伊朗东部巨型池蝇的初步研究。

Asian journal of neurosurgery Pub Date : 2025-01-17 eCollection Date: 2025-06-01 DOI:10.1055/s-0044-1801281
Masoud Pishjoo, Mohammad Safdari, Zohre Safdari, Mahtab Ghaemi, Daniel Kheradmand, Ali Fathi Jouzdani, Sajjad Saghbdoust
{"title":"伊朗东部巨型池蝇的初步研究。","authors":"Masoud Pishjoo, Mohammad Safdari, Zohre Safdari, Mahtab Ghaemi, Daniel Kheradmand, Ali Fathi Jouzdani, Sajjad Saghbdoust","doi":"10.1055/s-0044-1801281","DOIUrl":null,"url":null,"abstract":"<p><p><b>Background</b>  The clinical significance and incidence of isolated mega cisterna magna (MCM) have been thoroughly investigated. While MCM has been reported in association with psychiatric disorders in adults, current study sought to report its incidence and relationship with gender and age in a consecutive series of patients without psychiatric comorbidities. <b>Materials and Methods</b>  We retrospectively reviewed 1,016 consecutive computed tomography scans of patients between the age of 1 and 80 with a history of minor head trauma, headache, or vertigo from April to August 2023. Two perpendicular diameters inside the MCM were measured: the first diameter (D <sub>1</sub> ) was measured longitudinally on the midsagittal plane (anteroposterior diameter), whereas the second one (D <sub>2</sub> ) was measured transeversely (transverse diameter). An MCM with D <sub>1 </sub> > 20 mm was defined as \"huge MCM.\" The relationship between age, gender, and the two diameters were subsequently analyzed. <b>Results</b>  Over a course of 5 months, 92 cases with MCM, including 76 men, were evaluated. The mean age of MCM cases was 35.31 ± 26.14, with no significant relationship observed between age and MCM. No significant difference in D <sub>1</sub> was found between genders, while D <sub>2</sub> significantly differed between men and women ( <i>p</i>  < 0.029). \"Huge MCM\" was exclusively observed in 18 men ( <i>p</i>  < 0.035). There was also no significant correlation between D <sub>1</sub> and D <sub>2</sub> . <b>Conclusion</b>  MCM appears to be a normal variation in the general population with no clinical significance. Despite the small sample size, the current study can provide a foundation for further studies to investigate the correlation of isolated MCM with different aspects of cognitive functions and its potential clinical relevance.</p>","PeriodicalId":94300,"journal":{"name":"Asian journal of neurosurgery","volume":"20 2","pages":"236-240"},"PeriodicalIF":0.0000,"publicationDate":"2025-01-17","publicationTypes":"Journal Article","fieldsOfStudy":null,"isOpenAccess":false,"openAccessPdf":"https://www.ncbi.nlm.nih.gov/pmc/articles/PMC12136946/pdf/","citationCount":"0","resultStr":"{\"title\":\"Isolated Mega Cisterna Magna: A Preliminary Study from Eastern Iran.\",\"authors\":\"Masoud Pishjoo, Mohammad Safdari, Zohre Safdari, Mahtab Ghaemi, Daniel Kheradmand, Ali Fathi Jouzdani, Sajjad Saghbdoust\",\"doi\":\"10.1055/s-0044-1801281\",\"DOIUrl\":null,\"url\":null,\"abstract\":\"<p><p><b>Background</b>  The clinical significance and incidence of isolated mega cisterna magna (MCM) have been thoroughly investigated. While MCM has been reported in association with psychiatric disorders in adults, current study sought to report its incidence and relationship with gender and age in a consecutive series of patients without psychiatric comorbidities. <b>Materials and Methods</b>  We retrospectively reviewed 1,016 consecutive computed tomography scans of patients between the age of 1 and 80 with a history of minor head trauma, headache, or vertigo from April to August 2023. Two perpendicular diameters inside the MCM were measured: the first diameter (D <sub>1</sub> ) was measured longitudinally on the midsagittal plane (anteroposterior diameter), whereas the second one (D <sub>2</sub> ) was measured transeversely (transverse diameter). An MCM with D <sub>1 </sub> > 20 mm was defined as \\\"huge MCM.\\\" The relationship between age, gender, and the two diameters were subsequently analyzed. <b>Results</b>  Over a course of 5 months, 92 cases with MCM, including 76 men, were evaluated. The mean age of MCM cases was 35.31 ± 26.14, with no significant relationship observed between age and MCM. No significant difference in D <sub>1</sub> was found between genders, while D <sub>2</sub> significantly differed between men and women ( <i>p</i>  < 0.029). \\\"Huge MCM\\\" was exclusively observed in 18 men ( <i>p</i>  < 0.035). There was also no significant correlation between D <sub>1</sub> and D <sub>2</sub> . <b>Conclusion</b>  MCM appears to be a normal variation in the general population with no clinical significance. Despite the small sample size, the current study can provide a foundation for further studies to investigate the correlation of isolated MCM with different aspects of cognitive functions and its potential clinical relevance.</p>\",\"PeriodicalId\":94300,\"journal\":{\"name\":\"Asian journal of neurosurgery\",\"volume\":\"20 2\",\"pages\":\"236-240\"},\"PeriodicalIF\":0.0000,\"publicationDate\":\"2025-01-17\",\"publicationTypes\":\"Journal Article\",\"fieldsOfStudy\":null,\"isOpenAccess\":false,\"openAccessPdf\":\"https://www.ncbi.nlm.nih.gov/pmc/articles/PMC12136946/pdf/\",\"citationCount\":\"0\",\"resultStr\":null,\"platform\":\"Semanticscholar\",\"paperid\":null,\"PeriodicalName\":\"Asian journal of neurosurgery\",\"FirstCategoryId\":\"1085\",\"ListUrlMain\":\"https://doi.org/10.1055/s-0044-1801281\",\"RegionNum\":0,\"RegionCategory\":null,\"ArticlePicture\":[],\"TitleCN\":null,\"AbstractTextCN\":null,\"PMCID\":null,\"EPubDate\":\"2025/6/1 0:00:00\",\"PubModel\":\"eCollection\",\"JCR\":\"\",\"JCRName\":\"\",\"Score\":null,\"Total\":0}","platform":"Semanticscholar","paperid":null,"PeriodicalName":"Asian journal of neurosurgery","FirstCategoryId":"1085","ListUrlMain":"https://doi.org/10.1055/s-0044-1801281","RegionNum":0,"RegionCategory":null,"ArticlePicture":[],"TitleCN":null,"AbstractTextCN":null,"PMCID":null,"EPubDate":"2025/6/1 0:00:00","PubModel":"eCollection","JCR":"","JCRName":"","Score":null,"Total":0}
引用次数: 0

摘要

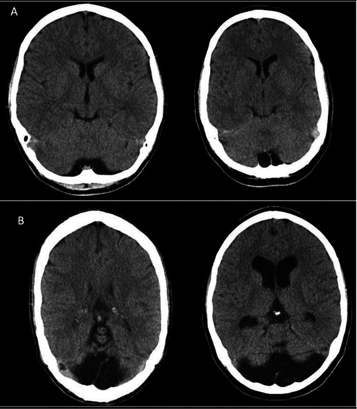
背景孤立性大池病(MCM)的临床意义和发病率已被深入研究。虽然MCM已被报道与成人精神疾病相关,但目前的研究试图在无精神合并症的连续系列患者中报告其发病率及其与性别和年龄的关系。材料和方法回顾性分析了2023年4月至8月期间1016例年龄在1至80岁之间、有轻微头部创伤、头痛或眩晕病史的患者的连续计算机断层扫描。测量MCM内部的两个垂直直径:第一个直径(d1)在正中矢状面纵向测量(前后直径),第二个直径(d2)在横向测量(横向直径)。直径1 ~ 20 mm的MCM被定义为“巨型MCM”。随后分析了年龄、性别和两种直径之间的关系。结果在5个月的时间里,对92例MCM患者进行了评估,其中76例为男性。MCM患者的平均年龄为35.31±26.14岁,年龄与MCM无显著相关。两性间d1差异无统计学意义,而两性间d2差异有统计学意义(p p 1和d2)。结论MCM在普通人群中属于正常变异,无临床意义。尽管样本量小,但本研究可以为进一步研究分离MCM与认知功能不同方面的相关性及其潜在的临床相关性提供基础。
本文章由计算机程序翻译,如有差异,请以英文原文为准。

Isolated Mega Cisterna Magna: A Preliminary Study from Eastern Iran.

Isolated Mega Cisterna Magna: A Preliminary Study from Eastern Iran.

Isolated Mega Cisterna Magna: A Preliminary Study from Eastern Iran.

Isolated Mega Cisterna Magna: A Preliminary Study from Eastern Iran.

Background  The clinical significance and incidence of isolated mega cisterna magna (MCM) have been thoroughly investigated. While MCM has been reported in association with psychiatric disorders in adults, current study sought to report its incidence and relationship with gender and age in a consecutive series of patients without psychiatric comorbidities. Materials and Methods  We retrospectively reviewed 1,016 consecutive computed tomography scans of patients between the age of 1 and 80 with a history of minor head trauma, headache, or vertigo from April to August 2023. Two perpendicular diameters inside the MCM were measured: the first diameter (D 1 ) was measured longitudinally on the midsagittal plane (anteroposterior diameter), whereas the second one (D 2 ) was measured transeversely (transverse diameter). An MCM with D 1  > 20 mm was defined as "huge MCM." The relationship between age, gender, and the two diameters were subsequently analyzed. Results  Over a course of 5 months, 92 cases with MCM, including 76 men, were evaluated. The mean age of MCM cases was 35.31 ± 26.14, with no significant relationship observed between age and MCM. No significant difference in D 1 was found between genders, while D 2 significantly differed between men and women ( p  < 0.029). "Huge MCM" was exclusively observed in 18 men ( p  < 0.035). There was also no significant correlation between D 1 and D 2 . Conclusion  MCM appears to be a normal variation in the general population with no clinical significance. Despite the small sample size, the current study can provide a foundation for further studies to investigate the correlation of isolated MCM with different aspects of cognitive functions and its potential clinical relevance.

求助全文
通过发布文献求助,成功后即可免费获取论文全文。 去求助
来源期刊
自引率
0.00%
发文量
0
×
引用
GB/T 7714-2015
复制
MLA
复制
APA
复制
导出至
BibTeX EndNote RefMan NoteFirst NoteExpress
×
提示
您的信息不完整,为了账户安全,请先补充。
现在去补充
×
提示
您因"违规操作"
具体请查看互助需知
我知道了
×
提示
确定
请完成安全验证×
copy
已复制链接
快去分享给好友吧!
我知道了
右上角分享
点击右上角分享
0
联系我们:info@booksci.cn Book学术提供免费学术资源搜索服务,方便国内外学者检索中英文文献。致力于提供最便捷和优质的服务体验。 Copyright © 2023 布克学术 All rights reserved.
京ICP备2023020795号-1
ghs 京公网安备 11010802042870号
Book学术文献互助
Book学术文献互助群
群 号:604180095
Book学术官方微信