晚期非小细胞肺癌碘-125放射性粒子植入联合化疗后2个月难治性疼痛(VAS评分bbbb3)危险因素评价

IF 1.1 4区 医学 Q4 ONCOLOGY
Journal of Contemporary Brachytherapy Pub Date : 2025-04-01 Epub Date: 2025-05-12 DOI:10.5114/jcb.2025.151520
Tingting Ding, Jinjin Liu, Wenwen Zhang, Guoxu Zhang
{"title":"晚期非小细胞肺癌碘-125放射性粒子植入联合化疗后2个月难治性疼痛(VAS评分bbbb3)危险因素评价","authors":"Tingting Ding, Jinjin Liu, Wenwen Zhang, Guoxu Zhang","doi":"10.5114/jcb.2025.151520","DOIUrl":null,"url":null,"abstract":"<p><strong>Purpose: </strong>This study aimed to explore the risk factors associated with difficult-to-control pain (visual analog scale [VAS] score > 3) experienced by patients with advanced non-small cell lung cancer (NSCLC) assessed at two months after receiving iodine-125 (<sup>125</sup>I) radioactive seed implantation combined with chemotherapy, in order to improve pain management and enhance patient quality of life.</p><p><strong>Material and methods: </strong>A total of 87 patients diagnosed with advanced NSCLC were included in the study, all of whom underwent treatment using <sup>125</sup>I radioactive seed radiotherapy and chemotherapy. Through univariate and multivariate analyses, the risk factors affecting pain control at two months post-treatment were identified. Predictive and survival analyses were done using ROC curves and Kaplan-Meier survival curves.</p><p><strong>Results: </strong>The results indicated that minimal pleural distance, smoking history, and pleural effusion were independent risk factors influencing the control of pain shown in VAS scores. Moreover, a non-linear relationship between minimal pleural distance and difficulty of pain control was observed, indicating that the risk of uncontrolled pain decreases when the minimal pleural distance reaches ≥ 10.84 millimeters. ROC curve analysis demonstrated that the predictive capability of minimal pleural distance was the highest.</p><p><strong>Conclusions: </strong>Minimal pleural distance, smoking history, and pleural effusion are significant factors in predicting the difficulty of pain control in patients with advanced NSCLC receiving <sup>125</sup>I radioactive seed implantation combined with chemotherapy at two months post-treatment. Patients with a minimal pleural distance of less than 10.84 millimeters are more likely to experience uncontrolled pain after treatment. Therefore, developing predictive models may assist clinicians in more accurately evaluating treatment efficacy and patients' pain management needs.</p>","PeriodicalId":51305,"journal":{"name":"Journal of Contemporary Brachytherapy","volume":"17 2","pages":"115-126"},"PeriodicalIF":1.1000,"publicationDate":"2025-04-01","publicationTypes":"Journal Article","fieldsOfStudy":null,"isOpenAccess":false,"openAccessPdf":"https://www.ncbi.nlm.nih.gov/pmc/articles/PMC12140150/pdf/","citationCount":"0","resultStr":"{\"title\":\"Evaluation of risk factors for difficult-to-control pain (VAS score > 3) at two months after late-stage non-small cell lung cancer treatment with iodine-125 radioactive particle implantation combined with chemotherapy.\",\"authors\":\"Tingting Ding, Jinjin Liu, Wenwen Zhang, Guoxu Zhang\",\"doi\":\"10.5114/jcb.2025.151520\",\"DOIUrl\":null,\"url\":null,\"abstract\":\"<p><strong>Purpose: </strong>This study aimed to explore the risk factors associated with difficult-to-control pain (visual analog scale [VAS] score > 3) experienced by patients with advanced non-small cell lung cancer (NSCLC) assessed at two months after receiving iodine-125 (<sup>125</sup>I) radioactive seed implantation combined with chemotherapy, in order to improve pain management and enhance patient quality of life.</p><p><strong>Material and methods: </strong>A total of 87 patients diagnosed with advanced NSCLC were included in the study, all of whom underwent treatment using <sup>125</sup>I radioactive seed radiotherapy and chemotherapy. Through univariate and multivariate analyses, the risk factors affecting pain control at two months post-treatment were identified. Predictive and survival analyses were done using ROC curves and Kaplan-Meier survival curves.</p><p><strong>Results: </strong>The results indicated that minimal pleural distance, smoking history, and pleural effusion were independent risk factors influencing the control of pain shown in VAS scores. Moreover, a non-linear relationship between minimal pleural distance and difficulty of pain control was observed, indicating that the risk of uncontrolled pain decreases when the minimal pleural distance reaches ≥ 10.84 millimeters. ROC curve analysis demonstrated that the predictive capability of minimal pleural distance was the highest.</p><p><strong>Conclusions: </strong>Minimal pleural distance, smoking history, and pleural effusion are significant factors in predicting the difficulty of pain control in patients with advanced NSCLC receiving <sup>125</sup>I radioactive seed implantation combined with chemotherapy at two months post-treatment. Patients with a minimal pleural distance of less than 10.84 millimeters are more likely to experience uncontrolled pain after treatment. Therefore, developing predictive models may assist clinicians in more accurately evaluating treatment efficacy and patients' pain management needs.</p>\",\"PeriodicalId\":51305,\"journal\":{\"name\":\"Journal of Contemporary Brachytherapy\",\"volume\":\"17 2\",\"pages\":\"115-126\"},\"PeriodicalIF\":1.1000,\"publicationDate\":\"2025-04-01\",\"publicationTypes\":\"Journal Article\",\"fieldsOfStudy\":null,\"isOpenAccess\":false,\"openAccessPdf\":\"https://www.ncbi.nlm.nih.gov/pmc/articles/PMC12140150/pdf/\",\"citationCount\":\"0\",\"resultStr\":null,\"platform\":\"Semanticscholar\",\"paperid\":null,\"PeriodicalName\":\"Journal of Contemporary Brachytherapy\",\"FirstCategoryId\":\"3\",\"ListUrlMain\":\"https://doi.org/10.5114/jcb.2025.151520\",\"RegionNum\":4,\"RegionCategory\":\"医学\",\"ArticlePicture\":[],\"TitleCN\":null,\"AbstractTextCN\":null,\"PMCID\":null,\"EPubDate\":\"2025/5/12 0:00:00\",\"PubModel\":\"Epub\",\"JCR\":\"Q4\",\"JCRName\":\"ONCOLOGY\",\"Score\":null,\"Total\":0}","platform":"Semanticscholar","paperid":null,"PeriodicalName":"Journal of Contemporary Brachytherapy","FirstCategoryId":"3","ListUrlMain":"https://doi.org/10.5114/jcb.2025.151520","RegionNum":4,"RegionCategory":"医学","ArticlePicture":[],"TitleCN":null,"AbstractTextCN":null,"PMCID":null,"EPubDate":"2025/5/12 0:00:00","PubModel":"Epub","JCR":"Q4","JCRName":"ONCOLOGY","Score":null,"Total":0}
引用次数: 0

摘要

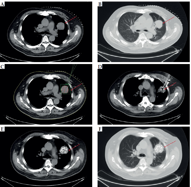
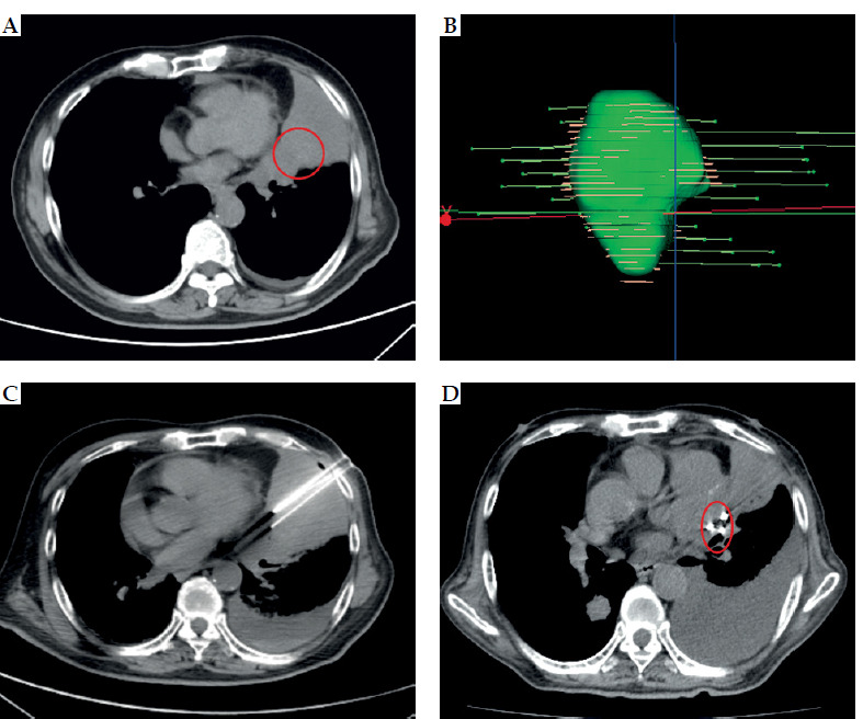
目的:本研究旨在探讨晚期非小细胞肺癌(NSCLC)患者在接受碘125 (125I)放射性粒子植入联合化疗2个月后难以控制的疼痛(视觉模拟评分[VAS]评分bbbb3)的相关危险因素,以改善疼痛管理,提高患者的生活质量。材料和方法:共纳入87例晚期NSCLC患者,所有患者均接受125I放射性粒子放疗和化疗。通过单因素和多因素分析,确定影响治疗后两个月疼痛控制的危险因素。采用ROC曲线和Kaplan-Meier生存曲线进行预测和生存分析。结果:结果显示,最小胸膜距离、吸烟史和胸腔积液是影响VAS评分中疼痛控制的独立危险因素。此外,最小胸膜距离与疼痛控制难度之间存在非线性关系,表明当最小胸膜距离≥10.84 mm时,疼痛失控风险降低。ROC曲线分析显示,最小胸膜距离的预测能力最高。结论:最小胸膜距离、吸烟史和胸腔积液是预测晚期NSCLC患者接受125I放射性粒子植入联合化疗后2个月疼痛控制难度的重要因素。胸膜距离小于10.84毫米的患者在治疗后更容易出现无法控制的疼痛。因此,开发预测模型可以帮助临床医生更准确地评估治疗效果和患者的疼痛管理需求。
本文章由计算机程序翻译,如有差异,请以英文原文为准。

Evaluation of risk factors for difficult-to-control pain (VAS score > 3) at two months after late-stage non-small cell lung cancer treatment with iodine-125 radioactive particle implantation combined with chemotherapy.

Evaluation of risk factors for difficult-to-control pain (VAS score > 3) at two months after late-stage non-small cell lung cancer treatment with iodine-125 radioactive particle implantation combined with chemotherapy.

Evaluation of risk factors for difficult-to-control pain (VAS score > 3) at two months after late-stage non-small cell lung cancer treatment with iodine-125 radioactive particle implantation combined with chemotherapy.

Evaluation of risk factors for difficult-to-control pain (VAS score > 3) at two months after late-stage non-small cell lung cancer treatment with iodine-125 radioactive particle implantation combined with chemotherapy.

Purpose: This study aimed to explore the risk factors associated with difficult-to-control pain (visual analog scale [VAS] score > 3) experienced by patients with advanced non-small cell lung cancer (NSCLC) assessed at two months after receiving iodine-125 (125I) radioactive seed implantation combined with chemotherapy, in order to improve pain management and enhance patient quality of life.

Material and methods: A total of 87 patients diagnosed with advanced NSCLC were included in the study, all of whom underwent treatment using 125I radioactive seed radiotherapy and chemotherapy. Through univariate and multivariate analyses, the risk factors affecting pain control at two months post-treatment were identified. Predictive and survival analyses were done using ROC curves and Kaplan-Meier survival curves.

Results: The results indicated that minimal pleural distance, smoking history, and pleural effusion were independent risk factors influencing the control of pain shown in VAS scores. Moreover, a non-linear relationship between minimal pleural distance and difficulty of pain control was observed, indicating that the risk of uncontrolled pain decreases when the minimal pleural distance reaches ≥ 10.84 millimeters. ROC curve analysis demonstrated that the predictive capability of minimal pleural distance was the highest.

Conclusions: Minimal pleural distance, smoking history, and pleural effusion are significant factors in predicting the difficulty of pain control in patients with advanced NSCLC receiving 125I radioactive seed implantation combined with chemotherapy at two months post-treatment. Patients with a minimal pleural distance of less than 10.84 millimeters are more likely to experience uncontrolled pain after treatment. Therefore, developing predictive models may assist clinicians in more accurately evaluating treatment efficacy and patients' pain management needs.

求助全文
通过发布文献求助,成功后即可免费获取论文全文。 去求助
来源期刊
Journal of Contemporary Brachytherapy
Journal of Contemporary Brachytherapy ONCOLOGY-RADIOLOGY, NUCLEAR MEDICINE & MEDICAL IMAGING
CiteScore
2.40
自引率
14.30%
发文量
54
审稿时长
16 weeks
期刊介绍: The “Journal of Contemporary Brachytherapy” is an international and multidisciplinary journal that will publish papers of original research as well as reviews of articles. Main subjects of the journal include: clinical brachytherapy, combined modality treatment, advances in radiobiology, hyperthermia and tumour biology, as well as physical aspects relevant to brachytherapy, particularly in the field of imaging, dosimetry and radiation therapy planning. Original contributions will include experimental studies of combined modality treatment, tumor sensitization and normal tissue protection, molecular radiation biology, and clinical investigations of cancer treatment in brachytherapy. Another field of interest will be the educational part of the journal.
×
引用
GB/T 7714-2015
复制
MLA
复制
APA
复制
导出至
BibTeX EndNote RefMan NoteFirst NoteExpress
×
提示
您的信息不完整,为了账户安全,请先补充。
现在去补充
×
提示
您因"违规操作"
具体请查看互助需知
我知道了
×
提示
确定
请完成安全验证×
copy
已复制链接
快去分享给好友吧!
我知道了
右上角分享
点击右上角分享
0
联系我们:info@booksci.cn Book学术提供免费学术资源搜索服务,方便国内外学者检索中英文文献。致力于提供最便捷和优质的服务体验。 Copyright © 2023 布克学术 All rights reserved.
京ICP备2023020795号-1
ghs 京公网安备 11010802042870号
Book学术文献互助
Book学术文献互助群
群 号:604180095
Book学术官方微信