necrotizing pulmonary granulomas, with negative microbiological testing. Further evaluations showed highly elevated anti-PR3 autoantibodies, while angiotensin-converting enzyme (ACE) and calcium levels remained within the normal range. Pulmonary function tests confirmed a restrictive syndrome. Nasal fibroscopy identified chronic sinusitis with massive nasal polyposis, without renal or cutaneous involvement. High-dose corticosteroid therapy was initiated, leading to a favourable response. Based on the clinical presentation, radiological findings, and pathological features, we concluded that the granulomatosis was related to HER2-targeted therapy.</p><p><strong>Conclusion: </strong>This case highlights that both an underlying malignancy and specific drugs-such as HER2-targeted therapy-can occasionally contribute to granuloma formation.</p><p><strong>Learning points: </strong>Differentiating pulmonary granulomatosis is challenging in oncology patients.HER2-targeted therapies can induce non-necrotizing lung granulomatosis.</p>","PeriodicalId":11908,"journal":{"name":"European journal of case reports in internal medicine","volume":"12 6","pages":"005349"},"PeriodicalIF":0.0000,"publicationDate":"2025-05-09","publicationTypes":"Journal Article","fieldsOfStudy":null,"isOpenAccess":false,"openAccessPdf":"https://www.ncbi.nlm.nih.gov/pmc/articles/PMC12151562/pdf/","citationCount":"0","resultStr":"{\"title\":\"ANCA-Positive Pulmonary Granulomatosis in A HER2-Positive Breast Cancer Patient on ANTI-HER2 Therapy: Case Report and Literature Review.\",\"authors\":\"Florian Collard Vanthournhout, Myriam Remmelink, Laura Polastro, Maxime Ilzkovitz\",\"doi\":\"10.12890/2025_005349\",\"DOIUrl\":null,\"url\":null,\"abstract\":\"<p><strong>Introduction: </strong>This case highlights the diagnostic complexity of pulmonary granulomatosis in oncology patients, especially when treated with targeted therapy.</p><p><strong>Case report: </strong>We report the case of a 46-year-old female with metastatic HER2-mutated breast cancer who had received multiple lines of HER2-targeted therapies. The patient presented with suspected lung and mediastinal lymph node progression, despite a good response at other affected sites. A lymph node biopsy revealed non-necrotizing pulmonary granulomas, with negative microbiological testing. Further evaluations showed highly elevated anti-PR3 autoantibodies, while angiotensin-converting enzyme (ACE) and calcium levels remained within the normal range. Pulmonary function tests confirmed a restrictive syndrome. Nasal fibroscopy identified chronic sinusitis with massive nasal polyposis, without renal or cutaneous involvement. High-dose corticosteroid therapy was initiated, leading to a favourable response. Based on the clinical presentation, radiological findings, and pathological features, we concluded that the granulomatosis was related to HER2-targeted therapy.</p><p><strong>Conclusion: </strong>This case highlights that both an underlying malignancy and specific drugs-such as HER2-targeted therapy-can occasionally contribute to granuloma formation.</p><p><strong>Learning points: </strong>Differentiating pulmonary granulomatosis is challenging in oncology patients.HER2-targeted therapies can induce non-necrotizing lung granulomatosis.</p>\",\"PeriodicalId\":11908,\"journal\":{\"name\":\"European journal of case reports in internal medicine\",\"volume\":\"12 6\",\"pages\":\"005349\"},\"PeriodicalIF\":0.0000,\"publicationDate\":\"2025-05-09\",\"publicationTypes\":\"Journal Article\",\"fieldsOfStudy\":null,\"isOpenAccess\":false,\"openAccessPdf\":\"https://www.ncbi.nlm.nih.gov/pmc/articles/PMC12151562/pdf/\",\"citationCount\":\"0\",\"resultStr\":null,\"platform\":\"Semanticscholar\",\"paperid\":null,\"PeriodicalName\":\"European journal of case reports in internal medicine\",\"FirstCategoryId\":\"1085\",\"ListUrlMain\":\"https://doi.org/10.12890/2025_005349\",\"RegionNum\":0,\"RegionCategory\":null,\"ArticlePicture\":[],\"TitleCN\":null,\"AbstractTextCN\":null,\"PMCID\":null,\"EPubDate\":\"2025/1/1 0:00:00\",\"PubModel\":\"eCollection\",\"JCR\":\"Q3\",\"JCRName\":\"Medicine\",\"Score\":null,\"Total\":0}","platform":"Semanticscholar","paperid":null,"PeriodicalName":"European journal of case reports in internal medicine","FirstCategoryId":"1085","ListUrlMain":"https://doi.org/10.12890/2025_005349","RegionNum":0,"RegionCategory":null,"ArticlePicture":[],"TitleCN":null,"AbstractTextCN":null,"PMCID":null,"EPubDate":"2025/1/1 0:00:00","PubModel":"eCollection","JCR":"Q3","JCRName":"Medicine","Score":null,"Total":0}
引用次数: 0

摘要

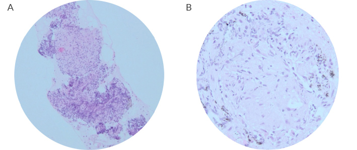
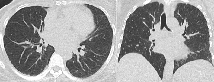
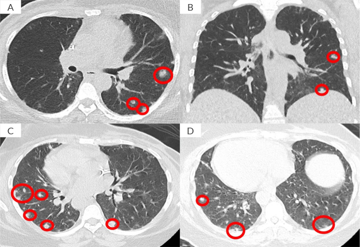
本病例强调了肿瘤患者肺肉芽肿病的诊断复杂性,特别是在接受靶向治疗时。病例报告:我们报告了一例46岁的女性转移性her2突变乳腺癌患者,她接受了多种her2靶向治疗。患者表现为疑似肺和纵隔淋巴结进展,尽管其他受累部位反应良好。淋巴结活检显示非坏死性肺肉芽肿,微生物检测阴性。进一步的评估显示抗pr3自身抗体高度升高,而血管紧张素转换酶(ACE)和钙水平保持在正常范围内。肺功能检查证实是限制性综合征鼻纤维镜检查发现慢性鼻窦炎伴大量鼻息肉,未累及肾脏或皮肤。大剂量皮质类固醇治疗开始,导致良好的反应。根据临床表现、影像学表现和病理特征,我们认为肉芽肿病与her2靶向治疗有关。结论:该病例强调了潜在的恶性肿瘤和特异性药物(如her2靶向治疗)偶尔会导致肉芽肿的形成。学习要点:在肿瘤患者中鉴别肺肉芽肿病具有挑战性。her2靶向治疗可诱导非坏死性肺肉芽肿病。
本文章由计算机程序翻译,如有差异,请以英文原文为准。

ANCA-Positive Pulmonary Granulomatosis in A HER2-Positive Breast Cancer Patient on ANTI-HER2 Therapy: Case Report and Literature Review.

ANCA-Positive Pulmonary Granulomatosis in A HER2-Positive Breast Cancer Patient on ANTI-HER2 Therapy: Case Report and Literature Review.

ANCA-Positive Pulmonary Granulomatosis in A HER2-Positive Breast Cancer Patient on ANTI-HER2 Therapy: Case Report and Literature Review.

ANCA-Positive Pulmonary Granulomatosis in A HER2-Positive Breast Cancer Patient on ANTI-HER2 Therapy: Case Report and Literature Review.

Introduction: This case highlights the diagnostic complexity of pulmonary granulomatosis in oncology patients, especially when treated with targeted therapy.

Case report: We report the case of a 46-year-old female with metastatic HER2-mutated breast cancer who had received multiple lines of HER2-targeted therapies. The patient presented with suspected lung and mediastinal lymph node progression, despite a good response at other affected sites. A lymph node biopsy revealed non-necrotizing pulmonary granulomas, with negative microbiological testing. Further evaluations showed highly elevated anti-PR3 autoantibodies, while angiotensin-converting enzyme (ACE) and calcium levels remained within the normal range. Pulmonary function tests confirmed a restrictive syndrome. Nasal fibroscopy identified chronic sinusitis with massive nasal polyposis, without renal or cutaneous involvement. High-dose corticosteroid therapy was initiated, leading to a favourable response. Based on the clinical presentation, radiological findings, and pathological features, we concluded that the granulomatosis was related to HER2-targeted therapy.

Conclusion: This case highlights that both an underlying malignancy and specific drugs-such as HER2-targeted therapy-can occasionally contribute to granuloma formation.

Learning points: Differentiating pulmonary granulomatosis is challenging in oncology patients.HER2-targeted therapies can induce non-necrotizing lung granulomatosis.

求助全文
通过发布文献求助,成功后即可免费获取论文全文。 去求助
来源期刊
CiteScore
2.10
自引率
0.00%
发文量
166
审稿时长
8 weeks
期刊介绍: The European Journal of Case Reports in Internal Medicine is an official journal of the European Federation of Internal Medicine (EFIM), representing 35 national societies from 33 European countries. The Journal''s mission is to promote the best medical practice and innovation in the field of acute and general medicine. It also provides a forum for internal medicine doctors where they can share new approaches with the aim of improving diagnostic and clinical skills in this field. EJCRIM welcomes high-quality case reports describing unusual or complex cases that an internist may encounter in everyday practice. The cases should either demonstrate the appropriateness of a diagnostic/therapeutic approach, describe a new procedure or maneuver, or show unusual manifestations of a disease or unexpected reactions. The Journal only accepts and publishes those case reports whose learning points provide new insight and/or contribute to advancing medical knowledge both in terms of diagnostics and therapeutic approaches. Case reports of medical errors, therefore, are also welcome as long as they provide innovative measures on how to prevent them in the current practice (Instructive Errors). The Journal may also consider brief and reasoned reports on issues relevant to the practice of Internal Medicine, as well as Abstracts submitted to the scientific meetings of acknowledged medical societies.
×
引用
GB/T 7714-2015
复制
MLA
复制
APA
复制
导出至
BibTeX EndNote RefMan NoteFirst NoteExpress
×
提示
您的信息不完整,为了账户安全,请先补充。
现在去补充
×
提示
您因"违规操作"
具体请查看互助需知
我知道了
×
提示
确定
请完成安全验证×
copy
已复制链接
快去分享给好友吧!
我知道了
右上角分享
点击右上角分享
0
联系我们:info@booksci.cn Book学术提供免费学术资源搜索服务,方便国内外学者检索中英文文献。致力于提供最便捷和优质的服务体验。 Copyright © 2023 布克学术 All rights reserved.
京ICP备2023020795号-1
ghs 京公网安备 11010802042870号
Book学术文献互助
Book学术文献互助群
群 号:604180095
Book学术官方微信