应用弥散张量成像鉴别高级别胶质瘤和孤立性脑转移瘤。

Asian journal of neurosurgery Pub Date : 2025-01-13 eCollection Date: 2025-06-01 DOI:10.1055/s-0044-1801782
Shreyas Reddy K, Sandeep S, Sunitha P Kumaran, Shravan Reddy K, Meghana Kancharla
{"title":"应用弥散张量成像鉴别高级别胶质瘤和孤立性脑转移瘤。","authors":"Shreyas Reddy K, Sandeep S, Sunitha P Kumaran, Shravan Reddy K, Meghana Kancharla","doi":"10.1055/s-0044-1801782","DOIUrl":null,"url":null,"abstract":"<p><p><b>Background</b>  Brain tumors, encompassing a spectrum of neoplastic disorders, significantly impact patient morbidity and mortality. Distinguishing between high-grade gliomas (HGGs) and solitary brain metastases (SBMs) is crucial for tailored clinical management. Conventional structural magnetic resonance imaging (MRI) faces challenges in this differentiation, leading to the exploration of advanced imaging modalities such as diffusion tensor imaging (DTI). <b>Materials and Methods</b>  In this prospective study, 41 patients with solitary enhancing brain lesions underwent total or subtotal resection, confirmed by histopathology. Imaging involved a 3-Tesla MRI scanner, and DTI data were analyzed for metrics including mean diffusivity, fractional anisotropy (FA), axial diffusivity, radial diffusivity, as well as planar, spherical, and linear (CL) anisotropy coefficients. <b>Results</b>  Peritumoral FA and CL exhibited significant differences ( <i>p</i>  = 0.0217 and <i>p</i>  = 0.039, respectively) between HGG and SBM. The area under the curve for peritumoral FA and CL in differentiating HGG and SBM were 0.2791 and 0.6984, respectively. No significant differences were observed in the other diffusion metrics. <b>Conclusion</b>  This study contributes to understanding DTI-derived metrics for HGG and SBM differentiation. Peritumoral FA and CL show promise as potential discriminators, offering insights for enhanced clinical decision-making and treatment planning in brain tumor patients. Future research with larger cohorts and advanced diffusion imaging techniques could further refine these findings.</p>","PeriodicalId":94300,"journal":{"name":"Asian journal of neurosurgery","volume":"20 2","pages":"278-284"},"PeriodicalIF":0.0000,"publicationDate":"2025-01-13","publicationTypes":"Journal Article","fieldsOfStudy":null,"isOpenAccess":false,"openAccessPdf":"https://www.ncbi.nlm.nih.gov/pmc/articles/PMC12136958/pdf/","citationCount":"0","resultStr":"{\"title\":\"Utilizing Diffusion Tensor Imaging to Differentiate High-Grade Gliomas and Solitary Brain Metastases.\",\"authors\":\"Shreyas Reddy K, Sandeep S, Sunitha P Kumaran, Shravan Reddy K, Meghana Kancharla\",\"doi\":\"10.1055/s-0044-1801782\",\"DOIUrl\":null,\"url\":null,\"abstract\":\"<p><p><b>Background</b>  Brain tumors, encompassing a spectrum of neoplastic disorders, significantly impact patient morbidity and mortality. Distinguishing between high-grade gliomas (HGGs) and solitary brain metastases (SBMs) is crucial for tailored clinical management. Conventional structural magnetic resonance imaging (MRI) faces challenges in this differentiation, leading to the exploration of advanced imaging modalities such as diffusion tensor imaging (DTI). <b>Materials and Methods</b>  In this prospective study, 41 patients with solitary enhancing brain lesions underwent total or subtotal resection, confirmed by histopathology. Imaging involved a 3-Tesla MRI scanner, and DTI data were analyzed for metrics including mean diffusivity, fractional anisotropy (FA), axial diffusivity, radial diffusivity, as well as planar, spherical, and linear (CL) anisotropy coefficients. <b>Results</b>  Peritumoral FA and CL exhibited significant differences ( <i>p</i>  = 0.0217 and <i>p</i>  = 0.039, respectively) between HGG and SBM. The area under the curve for peritumoral FA and CL in differentiating HGG and SBM were 0.2791 and 0.6984, respectively. No significant differences were observed in the other diffusion metrics. <b>Conclusion</b>  This study contributes to understanding DTI-derived metrics for HGG and SBM differentiation. Peritumoral FA and CL show promise as potential discriminators, offering insights for enhanced clinical decision-making and treatment planning in brain tumor patients. Future research with larger cohorts and advanced diffusion imaging techniques could further refine these findings.</p>\",\"PeriodicalId\":94300,\"journal\":{\"name\":\"Asian journal of neurosurgery\",\"volume\":\"20 2\",\"pages\":\"278-284\"},\"PeriodicalIF\":0.0000,\"publicationDate\":\"2025-01-13\",\"publicationTypes\":\"Journal Article\",\"fieldsOfStudy\":null,\"isOpenAccess\":false,\"openAccessPdf\":\"https://www.ncbi.nlm.nih.gov/pmc/articles/PMC12136958/pdf/\",\"citationCount\":\"0\",\"resultStr\":null,\"platform\":\"Semanticscholar\",\"paperid\":null,\"PeriodicalName\":\"Asian journal of neurosurgery\",\"FirstCategoryId\":\"1085\",\"ListUrlMain\":\"https://doi.org/10.1055/s-0044-1801782\",\"RegionNum\":0,\"RegionCategory\":null,\"ArticlePicture\":[],\"TitleCN\":null,\"AbstractTextCN\":null,\"PMCID\":null,\"EPubDate\":\"2025/6/1 0:00:00\",\"PubModel\":\"eCollection\",\"JCR\":\"\",\"JCRName\":\"\",\"Score\":null,\"Total\":0}","platform":"Semanticscholar","paperid":null,"PeriodicalName":"Asian journal of neurosurgery","FirstCategoryId":"1085","ListUrlMain":"https://doi.org/10.1055/s-0044-1801782","RegionNum":0,"RegionCategory":null,"ArticlePicture":[],"TitleCN":null,"AbstractTextCN":null,"PMCID":null,"EPubDate":"2025/6/1 0:00:00","PubModel":"eCollection","JCR":"","JCRName":"","Score":null,"Total":0}
引用次数: 0

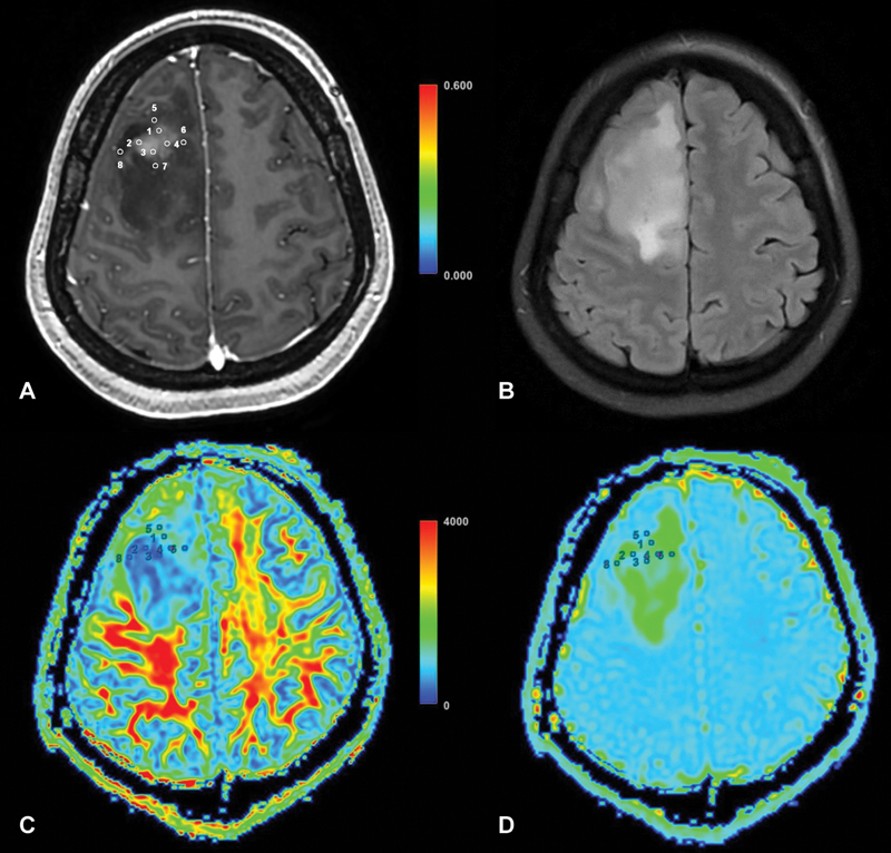
摘要

脑肿瘤,包括一系列肿瘤疾病,显著影响患者的发病率和死亡率。区分高级别胶质瘤(HGGs)和孤立性脑转移瘤(SBMs)对于定制临床管理至关重要。传统的结构磁共振成像(MRI)面临着这种分化的挑战,导致了先进成像模式的探索,如扩散张量成像(DTI)。材料和方法在这项前瞻性研究中,41例孤立性增强脑病变患者接受了组织病理学证实的全切除或次全切除。采用3-Tesla MRI扫描仪进行成像,并分析DTI数据的指标,包括平均扩散系数、分数各向异性(FA)、轴向扩散系数、径向扩散系数以及平面、球形和线性(CL)各向异性系数。结果HGG和SBM的瘤周FA和CL差异有统计学意义(p = 0.0217和p = 0.039)。瘤周FA和CL鉴别HGG和SBM的曲线下面积分别为0.2791和0.6984。其他扩散指标无显著差异。结论本研究有助于理解dti衍生的HGG和SBM分化指标。肿瘤周围FA和CL有望作为潜在的鉴别因子,为脑肿瘤患者的临床决策和治疗计划提供见解。未来更大规模的研究和先进的扩散成像技术可以进一步完善这些发现。
本文章由计算机程序翻译,如有差异,请以英文原文为准。

Utilizing Diffusion Tensor Imaging to Differentiate High-Grade Gliomas and Solitary Brain Metastases.

Utilizing Diffusion Tensor Imaging to Differentiate High-Grade Gliomas and Solitary Brain Metastases.

Utilizing Diffusion Tensor Imaging to Differentiate High-Grade Gliomas and Solitary Brain Metastases.

Utilizing Diffusion Tensor Imaging to Differentiate High-Grade Gliomas and Solitary Brain Metastases.

Background  Brain tumors, encompassing a spectrum of neoplastic disorders, significantly impact patient morbidity and mortality. Distinguishing between high-grade gliomas (HGGs) and solitary brain metastases (SBMs) is crucial for tailored clinical management. Conventional structural magnetic resonance imaging (MRI) faces challenges in this differentiation, leading to the exploration of advanced imaging modalities such as diffusion tensor imaging (DTI). Materials and Methods  In this prospective study, 41 patients with solitary enhancing brain lesions underwent total or subtotal resection, confirmed by histopathology. Imaging involved a 3-Tesla MRI scanner, and DTI data were analyzed for metrics including mean diffusivity, fractional anisotropy (FA), axial diffusivity, radial diffusivity, as well as planar, spherical, and linear (CL) anisotropy coefficients. Results  Peritumoral FA and CL exhibited significant differences ( p  = 0.0217 and p  = 0.039, respectively) between HGG and SBM. The area under the curve for peritumoral FA and CL in differentiating HGG and SBM were 0.2791 and 0.6984, respectively. No significant differences were observed in the other diffusion metrics. Conclusion  This study contributes to understanding DTI-derived metrics for HGG and SBM differentiation. Peritumoral FA and CL show promise as potential discriminators, offering insights for enhanced clinical decision-making and treatment planning in brain tumor patients. Future research with larger cohorts and advanced diffusion imaging techniques could further refine these findings.

求助全文
通过发布文献求助,成功后即可免费获取论文全文。 去求助
来源期刊
自引率
0.00%
发文量
0
×
引用
GB/T 7714-2015
复制
MLA
复制
APA
复制
导出至
BibTeX EndNote RefMan NoteFirst NoteExpress
×
提示
您的信息不完整,为了账户安全,请先补充。
现在去补充
×
提示
您因"违规操作"
具体请查看互助需知
我知道了
×
提示
确定
请完成安全验证×
copy
已复制链接
快去分享给好友吧!
我知道了
右上角分享
点击右上角分享
0
联系我们:info@booksci.cn Book学术提供免费学术资源搜索服务,方便国内外学者检索中英文文献。致力于提供最便捷和优质的服务体验。 Copyright © 2023 布克学术 All rights reserved.
京ICP备2023020795号-1
ghs 京公网安备 11010802042870号
Book学术文献互助
Book学术文献互助群
群 号:604180095
Book学术官方微信