病例报告:富破骨巨细胞宫颈鳞状细胞癌——临床沉默的早期发现角化亚型的首例报道,并进行了详细的文献比较。

IF 2.3 4区 医学 Q3 ONCOLOGY
Pathology & Oncology Research Pub Date : 2025-05-26 eCollection Date: 2025-01-01 DOI:10.3389/pore.2025.1612076
Lukasz Fulawka, Beata Dawiec, Wojciech Homola, Agnieszka Halon
{"title":"病例报告:富破骨巨细胞宫颈鳞状细胞癌——临床沉默的早期发现角化亚型的首例报道,并进行了详细的文献比较。","authors":"Lukasz Fulawka, Beata Dawiec, Wojciech Homola, Agnieszka Halon","doi":"10.3389/pore.2025.1612076","DOIUrl":null,"url":null,"abstract":"<p><strong>Introduction: </strong>We report the first case of an asymptomatic woman with osteoclast-like giant cell-rich cervical squamous cell carcinoma (OGC-rich cervical SCC), where the detection of cancer was made possible only by routine cytological screening. The presence of OGCs in cervical SCCs is an extremely rare phenomenon, with only 8 cases reported to date.</p><p><strong>Case description: </strong>Two consecutive liquid-based cytology revealed high-grade squamous intraepithelial lesion (HSIL). Molecular testing detected HPV 18. Colposcopic findings strongly supported the clinical diagnosis of HSIL/suspicious for invasion. Histopathological examination of biopsy samples revealed typical keratinizing-type cervical SCC morphology. The patient subsequently underwent LEEP (loop electrosurgical excision procedure). Microscopic examination of resection specimen confirmed the previous diagnosis. Moreover, groups of large multinucleated cells were observed at the periphery of some invasive nests. Most of them presented the morphology of osteoclasts, whereas some giant cells were similar to Langhans cells. All the giant cells were positive for vimentin and CD68, negative for pancytokeratin. Owing to positive margins following the LEEP procedure, the patient underwent hysterectomy via the Wertheim technique. No adjuvant treatment was applied, and after the 9-month follow-up, the patient was alive with no recurrence.</p><p><strong>Conclusion: </strong>Detailed literature review revealed that our case is the first case of keratinizing-subtype cervical OGC-rich SCC. Moreover, it is the youngest (33 yo.) patient with a significantly smaller diameter than previously reported cases. Unfortunately, owing to the small number of reported cases, the analysis did not allow us to draw conclusions about the potential prognostic or predictive value of OGC-rich morphology.</p>","PeriodicalId":19981,"journal":{"name":"Pathology & Oncology Research","volume":"31 ","pages":"1612076"},"PeriodicalIF":2.3000,"publicationDate":"2025-05-26","publicationTypes":"Journal Article","fieldsOfStudy":null,"isOpenAccess":false,"openAccessPdf":"https://www.ncbi.nlm.nih.gov/pmc/articles/PMC12146208/pdf/","citationCount":"0","resultStr":"{\"title\":\"Case Report: Osteoclastic giant cell-rich cervical squamous cell carcinoma-the first reported case of a clinically silent early-detected keratinizing subtype with a detailed literature comparison.\",\"authors\":\"Lukasz Fulawka, Beata Dawiec, Wojciech Homola, Agnieszka Halon\",\"doi\":\"10.3389/pore.2025.1612076\",\"DOIUrl\":null,\"url\":null,\"abstract\":\"<p><strong>Introduction: </strong>We report the first case of an asymptomatic woman with osteoclast-like giant cell-rich cervical squamous cell carcinoma (OGC-rich cervical SCC), where the detection of cancer was made possible only by routine cytological screening. The presence of OGCs in cervical SCCs is an extremely rare phenomenon, with only 8 cases reported to date.</p><p><strong>Case description: </strong>Two consecutive liquid-based cytology revealed high-grade squamous intraepithelial lesion (HSIL). Molecular testing detected HPV 18. Colposcopic findings strongly supported the clinical diagnosis of HSIL/suspicious for invasion. Histopathological examination of biopsy samples revealed typical keratinizing-type cervical SCC morphology. The patient subsequently underwent LEEP (loop electrosurgical excision procedure). Microscopic examination of resection specimen confirmed the previous diagnosis. Moreover, groups of large multinucleated cells were observed at the periphery of some invasive nests. Most of them presented the morphology of osteoclasts, whereas some giant cells were similar to Langhans cells. All the giant cells were positive for vimentin and CD68, negative for pancytokeratin. Owing to positive margins following the LEEP procedure, the patient underwent hysterectomy via the Wertheim technique. No adjuvant treatment was applied, and after the 9-month follow-up, the patient was alive with no recurrence.</p><p><strong>Conclusion: </strong>Detailed literature review revealed that our case is the first case of keratinizing-subtype cervical OGC-rich SCC. Moreover, it is the youngest (33 yo.) patient with a significantly smaller diameter than previously reported cases. Unfortunately, owing to the small number of reported cases, the analysis did not allow us to draw conclusions about the potential prognostic or predictive value of OGC-rich morphology.</p>\",\"PeriodicalId\":19981,\"journal\":{\"name\":\"Pathology & Oncology Research\",\"volume\":\"31 \",\"pages\":\"1612076\"},\"PeriodicalIF\":2.3000,\"publicationDate\":\"2025-05-26\",\"publicationTypes\":\"Journal Article\",\"fieldsOfStudy\":null,\"isOpenAccess\":false,\"openAccessPdf\":\"https://www.ncbi.nlm.nih.gov/pmc/articles/PMC12146208/pdf/\",\"citationCount\":\"0\",\"resultStr\":null,\"platform\":\"Semanticscholar\",\"paperid\":null,\"PeriodicalName\":\"Pathology & Oncology Research\",\"FirstCategoryId\":\"3\",\"ListUrlMain\":\"https://doi.org/10.3389/pore.2025.1612076\",\"RegionNum\":4,\"RegionCategory\":\"医学\",\"ArticlePicture\":[],\"TitleCN\":null,\"AbstractTextCN\":null,\"PMCID\":null,\"EPubDate\":\"2025/1/1 0:00:00\",\"PubModel\":\"eCollection\",\"JCR\":\"Q3\",\"JCRName\":\"ONCOLOGY\",\"Score\":null,\"Total\":0}","platform":"Semanticscholar","paperid":null,"PeriodicalName":"Pathology & Oncology Research","FirstCategoryId":"3","ListUrlMain":"https://doi.org/10.3389/pore.2025.1612076","RegionNum":4,"RegionCategory":"医学","ArticlePicture":[],"TitleCN":null,"AbstractTextCN":null,"PMCID":null,"EPubDate":"2025/1/1 0:00:00","PubModel":"eCollection","JCR":"Q3","JCRName":"ONCOLOGY","Score":null,"Total":0}
引用次数: 0

摘要

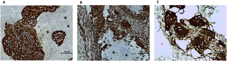
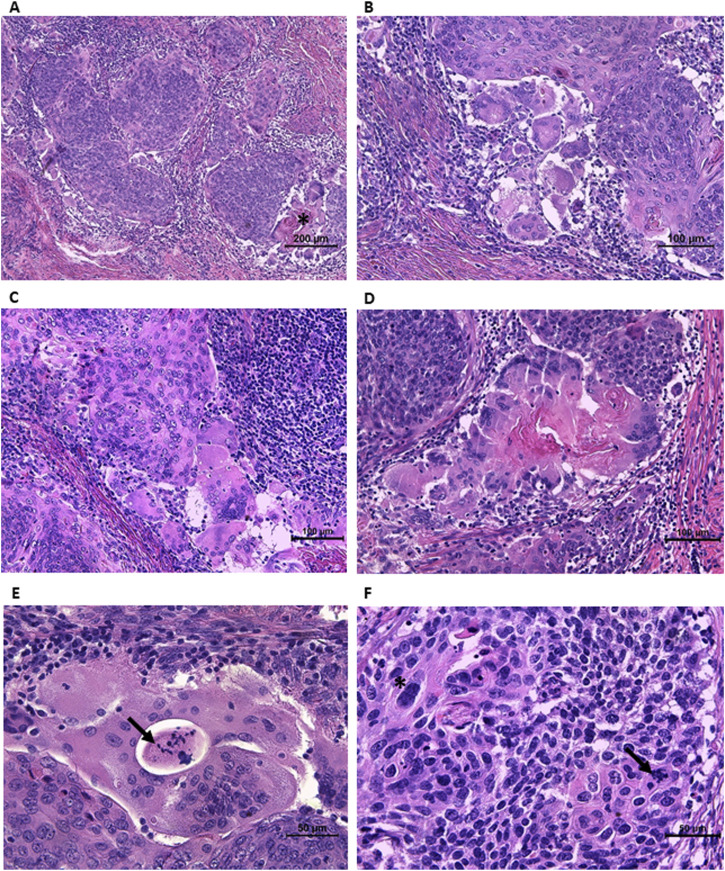
简介:我们报告了一例无症状的女性破骨细胞样巨细胞富宫颈鳞状细胞癌(ogc富宫颈SCC),其中癌症的检测只能通过常规细胞学筛查。在宫颈SCCs中出现OGCs是一种极其罕见的现象,迄今为止仅报道了8例。病例描述:连续两次液基细胞学检查显示高度鳞状上皮内病变(HSIL)。分子检测检测HPV 18。阴道镜检查结果有力支持HSIL的临床诊断/怀疑为侵袭性HSIL。组织病理学检查活检样本显示典型的角化型宫颈鳞状细胞癌形态。患者随后接受LEEP(环电切术)。切除标本的显微检查证实了先前的诊断。此外,在一些侵袭性巢的周围可见大的多核细胞群。大部分巨细胞呈破骨细胞形态,部分巨细胞与朗汉斯细胞相似。巨细胞vimentin和CD68阳性,全细胞角蛋白阴性。由于LEEP手术后边缘呈阳性,患者通过Wertheim技术进行了子宫切除术。未进行辅助治疗,随访9个月,患者存活,无复发。结论:通过详细的文献复习,我们的病例是第一例角化亚型宫颈富含ogc的SCC。此外,该患者年龄最小(33岁),直径明显小于先前报道的病例。不幸的是,由于报告的病例数量较少,分析不能使我们得出关于富含ogc形态学的潜在预后或预测价值的结论。
本文章由计算机程序翻译,如有差异,请以英文原文为准。

Case Report: Osteoclastic giant cell-rich cervical squamous cell carcinoma-the first reported case of a clinically silent early-detected keratinizing subtype with a detailed literature comparison.

Case Report: Osteoclastic giant cell-rich cervical squamous cell carcinoma-the first reported case of a clinically silent early-detected keratinizing subtype with a detailed literature comparison.

Case Report: Osteoclastic giant cell-rich cervical squamous cell carcinoma-the first reported case of a clinically silent early-detected keratinizing subtype with a detailed literature comparison.

Case Report: Osteoclastic giant cell-rich cervical squamous cell carcinoma-the first reported case of a clinically silent early-detected keratinizing subtype with a detailed literature comparison.

Introduction: We report the first case of an asymptomatic woman with osteoclast-like giant cell-rich cervical squamous cell carcinoma (OGC-rich cervical SCC), where the detection of cancer was made possible only by routine cytological screening. The presence of OGCs in cervical SCCs is an extremely rare phenomenon, with only 8 cases reported to date.

Case description: Two consecutive liquid-based cytology revealed high-grade squamous intraepithelial lesion (HSIL). Molecular testing detected HPV 18. Colposcopic findings strongly supported the clinical diagnosis of HSIL/suspicious for invasion. Histopathological examination of biopsy samples revealed typical keratinizing-type cervical SCC morphology. The patient subsequently underwent LEEP (loop electrosurgical excision procedure). Microscopic examination of resection specimen confirmed the previous diagnosis. Moreover, groups of large multinucleated cells were observed at the periphery of some invasive nests. Most of them presented the morphology of osteoclasts, whereas some giant cells were similar to Langhans cells. All the giant cells were positive for vimentin and CD68, negative for pancytokeratin. Owing to positive margins following the LEEP procedure, the patient underwent hysterectomy via the Wertheim technique. No adjuvant treatment was applied, and after the 9-month follow-up, the patient was alive with no recurrence.

Conclusion: Detailed literature review revealed that our case is the first case of keratinizing-subtype cervical OGC-rich SCC. Moreover, it is the youngest (33 yo.) patient with a significantly smaller diameter than previously reported cases. Unfortunately, owing to the small number of reported cases, the analysis did not allow us to draw conclusions about the potential prognostic or predictive value of OGC-rich morphology.

求助全文
通过发布文献求助,成功后即可免费获取论文全文。 去求助
来源期刊
CiteScore
6.30
自引率
0.00%
发文量
134
审稿时长
4-8 weeks
期刊介绍: Pathology & Oncology Research (POR) is an interdisciplinary Journal at the interface of pathology and oncology including the preclinical and translational research, diagnostics and therapy. Furthermore, POR is an international forum for the rapid communication of reviews, original research, critical and topical reports with excellence and novelty. Published quarterly, POR is dedicated to keeping scientists informed of developments on the selected biomedical fields bridging the gap between basic research and clinical medicine. It is a special aim for POR to promote pathological and oncological publishing activity of colleagues in the Central and East European region. The journal will be of interest to pathologists, and a broad range of experimental and clinical oncologists, and related experts. POR is supported by an acknowledged international advisory board and the Arányi Fundation for modern pathology.
×
引用
GB/T 7714-2015
复制
MLA
复制
APA
复制
导出至
BibTeX EndNote RefMan NoteFirst NoteExpress
×
提示
您的信息不完整,为了账户安全,请先补充。
现在去补充
×
提示
您因"违规操作"
具体请查看互助需知
我知道了
×
提示
确定
请完成安全验证×
copy
已复制链接
快去分享给好友吧!
我知道了
右上角分享
点击右上角分享
0
联系我们:info@booksci.cn Book学术提供免费学术资源搜索服务,方便国内外学者检索中英文文献。致力于提供最便捷和优质的服务体验。 Copyright © 2023 布克学术 All rights reserved.
京ICP备2023020795号-1
ghs 京公网安备 11010802042870号
Book学术文献互助
Book学术文献互助群
群 号:604180095
Book学术官方微信