聚丙烯手术补片修复大鼠桡骨骨折临界骨缺损的疗效评价。

IF 1.6 Q3 ORTHOPEDICS
Advances in Orthopedics Pub Date : 2025-06-04 eCollection Date: 2025-01-01 DOI:10.1155/aort/7262524
Asrin Emami, Seyed Hadi Kalantar, Asma Mafhumi, Hiva Saffar, Iman Menbari Oskouie
{"title":"聚丙烯手术补片修复大鼠桡骨骨折临界骨缺损的疗效评价。","authors":"Asrin Emami, Seyed Hadi Kalantar, Asma Mafhumi, Hiva Saffar, Iman Menbari Oskouie","doi":"10.1155/aort/7262524","DOIUrl":null,"url":null,"abstract":"<p><p>Bone fractures involving critical-sized defects pose a significant challenge in orthopedic surgery, often requiring innovative strategies to promote bone regeneration. This study aimed to evaluate the effectiveness of polypropylene surgical mesh in repairing critical-sized radius bone defects in a rat model. Treatments included autologous grafts and a combination of mesh and graft, compared with an untreated control group. After 6 weeks, X-ray and CT scan analyses revealed significant bone healing and callus formation in the treated groups, with the graft + mesh group showing the most pronounced improvement. Histomorphometric analyses demonstrated that the mesh scaffold significantly enhanced new bone formation, osteoblast and osteocyte counts, and bone microarchitecture compared with grafts alone. These findings suggest that mesh scaffolds offer superior osteogenic potential and could provide a promising adjunct for treating critical-sized bone defects. Future studies should explore optimized mesh designs and the interplay between osteogenesis and angiogenesis to improve clinical outcomes.</p>","PeriodicalId":7358,"journal":{"name":"Advances in Orthopedics","volume":"2025 ","pages":"7262524"},"PeriodicalIF":1.6000,"publicationDate":"2025-06-04","publicationTypes":"Journal Article","fieldsOfStudy":null,"isOpenAccess":false,"openAccessPdf":"https://www.ncbi.nlm.nih.gov/pmc/articles/PMC12158591/pdf/","citationCount":"0","resultStr":"{\"title\":\"Evaluation of Radius Fracture Repair With Critical-Sized Bone Defects Using Polypropylene Surgical Mesh in Rats.\",\"authors\":\"Asrin Emami, Seyed Hadi Kalantar, Asma Mafhumi, Hiva Saffar, Iman Menbari Oskouie\",\"doi\":\"10.1155/aort/7262524\",\"DOIUrl\":null,\"url\":null,\"abstract\":\"<p><p>Bone fractures involving critical-sized defects pose a significant challenge in orthopedic surgery, often requiring innovative strategies to promote bone regeneration. This study aimed to evaluate the effectiveness of polypropylene surgical mesh in repairing critical-sized radius bone defects in a rat model. Treatments included autologous grafts and a combination of mesh and graft, compared with an untreated control group. After 6 weeks, X-ray and CT scan analyses revealed significant bone healing and callus formation in the treated groups, with the graft + mesh group showing the most pronounced improvement. Histomorphometric analyses demonstrated that the mesh scaffold significantly enhanced new bone formation, osteoblast and osteocyte counts, and bone microarchitecture compared with grafts alone. These findings suggest that mesh scaffolds offer superior osteogenic potential and could provide a promising adjunct for treating critical-sized bone defects. Future studies should explore optimized mesh designs and the interplay between osteogenesis and angiogenesis to improve clinical outcomes.</p>\",\"PeriodicalId\":7358,\"journal\":{\"name\":\"Advances in Orthopedics\",\"volume\":\"2025 \",\"pages\":\"7262524\"},\"PeriodicalIF\":1.6000,\"publicationDate\":\"2025-06-04\",\"publicationTypes\":\"Journal Article\",\"fieldsOfStudy\":null,\"isOpenAccess\":false,\"openAccessPdf\":\"https://www.ncbi.nlm.nih.gov/pmc/articles/PMC12158591/pdf/\",\"citationCount\":\"0\",\"resultStr\":null,\"platform\":\"Semanticscholar\",\"paperid\":null,\"PeriodicalName\":\"Advances in Orthopedics\",\"FirstCategoryId\":\"1085\",\"ListUrlMain\":\"https://doi.org/10.1155/aort/7262524\",\"RegionNum\":0,\"RegionCategory\":null,\"ArticlePicture\":[],\"TitleCN\":null,\"AbstractTextCN\":null,\"PMCID\":null,\"EPubDate\":\"2025/1/1 0:00:00\",\"PubModel\":\"eCollection\",\"JCR\":\"Q3\",\"JCRName\":\"ORTHOPEDICS\",\"Score\":null,\"Total\":0}","platform":"Semanticscholar","paperid":null,"PeriodicalName":"Advances in Orthopedics","FirstCategoryId":"1085","ListUrlMain":"https://doi.org/10.1155/aort/7262524","RegionNum":0,"RegionCategory":null,"ArticlePicture":[],"TitleCN":null,"AbstractTextCN":null,"PMCID":null,"EPubDate":"2025/1/1 0:00:00","PubModel":"eCollection","JCR":"Q3","JCRName":"ORTHOPEDICS","Score":null,"Total":0}
引用次数: 0

摘要

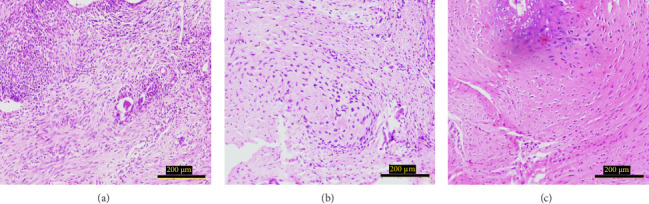
涉及临界尺寸缺陷的骨折在骨科手术中是一个重大挑战,通常需要创新的策略来促进骨再生。本研究旨在评估聚丙烯外科补片修复大鼠桡骨缺损的效果。与未治疗的对照组相比,治疗包括自体移植物和补片与移植物的结合。6周后,x线和CT扫描分析显示,治疗组骨愈合和骨痂形成明显,其中移植物+补片组改善最明显。组织形态计量学分析表明,与单独移植物相比,网状支架显著增强了新骨形成、成骨细胞和骨细胞计数以及骨微结构。这些发现表明网状支架具有优越的成骨潜力,可以为治疗临界大小的骨缺损提供有希望的辅助手段。未来的研究应探索优化的补片设计以及成骨和血管生成之间的相互作用,以改善临床结果。
本文章由计算机程序翻译,如有差异,请以英文原文为准。

Evaluation of Radius Fracture Repair With Critical-Sized Bone Defects Using Polypropylene Surgical Mesh in Rats.

Evaluation of Radius Fracture Repair With Critical-Sized Bone Defects Using Polypropylene Surgical Mesh in Rats.

Evaluation of Radius Fracture Repair With Critical-Sized Bone Defects Using Polypropylene Surgical Mesh in Rats.

Evaluation of Radius Fracture Repair With Critical-Sized Bone Defects Using Polypropylene Surgical Mesh in Rats.

Bone fractures involving critical-sized defects pose a significant challenge in orthopedic surgery, often requiring innovative strategies to promote bone regeneration. This study aimed to evaluate the effectiveness of polypropylene surgical mesh in repairing critical-sized radius bone defects in a rat model. Treatments included autologous grafts and a combination of mesh and graft, compared with an untreated control group. After 6 weeks, X-ray and CT scan analyses revealed significant bone healing and callus formation in the treated groups, with the graft + mesh group showing the most pronounced improvement. Histomorphometric analyses demonstrated that the mesh scaffold significantly enhanced new bone formation, osteoblast and osteocyte counts, and bone microarchitecture compared with grafts alone. These findings suggest that mesh scaffolds offer superior osteogenic potential and could provide a promising adjunct for treating critical-sized bone defects. Future studies should explore optimized mesh designs and the interplay between osteogenesis and angiogenesis to improve clinical outcomes.

求助全文
通过发布文献求助,成功后即可免费获取论文全文。 去求助
来源期刊
CiteScore
2.40
自引率
0.00%
发文量
36
审稿时长
21 weeks
期刊介绍: Advances in Orthopedics is a peer-reviewed, Open Access journal that provides a forum for orthopaedics working on improving the quality of orthopedic health care. The journal publishes original research articles, review articles, and clinical studies related to arthroplasty, hand surgery, limb reconstruction, pediatric orthopaedics, sports medicine, trauma, spinal deformities, and orthopaedic oncology.
×
引用
GB/T 7714-2015
复制
MLA
复制
APA
复制
导出至
BibTeX EndNote RefMan NoteFirst NoteExpress
×
提示
您的信息不完整,为了账户安全,请先补充。
现在去补充
×
提示
您因"违规操作"
具体请查看互助需知
我知道了
×
提示
确定
请完成安全验证×
copy
已复制链接
快去分享给好友吧!
我知道了
右上角分享
点击右上角分享
0
联系我们:info@booksci.cn Book学术提供免费学术资源搜索服务,方便国内外学者检索中英文文献。致力于提供最便捷和优质的服务体验。 Copyright © 2023 布克学术 All rights reserved.
京ICP备2023020795号-1
ghs 京公网安备 11010802042870号
Book学术文献互助
Book学术文献互助群
群 号:604180095
Book学术官方微信