颈动脉网:关注其与纤维肌肉发育不良关系的最新进展及治疗策略。

IF 8.6 1区 医学 Q1 CLINICAL NEUROLOGY
Journal of Stroke Pub Date : 2025-05-01 Epub Date: 2025-05-31 DOI:10.5853/jos.2025.00626
Marialuisa Zedde, Maria Simona Stoenoiu, Alexandre Persu, Rosario Pascarella
{"title":"颈动脉网:关注其与纤维肌肉发育不良关系的最新进展及治疗策略。","authors":"Marialuisa Zedde, Maria Simona Stoenoiu, Alexandre Persu, Rosario Pascarella","doi":"10.5853/jos.2025.00626","DOIUrl":null,"url":null,"abstract":"<p><p>Carotid web was described more than 50 years ago as an atypical fibromuscular dysplasia (FMD) subtype with highly supporting pathological evidence as intimal FMD. In the following decades, the transition from catheter angiography or digital subtraction angiography (DSA) to non-invasive imaging techniques and the dramatic decrease in pathological procedures contributed to the gradual loss of this information. Currently, attention on the carotid web has increased due to its association with cryptogenic ischemic stroke. In fact, the underlying hypothesis is that the morphological features of the carotid web may determine a thrombogenic potential with artery-to-artery embolism. The pathology of the carotid web allowed identification of small thrombi embedded in the web pouch, and the features of thrombi endovascularly retrieved from intracranial arteries are very similar. The diagnosis of carotid web is usually made by non-invasive techniques, such as computed tomography angiography, ultrasound, and magnetic resonance imaging, requiring the concordance of two different techniques for confirming the diagnosis. DSA is usually considered in cases of diagnostic uncertainty and when interventional treatment of ischemic stroke or carotid web is considered. Treatment options in symptomatic cases include medical therapy (single or dual antiplatelets) or interventional approach (surgery or stenting), but there are no randomized controlled trials about therapy. The main aim of this review is to present the current knowledge on carotid web, retrieving historical data and angiographic classifications of FMD, as well as to discuss the biological plausibility of the association with stroke in symptomatic cases and the need for an updated classification of FMD, together with prospective data.</p>","PeriodicalId":17135,"journal":{"name":"Journal of Stroke","volume":"27 2","pages":"169-183"},"PeriodicalIF":8.6000,"publicationDate":"2025-05-01","publicationTypes":"Journal Article","fieldsOfStudy":null,"isOpenAccess":false,"openAccessPdf":"https://www.ncbi.nlm.nih.gov/pmc/articles/PMC12152460/pdf/","citationCount":"0","resultStr":"{\"title\":\"Carotid Web: An Update Focusing on Its Relationship With Fibromuscular Dysplasia and Therapeutic Strategy.\",\"authors\":\"Marialuisa Zedde, Maria Simona Stoenoiu, Alexandre Persu, Rosario Pascarella\",\"doi\":\"10.5853/jos.2025.00626\",\"DOIUrl\":null,\"url\":null,\"abstract\":\"<p><p>Carotid web was described more than 50 years ago as an atypical fibromuscular dysplasia (FMD) subtype with highly supporting pathological evidence as intimal FMD. In the following decades, the transition from catheter angiography or digital subtraction angiography (DSA) to non-invasive imaging techniques and the dramatic decrease in pathological procedures contributed to the gradual loss of this information. Currently, attention on the carotid web has increased due to its association with cryptogenic ischemic stroke. In fact, the underlying hypothesis is that the morphological features of the carotid web may determine a thrombogenic potential with artery-to-artery embolism. The pathology of the carotid web allowed identification of small thrombi embedded in the web pouch, and the features of thrombi endovascularly retrieved from intracranial arteries are very similar. The diagnosis of carotid web is usually made by non-invasive techniques, such as computed tomography angiography, ultrasound, and magnetic resonance imaging, requiring the concordance of two different techniques for confirming the diagnosis. DSA is usually considered in cases of diagnostic uncertainty and when interventional treatment of ischemic stroke or carotid web is considered. Treatment options in symptomatic cases include medical therapy (single or dual antiplatelets) or interventional approach (surgery or stenting), but there are no randomized controlled trials about therapy. The main aim of this review is to present the current knowledge on carotid web, retrieving historical data and angiographic classifications of FMD, as well as to discuss the biological plausibility of the association with stroke in symptomatic cases and the need for an updated classification of FMD, together with prospective data.</p>\",\"PeriodicalId\":17135,\"journal\":{\"name\":\"Journal of Stroke\",\"volume\":\"27 2\",\"pages\":\"169-183\"},\"PeriodicalIF\":8.6000,\"publicationDate\":\"2025-05-01\",\"publicationTypes\":\"Journal Article\",\"fieldsOfStudy\":null,\"isOpenAccess\":false,\"openAccessPdf\":\"https://www.ncbi.nlm.nih.gov/pmc/articles/PMC12152460/pdf/\",\"citationCount\":\"0\",\"resultStr\":null,\"platform\":\"Semanticscholar\",\"paperid\":null,\"PeriodicalName\":\"Journal of Stroke\",\"FirstCategoryId\":\"3\",\"ListUrlMain\":\"https://doi.org/10.5853/jos.2025.00626\",\"RegionNum\":1,\"RegionCategory\":\"医学\",\"ArticlePicture\":[],\"TitleCN\":null,\"AbstractTextCN\":null,\"PMCID\":null,\"EPubDate\":\"2025/5/31 0:00:00\",\"PubModel\":\"Epub\",\"JCR\":\"Q1\",\"JCRName\":\"CLINICAL NEUROLOGY\",\"Score\":null,\"Total\":0}","platform":"Semanticscholar","paperid":null,"PeriodicalName":"Journal of Stroke","FirstCategoryId":"3","ListUrlMain":"https://doi.org/10.5853/jos.2025.00626","RegionNum":1,"RegionCategory":"医学","ArticlePicture":[],"TitleCN":null,"AbstractTextCN":null,"PMCID":null,"EPubDate":"2025/5/31 0:00:00","PubModel":"Epub","JCR":"Q1","JCRName":"CLINICAL NEUROLOGY","Score":null,"Total":0}
引用次数: 0

摘要

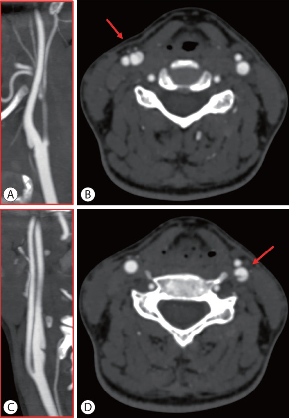
颈动脉网在50多年前被描述为非典型纤维肌肉发育不良(FMD)亚型,并有高度支持的病理证据作为内膜FMD。在接下来的几十年里,从导管血管造影或数字减影血管造影(DSA)到无创成像技术的转变以及病理程序的急剧减少导致了这些信息的逐渐丢失。目前,由于颈动脉网与隐源性缺血性脑卒中的关系,人们对其的关注有所增加。事实上,潜在的假设是颈动脉网的形态特征可能决定了动脉对动脉栓塞的血栓形成潜力。颈动脉网的病理允许识别嵌入在网袋中的小血栓,并且从颅内动脉血管内取出的血栓的特征非常相似。颈动脉网的诊断通常采用非侵入性技术,如计算机断层血管造影、超声和磁共振成像,需要两种不同技术的一致性来确认诊断。在诊断不确定的情况下,当考虑介入治疗缺血性中风或颈动脉网时,通常考虑DSA。有症状病例的治疗选择包括药物治疗(单或双抗血小板)或介入治疗(手术或支架置入术),但没有关于治疗的随机对照试验。本综述的主要目的是介绍目前关于颈动脉网的知识,检索FMD的历史数据和血管造影分类,并讨论在症状病例中与卒中相关的生物学合理性,以及更新FMD分类的必要性,以及前瞻性数据。
本文章由计算机程序翻译,如有差异,请以英文原文为准。

Carotid Web: An Update Focusing on Its Relationship With Fibromuscular Dysplasia and Therapeutic Strategy.

Carotid Web: An Update Focusing on Its Relationship With Fibromuscular Dysplasia and Therapeutic Strategy.

Carotid Web: An Update Focusing on Its Relationship With Fibromuscular Dysplasia and Therapeutic Strategy.

Carotid Web: An Update Focusing on Its Relationship With Fibromuscular Dysplasia and Therapeutic Strategy.

Carotid web was described more than 50 years ago as an atypical fibromuscular dysplasia (FMD) subtype with highly supporting pathological evidence as intimal FMD. In the following decades, the transition from catheter angiography or digital subtraction angiography (DSA) to non-invasive imaging techniques and the dramatic decrease in pathological procedures contributed to the gradual loss of this information. Currently, attention on the carotid web has increased due to its association with cryptogenic ischemic stroke. In fact, the underlying hypothesis is that the morphological features of the carotid web may determine a thrombogenic potential with artery-to-artery embolism. The pathology of the carotid web allowed identification of small thrombi embedded in the web pouch, and the features of thrombi endovascularly retrieved from intracranial arteries are very similar. The diagnosis of carotid web is usually made by non-invasive techniques, such as computed tomography angiography, ultrasound, and magnetic resonance imaging, requiring the concordance of two different techniques for confirming the diagnosis. DSA is usually considered in cases of diagnostic uncertainty and when interventional treatment of ischemic stroke or carotid web is considered. Treatment options in symptomatic cases include medical therapy (single or dual antiplatelets) or interventional approach (surgery or stenting), but there are no randomized controlled trials about therapy. The main aim of this review is to present the current knowledge on carotid web, retrieving historical data and angiographic classifications of FMD, as well as to discuss the biological plausibility of the association with stroke in symptomatic cases and the need for an updated classification of FMD, together with prospective data.

求助全文
通过发布文献求助,成功后即可免费获取论文全文。 去求助
来源期刊
Journal of Stroke
Journal of Stroke CLINICAL NEUROLOGYPERIPHERAL VASCULAR DISE-PERIPHERAL VASCULAR DISEASE
CiteScore
11.00
自引率
3.70%
发文量
52
审稿时长
12 weeks
期刊介绍: The Journal of Stroke (JoS) is a peer-reviewed publication that focuses on clinical and basic investigation of cerebral circulation and associated diseases in stroke-related fields. Its aim is to enhance patient management, education, clinical or experimental research, and professionalism. The journal covers various areas of stroke research, including pathophysiology, risk factors, symptomatology, imaging, treatment, and rehabilitation. Basic science research is included when it provides clinically relevant information. The JoS is particularly interested in studies that highlight characteristics of stroke in the Asian population, as they are underrepresented in the literature. The JoS had an impact factor of 8.2 in 2022 and aims to provide high-quality research papers to readers while maintaining a strong reputation. It is published three times a year, on the last day of January, May, and September. The online version of the journal is considered the main version as it includes all available content. Supplementary issues are occasionally published. The journal is indexed in various databases, including SCI(E), Pubmed, PubMed Central, Scopus, KoreaMed, Komci, Synapse, Science Central, Google Scholar, and DOI/Crossref. It is also the official journal of the Korean Stroke Society since 1999, with the abbreviated title J Stroke.
×
引用
GB/T 7714-2015
复制
MLA
复制
APA
复制
导出至
BibTeX EndNote RefMan NoteFirst NoteExpress
×
提示
您的信息不完整,为了账户安全,请先补充。
现在去补充
×
提示
您因"违规操作"
具体请查看互助需知
我知道了
×
提示
确定
请完成安全验证×
copy
已复制链接
快去分享给好友吧!
我知道了
右上角分享
点击右上角分享
0
联系我们:info@booksci.cn Book学术提供免费学术资源搜索服务,方便国内外学者检索中英文文献。致力于提供最便捷和优质的服务体验。 Copyright © 2023 布克学术 All rights reserved.
京ICP备2023020795号-1
ghs 京公网安备 11010802042870号
Book学术文献互助
Book学术文献互助群
群 号:604180095
Book学术官方微信