脊髓硬膜外血管脂肪瘤2例报告并文献复习。

Asian journal of neurosurgery Pub Date : 2025-03-24 eCollection Date: 2025-06-01 DOI:10.1055/s-0045-1802625
Sathish Kumar Thellakanthiah Ekambaram, Arul Muthukumaraswamy, Vigneshwar Kumbakonam Sivaraman, Gokulesh Devannagoundanur Gurumurthy, Nandini Vijayakumar
{"title":"脊髓硬膜外血管脂肪瘤2例报告并文献复习。","authors":"Sathish Kumar Thellakanthiah Ekambaram, Arul Muthukumaraswamy, Vigneshwar Kumbakonam Sivaraman, Gokulesh Devannagoundanur Gurumurthy, Nandini Vijayakumar","doi":"10.1055/s-0045-1802625","DOIUrl":null,"url":null,"abstract":"<p><p>Spinal extradural angiolipomas (SEALs) are rare, benign neoplasms composed of mature adipocytes and vascular elements. They are often noninfiltrating and located in the posterior aspect of the spinal canal at the level of thoracic/dorsal vertebrae. Back pain, progressive paraparesis, and sensory disturbance in lower limbs are the typical symptoms. Here, we discuss two cases of SEALs presenting with subacute paraparesis. The magnetic resonance imaging of one patient was reported to be suggestive of spinal metastasis/plasmacytoma/sarcoma, while the other was reported as a spinal extradural hematoma. After laminectomy, both lesions were recognized as encapsulated extradural tumors and en-bloc resection was done. Postoperatively, the neurological deficits improved and there was no recurrence on 2-year follow-up. Histopathology characterized both of them to be extradural angiolipomas. Current experience and literature support curative surgical resection as the gold standard. The prognosis is excellent in most cases, even if total resection is not feasible. It is due to the slow-growing nature of the tumor and absence of malignant transformation.</p>","PeriodicalId":94300,"journal":{"name":"Asian journal of neurosurgery","volume":"20 2","pages":"387-390"},"PeriodicalIF":0.0000,"publicationDate":"2025-03-24","publicationTypes":"Journal Article","fieldsOfStudy":null,"isOpenAccess":false,"openAccessPdf":"https://www.ncbi.nlm.nih.gov/pmc/articles/PMC12136972/pdf/","citationCount":"0","resultStr":"{\"title\":\"Spinal Extradural Angiolipoma: A Report of Two Cases and Review of Literature.\",\"authors\":\"Sathish Kumar Thellakanthiah Ekambaram, Arul Muthukumaraswamy, Vigneshwar Kumbakonam Sivaraman, Gokulesh Devannagoundanur Gurumurthy, Nandini Vijayakumar\",\"doi\":\"10.1055/s-0045-1802625\",\"DOIUrl\":null,\"url\":null,\"abstract\":\"<p><p>Spinal extradural angiolipomas (SEALs) are rare, benign neoplasms composed of mature adipocytes and vascular elements. They are often noninfiltrating and located in the posterior aspect of the spinal canal at the level of thoracic/dorsal vertebrae. Back pain, progressive paraparesis, and sensory disturbance in lower limbs are the typical symptoms. Here, we discuss two cases of SEALs presenting with subacute paraparesis. The magnetic resonance imaging of one patient was reported to be suggestive of spinal metastasis/plasmacytoma/sarcoma, while the other was reported as a spinal extradural hematoma. After laminectomy, both lesions were recognized as encapsulated extradural tumors and en-bloc resection was done. Postoperatively, the neurological deficits improved and there was no recurrence on 2-year follow-up. Histopathology characterized both of them to be extradural angiolipomas. Current experience and literature support curative surgical resection as the gold standard. The prognosis is excellent in most cases, even if total resection is not feasible. It is due to the slow-growing nature of the tumor and absence of malignant transformation.</p>\",\"PeriodicalId\":94300,\"journal\":{\"name\":\"Asian journal of neurosurgery\",\"volume\":\"20 2\",\"pages\":\"387-390\"},\"PeriodicalIF\":0.0000,\"publicationDate\":\"2025-03-24\",\"publicationTypes\":\"Journal Article\",\"fieldsOfStudy\":null,\"isOpenAccess\":false,\"openAccessPdf\":\"https://www.ncbi.nlm.nih.gov/pmc/articles/PMC12136972/pdf/\",\"citationCount\":\"0\",\"resultStr\":null,\"platform\":\"Semanticscholar\",\"paperid\":null,\"PeriodicalName\":\"Asian journal of neurosurgery\",\"FirstCategoryId\":\"1085\",\"ListUrlMain\":\"https://doi.org/10.1055/s-0045-1802625\",\"RegionNum\":0,\"RegionCategory\":null,\"ArticlePicture\":[],\"TitleCN\":null,\"AbstractTextCN\":null,\"PMCID\":null,\"EPubDate\":\"2025/6/1 0:00:00\",\"PubModel\":\"eCollection\",\"JCR\":\"\",\"JCRName\":\"\",\"Score\":null,\"Total\":0}","platform":"Semanticscholar","paperid":null,"PeriodicalName":"Asian journal of neurosurgery","FirstCategoryId":"1085","ListUrlMain":"https://doi.org/10.1055/s-0045-1802625","RegionNum":0,"RegionCategory":null,"ArticlePicture":[],"TitleCN":null,"AbstractTextCN":null,"PMCID":null,"EPubDate":"2025/6/1 0:00:00","PubModel":"eCollection","JCR":"","JCRName":"","Score":null,"Total":0}
引用次数: 0

摘要

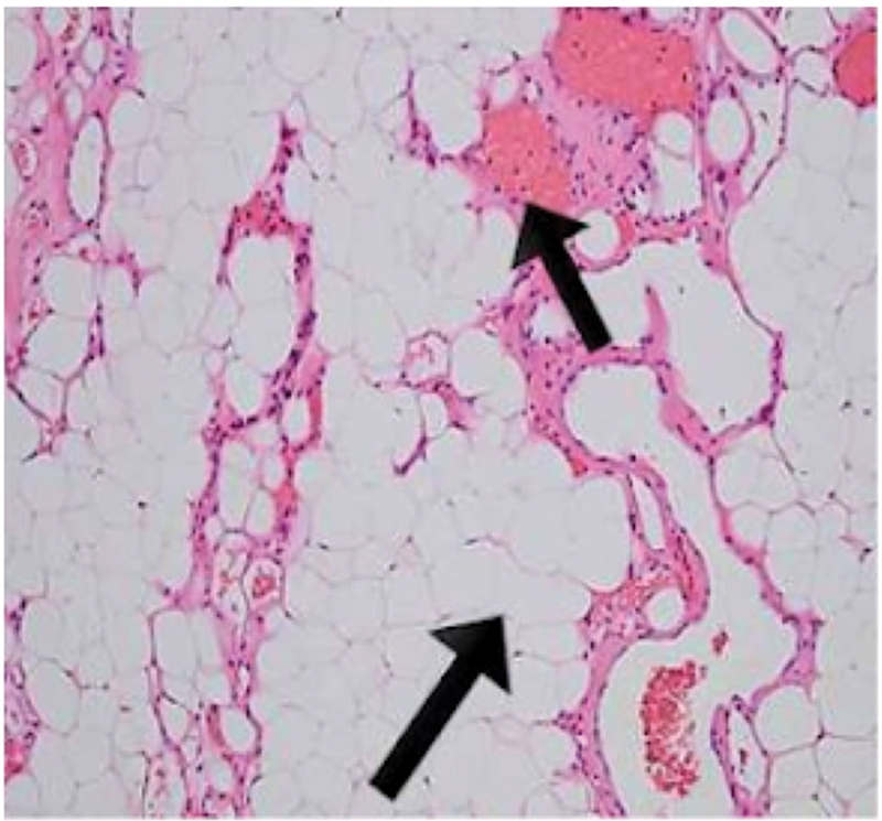
脊髓硬膜外血管脂肪瘤是一种罕见的良性肿瘤,由成熟的脂肪细胞和血管成分组成。它们通常是非浸润性的,位于椎管后部的胸椎/脊椎骨水平。背部疼痛、进行性麻痹和下肢感觉障碍是典型症状。在这里,我们讨论两例海豹表现为亚急性截瘫。据报道,一名患者的磁共振成像提示脊柱转移/浆细胞瘤/肉瘤,而另一名患者报告为脊髓硬膜外血肿。椎板切除术后,这两个病变都被认为是包封的硬膜外肿瘤,并进行了整体切除。术后神经功能缺损改善,随访2年无复发。组织病理学表现均为硬膜外血管脂肪瘤。目前的经验和文献支持治疗性手术切除为金标准。在大多数情况下,即使不能完全切除,预后也很好。这是由于肿瘤生长缓慢,没有恶性转化。
本文章由计算机程序翻译,如有差异,请以英文原文为准。

Spinal Extradural Angiolipoma: A Report of Two Cases and Review of Literature.

Spinal Extradural Angiolipoma: A Report of Two Cases and Review of Literature.

Spinal Extradural Angiolipoma: A Report of Two Cases and Review of Literature.

Spinal Extradural Angiolipoma: A Report of Two Cases and Review of Literature.

Spinal extradural angiolipomas (SEALs) are rare, benign neoplasms composed of mature adipocytes and vascular elements. They are often noninfiltrating and located in the posterior aspect of the spinal canal at the level of thoracic/dorsal vertebrae. Back pain, progressive paraparesis, and sensory disturbance in lower limbs are the typical symptoms. Here, we discuss two cases of SEALs presenting with subacute paraparesis. The magnetic resonance imaging of one patient was reported to be suggestive of spinal metastasis/plasmacytoma/sarcoma, while the other was reported as a spinal extradural hematoma. After laminectomy, both lesions were recognized as encapsulated extradural tumors and en-bloc resection was done. Postoperatively, the neurological deficits improved and there was no recurrence on 2-year follow-up. Histopathology characterized both of them to be extradural angiolipomas. Current experience and literature support curative surgical resection as the gold standard. The prognosis is excellent in most cases, even if total resection is not feasible. It is due to the slow-growing nature of the tumor and absence of malignant transformation.

求助全文
通过发布文献求助,成功后即可免费获取论文全文。 去求助
来源期刊
自引率
0.00%
发文量
0
×
引用
GB/T 7714-2015
复制
MLA
复制
APA
复制
导出至
BibTeX EndNote RefMan NoteFirst NoteExpress
×
提示
您的信息不完整,为了账户安全,请先补充。
现在去补充
×
提示
您因"违规操作"
具体请查看互助需知
我知道了
×
提示
确定
请完成安全验证×
copy
已复制链接
快去分享给好友吧!
我知道了
右上角分享
点击右上角分享
0
联系我们:info@booksci.cn Book学术提供免费学术资源搜索服务,方便国内外学者检索中英文文献。致力于提供最便捷和优质的服务体验。 Copyright © 2023 布克学术 All rights reserved.
京ICP备2023020795号-1
ghs 京公网安备 11010802042870号
Book学术文献互助
Book学术文献互助群
群 号:604180095
Book学术官方微信